-
PDF
- Split View
-
Views
-
Cite
Cite
Ilsalien S. Bakker, Rutger J. Hissink, Hendrik M. Schaap, Familial spontaneous splenic rupture in a patient with idiopathic splenomegaly—report of a case, Journal of Surgical Case Reports, Volume 2017, Issue 6, June 2017, rjx119, https://doi.org/10.1093/jscr/rjx119
Close - Share Icon Share
Abstract
Spontaneous splenic rupture in a healthy individual is a rare phenomenon. This article reports on a patient with an uneventful medical history, presenting with atraumatic splenic rupture. Three family members of the patients experienced the same in the past.
INTRODUCTION
Atraumatic splenic rupture in healthy individuals is a rare surgical condition. Familial spontaneous splenic rupture is an unknown phenomenon and has never been described before. We present a case history of a 52-year-old male who presented with a spontaneous rupture of the spleen. Family history revealed that three other family members experienced the same event.
CASE REPORT
A 52-year-old male presented at the emergency department with since 1 day acute abdominal pain in the left hemi-abdomen. He was nauseous and had vomited. The abdominal pain appeared in attacks and patient was sweaty. His defecation pattern was unchanged and there were no urogenital complaints. There was no history of trauma. Patient did not use any medicine and thus also no anti-coagulants. Patient had an uneventful medical history except for analysis of nonspecific chest pain by the cardiologist in 2005 where no cardiac pathology was found.
Physical examination showed a a pulse of 108 beats per minute, blood pressure 133/78 mmHg, 92% saturation with 2 L oxygen and temperature of 38.6°C. There was tenderness in the left hemi-abdomen with punctum maximum in the left upper quadrant with rebound tenderness. There was no pain in the right hemi-abdomen.
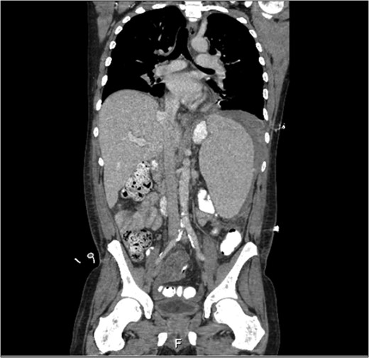
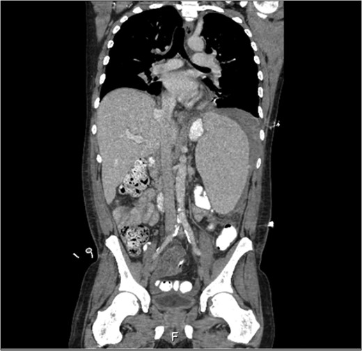
Ultrasonographic examination showed two hemangiomas in the liver and free fluid arount the liver. The spleen was surrounded by free fluid and showed a largely homogeneous aspect with on the cranial side an inhomogeneous echogenic area. Computed tomography confirmed free intra-abdominal fluid and showed hepatosplenomegaly with an intracapsular splenic rupture with probable leakage of blood to the abdominal cavity (Fig. 1).

Computed tomography of the abdomen showing hepatosplenomegaly with free fluid around te spleen.
Because the patient was hemodynamically stable, conservative management was initiated and the patient was admitted to the surgical ward for observation with the diagnosis of spontaneous intracapsular splenic rupture. During the first 24 h the patient remained hemodynamic stable but laboratory findings showed a rapidly declining trend of the hemoglobin level from 7.1 mmol/L by admittance to 5.2 mmol/L the next morning. There were no other abnormal laboratory values. Considering the quick decline in hemoglobin level the patient was transferred to the intensive care ward for close monitoring. On the intensive care the patient remained hemodynamically stable. Laboratory examination showed a decline in hemoglobin level to 4.5 mmol/L after which was decided to transfuse the patient with two units packed cells resulting in an increase of hemoglobin to 5.4 mmol/L. After 2 days of conservative strategy and close monitoring, both patient and hemoglobin level, remained stable and therefore the patient was transferred back to the surgical ward. Apart from a pneumonia for which readmission to the intensive care was required, no further hemodynamic instability occurred. Once again patient was transferred to the surgical ward. Here the patient gradually recovered, the pain subsided and antibiotics could be discontinued. After 2 weeks of hospitalization the patient was discharged in good clinical condition.
Subsequently, the patient was analyzed by an internist. There were no indications of infectious diseases as Burrelia Burgdorferi, Brucella, Treponema pallidum, Epstain Barr Virus or parvovirus. Laboratory results did not show evidence for liver cirrhosis. Family history showed that three family members (brother, uncle and grandmother) also underwent a splenectomy because of spontaneous splenic rupture. Unfortunately the exact course of these events is not known. But the brother of the present patient experienced a splenic rupture at 16 years of age without a traumatic event, his uncle at 60 years of age while he was working in the garden and his grandmother experienced this event at an unknown age. This family history suggests an hereditary storage disease as influencing factor. Pathological examination after crista biopsy, however, did not show evidence of a storage disease or myeolodysplasia. In view of the potential risk of a re-rupture of the spleen and the patients desire to have his spleen removed, it was decided to perform a splenectomy and patient was prepared with vaccinations for pneumococcal, meningococcal and Haemophilus infections.
In January an uncomplicated laparoscopic splenectomy was performed. Intraoperatively, the enlarged spleen was completely covered in omentum and attached to the anterolateral abdominal wall by firm adhesions probably formed after the rupture (Figs 2 and 3). The postoperative course was complicated by a pneumonia for which antibiotics were prescribed. Patient recovered well and was discharged home within 1 week postoperative. Pathologic examination showed a substantially enlarged spleen of 855 g without any abnormalities.


Laparoscopy: spleen after dissection and clipping of the splenic artery.
DISCUSSION
The occurence of spontaneous splenic rupture in healthy individuals is a rare surgical emergency. The present article reports on a case with spontaneous splenic rupture in a healthy male with three family members who also underwent splenectomy because of atraumatic splenic rupture. To our knowledge familial spontaneous splenic rupture has never been described previously. Atraumatic rupture of the spleen is often attributed to infectious or neoplastic causes. Only several cases have been described in the literature, concerning infectious diseases as malaria [1], mononucleosis [2] and also in a patient with typhus spontaneous splenic rupture is described [3]. In patients with neoplasms, splenic rupture is described in patients with lymphomas [4, 5], leukemia [6] and patients with splenic metastases of malignant melanoma [7]. In the present case there was no indication of infectious diseases or neoplasia. Because of the familial case history it was speculated that there might be a hereditary storage disease as a causal factor. However, biopsy results did not show any evidence for this notion.
The present patient had an uneventful medical history except for cardiac analysis of nonspecific chest pain without cardiac cause. In retrospection, the patient might already had a splenomegaly. However, no previous analysis had been performed. Because of the anxiety of the patient to develop a splenic re-rupture and because we did not know the cause of the spontaneous bleeding we decided to perform a splenectomy. Pathology report, however, did not show any reason for splenomegaly or abnormal splenic tissue. The patient recovered quickly after surgery and was satisfied with the clinical course. Unfortunately, we did not find the origin of the occurrence of familial atraumatic splenic rupture in the present case history.
CONFLICT OF INTEREST STATEMENT
None.