-
PDF
- Split View
-
Views
-
Cite
Cite
Amy G. Fiedler, Robert C. Schutt, David Greenhouse, James Stone, Thoralf M. Sundt, Rahul Sakhuja, Hybrid approach to the management of infective endocarditis complicated by coronary artery embolism: a case report, Journal of Surgical Case Reports, Volume 2017, Issue 6, June 2017, rjx110, https://doi.org/10.1093/jscr/rjx110
Close - Share Icon Share
Abstract
Septic coronary embolization in a patient with endocarditis is a rare and can be a devastating complication. The management of this clinical problem in the current era may be best served with a multi-modality approach. We present an interesting case of a patient with septic coronary embolization managed with the combined use of aspiration thrombectomy followed by surgical management of the infected valve.
INTRODUCTION
Septic coronary embolization in a patient with endocarditis is a rare and devastating complication. Multiple management strategies have been employed to deal with this challenging situation. We present an interesting case of a patient with septic coronary embolization presenting as an acute coronary symptom hours prior to planned surgical intervention. Utilizing a multi-modal approach with interventional cardiology and surgery, the patient was managed with aspiration thrombectomy followed by surgical valvular intervention.
CASE REPORT
A 67-year-old man underwent bioprosthetic aortic valve replacement and coronary artery bypass grafting with a saphenous vein graft to a diagonal artery in 2012 for severe aortic stenosis with coronary artery disease. He had done well until October 2016 when he presented with a five day history of fevers, chills and abdominal pain. On physical examination, a new 2/6 early-mid peaking systolic murmur was appreciated at the right upper sternal border. Six of six blood culture bottles were positive for Staphylococcus epidermidis and he was treated with vancomycin, gentamicin and rifampin for endocarditis while undergoing further evaluation.
CT scan of the abdomen and pelvis noted a large splenic infarct consistent with a septic embolus. Transesophageal echocardiography demonstrated 1.8 × 0.9 cm2 vegetation on the prosthetic aortic valve with a large aortic root abscess. After confirming the diagnosis of endocarditis, surgery was scheduled for the next day given hemodynamic stability and the patients’ strong personal preference to delay surgery in order for family to be present despite understanding the risks of continued septic embolization.
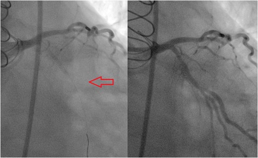
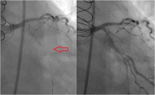
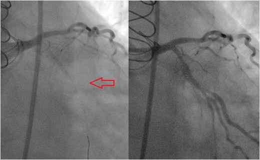
On the morning of surgery, the patient complained of acute, severe chest discomfort and was diaphoretic and pale. EKG demonstrated new ST depressions in V1–V4 (Fig. 1). CT coronary angiography was considered, however, given an evolving acute coronary syndrome (ACS), the decision was made to proceed for emergent coronary angiography, understanding the risks of possible iatrogenic embolization, but the benefit of rapid revascularization. The time to revascularization following lesion identification on CT and subsequent re-operative cardiac surgery was felt to be time prohibitive. Angiography revealed a 100% left circumflex ostial occlusion (Fig. 2). The saphenous vein to the diagonal graft was widely patent and no additional lesions were identified. The presumed etiology of the new circumflex occlusion was a septic embolism secondary to prosthetic valve endocarditis. After discussions with the cardiac surgeon, referring cardiologist and patient, we felt that a hybrid strategy of attempted percutaneous coronary intervention with aspiration thrombectomy followed by open surgical valve replacement provided the optimal benefit/risk profile. Aspiration thombectomy was performed with an Export® AP thrombectomy catheter (Medtronic Inc., Minneapolis, MN) retrieving a substantial amount of organized material concerning for thrombo-vegetation (Fig. 3). After two passes of the aspiration catheter TIMI 3 flow was restored (Fig. 3), ST depressions resolved, and he experienced significant improvement in his chest pain.

Electrocardiogram with chest pain (top) demonstrating new ST-depression concerning for myocardial ischemia significantly different than baseline ECG on admission (lower).

Angiogram before (left) and after (right) aspiration thrombectomy demonstrating excellent angiographic result.

Shortly after aspiration thrombectomy, the patient was brought to the operating room where he underwent re-do sternotomy, aortic root replacement utilizing 23 mm cryopreserved aortic homograft valve conduit as a free standing aortic root. The surgery was without complication.
His post-operative course was complicated by a drug reaction with eosinophilia and fever, likely related to either rifampin or vancomycin. Consequently, he was changed to intravenous daptomycin and was discharged to home on post-operative Day 19 with a 6-week course intravenous of antibiotics.
DISCUSSION
We report a case of septic coronary artery embolism (SCAE) as a complication of prosthetic valve endocarditis treated with a hybrid percutaneous and surgical approach. SCAE causing ACS is an infrequent but important complication of infective endocarditis. In one large series of 629 patients with left sided endocarditis, coronary artery embolism occured in 3.5% of cases [1]. In another study of 586 patients with infective endocarditis, mortality was twice as high (64 vs 32%) in those patients with ACS (from either SCAE or arterial compression from abscess) [2].
Treatment for patients with SCAE has included medical management [3], pharmacologic thrombolysis [2, 4], surgical bypass grafting, removal of intracoronary vegetation during surgery with balloon embolectomy, balloon angioplasty with or without stent placement, and more recently percutaneous aspiration thrombectomy. Medical management and thrombolysis have been associated with poor outcomes. Additionally, coronary abscess formation at the site intervention has been reported in cases of both angioplasty alone and angioplasty with stenting. In our case, additional bypass grafting of the occluded circumflex coronary artery or surgical extraction of vegetation would likely be difficult based on location and unclear outflow, compounded by the risk of operating during ongoing ACS. Therefore, we opted for a hybrid approach as described.
We were able to rapidly address his ACS before transmural infarction occurred. Secondly, we were able to significantly decrease operative complexity and risk by eliminating the need for vein harvest, target identification, and coronary artery bypass graft creation in an emergent re-operative setting.
We selected an Export aspiration catheter based on the favorable inner to outer diameter ratio. We remained on ‘suction’ until the catheter was full withdrawn from the body, and bled back sheath and rotating adapter as not to introduce air or aspirated material into the coronary circulation, allowing for successful extraction. In other cases, the aspiration thrombectomy catheters failed, presumably due to inadequate intraluminal area to accommodate the size of the embolized vegetation. This highlights the need to be prepared to use additional devices—support catheters, guide extensions—for aspiration thrombectomy.
Standard of care based on guideline recommendations for patients who present with presumed SCAE in the setting of inective endocarditis is emergent operative intervention in order to avoid embolic risk with coronary angiography manipulation, provide source control, and a durable revascularization strategy. Given the unique set of circumstances which our patient presented, this case suggests that a hybrid approach with attempted percutaneous aspiration thrombectomy is an attractive therapeutic option in a very specific patient population with SCAE. This case also demonstrates the importance of a multidisciplinary ‘heart team’ approach, where the optimal treatment strategy may include hybrid approaches to the management of ACS in the setting of complicated patients with infective endocarditis.
CONFLICT OF INTEREST STATEMENT
None declared.