-
PDF
- Split View
-
Views
-
Cite
Cite
Sam Alhayo, Preet Gosal, Anthony Shakeshaft, Incarcerated congenital transmesenteric hernia in an adult: a case report, Journal of Surgical Case Reports, Volume 2017, Issue 6, June 2017, rjx112, https://doi.org/10.1093/jscr/rjx112
Close - Share Icon Share
Abstract
Transmesenteric hernia is a rare cause of bowel obstruction and strangulation. It can be due to iatrogenic injury, trauma, inflammatory and less likely congenital. We present a case of true congenital transmesenteric hernia in a 26-year-old male with no previous surgical history or trauma. The patient presented acutely with no prior symptoms. Investigations provided limited information towards the diagnosis of the hernia, but suggestive of mid-gut volvulus. Emergency laparotomy was performed to find >75% of small bowel herniating through a proximal jejunal mesenteric defect leading to incarceration and early strangulation. No resection was required and patient recovered well. This case presents yet another rare pathology and highlights the importance of keeping a low threshold for operative intervention in uncertain cases.
INTRODUCTION
Internal hernias are a known cause of small bowel obstruction, rarely seen in the adult population. Paraduodenal hernias make up the majority of these cases, however, there are a few published reports of transmesenteric types in the adult population. Transmesenteric hernias are more commonly described in post-operative patients where bowel contents herniate through a mesenteric window, and occasionally can be associated with blunt abdominal trauma. Congenital transmesenteric hernia is a rarely described condition where the small bowel herniates through a weakening of the mesentery, as seen in this remarkable case of a 26-year-old male presenting with acute small bowel obstruction and peritonism in a virgin abdomen.
CASE REPORT
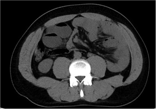
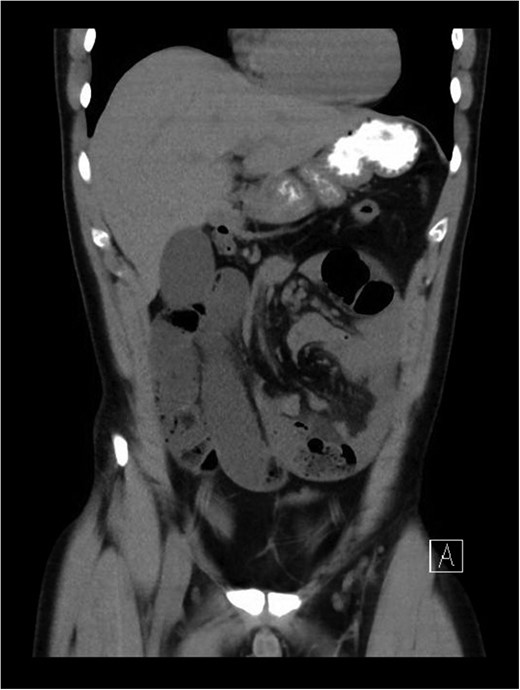
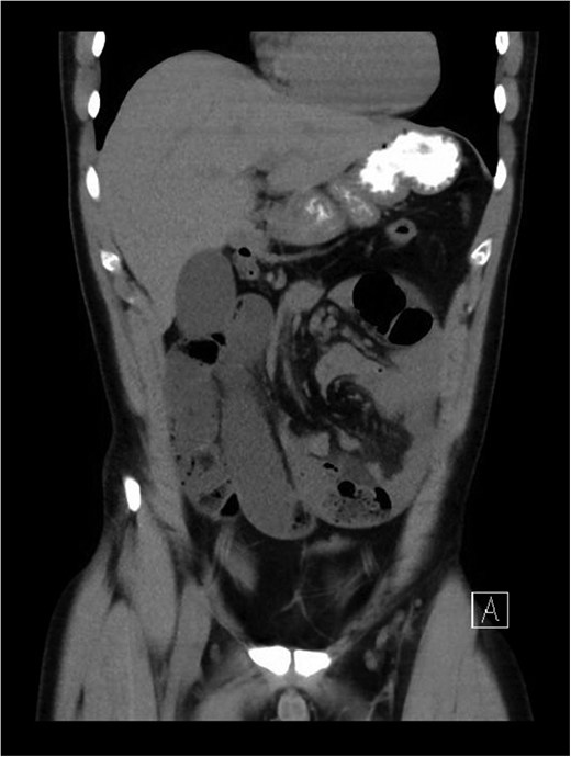
The patient presented to a local hospital at approximately mid-day with worsening severe central abdominal pain associated with vomiting and obstipation. The symptoms had been rapidly progressing over a period of 12 h. He finally presented with pain preventing him from lying flat. Patient had no history of abdominal surgery, trauma or large food bolus. There was no other relevant past personal or family history. On examination, he appeared diaphoretic and in distress, but maintained normal vital signs, except for bradycardia. His examination revealed signs of florid peritonism, with rigid distended abdomen. Initial blood films were only remarkable for hypophosphatemia (0.33 mmol/L) with a normal lactate (1.1 mmol/L) and pH (7.30 with base excess of −3 mmol/L). His white cell count was 11.8 × 109, and had a C-reactive protein of 14. An abdominal computed tomography (CT) scan was performed and revealed features highly suggestive of mid-gut volvulus with associated obstruction and likely vascular compromise (Figs 1 and 2).

Axial CT abdomen and pelvis revealing internal hernia with evidence of small bowel obstruction.

Coronal view of CT abdomen and pelvis revealing incarcerated internal hernia with signs of small bowel obstruction, whirl sign suggestive of volvulus.
After the initial assessment, investigations and liaising with the on-call surgical team, the patient was transferred to a tertiary hospital. Prior to transfer a nasogastric tube, indwelling catheter were inserted and intravenous crystalloid fluids with broad spectrum prophylactic antibiotics administered.
The patient was taken to the operating theatre within 1 h of arrival to the tertiary hospital. Intraoperatively, a midline laparotomy incision was created. Findings were that of distended dusky looking loops of small bowel leading to a large hernia sac in the left hemi-peritoneal cavity, with ~100 cm of jejunum and ileum in a closed loop (Fig. 3). The collapsed small bowel in the sac was carefully reduced, with no visible bowel wall compromise. The sac also contained serous fluid and was found to arise in continuity with the proximal jejunal mesentery. Once the bowel loops were reduced, and rotated back to its natural orientation, the excess membrane was then dissected and the remaining was plicated to the healthy mesentery. In addition, a short healthy mesenteric pedicle was also noted, however, there was strong pulsation from the superior mesenteric vessels. Bowels were thoroughly inspected and deemed healthy, therefore, no resection was required, and the abdominal incision was closed by layers. The patient was discharged from hospital on Day 4 post operatively with uneventful recovery period.

Intra-operative picture post exteriorizing of defect and obstructed small bowel, showing the transmesenteric hernia, covered with thin mesenteric membrane prior to reduction of incarcerated small bowel.
DISCUSSION
Internal hernias are protrusion of viscera through a defect or a hole, either a mesenteric or peritoneal, and may either be congenital or acquired [1]. Internal hernias can be transmesenteric, paraduodenal, pericaecal, foramen of Winslow-related, intersigmoid or retroanastamotic [2]. Their incidence is 0.2–0.9% of all hernias [1]. Transmesenteric and transmesocolic represent only 8% of all internal hernias [2].
In transmesenteric hernias, acquired causes are previous surgical intervention, intraperitoneal inflammation and blunt or penetrating trauma [3]. Whilst congenital causes are yet to be determined, it is hypothesized that they develop as a result of prenatal intestinal ischemia leading to thinning of a mesenteric leaf leading to mesenteric defect. This, however, is most commonly associated with paediatric age group. Genetics are also thought to play a role due to association of transmesenteric hernia with cystic fibrosis and Hirschsprung’s disease [4]. There are only few case reports of adult non-traumatic transmesenteric hernias found in literature [5, 6].
Transmesenteric hernias are mostly reported to occur in the region of small bowel mesentery, and specifically in the ileocaecal are of the mesentery [3]. Our case falls within a less common region, in proximal jeujenal mesentery.
Nearly one-third of transmesenteric hernias can end up in volvulus, strangulation and bowel ischemia [7]. This is likely, but not strictly, to happen due to lack of capsulation of the hernia, therefore allowing larger loops of bowel to herniate and vole [7]. This, as obvious, is a major difference to the case we are reporting where a thin membranous mesentery was still capsulating the volved herniated bowel loops.
Tranmesenteric hernias presentation can vary from asymptomatic to simple intermittent episodes of abdominal pain, nausea, diarrheas to acute abdomen with vomiting and even unexpected death [1, 8].
X-rays and CT imaging may help in identifying signs of obstruction, volvulus and/or strangulation in patients with internal hernias [8]. Certain CT features represented by clustering of dilated small bowel peripherally without overlying Omentum and leading to colonic displacement centrally may be suggestive of transmesenteric hernias [8]. However, final diagnosis will only be confidently achieved intraoperatively [3, 9]. In our case, CT findings were suggestive of bowel obstruction with mid-gut volvulus to be the likely cause.
In literature, majority of transmesenteric hernias present as emergency cases, and surgical intervention with or without bowel resection and mesenteric defect closure is often required [1, 3, 5]. An early intervention is recommended to prevent unnecessary bowel resections and even death [1, 3, 8]. Our patient was operated on within 1 h of transfer to our centre and thus we prevented ischemia and avoided bowel resection.
This case represents a rare type of internal hernias, a true congenital transmesenteric hernia in an adult male with no previous surgical, inflammatory or trauma history. Not only that it occurred in a rare location but the defect was still covered by a thin leaf of mesentery that allowed >75% of the small bowel to herniate and volve through it.
We stress on the importance of early trip to the operating theatre in patients presenting with acute abdomen with no previous surgical history to prevent further morbidity and mortality.
CONFLICT OF INTEREST STATEMENT
None declared.