-
PDF
- Split View
-
Views
-
Cite
Cite
Adrian T. Fung, David E. Konkin, Zaheer S. Kanji, Malrotation with midgut volvulus in an adult: a case report and review of the literature, Journal of Surgical Case Reports, Volume 2017, Issue 5, May 2017, rjx081, https://doi.org/10.1093/jscr/rjx081
Close - Share Icon Share
Abstract
We report a case of a 53-year-old male who presented with acute onset right upper quadrant (RUQ) abdominal pain with investigations demonstrating malrotation causing midgut volvulus and subsequent intestinal obstruction. The patient was consented for an emergent operation and underwent an exploratory laparotomy. Operative findings included the presence of adhesive bands in the RUQ (Ladd’s Band), volvulus of the mid-portion of the small bowel in a clockwise fashion and multiple intra-abdominal adhesions causing internal hernias. We subsequently performed a Ladd’s procedure and the patient had an uneventful recovery with eventual discharge on postoperative day 8. This case report reviews the incidence of malrotation in adults. It also highlights the difficulty in diagnosing midgut volvulus in the adult population given the nonspecific, insidious symptoms therefore prompting awareness of its existence and a high degree of clinical suspicion.
INTRODUCTION
Intestinal malrotation is more commonly diagnosed in the neonatal period, while adult presentations are reported with an incidence of 0.2% [1]. Such patients pose a unique challenge for the surgeon acutely both from a diagnostic and treatment standpoint. Herein, we report and review a case of intestinal malrotation with midgut volvulus in an adult. This report was approved by our Institutional Review Board.
CASE REPORT
A 53-year-old man presented to the hospital with a 4–5 hour history of sudden onset, sharp right upper quadrant (RUQ) pain that began postprandially. His pain was associated with nausea, vomiting and obstipation. He also reported significant abdominal distension. At the time of presentation, he endorsed generalized abdominal discomfort.
He is otherwise healthy with a past medical history significant only for benign prostatic hypertrophy and no prior abdominal surgeries. He endorsed mild nonspecific intermittent abdominal pain in the past without clear cause. He denies any recent trauma, weight loss, travel history, changes in appetite or bowel habits. This is his first presentation for such severe abdominal pain.

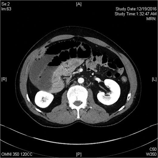
Computerized tomography scan of the abdomen in axial view demonstrating small bowel volvulus.
Upon entry into the abdomen, a 20 cm segment of small bowel appeared ischemic, but without obvious gangrene. There were numerous adhesions causing closed-loop internal hernias at multiple locations along the small bowel. A mass like object was seen in the RUQ, which initially appeared to be colon. We proceeded with lysis of adhesions and it became evident that this mass was small bowel. In addition, with further dissection, the small bowel was found to segregate in toto to the right abdomen, consistent with malrotation. The mid-portion of the small bowel had rotated along its mesentery demonstrating midgut volvulus. Subsequently, we performed a counter-clockwise detorsion of the small bowel, internal hernia reduction and take down of Ladd’s band in the RUQ. Following adhesiolysis and detorsion, the cecum and appendix were seen in the left lower quadrant, and an appendectomy was also performed. The affected small bowel segment was re-examined and deemed viable, avoiding a resection. The patient’s abdomen was closed primarily and he was transferred to the surgical floor.
The patient’s postoperative course was marked by prolonged ileus requiring 24 hours of total parental nutrition. The patient was discharged on the eighth postoperative day.
DISCUSSION
Malrotation occurs when normal embryonic rotation and fixation of small bowel fail to occur during the 10–12th week of gestation [2–4]. Consequently, a narrow mesenteric base and Ladd’s band (adhesion running from cecum to the right lateral abdominal wall) are formed predisposing patients to obstruction. Thus, volvulus most commonly presents as a surgical emergency during the neonatal period or first month of life, and less commonly in older children and adults [1, 2]. Intestinal malrotation in adults tend to have a variable clinical presentation ranging from acute bowel obstruction to insidious, nonspecific symptoms, which often delays diagnosis compared to pediatric patients [2, 5].
Most adults present with chronic symptoms which may be present for greater than 6 months [3]. Patients may complain of intermittent abdominal pain, bloating and vomiting, frequently in the postprandial period. Conversely, ~10–15% of adults with malrotation present with acute volvulus complaining of severe abdominal pain, nausea, vomiting, hematemesis or hematochezia, with or without hemodynamic instability [5, 6]. In this current report, the patient reported mild abdominal pain and denied other chronic symptoms, and presented acutely with obstruction secondary to volvulus.
The treatment for malrotation depends on the severity of the patient’s presentation. Patients experiencing chronic symptoms without acute volvulus are treated with an elective Ladd’s procedure. Acute volvulus requires emergency laparotomy after appropriate hemodynamic resuscitation. The Ladd’s procedure, originally described by pediatric general surgeon William Ladd in 1936, remains the mainstay in surgical management. The procedure involves five steps and has been described both via an open or laparoscopic approach: assessment for volvulus with counter-clockwise detorsion if present, Ladd’s band division, inter-mesenteric band division (fibrous bands between bowel loops other than cecum and duodenum), appendectomy due to its aberrant location (and prevention of future confusion) and finally placement of bowel in the corrected anatomic position. If frank gangrene is evident, the involved bowel is resected; if viability is equivocal, relook laparotomy is recommended within 24–48 hours [2].
In patients presenting with incidental malrotation, the decision to proceed with operative intervention versus conservative management is controversial [7]. Due to the rarity of the condition, only small case series are available and largely in the pediatric literature. However, most authors advocate for surgical intervention due to the lack of reliable predictors for the development of midgut volvulus.
The outcome of adults undergoing operative intervention for malrotation depends on the severity of presentation [5, 7]. The mortality rate ranges from 0 to 25%, with acute volvulus having the highest mortality. Patients may also experience significant morbidity postoperatively (up to 60%) [1, 5]. Prolonged ileus is anticipated following Ladd’s procedure, as was evident in our patient. Patients are also at a higher lifetime risk of developing small bowel obstruction [2]. Recurrent volvulus occurs in 1.8–8% of cases, and clinicians should be aware of its possibility [8].
In conclusion, we present a rare case of malrotation with midgut volvulus in an adult. Given his acute presentation, operative intervention was the natural trajectory in his management. However, this entity can be challenging to diagnose in the adult population and a high index of suspicion would facilitate a timely diagnosis.