-
PDF
- Split View
-
Views
-
Cite
Cite
Jurij Janež, Acute intestinal obstruction due to metastatic lung cancer—case report, Journal of Surgical Case Reports, Volume 2017, Issue 2, February 2017, rjx031, https://doi.org/10.1093/jscr/rjx031
Close - Share Icon Share
Abstract
We present a case of male patient, who was referred to our department because of acute intestinal obstruction, which was the initial clinical symptom of primary lung cancer. The abdominal computed tomography (CT) prior to the emergency operation showed small intestinal obstruction and metastases to both adrenal glands. The patient underwent an emergency abdominal exploratory laparotomy, that confirmed small bowel obstruction and diffuse metastatic lesions along the entire small bowel length. During the operation we took a sample of one metastasis for pathological examination and we created an intestinal bypass to relieve small bowel obstruction. The pathologist suspected to primary lung cancer according to the immunohistochemical staining. The chest CT after the emergency operation showed a large primary tumor in the left upper pulmonary lobe.
INTRODUCTION
Small bowel obstruction is not so rare cause of hospitalization. According to literature, a significant percentage of those patients (18–57%) require an operative treatment. There appears to be a 4–37% rate of complications and 2–6% mortality rate for those patients undergoing operative interventions for bowel obstruction [1]. One group of small bowel obstruction patients who present a clinical challenge are those who present with an obstruction due to intra-abdominal malignancy, a malignant small bowel obstruction (MBO). Those patients present a clinical dilemma, as they are often nearing the end-of-life; however, the intractable symptoms of pain, nausea and vomiting require management [1]. Haematogenous spread to bowel occurs in 2% of advanced cancer. Most frequently non–small-cell lung cancer metastizes into mediastinal lymph nodes, central nervous system, adrenal glands and liver. Small bowel metastases occur mainly in cases of advanced cancer [2]. Often such intestinal metastases present with ileus, perforation, intussusception or gastrointestinal (GI) bleeding. A surgical resection of isolated lesion might be possible, however, a surgical treatment of disseminated disease is palliative with poor outcome [1]. We report an unusual case of acute small bowel obstruction due to metastatic occult lung cancer, which was diagnosed later after the emergency operation in the setting of postoperative diagnostics.
CASE REPORT

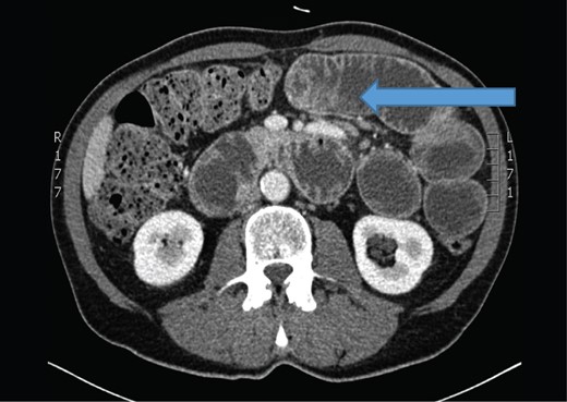
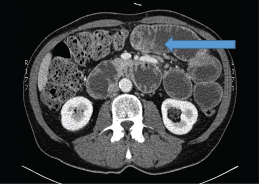
The abdominal computerized tomography showed small bowel obstruction with dilated small bowel loops (arrow).
The patient was sent to the operating theater for an emergency operation. He was placed in supine position. He already had inserted a nasogastric tube and a Foley catheter. Intravenous perioperative antibiotic prophylaxis was administered with gentamicin and metronidazole. The operative field was prepared in a sterile manner. A small median laparotomy was made and a thorough exploration of abdominal cavity was performed. During the abdominal exploration we found multiple metastatic lesions along the entire length of small bowel and also some lesions along small bowel mesenterium. One of the metastatic lesions was completely occluding the bowel lumen and was the cause of intestinal obstruction and ileus. The other lesion along the entire length of small bowel were at that time nonobstructive. We explored the entire abdominal cavity, but we did not find any other pathology, which would be suggestive as a primary tumor. There were also no other metastases. Liver and other peritoneal surfaces were without evident pathology. We took a sample of one metastatic lesion for definitive pathohistologic examination and then we created an intestinal bypass to relieve the intestinal obstruction. We created an entero–entero anastomosis with running slowly resorbable suture. Haemostasis was complete at the end of operation. We irrigated the abdominal cavity with saline and closed laparotomy with interrupted resorbable sutures without abdominal drain. The skin wound was closed with staples. The postoperative course was uneventful. On the second postoperative day patient started with liquid diet, the nasogastric tube and Foley catheter were removed, he started to pass stool spontaneously. On the fifth postoperative day he was discharged from hospital.

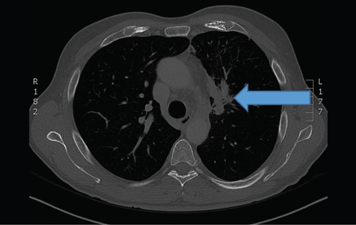
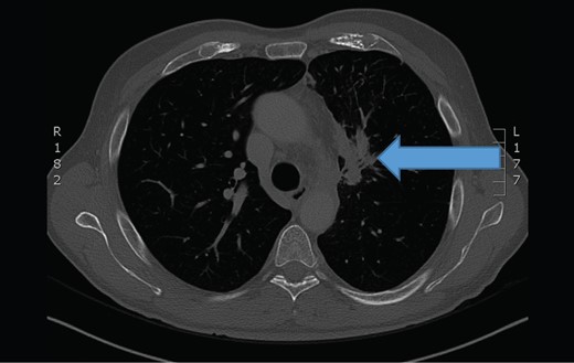
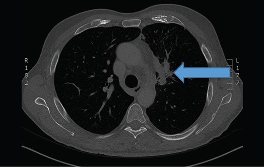
The chest computerized tomography scan showed a infiltrating tumor mass at the upper left lung (arrow).
Because of unknown origin of small intestinal metastases, the patient was referred to extensive diagnostics. Chest CT showed a large primary lung tumor in the left upper pulmonary lobe with pathological mediastinal lymph nodes. The patient was presented to multidisciplinary team and was later referred to oncology for further treatment.
DISCUSSION
Approximately half of lung cancer cases are inoperable at the time of diagnosis, due to metastases to various organs, including brain, liver, bones and adrenal glands [3]. Symptomatic small bowel metastases from primary carcinoma of the lung have been rarely reported. Such lesions are usually manifested by intestinal obstruction, perforation and rarely bleeding or peritonitis [4]. Small bowel metastases from primary lung cancer are usually confirmed by pathological analysis with the help of immunohistochemical staining of TTF-1, CDX2, CK7 and CK20, to differentiate the primary small bowel tumor from metastases of lung cancer [5]. Metastases from a primary lung cancer to the GI tract are relatively rare with a frequency ranging from 0.2 to 1.7% in several studies. However, autopsy data have suggested a much higher frequency of GI metastases of lung cancer than clinically reported cases and there in a prevalence of 4.7–14%. This discordance between clinical and postmortem studies can be attributed to the fact that GI metastases from lung cancer very rarely give rise to symptoms or complications [6, 7]. Small bowel is the most commonly reported GI metastatic site of lung cancer [5]. Haematogenous small bowel metastases of carcinoma of the airways seed more often in the ileocoecal region and are more often isolated, whereas small bowel metastases of intestinal tumors are smaller and show a more disseminated pattern of spread [2]. The ileum is supposed to be the most common site of metastasis from lung cancer, metastasis to jejunum occurs at a slightly lower prevalence in comparison to the ileum and metastasis to the duodenum in relatively rare [3]. Interestingly, in our case we found a diffuse pattern of haematogenous spread to the small bowel from a primary lung cancer. Most patients with small bowel metastases have no specific symptoms such as anorexia, abdominal pain, distention and diarrhea. With the progression of disease, life-threatening symptoms do present, such as small bowel obstruction, perforation and even bleeding [5]. Because of the difficulty in early detection of GI diseases, the diagnosis of small bowel metastases is often delayed before it is presented with life-threatening complications, which frequently requires an emergeny operation [5, 6]. The optimal treatment and management strategy for malignant bowel obstruction continues to be a widely debated topic. Evaluation for a definitive operation to remove or overcome an obstruction is the first step after the diagnosis [6]. Surgical resection is indicated, when the tumor is localized, without extensive vascular invasion or metastases and the patient has good performance status [6]. The management of lung cancer patients presenting with symptomatic GI metastases remains controversial with some authors advocating conservative management with maximum comfort care due to the poor outcome. On the other hand, others have recomended agressive surgery as it offers effective palliation [7].
In our case, small bowel obstruction was the initial clinical symptom for this patient. Primary lung cancer was suspected by a pathologist according to the immunohistochemical staining of metastatic lesion, that was taken from small bowel mesenterium during surgery. The diagnosis was later confirmed with chest CT, showing a large tumor mass in the left upper pulmonary lobe. The second abdominal CT confirmed diffuse small bowel metastases, that were found during emergeny surgery and metastases to both adrenal glands (stage IV).
CONCLUSION
Improved awareness of GI tract metastases among physicians is important, since the incidence of lung cancer is increasing and patients with lung cancer now live longer due to improvement in treatment. Gastrointestinal metastasis as the initial presentation of primary lung cancer is relatively rare in the clinic. One of the possible GI symptoms of small bowel involvement is intestinal obstruction. Surgical management should be considered as palliative treatment in patients with a bowel obstruction caused by primary lung cancer.
CONFLICT OF INTEREST STATEMENT
None declared.