-
PDF
- Split View
-
Views
-
Cite
Cite
Ambareen A. Naqvi, Sandeep S. Joshi, Edmund Bailey, An unusual case of disappearing bone disease in the mandible and literature review, Journal of Surgical Case Reports, Volume 2017, Issue 2, February 2017, rjx025, https://doi.org/10.1093/jscr/rjx025
Close - Share Icon Share
Abstract
Disappearing bone disease is a rare disorder that causes spontaneous and progressive osteolysis and proliferation of lymphatic tissue and blood vessels. It is debilitating and there is evidence of mortality in reported cases including those affecting mandible. A 38-year-old man was diagnosed with disappearing bone disease of the mandible in 2013. This had progressed from being in the right ramus only, and now extends to the lower right first molar and affects the left coronoid process and ramus. Mandibular involvement has shown to be high-risk. In older patients, misdiagnosis can occur without thorough investigation, and education of clinicians needs to be paramount to provide the appropriate treatment for this rare condition. The disease can be debilitating and as such education and support of patients is essential.
INTRODUCTION
Disappearing bone disease, or Gorham-Stout disease, is a rare disorder of unknown aetiology. Bone is progressively resorbed and replaced by lymphatic tissue [1]. It can involve one or more bones but it rarely affects the head and neck. The first reported case was in 1838 involving the humerus [2]. The first reported case in the head and neck was in 1924 [2].
This report presents a case of a patient with mandibular involvement diagnosed in 2013.
CASE REPORT
A 38-year-old man was referred to the oral surgery department for opinion after having had some teeth removed by his dentist, which had become mobile. He had previously been seen by an oral and maxillofacial department who had diagnosed the patient with bone disappearing disease. The patient had been lost to follow up with this unit. The patient reported ‘wobbly’ teeth but no pain.
Medically, the patient had gout but was not taking any medication for this. He was a non-smoker and did not drink alcohol.
On examination, the patient was edentulous to the lower right first molar, without palpable bony tissue on this side of the mandible up until reaching the lower right first molar. There were also mobile lower teeth on this side.
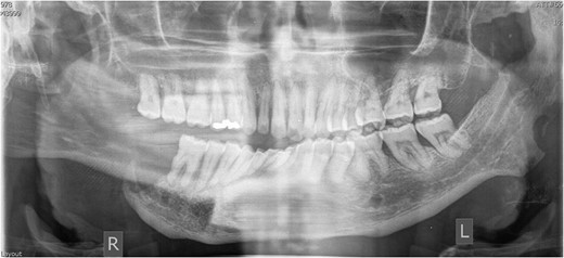
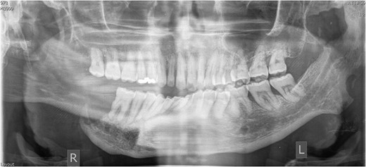
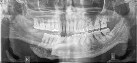
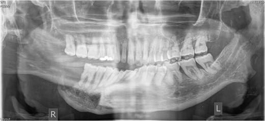
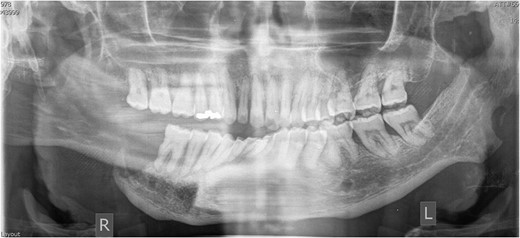
On radiographic examination, there was complete bone loss of the right mandible up to the lower right first molar and also bone loss affecting the left coronoid and ramus (Fig. 1). Previous radiographic reports from 2013 had shown only bone loss of the right ramus. The patient was subsequently referred for a CT scan of his facial bones, which he failed to attend. As was the case with the previous department, he failed to attend appointments with the metabolic bone disease unit for further investigation of other bones. He was also prescribed alendronic acid, a bisphosphonate, in 2014 but did not fill the prescription.

Dental panoramic tomograph from 2016 showing extensive bone loss of the right mandible, left coronoid process and ramus.
DISCUSSION
Disappearing bone disease is a debilitating disease with a mortality rate of ~16% in reported cases [3]. Most commonly found in the pelvis, scapula, shoulder and clavicle, the mandible is the most frequently affected bone in the head and neck region [4].
Presentation of the disease can be a dull ache or progressive weakness. In some cases, a pathological fracture may occur. Although usually monocentric, there are reported cases of other bones being involved. Radiographic evidence was first described by Resnick, who found radiolucent foci in the initial stage leading to fracture, fragmentation and disappearance of the bone to a taper or point. Usually, there is an increase in the bony destruction with very few cases showing spontaneous recovery [5]. The cases of death have been usually due to bone loss in the thorax [3].
The disease is a locally aggressive disease with resorption of bone, proliferation of blood vessels and lymphatic tissue which can extend into the soft tissues. Histologically, there is evidence of multiple sinusoidal blood filled vessels and capillaries. Diagnosis is complicated, and a diagnostic criteria were proposed by Heffez et al.:
A positive biopsy
Absence of cellular atypia
Minimal/no osteoblastic response
Evidence of local, progressive osseous resorption
Non-expansible, non-ulcerative lesion
Absence of visceral involvement
Osteolytic radiographic pattern
Negative hereditary, metabolic, neoplastic, immunologic or infectious aetiology.
At the present time, there is no recognized effective treatment. Studies have shown resection and bone grafting usually result in failure and recurrence [6]. Radiation therapy has been shown to be more effective but has severe side effects such as a risk of osteosarcoma in young children [7]. Bisphosphonates have also been shown to be more effective with newer generations such as zolendronic acid and can be used in the acute phase [8]. Recent evidence of osteonecrosis of the jaw from bisphosphonates highlight that this needs to be considered when prescribing it [9]. The risks and benefits of the treatment modality need to be assessed fully especially in patients who are polycentric.
This case, with the evidence of the morbidity and mortality associated, has emphasized the need to educate patients with regards to their condition. It is thought that some patients may be in denial with their diagnosis and as such are unwilling to go through with further investigations or treatments [10]. The case we have presented has shown numerous failures to attend for further investigations such as CT scans, assessment for further bony involvement and treatment.
Mobility of the teeth can be the first symptoms of the disease; hence, dentists may be the first clinician to see the patient. As well as educating the patient to the benefits of monitoring the disease and potential treatment, clinicians need to be aware that this disease can mimic periodontal disease, osteomyelitis and tumours such as giant cell tumours and as such should be aware of this as part of their differential diagnoses. It is important that these patients are referred to specialist care.
CONCLUSION
Disappearing bone disease is a very rare but highly debilitating disease. Thorough investigation of patients needs to be performed to ensure misdiagnosis does not occur. Education of patients and clinicians is important in identifying this rare disease, and ensuring appropriate care and support is given.
CONFLICT OF INTEREST STATEMENT
None declared.
REFERENCES
https://rarediseases.org/rare-diseases/gorham-stout-disease/ (29 November 2013, date last accessed).