-
PDF
- Split View
-
Views
-
Cite
Cite
Steven D. Brookes-Fazakerley, Philippa Thorpe, Colin Chan, Gillian E. Jackson, Contralateral acute lower limb ischaemia following total hip replacement in a patient with an endovascular abdominal aortic aneurysm repair, Journal of Surgical Case Reports, Volume 2015, Issue 3, March 2015, rjv007, https://doi.org/10.1093/jscr/rjv007
Close - Share Icon Share
Abstract
Total hip replacement (THR) is a common procedure to treat patients with a fractured neck of femur. Ipsilateral major vessel injury with acute lower limb ischaemia is a rare but potentially devastating complication. Contralateral acute limb ischaemia is unreported. We present the case of a contralateral, acute lower limb ischaemia following THR for a fractured neck of femur in the presence of an endovascular aortic aneurysm repair (EVAR) and femoro-femoral crossover grafts. We advise early vascular surgery consultation for patients undergoing THR with an EVAR stentgraft in situ to help minimize risks of peri- and postoperative graft occlusion and consequent acute lower limb ischaemia.
INTRODUCTION
In 2013, the National Hip Fracture Database reported 61 508 patients suffering a hip fracture [1]. Forty-eight percent of these were intracapsular fractures with 21% requiring total hip replacement (THR) [1]. The number of THRs for hip fractures has doubled since 2011 [1]. This is likely in response to the 2011 NICE guidance advocating the use of THR in patients with a displaced intracapsular fracture that mobilize independently and have no cognitive impairment [2]. Vascular injuries occurring during THRs are very uncommon, occurring only in 0.2–0.3% of cases [3].
Abdominal aortic aneurysms (AAAs) occur in 1.3–12.7% of the UK population. Endovascular aortic aneurysm repair (EVAR) is a proven and recommended treatment option [4]. Up to 40% of all AAA repairs in the UK are now performed via EVAR [4]. Lower extremity acute ischaemia complications post-EVAR occur in 3–10% of patients [5].
With the increasing frequency of EVAR and THRs being performed for both elective and emergent cases, their coexistence will amplify the risk of lower extremity ischaemic events. This would be expected as a complication in the ipsilateral limb upon which the THR has been performed. Until now, there were no documented cases of acute contralateral lower limb ischaemia in patients with an EVAR following THR.
CASE REPORT
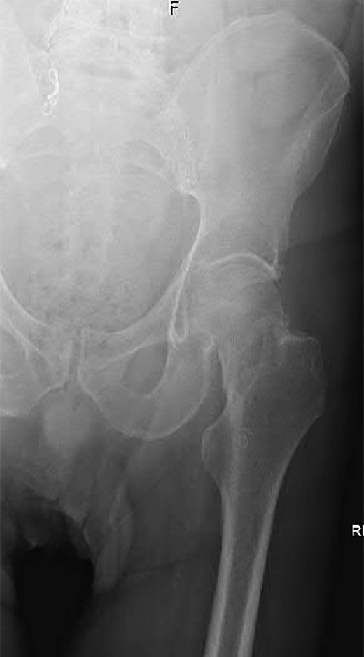
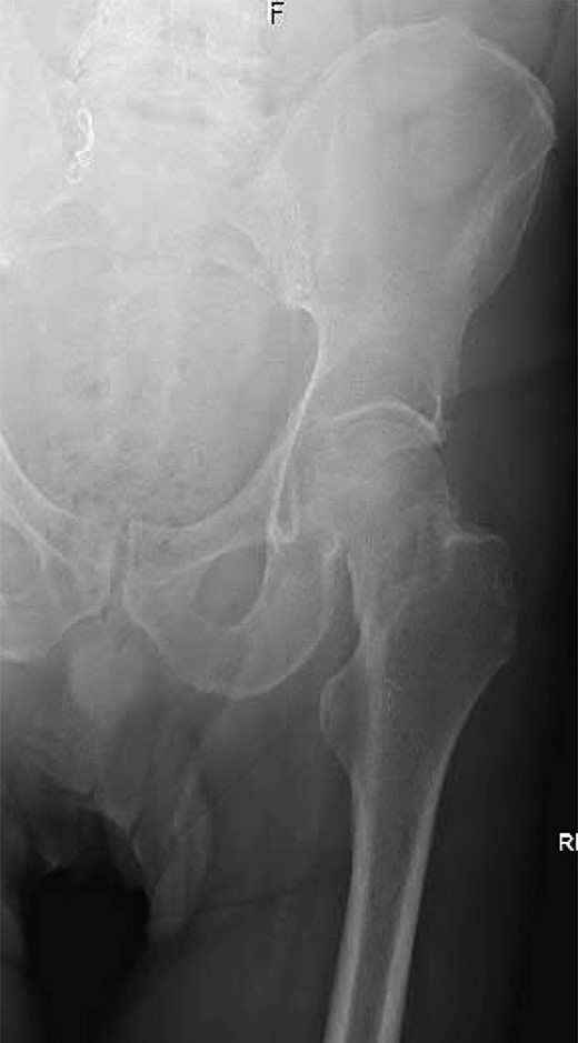
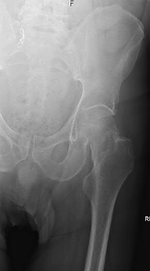
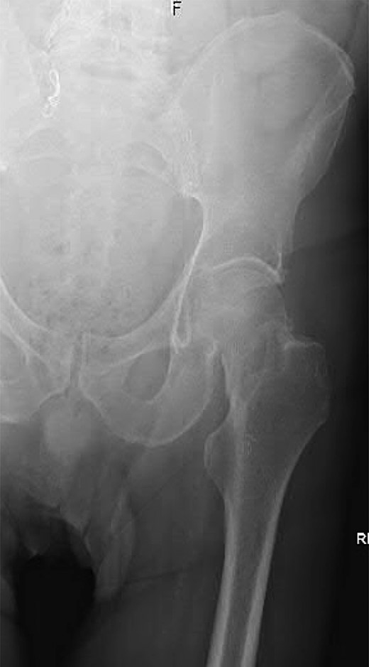
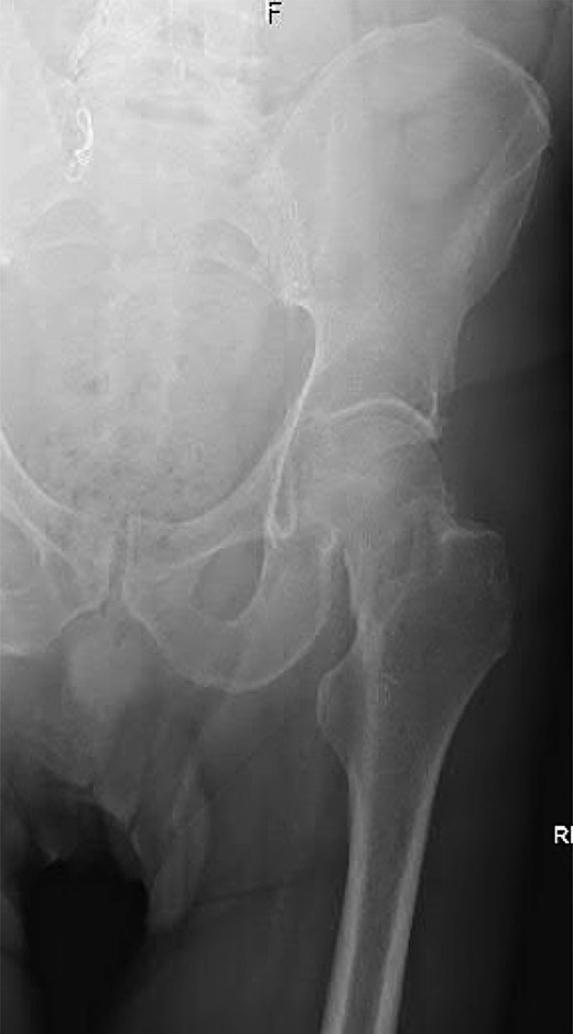
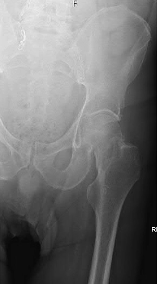
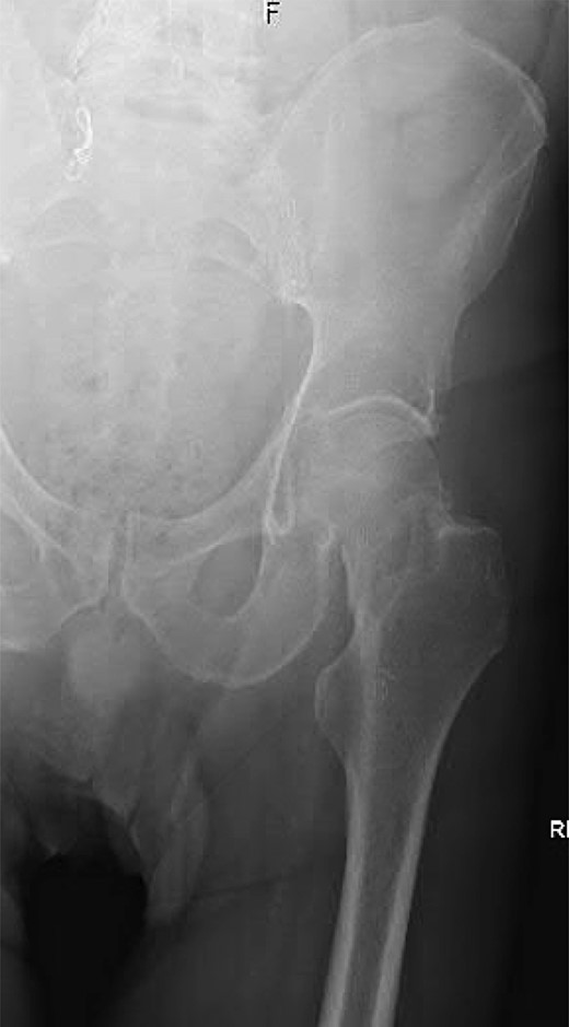
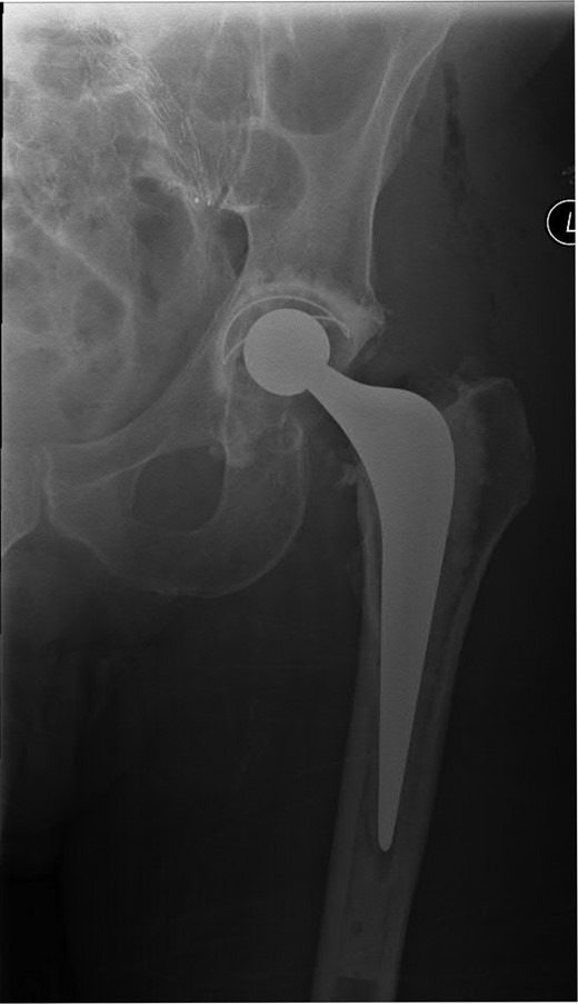
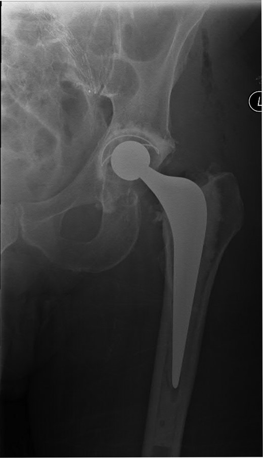
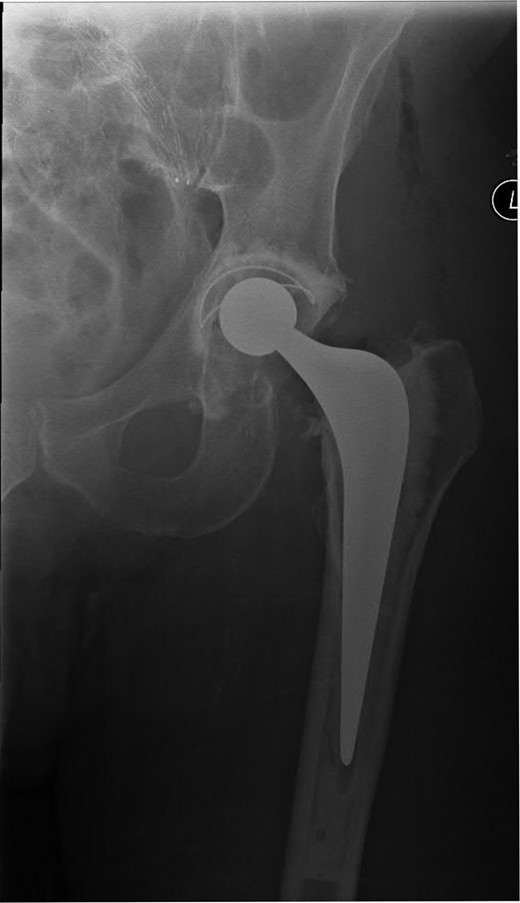
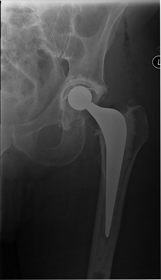
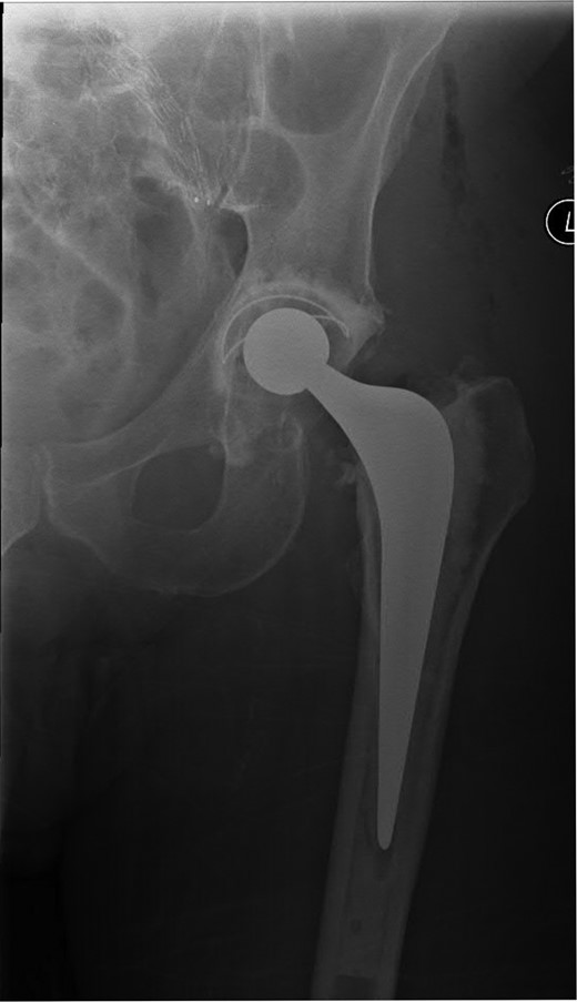
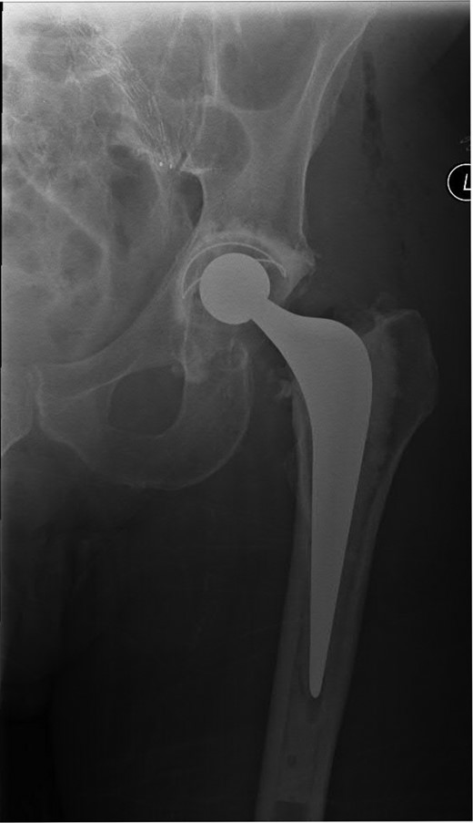
A 74-year-old male was admitted with an intracapsular fractured left neck of femur (Fig. 1). According to the NICE guidelines, he received a cemented THR (Fig. 2) via the posterior approach in the lateral decubitus position. Five weeks prior, he had an EVAR for a leaking AAA. Due to a calcified, narrow right common iliac artery (CIA), the EVAR consisted of a left aortouniiliac endograft with coil embolization of the right CIA and a femoro-femoral crossover graft (Figs 3 and 4).

Anteroposterior (AP) radiograph of the left hip demonstrating a complete and partially displaced, intracapsular fractured neck of femur.


AP radiograph of the lumbar spine demonstrating the aortouniiliac EVAR with coil embolization of the right CIA.

Lateral radiograph of the lumbar spine demonstrating the aortouniiliac EVAR with coil embolization of the right CIA.
Immediately following the THR in the recovery area, it was then noted that the right lower limb skin was mottled and cool to touch with the complete absence of pulses. The left lower limb was perfused normally. Urgent vascular opinion was sought and a computed tomography (CT) angiogram was performed. This showed a complete filling defect of all vessels down to the foot from the level of the femoro-femoral crossover graft (Fig. 5).

CT angiogram with three-dimensional reconstruction revealing a filling defect to the right lower limb with an absence of collateral circulation.
Urgent, open thrombectomy of the crossover graft found fresh thrombus at the grafts origin (left common femoral artery). Proximal and distal angioplasty revealed no further occlusion distal to the crossover graft, and good three-vessel run-off bilaterally. Lower limb pulses were regained and there was no neuro- or myonecrosis.
DISCUSSION
Vascular injury in THR surgery is a recognized but rare complication. This is described affecting the ipsilateral lower limb, but never contralaterally. Ipsilateral vascular injury pathogenesis with THR can be direct and/or indirect. Direct is more common and often secondary to aberrant replacement of the anterior acetabular retractor, which can tear the femoral vessels. The tip of this retractor must be placed directly on bone, not penetrating the psoas muscle. Further direct injuries can be caused by excessive reaming, acetabular screw placement out of Wasielewski's safe zones (posterior-superior and posterior-inferior quadrants), cement extrusion into the pelvis through unfilled acetabular defects or over-zealous cement pressurization [3].
Indirect vascular injury occurs due to stretching and kinking of the vessels during forceful manipulation of the limb, which in turn can cause compression, thrombosis or tearing of the vessels in proximity [3].
Lower extremity ischaemia following EVAR is most frequently a result of graft limb occlusion, atheroembolization or direct vessel injury. The short-term occurrence (within 30 days of procedure) is 5.1%; however, long-term complications have been reported in 18% of patients. Complex aortoiliac anatomy such as tortuous, narrow and calcified access vessels as well as narrow distal necks have all been proposed as harbingers of limb occlusion. Atheroembolization has been associated more commonly with the bulkier, cumbersome endografts and may often preempt the surgeon to stent the iliac limbs at EVAR [5].
We hypothesize a multifactorial cause of acute limb ischaemia in our patient. First, pressure from the anterior pubic symphysis support maintaining the lateral position for surgery may have compressed the femoro-femoral crossover graft. Secondly, the posterior approach for THR involves significant internal rotation of the disarticulated hip by up to 180°. A normal articulating hip joint has ∼40° internal rotation. This massive increase in torsion may have kinked the common femoral or external iliac arteries further reducing flow into the crossover graft. Thirdly, at only 5 weeks post-EVAR, there would have been minimal fibrosis around the crossover graft enhancing its mobility and kinking ability. Finally, as postulated by Virchow's triad, an EVAR, fracture, THR and associated immobility are all hypercoaguable factors.
In conclusion, the increasing number of patients undergoing THR with an EVAR in situ will make acute lower limb ischaemia a more frequent complication. Preoperative consultation with a vascular surgeon will advise the orthopaedic surgeon on factors, which will reduce the risk of graft injury or thrombosis and evaluate its pre- and postoperative patency.
CONFLICT OF INTEREST STATEMENT
None declared.