-
PDF
- Split View
-
Views
-
Cite
Cite
Takaaki Tsushimi, Hirohito Mori, Takashi Nagase, Takasuke Harada, Yoshitaka Ikeda, A case of incarcerated umbilical hernia in an adult treated by laparoscopic surgery, Journal of Surgical Case Reports, Volume 2015, Issue 2, February 2015, rjv001, https://doi.org/10.1093/jscr/rjv001
Close - Share Icon Share
Abstract
A 42-year-old, obese woman was admitted to our hospital 3 h after the sudden development of abdominal pain. Her umbilical region was swollen and she was diagnosed with incarceration of an umbilical hernia by computed tomography. Although we tried, we were unable to reduce the hernia with a manipulative procedure. We decided to perform an emergency laparoscopy. Once general anesthesia was induced, we achieved hernia reduction. From a laparoscopic view, the portion of strangulated small intestine was neither necrotic nor perforated. The size of the hernial orifice was ∼2 × 2 cm, and thus, we selected a 12 × 12 cm composite mesh to cover the hernia defect by at least 5 cm in all directions. The surgical procedure was uneventful and the total operation time was 112 min. The patient recovered uneventfully and was discharged on postoperative day 9. She remains free of recurrence 20 months after surgery.
INTRODUCTION
Umbilical hernia occurs most frequently in middle-aged women, and is caused by a weakening of fibrous connective tissue in the umbilical ring secondary to obesity, frequent pregnancies or deliverance, ascites from liver cirrhosis or renal failure. The standard repair is an open umbilical hernioplasty by primary closure of the fascial defects; however, the high recurrence rate associated with this procedure is somewhat problematic. Recently, many cases of tension-free mesh repair for umbilical hernia have been reported [1, 2]. Here, we present a case of an incarcerated umbilical hernia treated by laparoscopic mesh repair. Furthermore, we include some bibliographic considerations.
CASE REPORT
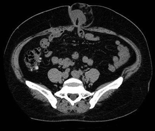
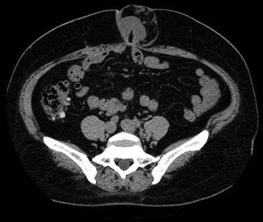
A 42-year-old woman developed an umbilical hernia and left it untreated. Three years later, she was admitted to the emergency room at our hospital with incarceration of the umbilical hernia. The hernia had a size comparable to that of a tennis ball. The patient weighed 75 kg and had a height of 140 cm. Her body mass index (BMI) was 38.3 kg/m2, which is categorized as obese. Computed tomography imaging showed an umbilical hernia with an incarcerated portion of small intestine and a hernial orifice of ∼2 cm (Fig. 1). A gentle attempt at reducing the hernia was unsuccessful; therefore, we decided to perform an emergency operation. After the induction of general anesthesia using a muscle relaxant agent, the hernia was reduced. A 12-mm trocar was inserted just below the epigastric region, and pneumoperitoneum was established by insufflation with carbon dioxide to a 10-mmHg abdominal pressure. Two 5-mm trocars were placed in the right and left lateral abdominal region, respectively. On laparoscopic examination of the abdominal cavity, we identified the portion of incarcerated small intestine. It was reddish and congested; however, there was no evidence of necrosis or perforation (Fig. 2A, arrows). The size of the umbilical hernial orifice was ∼2 × 2 cm (Fig. 2B). We selected a 12 × 12 cm composite mesh (Composix™, DAVOL, Inc., Subsidiary of C. R. Bard, Inc., Warwick, RI, USA) to cover the hernial defect by at least 5 cm in all directions. The composite mesh was inserted through the 12-mm trocar, and it was fixed to the abdominal wall circumferentially by a permanent fixation system (PermaFix™, DAVOL, Inc., Subsidiary of C. R. Bard, Inc.; Fig. 2C). The surgical procedure was uneventful and the total operation time was 112 min. The patient recovered uneventfully and was discharged on postoperative day 9. She remains free of recurrence 20 months after surgery.

A computed tomographic scan showing the umbilical hernia and an incarcerated portion of the small intestine. The size of the hernial orifice was ∼2 cm.

(A) The strangulated portion of the small intestine was reddish and congested; however, there was no evidence of necrosis or perforation (white arrows). (B) The size of the umbilical hernial orifice was ∼2 × 2 cm. (C) Composite mesh covering the hernial defect by at least 5 cm in all directions. The mesh was fixed to the abdominal wall circumferentially using a tacking instrument.
DISCUSSION
Ohira et al. reported that the average age of patients with umbilical hernia was 59.2 years, and the percentage of female patients was 63.6% (21/33), with an average BMI of 30.6 kg/m2, which was much higher than the Japanese standard BMI of 22 kg/m2. They also reported that 12 (36.4%) patients were excessively obese (BMI >30 kg/m2) and 10 (30.3%) had liver cirrhosis accompanied with ascites [3].
There is no argument that an operative procedure is the primary treatment for umbilical hernia; the reduction of the incarcerated contents and closure of the hernial orifice are the basic principles of the surgery. Open umbilical herniorrhaphy with the simple fascia suture technique has been widely used by many surgeons and is a long-standing procedure, because it is very simple and may sometimes be performed with local anesthesia. However, the recurrence rate is as high as 10–20% [1, 2]. Tension-free repair with a mesh was introduced for umbilical or ventral hernia since the 1990s and evidence suggests that open mesh repair has significantly lowered the recurrence rates [1, 2]. Arroyo et al. [1] demonstrated a reduced recurrence rate of 1% for open mesh repairs of umbilical hernias, compared with 11% for primary suture repairs.
Recently, an increasing number of cases of umbilical hernia treated by a laparoscopic approach have been reported. Gonzalez et al. [4] reported that the laparoscopic repair group presented lower complication and recurrence rates and faster rehabilitation into society compared with the open mesh repair group. Colon et al. [5] demonstrated that laparoscopic mesh repair was associated with a significantly lower rate of postoperative wound infection compared with open mesh repair in obese patients.
Advantages of the laparoscopic procedure include measurement of the size of the hernial orifice, a more definite placement of the mesh and verification of the status of the strangulated intestine by a laparoscopic view. It is very important to determine the hernial orifice size, because the ideal coverage provides a 5-cm overlap in every direction from the defect [6, 7]. Because the size of the hernial orifice was ∼2 cm in the present case, we chose a 12 × 12 cm composite mesh to cover the defect and provide an ∼5-cm circumferential coverage. By open mesh repair, it may be difficult to ensure an adequate overlap and fixation of the mesh through the small incision; however, it is not difficult to perform such a procedure using the tacking instrument by laparoscopy.
It is also important to verify the conditions of the strangulated intestine because the gangrenous intestine must be resected. This can be easily confirmed by a laparoscopic view once the strangulated intestine is reduced into the abdominal cavity. Many surgeons hesitate to use a mesh in cases of gangrenous strangulated intestines, because it may pose a potential risk for mesh infection. However, Abd Ellatif et al. [8] divided patients with incarcerated hernia into two groups: those who underwent mesh hernioplasty with resection and anastomosis, and those who did not; there was no significant difference between the two groups in terms of wound infection and recurrence rates, and no patients had to undergo reoperation to remove the mesh. Considering these advantages, we suggest that laparoscopic mesh repair should be introduced more aggressively in cases of intestinal gangrene secondary to umbilical strangulated hernia. However, late-onset mesh infection should be taken account when using composite expanded polytetrafluoroethylene mesh [9].
CONFLICT OF INTEREST STATEMENT
None declared.