-
PDF
- Split View
-
Views
-
Cite
Cite
Nicholas D. Ward, Cortney Y. Lee, James T. Lee, David A. Sloan, Esophageal fistula complicating thyroid lobectomy, Journal of Surgical Case Reports, Volume 2015, Issue 1, January 2015, rju136, https://doi.org/10.1093/jscr/rju136
Close - Share Icon Share
Abstract
Thyroidectomy is associated with low morbidity and mortality. Esophageal perforation following thyroidectomy has been reported only three times previously, with subsequent fistulization occurring in two of these cases. The authors present the first such case report in the English-speaking literature.
INTRODUCTION
Esophageal perforation is associated with high morbidity and mortality, varying from 5 to 31% [1]. Perforation of the cervical esophagus is most commonly a complication of endoesophageal procedures or intubation [2, 3], but can also result from injury during operations directly involving or in close proximity to the esophagus. The development of esophago-cutaneous fistula has been reported secondary to esophageal perforation [4], following penetrating trauma and esophagectomy and as a consequence of anastomotic leak. Esophageal perforation during thyroid surgery has only been reported three times in the literature, with subsequent fistulization occurring only twice [5–7].
CASE REPORT
A 56-year-old female was noted to have a solitary left thyroid nodule, discovered incidentally on CT scan following neck trauma. The patient's past medical history was significant for hypertension, hyperlipidemia, gastroesophageal reflux and depression. The patient reported no symptoms of dysphagia, history of neck irradiation or symptoms of thyroid dysfunction and denied family history of thyroid disease, including thyroid cancer. Neck ultrasound demonstrated a dominant, heterogeneous, 2.9-cm solid nodule with microcalcifications. Ultrasound-guided, fine-needle aspiration cytology revealed a follicular lesion of undetermined significance. The patient was referred to a local general surgeon and underwent left thyroid lobectomy. According to the operative report, the recurrent laryngeal nerve was identified and preserved throughout its course. The patient tolerated the procedure well and was noted to have normal speech following the operation.
The original thyroid lobectomy operation was performed by a general surgeon who typically performs half-dozen thyroidectomies a year at a rural hospital. The surgeon described the original operation as ‘uneventful’ in a letter accompanying the patient, and a detailed review of the operative report by the authors reveals no mention of any inflammatory reaction or fibrosis surrounding the tumor. The original pathology report describes a well-differentiated papillary thyroid carcinoma 3.0 × 2.5 × 1.5 cm (Staging classification T2 N0 M0). There was no lymphatic or vascular invasion (V0). There was no extra capsular extension and margins were negative (R0). A normal parathyroid gland was identified, but no lymph nodes were seen.
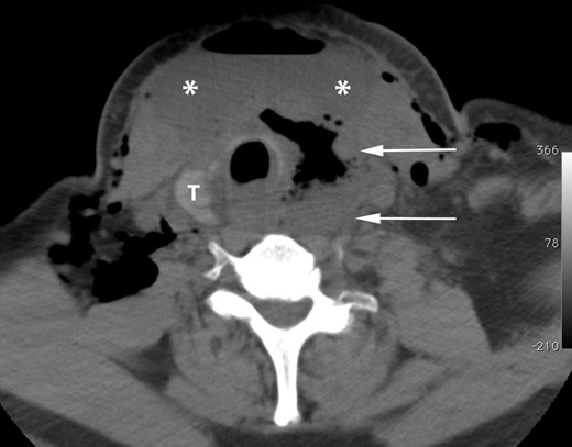
On the third postoperative day, however, the patient returned to the surgeon's office with complaints of neck pain and swelling. A CT scan of the neck performed at that time revealed a 7.7 × 3.7 cm fluid collection in the left neck (Fig. 1). The patient was taken emergently to the operating room, where upon opening the incision a large amount of purulent fluid was evacuated. There was a thick, yellowish exudate adherent to the involved surfaces, and the strap muscles were noted to be thickened, stiff and friable. Inspection of the esophagus revealed no obvious injury, but surrounding tissues were noted to be discolored and inflamed, making visualization of the esophagus difficult. The recurrent laryngeal nerve, which had been identified during the initial operation, was not seen.

Axial CT image of the neck without oral or intravenous contrast demonstrates an air fluid collection in the left thyroid lobectomy bed (white arrows). Subcutaneous emphysema and a large anterior neck air fluid collection (asterisks) are also present. T, residual right lobe of the thyroid.
To better characterize the nature of the injury, the wound was filled with sterile water, and air was instilled into the esophagus via placement of an orogastric tube. Air was then seen bubbling into the wound. Indigo carmine diluted in water was instilled into the esophagus, whereupon blue-tinged fluid was seen leaking into the wound from an upper esophageal defect. A 3.0 silk suture was placed in the area of the defect, and the repair buttressed with omohyoid muscle. The strap muscles were closed in the midline, and two Jackson–Pratt drains were placed for wide drainage.
The patient soon demonstrated a recurrent esophageal leak (Fig. 2), which was managed by maintaining the patient nil per os, providing nutrition via a feeding tube, and applying negative pressure to the wound. The esophageal leak gradually resolved, as evidenced by multiple contrast esophagrams, permitting removal of the patient's drains. Prior to discharge from the hospital, barium esophagram showed no evidence of contrast extravasation.

Axial CT image of the neck after fluoroscopy barium swallow demonstrates contrast pooling in the lobectomy bed with a fistulous connection to the esophagus (white arrow; image shown using a ‘bone window’ to clearly outline the barium contrast).
Pathology demonstrated a 3-cm, well-differentiated papillary thyroid carcinoma with negative margins and no lymphatic or vascular invasion (T2, N0, M0, R0 and V0). The patient was referred to an experienced endocrine surgeon at a tertiary care institution for completion thyroidectomy; that surgeon performs ∼250 thyroidectomies per year. Upon evaluation, the patient complained of hoarseness and dysphagia, most pronounced with liquids, and flexible laryngoscopy revealed a fixed and paramedian left true vocal cord. Thyroid ultrasound showed multiple sub-centimeter nodules of the remaining thyroid, diffuse heterogeneity and no evidence of suspicious cervical lymphadenopathy.
Uncomplicated completion thyroidectomy was performed ∼11 months after the patient's initial operation. Prior to completion thyroidectomy, the patient's voice quality had improved considerably, but nasolaryngoscopy again showed a fixed paramedian left vocal cord. Final pathology revealed no evidence of malignancy, and the patient was subsequently referred for adjuvant radioactive iodine therapy.
DISCUSSION
In experienced hands, thyroidectomy is a safe procedure associated with low complication rates. The most common complications include recurrent laryngeal nerve injury, neck hematoma and hypoparathyroidism. Numerous large retrospective studies have examined the incidence of postoperative complications following thyroidectomy, with definitive morbidity rates ranging from 2.8 to 16.4% [8–10]. Thyroid cancer operations are consistently associated with higher complication rates than operations performed for benign disease. While esophageal perforation may occur spontaneously, most studies implicate iatrogenic causes in the majority of cases [2, 4]. Other causes include blunt and penetrating trauma, Boerhaave syndrome, malignancy and inadvertent injury during surgery [4]. Esophageal perforations have been reported in association with pneumonectomy, vagotomy, hiatal hernia repair, cervical spine operations and atrial surgery.
The clinical spectrum of esophageal perforation is broad. Commonly presenting signs and symptoms include chest pain, dysphagia, dyspnea, subcutaneous emphysema and epigastric pain [3]. In the setting of recent endoscopy or surgery, these clinical manifestations should raise suspicion for esophageal perforation. Because of variability in clinical presentation, however, early diagnosis is often difficult, which may lead to treatment delays. Chest and neck radiographs should be obtained immediately, and in those patients whose clinical presentation and radiography are suggestive of esophageal perforation, CT or water-soluble contrast esophagram should be performed for definitive diagnosis [3].
Traditionally, esophageal perforations have been managed operatively [1], depending on the location and nature of the injury. Conservative management, which includes bowel rest, nasogastric tube placement and broad-spectrum antibiotics, has been described for select patients with well-contained perforations, minimal contamination and no underlying malignancy, obstruction or sepsis. The role of conservative management is limited, however, since most esophageal perforations are not self-contained and therefore require operative intervention [2]. Traditional teaching emphasizes the importance of intervention within 24 h of perforation, and a recent review found a near doubling of mortality when treatment is delayed by more than 24 h [3]. Prompt diagnosis and intervention continue to be of critical importance.
Esophageal perforation is a life-threatening complication with a high mortality rate, and must be promptly diagnosed and appropriately managed to prevent further complications and death.
CONFLICT OF INTEREST STATEMENT
None declared.