-
PDF
- Split View
-
Views
-
Cite
Cite
Hossam I. Shaabi, True idiopathic saccular aneurysm of the radial artery, Journal of Surgical Case Reports, Volume 2014, Issue 6, June 2014, rju058, https://doi.org/10.1093/jscr/rju058
Close - Share Icon Share
Abstract
True aneurysms of hand arteries are rare. I present a case of a true saccular aneurysm of the distal radial artery in a 65-year-old woman with no history of trauma. The CT angiography, intraoperative features, operative procedure, histopathological examination and literature review are presented and discussed.
INTRODUCTION
‘True’ radial artery aneurysms are extremely rare, with no documented prevalence in the medical literature. In 1966, the first recognition of this condition was introduced by Thorrens [1], and since then some reports have been published. This paper describes a case of true radial artery aneurysm in a 65-year-old woman, and presents the clinical presentation, aetiologies, and diagnostic and therapeutic modalities.
CASE REPORT
A 65-year-old woman presented to the outpatient clinic with a pulsatile mass at her right wrist. The mass had appeared 4 months earlier and had enlarged gradually. It was associated with numbness and neurogenic pain in the dorsum of the hand. The patient denied history of trauma, surgeries or recurrent punctures, and there was no family history of aneurysms.
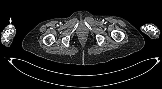
Upon physical examination, a mass of 2-by-3 cm found at the anatomical snuffbox area of the right hand, with no visible scars (Fig. 1). The mass was pulsatile, and no bruit was detected. The examination of the other arteries was negative. Later, CT angiography detected a local dilation at the distal part of the right radial artery (Figs 2 and 3). Complete body scan showed another aneurysm at the right common iliac artery measured 3-by-2.8 cm for which the patient was referred to a higher centre for possible endo-vascular intervention as it is not available in our hospital.

Photo of the right hand of the patient shows a bulge at the snuffbox area.

Transverse section of CT angiogram shows radial artery aneurysm at right hand (arrow).

Reconstructed three-dimensional image shows radial artery saccular aneurysm (arrow).
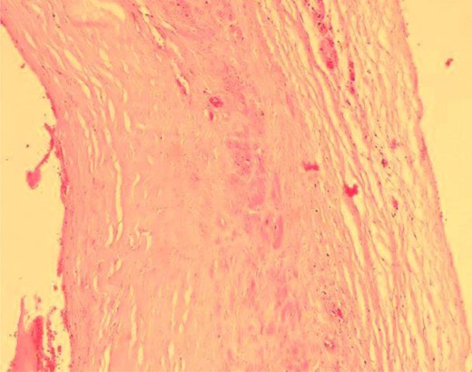
Under local anaesthesia, the aneurysm site was incised. A saccular aneurysm of 2-by-1.5 cm appeared at the distal part of the radial artery. Using vessel loops, the artery was controlled proximal and distal to the aneurysm (Fig. 4). After clamping the artery, a Doppler examination was conducted and indicated positive signals over the thumb and digital arteries. Then, artery ligation followed by aneurysm excision was done. The post-operative period was uneventful. Later, the histopathology report showed a dilated arterial sac with a complete fibromuscular wall and an organized thrombus attached to its lumen (Fig. 5).

The aneurysm with the radial artery controlled proximally and distally.

Microscopic view of the aneurysmal wall shows the muscular layer.
DISCUSSION
Upper extremity arterial aneurysms are rare in surgical practice. Ogeng'o et al. found that the prevalence of radial artery aneurysms is 2.9% of all aneurysms affect the upper limbs [2]. It is the rarest upper extremity aneurysm, according to Ho et al. [3]. Many cases have been reported after Thorrens [1], the majority reported traumatic pseudo-aneurysms and only few authors reported cases of ‘true idiopathic’ aneurysms. A MEDLINE search was conducted using the terms ‘radial artery’ and ‘aneurysm’ and ‘radial artery’ and ‘pseudoaneurysm’, and returned 68 and 46 articles, respectively, published until May 2013. Of these, 12 reports were irrelevant and 79 cases were reported as post-traumatic aneurysms. Radial artery cannulation, bone fractures, occupational injuries and traumas were the commonly reported causes. Up to 15 other cases were reported as aneurysms induced by systemic pathologies. Among all 102 reported cases, only 8 cases were reported as idiopathic true radial artery aneurysms.
Clinically, patients usually present with pulsatile swelling with or without pain which is usually due to the compression of the surrounding structures. The aneurysm has the potential to cause ischaemia due to laminar emboli or thrombus formation. Moreover, traumatic rupture could occur due to the vulnerable location [4] nonetheless; spontaneous rupture is always a possibility.
The diagnosis is initially clinical, but many imaging modalities could help in the diagnosis and in the management of such condition. Duplex ultrasonography can be used first to differentiate the aneurysm from other masses with the help of colour Doppler; it is inexpensive and carries no risk to patients. CT angiography has the ability to delineate the aneurysms clearly, and it is ideal to scan the whole body to exclude the other aneurysms existence, although it carries the risk of contrast-induced nephropathy and is expensive. Magnetic resonance angiography (MRA) is another choice, but its higher cost makes it unpopular. Conventional angiography can be used too, especially for planning the surgery.
In fact, the best treatment for radial artery aneurysms is still controversial; however, the surgeon's decision can be guided by taking some factors into consideration. The critical question is: Is it the radial or the ulnar artery that carries the majority of blood supply to the hand? Currently there is no consensus about which non-invasive modality should be used to evaluate the circulation of the hand pre-operatively. Many options are available with variable sensitivity and specificity; for instance, Allen's test, modified Allen's test, digital plethysmography, digital Doppler waveforms, and pressures and duplex ultrasonography [5]. More reliable but invasive choices are available to assess the patency of the arteries and the development of the arterial arches, including CT angiography or conventional angiography. Patient symptoms and the presence of thrombosis, distal emboli or infections are also important factors to determine the mode of management [6].
Technically, the management include the following choices: careful observation; in case of small asymptomatic aneurysms [7], arterial ligation and aneurysm excision or arterial reconstruction; whether by end–end anastomosis or by vein graft in the case of aneurysmal dominant artery [4].
In our patient, the decision to excise the aneurysm and ligate the artery was based on the results of CT angiography, modified Allen's test that clarified ulnar dominancy and the positive Doppler signals over the dorsal digital artery of the thumb after radial artery clamping intra-operatively.
ACKNOWLEDGEMENT
I would like to thank Dr Ghazi Nabulsi, who allowed me to present the case of his patient.