-
PDF
- Split View
-
Views
-
Cite
Cite
Jeremy Batt, Natalia White, Simon Dennis, Spontaneous surgical emphysema of the larynx following hyperextension of the neck, Journal of Surgical Case Reports, Volume 2014, Issue 3, March 2014, rju003, https://doi.org/10.1093/jscr/rju003
Close - Share Icon Share
Abstract
Surgical emphysema of the larynx is rare in the absence of trauma and there are a paucity of case reports that describe such conditions. We present what we believe to be an unusual, atraumatic mechanism for mucosal breech of the larynx with subsequent surgical emphysema. Nasendoscopy revealed oedema of the arytenoid cartilage and computed tomography revealed moderate subcutaneous emphysema of the larynx. No fracture was seen. After conservative management the patient made a complete recovery.
INTRODUCTION
Surgical emphysema in the larynx has been well documented in the scenario of both penetrating injury and blunt trauma [1]. However, there seems to be a paucity of reports of other, more unusual causes. Here we present a case of thyroid cartilage crepitus in the presence of laryngeal surgical emphysema caused by isolated and unforced hyperextension of the neck.
CASE REPORT
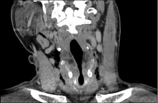
A 39-year-old male patient with a background of type II diabetes, spina bifida and meningocele hydrocephalus presented to the emergency ENT clinic with a 2-day history of a throat complaint. He described that while hyperextending his neck to finish his cup of coffee he felt a sudden crack in the middle and central portion of his throat. This crack produced a sound that was also heard by his partner on the other side of the room. The patient subsequently experienced a spontaneous coughing fit. During the history, he described pain over the thyroid cartilage, odynophagia, pain on moving his neck and a hoarse voice. He also described the sensation of having something flapping in his throat while breathing. He denied any recent history of throat trauma and had no other ENT complaints. On examination he had a tender thyroid cartilage with palpable crepitus of the thyroid cartilage when balloting it between the fingers of each hand. There was no palpable surgical crepitus of the soft tissues of the neck and no lymphadenopathy. Flexible fibre optic nasendoscopy allowed dynamic and real-time evaluation of the vocal cords and revealed significant bruising and swelling of the right arytenoid cartilage. Potential cord avulsion or paralysis was not identified. A computed tomography (CT) scan was subsequently arranged to further assess the laryngeal anatomy and was reported to show locules of free air in the soft tissues of the neck with generalized oedema of the paraglottic tissues (Fig. 1). There was no fracture of the cartilage. The patient was admitted for strict airway observation, given a stat dose of IV steroid and started on IV antibiotic to cover supraglotittis. Blood biochemistry and haematology samples were normal, with the exception of the C-reactive protein (a marker of inflammation), which was 58 mg/l. Repeat nasendoscopic examination the following day showed that the bruising had migrated into the right vocal fold and a new fullness in the left pyriform fossa. By Day 3 following admission the nasendoscopic examination was improving to normal and the right arytenoid cartilage was seen to be less floppy. By this time the patient's pain was settling, although the hoarseness of voice was still present. He was discharged with 7 days of oral antibiotics and was reviewed in ENT clinic at 1 week where, although his voice was still hoarse, the nasendoscopic examination was normal. By 6 weeks, the voice had settled, the thyroid cartilage crepitus was gone and the larynx had returned to normal.

DISCUSSION
Laryngeal surgical emphysema is a condition that is related almost exclusively to laryngeal trauma. The mechanism for such injury is usually secondary to blunt trauma of the larynx in combination with forced hyperextension of the neck, which leaves the larynx exposed and vulnerable to injury. What are less well documented are cases of laryngeal surgical emphysema in the absence of such trauma. One case series of 236 patients admitted with upper airodigestive tract injury reported no cases of laryngeal injury resulting in surgical crepitus in the absence of trauma [1]. The classical symptoms of anterior neck pain, difficulty with breathing and swallowing and hoarseness or a change in voice may be present to varying degrees with any given presentation of laryngeal pathology. Change in phonation can be a reasonable sign of vocal cord disturbance with only 17% of patients who had cord immobility displaying excellent voice quality [2]. The physical findings of stridor, subcutaneous emphysema, laryngeal tenderness and loss of thyroid cartilage structure may also be present.
While the patient reported a distinct lack of obvious external trauma or disturbance of the anatomy of the larynx and laryngeal mucosa it may have been possible that a small mucosal tear may have been caused during the swallowing action in combination with neck hyperextension, an action that may increase tension in the soft tissues of the larynx. With such damage having been sustained it may have indeed been possible that the subsequent coughing fit, through increasing laryngeal pressure, forced air through the acute mucosal defect and into the soft tissues of the neck, the result of which being the surgical crepitus as identified on the CT scan. Only a handful of cases have ever been reported theorizing coughing as a cause of acute and dramatic laryngeal rupture, one of which being an elderly patient with weakened laryngeal structure secondary to chronic corticosteroid use [3, 4].
Patients with minor laryngeal lacerations in the absence of detectable laryngeal fracture can be treated with humidified oxygen which may reduce crust formation and help to minimize transient cilliary dysfunction. Patients should be admitted for airway observation and for intravenous stat dose steroid to minimize potential laryngeal oedema and hence airway and airflow limitation. Keeping voice exertion to a minimum is considered to minimize oedema, haematoma and subcutaneous emphysema. Restricting oral input to clear fluids may protect the area from potential further injury. While antibiotics may not be mandatory in such conditions, systemic IV antimicrobial may deliver an additional degree of protection against the airflow limitation and resulting airway compromise one may see with inflammation and oedema expected in local spread of possible infection through a mucosal breach.
In conclusion, while laryngeal injury resulting in surgical emphysema almost exclusively occurs in the context of trauma more subtle mechanisms may result in similar injuries. Based on our experience it is the recommendation of this paper for others to consider the potential for significant laryngeal crepitus when presented with seemingly benign laryngeal injury and investigate appropriately with CT imaging.