-
PDF
- Split View
-
Views
-
Cite
Cite
S Kyriacou, MTR Parratt, RC Pollock, Novel use of a hip spacer to perform reconstruction following extra-articular scapula resection for sarcoma, Journal of Surgical Case Reports, Volume 2012, Issue 9, September 2012, Page 14, https://doi.org/10.1093/jscr/2012.9.14
Close - Share Icon Share
Abstract
The shoulder is the third most common site for bone and soft tissue tumours and limb-sparing resection for tumours of the shoulder girdle remains challenging.
We present a novel use of a hip spacer to perform the reconstruction following an extra-articular scapula resection for sarcoma.
INTRODUCTION
Before 1970, most patients with high-grade sarcomas arising from the scapula were treated with a forequarter amputation (1). Limb-sparing resections of malignant tumours in the scapula were long considered high-risk procedures because of the proximity to the neurovascular bundle, the extent of bone and soft tissue resection, and the substantial risk of local tumour recurrence (2). Developments in chemotherapy, radiotherapy, imaging and surgical techniques have however made limb sparing surgery possible for many patients (1,3). Patients with high-grade scapula and peri-scapular sarcomas may now be treated with either an extra-articular scapula resection (including the lateral clavicle and proximal humerus), termed a Tikhoff-Linberg resection or an intra-articular total scapulectomy (4,5). After such a resection, reconstruction of the remaining shoulder girdle must be performed. Most reports focus on humeral suspension, endoprosthetic replacement or allografting (1,2,6). We present a case in which a hip spacer is used to perform the reconstruction following an extra-articular scapula resection for high grade spindle cell sarcoma.
CASE REPORT
A 79 year old female with multiple medical co-morbidities presented with a one year history of increasing swelling on the posterior aspect of her right shoulder associated with worsening pain and stiffness. On examination a 10cm mass could be palpated arising from the right scapula. There was no upper limb neurovascular deficit. Computed tomography (CT) scanning demonstrated an expansile tumour in the region of the right scapula that had destroyed most of the blade with an associated large soft tissue component. The mass was abutting the chest wall and extending into the axilla but was separate from the adjacent nerves and vessels. Ultra-sound guided biopsy was subsequently conducted which indicated the lesion was a high-grade spindle cell sarcoma. There was no evidence of metastases or further bony lesions on CT scanning of the chest and whole body isotope bone scan. Magnetic resonance imaging was contraindicated given that the patient had a pacemaker in situ.
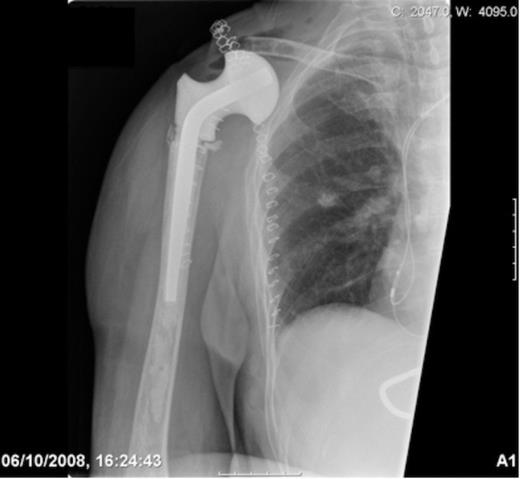
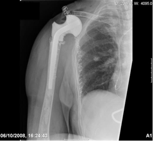
During the pre-operative consent process the patient stated if it was found that limb salvage was not technically possible intra-operatively, she did not wish to have a forequater amputation conducted and would rather the tumour be left untreated due to cosmetic concerns. A Tickhoff-Linberg procedure of the right shoulder was subsequently conducted with en-bloc resection of the scapula, distal clavicle and proximal humerus. In order to reconstruct the shoulder girdle, a hip spacer (spacer G by Orthodynamics) was cemented into the proximal humerus with the soft tissues tensioned appropriately. A synthetic mesh (LARS ligament by Corin) was then sutured over the prosthesis and secured to the osteotomised clavicular remnant and chest wall with non-absorbable sutures.
The patient made an uneventful post-operative recovery. The histopathological report confirmed a high-grade spindle cell sarcoma that had been completely excised with 2mm margins. Her wounds healed well with no complications and she retained very good hand, elbow and wrist function but no active motion of her shoulder.

Post-operative radiograph demonstrating reconstruction using a hip spacer following extra-articular scapula resection
Over three years following surgery she is alive and well, having been continuously disease free with no evidence of local or distant recurrence. Currently her Musculoskeletal Tumour Society Score (MSTS) score is 63 % and her Toronto Extremity Salvage Score (TESS) is 49% (7,8).
DISCUSSION
Despite their complexity, approximately 95% of patients with high or low grade sarcomas of the shoulder girdle can be treated with limb-sparing resections, with amputation rarely being required (9). These procedures are performed either through an intra-articular approach; total scapulectomy, or an extra-articular interscapulo-thoracic resection termed a Tikhoff-Linberg procedure, the latter involving excision of portions of the clavicle and proximal humerus in addition to the scapula (4,5). All muscular origins and insertions of the involved bones are also resected.
Originally no reconstruction was attempted following these procedures and therefore traction neuropraxia and poor cosmesis with a flail, hanging upper limb was commonly encountered (9). In an attempt to address this, restore shoulder girdle stability and preserve hand and elbow function, several reconstructive procedures have been developed over the last thirty years, including humeral suspension, endoprosthetic replacement and allograft (1,2,6).
Humeral suspension involves stabilising the proximal humerus or remaining humeral shaft either directly or via a spacer, by securing it to the remaining clavicle or a rib using heavy sutures or wires, with the aim of achieving stability of the upper limb and preserving hand and elbow function. Active shoulder motion however remains absent.
Endoprosthetic reconstruction was introduced in the 1990’s and been reported with favourable results (1,2). This technique can improve function, stability and cosmesis while reducing traction on the brachial plexus (2). A small series of scapular allografts has also been reported with good cosmesis and functional outcome (6).
In conclusion, the surgical management of malignant tumours of the shoulder girdle and subsequent reconstruction remains demanding. Forequarter amputation may leave the patient with a significant functional, cosmetic and psychological loss. In comparison, total scapulectomy has advantages in function, cosmesis and emotional acceptance (10). This case demonstrates that a comparatively inexpensive, readily available non-custom made hip spacer used in a novel way may serve to augment a definitive humeral suspension following a Tikhoff-Linberg procedure with a satisfactory result in terms of cosmesis, acceptance, distal upper limb function and disease free survival.