-
PDF
- Split View
-
Views
-
Cite
Cite
K Kataria, R Yadav, V Seenu, Sarcomatoid carcinoma of the gall bladder, Journal of Surgical Case Reports, Volume 2012, Issue 2, February 2012, Page 5, https://doi.org/10.1093/jscr/2012.2.5
Close - Share Icon Share
Abstract
Primary gallbladder carcinoma is a malignant neoplasm with an incidence of 1.2 cases per 100 000 people each year. Its occurrence increases with age, particularly in women. It is the fifth most common cancer of the gastrointestinal tract, and the most common malignancy in the biliary tract. Adenocarcinoma is the most common type of gallbladder neoplasm whereas sarcomatoid carcinoma is rare with an incidence of less than one percent of all malignant gall bladder neoplasms. Sarcomatoid carcinomas are composed of malignant epithelial and sarcomatous components, sometimes with heterologous sarcomatous elements. In general, conservative treatments are thought to be unfavourable to the tumor. Prognosis is poor following curative resection for carcinosarcoma of the gall bladder because of recurrence as systemic metastasis of the liver and peritoneal dissemination.
INTRODUCTION
Primary gallbladder carcinoma is a malignant neoplasm with an incidence of 1.2 cases per 100 000 people each year. Its occurrence increases with age, particularly in women (1). It is the fifth most common cancer of the gastrointestinal tract, and the most common malignancy in the biliary tract (2). Adenocarcinoma is the most common type of gallbladder neoplasm whereas sarcomatoid carcinoma is rare with an incidence of less than one percent of all malignant gall bladder neoplasms (1). Sarcomatoid carcinomas are composed of malignant epithelial and sarcomatous components, sometimes with heterologous sarcomatous elements (3). Therapeutic methods of the tumor include surgery, chemotherapy, radiotherapy, and medical treatment. If possible, however, the patients with this carcinoma are usually treated by either radical or palliative surgery. In general, conservative treatments are thought to be unfavourable to the tumor (4). To our knowledge, only 78 cases with sarcomatoid carcinoma of the gallbladder have been reported in the English-language literature (5,6).
CASE REPORT
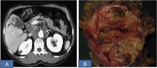
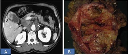
A 55-year-old woman presented with a 12 month history of intermittent right upper quadrant pain, anorexia, and weight loss. A physical examination revealed a non-tender and hard mass ~ 5x4 cm in the right upper quadrant of her abdomen. Laboratory examinations showed a normal leukocyte count, normal haemoglobin levels and liver function tests as well as a normal urine analysis. The serum levels of carcinoembryonic antigen and carbohydrate antigen 19-9 were within the normal reference range. Her family history and medical histories were unremarkable. Ultrasound Abdomen showed a 5-cm irregularly shaped heterogeneous mass in the gallbladder. On Computed tomography, a partially dilated gall bladder with multiple calculi and heterogeneously enhancing solid soft tissue density mass in the region of fundus with mild IHBR dilatation was seen. Liver and adjacent organs were all normal (Figure 1A).
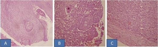
The patient underwent cholecystectomy & wedge resection of the liver with resection of transverse colon and paraduodenal lymph nodes. Intra-operatively, a hard mass in the fundal region of gall bladder, adherent to the transverse colon was seen. Grossly, the tumor measured 7x5x3 cm and was solid grey-white (Figure 1B). The tumor was adherent to the colon but not infiltrating the wall of colon or underlying liver. Microscopic sections showed features of sarcomatoid carcinoma with focal squamous differentiation (Figure 2). The tumor cells were immunopositive for cytokeratin and vimentin. The tumor infiltrated into the adventitia of colon, however muscularis propria and mucosa were free of tumor. The underlying liver parenchyma, resected margins of liver, intestine, cystic duct and eleven lymphnodes dissected from specimen were free of tumor. Paraduodenal lymph nodes were also free of tumor.

A. CECT Abdomen shows soft tissue density in the region of fundus; B. Cut surface of the resected specimen showing a large variegated tumor in gall bladder
Two months after surgery, the patient visited the hospital because of a mild fever and tenderness on the operation site. A follow computed tomographic scan showed multiple intrahepatic metastases and omental seedlings. She could not receive any treatment for cancer because of her poor general medical condition.

A. H&E stained section shows presence of both malignant epithelial (squamous) and mesenchymal (spindle) components (X100); B. Tumor at higher magnification (X200); C. Mesenchymal (spindle) component of tumor (X100)
DISCUSSION
Adenocarcinoma is the most common type of gallbladder neoplasm whereas sarcomatoid carcinoma is rare with an incidence of less than one percent of all malignant gall bladder neoplasms (1). It has been described that sarcomatoid carcinoma arises from totipotent stromal stem cells and is composed of epithelial and mesenchymal components that contain undifferentiated spindle or stellate cells (7). The cancer was first reported by Landsteiner in 1907, and until now, only 78 cases have been reported in the English-language literature, with mean age range from 66.5-72 years (5,6). Similar to adenocarcinoma, gallbladder sarcomatoid carcinoma usually present with abdominal pain, jaundice, nausea, and poor oral intake, and some may present with a palpable abdominal mass and weight loss. Liver function tests are normal, except in patients with obstructive jaundice caused by tumor invasion of the biliary tract (8). Carcinosarcoma of the gall bladder is not associated with specific radiological findings or serum data, including tumor markers (carcinoembryonic antigen, carbohydrate antigen 19-9, or squamous cell carcinoma antigen). Carcinosarcoma of the gall bladder should be considered as a differential diagnosis of neoplasms of the gall bladder, especially when patients present with severe abdominal symptoms and/or a large tumor size (9). Race, tumor size, genetic variation, earlier detection, and more extensive surgery may be contributing factors for better prognosis. While gallstone, epithelial and mesenchymal component types, age and sex are of little prognostic value (5).
Surgery is suggested as the only recognized treatment for gallbladder sarcomatoid carcinoma. Previous studies reported the use of chemoradiotherapy did not significantly improve patient prognosis (4,8). Exploration of new radiation techniques and of chemotherapeutic regimens with new drugs is required for the treatment of carcinosarcoma of the gall bladder because conventional chemotherapy and radiotherapy do not increase patient survival. Novel ‘molecularly targeted’ agents may improve surgical outcome. In a meta-analysis by Zhang L et al reported the mean survival of CSGB as 17.5 months, and the median was 5 months with a 1year survival rate of 19±5% and 5-year of 16±5% (5). The longest survivor was reported in 2002, who had survived 5 years and 7 months post-operatively (10). Therefore, in comparison with the reported 0-10% 5-year survivals of adenocarcinoma, Sarcomatous carcinoma of gallbladder has a similar but slightly better prognosis (5).