-
PDF
- Split View
-
Views
-
Cite
Cite
O Onyekwelu, O DeZoysa, S Watts, Extragnathic odontogenic sinonasal myxoma with mitotic features, Journal of Surgical Case Reports, Volume 2012, Issue 10, October 2012, Page 8, https://doi.org/10.1093/jscr/2012.10.8
Close - Share Icon Share
Abstract
We present the first-ever documented evidence of mitotic figures in a case of sinonasal myxoma diagnosed in a 37 year-old gentleman. A 37 year-old gentleman was referred to the Otolaryngology clinic with left nasal discharge for six months. Preoperative images demonstrated obstruction of the left nasal airway with complete opacification of the left maxillary sinus, obscuration of the osteomeatal complex, as well as expansion and thinning of the medial wall of the maxillary antrum. The patient underwent diagnostic Funtional Endoscopic Sinus Surgery (FESS), therapeutic left Caldwell-Luc antrostomy, and revision FESS following recurrence. The patient was symptom-free at routine follow-up post-op. There has been much debate as to whether the absence of mitotic features in a specimen is absolutely necessary in order to confirm the diagnosis. We postulate that the presence of mitoses is an unusual diagnostic feature in extensive sinonasal myxoma.
INTRODUCTION
The description of extragnathic odontogenic sinonasal myxoma is rarely reported in the literature (1). It represents a benign neoplasm of uncertain histogenesis, which often infiltrates through medullary spaces, and is characterized by certain histologic features, notably, the absence of mitotic figures. We report on a case of extragnathic odontogenic sinonasal myxoma with mitotic features in a male patient.
CASE REPORT
A 37 year-old gentleman was referred to the Otolaryngology clinic with left nasal discharge for six months. The patient had suffered with an upper respiratory tract infection, which persisted despite several courses of antibiotics. The patient went on to develop facial pain and fullness in the left side despite conservative management. He also complained of cacosmia and purulent rhinorhoea from the left nostril.

Fibreoptic nasendoscopy revealed a deviated nasal septum with significant oedema of the left middle turbinate with copious purulent secretions emanating from the left middle meatus. He was started on topical Fluticasone propionate nasules in addition to long-term antibiotics.

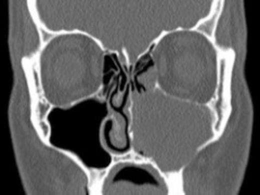
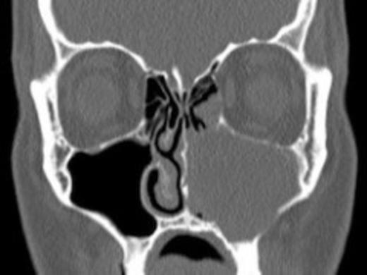
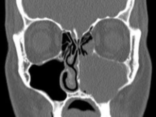
Axial computed tomography scans with coronal reformats were acquired through the paranasal sinuses. This demonstrated obstruction of the left nasal airway. There was complete opacification of the left maxillary sinus with obscuration of the osteomeatal complex. Expansion and thinning of the medial wall of the maxillary antrum was also noted. The remaining paranasal sinuses were clear. The postnasal spaces were equal and symmetrical and there was no evidence of focal bony destruction.

Microphotograph of the biopsy specimen from the mass showing characteristic spindle cells amid the myxoid stroma, consistent with the diagnosis of myxoma
The radiological findings correlated with the clinical observations and the patient underwent Functional Endoscopic Sinus Surgery (FESS) to drain the large septic collection in the left maxillary antrum.
The operative findings included significant septic secretions within the left middle meatus and gelatinous soft tissue within the left maxillary antrum, which was sent for histological analysis. The infection was managed with appropriate antibiotics according to sensitivities, in addition to steroid nasules.
The histological examination revealed a lesion in which bland spindle cells and occasional stellate cells are embedded within a myxoid stroma. The background contained a minimal fibrillar collagen content and prominent alcianophilic proteoglycan. The cells were uniform, cytologically bland and spindle shaped or stellate with a normal chromatin pattern. There were occasional mitotic features but no cytological atypia. Part of a thin bony septum was included and the lesional tissue abutted the bone surface without any evidence of osteoblast or bone formation, or resorption. Immunostaining of the spindle cells was positive for SMA and negative for CAM 5.2, CK5/6, p63, S100, SMM, Desmin, CD31, or CD34. The specimen was examined by several Consultant Pathologists and sent for a second opinion in light of the presence of mitotic features within the sample, which is otherwise consistent with sinonasal myxoma.

Histologic appearance of the specimen indicative of mitotic features in a loose and myxomatous stroma
Following discussion by the multi-disciplinary team, a working diagnosis of sinonasal myxoma was agreed upon with recommendation for a left Caldwell-Luc antrostomy, leading to extensive excision of the mass. The tumour was involving the ethmoid and sphenoid sinuses.
All tissue was submitted and examination of all specimens show similar features. The ethmoid biopsy, left posterior ethmoid air cell, and left sphenoid sinus mucosa specimens all include normal respiratory type epithelium with mildly inflamed and oedematous underlying stroma.
There was evidence of possible recurrence along the posterior and lateral wall of the maxillary sinus at routine follow-up. Hence, the patient underwent a revision left FESS and canine fossa puncture. Examination under anaesthesia was performed with 0, 45, and 70 degrees scopes respectively. This revealed recurrence in the posterior wall of the maxillary antrum, which was debrided to a shell of bone. Passage of the 70 degree scope through the canine fossa puncture demonstrated a further mass of abnormal mucosa which was completely debrided along the floor of the orbit. There were no postoperative complications, and follow-up was arranged for a month thereafter.
DISCUSSION
Odontogenic myxomas are rare, benign neoplasms apparently arising from the mesenchymal portion of the tooth-forming unit known as the dental papillae/dental sac. The incidence is equal in males and females and these tumours occur over a wide age range but are generally seen in the second and third decades of life. They are also present more frequently in the mandible than the maxilla. Extragnathic tumours are uncommon and primarily involve the sinonasal tract; specifically, the maxillary sinus (antrum) is most often involved with secondary extension into the nasal cavity. When symptoms of nasal congestion, epistaxis, or obvious distortion of the face start to occur, these tumours are more advanced, with evidence of bony erosion.
Histologically, these tumours show a scant, loosely cellular proliferation consisting of stellate or spindle-shaped cells with a prominent mucoid intercellular substance. Cellular pleomorphism, mitotic figures, and necrosis are absent.
Though these tumours are slow-growing, they often behave in an aggressive (infiltrating) manner. Metastasis does not occur, and should place the diagnosis in serious doubt as the lesion probably represents a myxoid sarcoma of some type. Recurrence has been reported in a review of 17 paediatric cases with myxoma reported between 1949 and 1987, following enucleation but not radical surgery (2). Benign myxomas have high recurrence rates (25%), which may be within two years or much later, but despite this the prognosis is good depending on the anatomical location (3,4).
Their local aggressiveness and ability to erode bone should not be underestimated, and they should be totally removed where possible via en-bloc surgical resection with a 1cm margin (5). There is no evidence for the tumour's response to radiation therapy or chemotherapy. Discussion of suspected cases within a multidisciplinary team is recommended given the tumour's infiltrative nature, the need for an accurate histological diagnosis, radiological interpretation, and adequate surgical exposure and clearance.
Extragnathic odontogenic sinonasal myxomas can occur with or without mitotic features, unlike previously thought. We report on the first case in the literature of such a case with mitotic features on microscopic examination. Recommendations on removal of medullary bone past the radiographic borders vary, but 0.5 to 1cm of medullary bone appears to be prudent.