-
PDF
- Split View
-
Views
-
Cite
Cite
E Lynn, T Ping, Y Keng, R Singh, W Kwong, T Soon, I Shaik, P Narayanan, Retropharyngeal abscess – A complication of laryngeal mask airway, Journal of Surgical Case Reports, Volume 2012, Issue 10, October 2012, Page 7, https://doi.org/10.1093/jscr/2012.10.7
Close - Share Icon Share
Abstract
Retropharyngeal or parapharyngeal abscesses developing after intubation are rare. This can present as surgical emergency post extubation. We report a case of retropharyngeal abscess that probably occurred as a complication of laryngeal mask insertion.
INTRODUCTION
The incidence of retropharyngeal abscess after Laryngeal Mask Airway (LMA) insertion is rare, while the extension of the abscess into the parapharyngeal space is of greater rarity. We found only one such report to the best of our knowledge in the English literature (1).
CASE REPORT
A 37-year-old lady underwent a breast lump excision under general anaesthesia using LMA in a private hospital. A single use LMA size 3.0 was chosen and the cuff was inflated with 20 ml of air. It was successfully inserted after one attempt. There was no documentation of difficult insertion. However, no intracuff pressure was measured. She developed severe sore throat with bloodstained sputum the next day and was treated as upper respiratory tract infection. Despite symptomatic treatment and antibiotics for the sore throat, her symptoms worsened over the next few days with spiking temperature and shortness of breath. Clinical examination showed a toxic looking patient with neck stiffness and drooling of saliva. Endoscopic examination revealed narrowing of airway. Neck radiograph showed air in the prevertebral space and mediastinum.
In view of the severity of her condition, her family had requested to be transferred to a tertiary hospital for continuation of care.
Upon arrival at Accident and Emergency Unit in our hospital, she developed acute respiratory distress with stridor. Fiberoptic Nasopharyngolaryngeal intubation was attempted but due to the severe edematous larynx, the procedure was abandoned. An emergency tracheostomy was then performed. CT scan showed pus collection in two areas:
Retropharyngeal region extending to the left parapharyngeal space measuring 6.9cm x 3.5cm x 2.9cm from level of C2-C7 extending into left side of neck just medial and anterior to the left carotid sheath
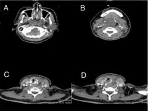
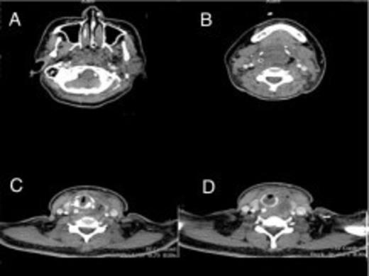
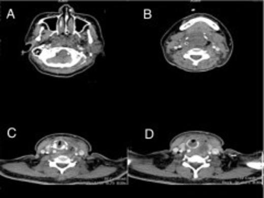
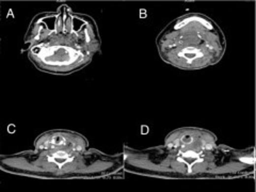
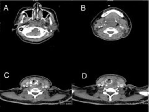
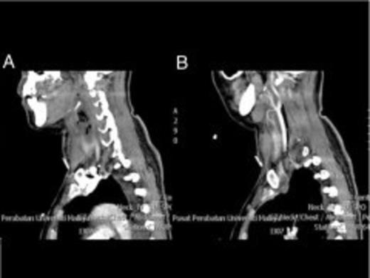
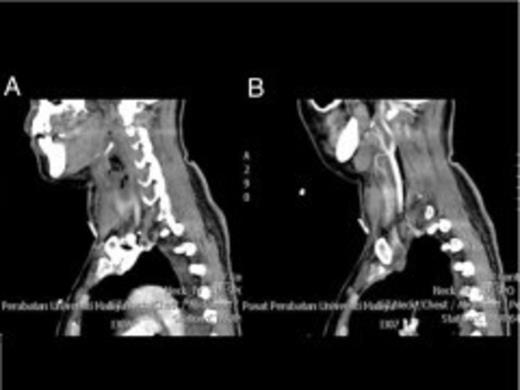
Lateral to the left thyroid cartilage measuring 3.0cm x 2.0cm x 2.9cm (Fig. 1&2)

Serial contrast enhanced axial CT images at (A) the level of the nasopharynx show complete occlusion of the air passage, (B, C, D-blue arrows) the level of the oropharynx and hypopharynx with ill defined rim enhancing cavities and air pockets on the left and around the right carotid sheath
The abscesses were drained through an external approach. The culture revealed Streptococcus group C organism sensitive to Penicillin group of antibiotics.

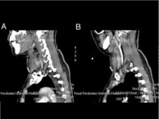
Serial contrast enhanced sagittal images shows a cluster of air within the abscess cavity immediately subhyoid and linear air posterior to the right carotid sheath
Intravenous antibiotics (Ceftriaxone) were continued for one-month post drainage. She was decannulated and was well when discharged. One month follow up revealed no recurrence of the problems.
DISCUSSION
Retropharyngeal abscess carries a high mortality and morbidity rate, due to its association with airway obstruction, aspiration pneumonia, mediastinitis, jugular venous thrombosis, necrotizing fasciitis, sepsis and erosion into the carotid artery (2). Making the diagnosis of retropharyngeal abscess can be difficult, with the symptoms being nonspecific. However, high index of suspicion should alert the clinician to its possibility especially when there is upper airway manipulation, as in our case, an LMA. Since our patient was otherwise healthy and immunocompetent, we would like to believe that the blunt trauma to the pharynx by LMA caused retropharyngeal haematoma leading to an abscess.
There have been various reports of other complications with LMA insertion namely necrotic mucosal tissue and defects in the posterior pharyngeal wall (4) and tearing of the lingual frenulum caused by insertion of the ProSeal LMA in a child (5). A similar case of severe retropharyngeal abscess after the use of a reinforced laryngeal mask with a Bosworth introducer has been reported (1). The use of the introducer was suggested to reduce the tactile feedback obtained in conventional LMA insertion hence increasing the risk of mucosal injury (3).
Sore throat post airway manipulation occurs in about 12.1%, according to a study, 45.4% of which is post endotracheal intubation while only 17.5% is attributed to LMA (6). Since the patient complained of sore throat with bloodstained sputum the following day, we can only speculate that the trauma to the posterior and lateral pharyngeal wall was caused by the tip of laryngeal mask during intubation causing a retropharyngeal haematoma.
In conclusion, it is suggested that patient with sore throat and bloodstained sputum undergo a more thorough clinical investigations.