-
PDF
- Split View
-
Views
-
Cite
Cite
K Shipman, A Bohra, M Labib, Caecal volvulus as a rare complication of laparoscopic adjustable gastric banding, Journal of Surgical Case Reports, Volume 2012, Issue 10, October 2012, Page 5, https://doi.org/10.1093/jscr/2012.10.5
Close - Share Icon Share
Abstract
Adjustable gastric band insertion is performed for the treatment of morbid obesity. There are multiple complications associated with this procedure but caecal volvulus is not commonly associated with this procedure. A case of caecal volvulus as a late complication post laparoscopic gastric band insertion is presented requiring surgical repair with uncomplicated post-operative recovery.
INTRODUCTION
Caecal volvulus is a rare cause of bowel obstruction and is associated with high mortality rates between 15-17% (1,2) Caecal volvulus is caused by axial twisting of the caecum, involving the ascending colon and terminal ileum, and resulting in a closed loop obstruction of the caecum. Previous surgery is known to be a risk factor with up to 68% of patients having previous abdominal surgery (3).
CASE REPORT
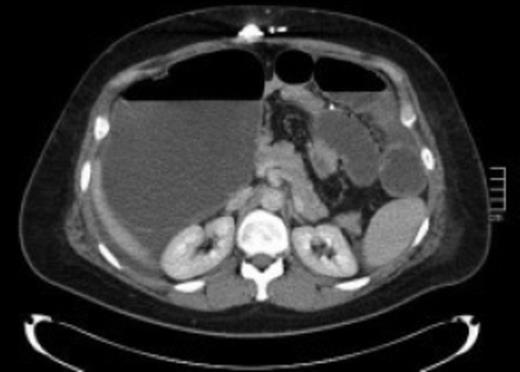
In May 2011, a 36-year-old woman presented with a 3-day history of vomiting, diarrhoea, abdominal distension and colicky pain. Medical history included laparoscopic adjustable gastric banding fitted in May, 2007, for class III obesity, when her body mass index (BMI) was 45.7 kg/m2. She underwent two band fills in 2008 and her BMI, thirteen months post-gastric banding, came down to 28.9 kg/m2. She subsequently underwent abdominoplasty and breast reduction in 2009. On examination, her BMI was 31.0 kg/m2, blood pressure 119/84 mmHg, pulse rate 109 per min and temperature 36.1oC. She had peri-umbilical tenderness but no guarding or signs of peritonitis. She had leucocytosis 15.8 x109 with neutrophilia 14.14×109 and her CRP was 19 mg/L. Abdominal ultrasound showed grossly dilated ascending colon (maximum diameter 11.5 cm) with multiple fluid filled loops of small bowel indicating intestinal obstruction. A CT scan revealed caecal volvulus with a distended caecum of at least 19cm in diameter (see Figure 1).

Axial Computed Tomography scan of abdomen demonstrating distended bowel
On laparotomy a hugely distended caecum with early tear formation was found with a long redundant mesocolon. The small bowel mesentry had looped around the gastric band and this was released. One litre of sero-peritoneal fluid was washed out and a right hemicolectomy with ileocolic anastomosis was performed. As the colon was not yet necrotic and there was no contamination present it was felt appropriate to leave the band in situ having taken all the necessary precautions. The patient had an uneventful recovery. At review in the weight management clinic in October 2011, she had had no further abdominal symptoms but her weight had gone up (BMI 34.2 kg/m2), which was attributed to lack of activity following her surgery.
DISCUSSION
To our knowledge, there are only two other published case reports of caecal volvulus following gastric banding (4,5). In both cases, it was hypothesized that the bowel obstruction was caused by displacement of the connecting tube of the gastric band. In this case it was felt that the rapid weight loss had resulted in lengthening of the mesocolon predisposing the patient to caecal volvulus.
Laparoscopic adjustable gastric banding is a popular procedure worldwide and is considered to be the least invasive surgical option for morbid obesity. However, the procedure has been shown to be associated with high incidence of late complications (6). Although caecal volvulus is a rare complication, it should be suspected in patients who have undergone laparoscopic adjustable gastric banding and who present with signs of intestinal obstruction.