-
PDF
- Split View
-
Views
-
Cite
Cite
C Christou, M Kipling, J Wayman, Splenic infarction due to septic emboli from bacterial endocarditis: A previously unreported cause of hyperamylasaemia, Journal of Surgical Case Reports, Volume 2012, Issue 10, October 2012, Page 15, https://doi.org/10.1093/jscr/2012.10.15
Close - Share Icon Share
Abstract
We present what maybe the only case of splenic infarction causing hyperamylasaemia in a patient with bacterial endocarditis. A 49-year-old gentleman presented a 24 hour history of vomiting, abdominal pain and fever. Clinical examination showed diffuse upper abdominal tenderness, a mild tachycardia and a low grade pyrexia. Blood investigations showed a hyperamylasaemia. His failure to improve on treatment for a provisional diagnosis of alcohol induced pancreatitis lead to a CT abdomen, which showed a splenic infarct and an echo showing aortic valve vegetation's as a source of emboli. He underwent urgent aortic valve replacement with a tissue valve following which he made an uncomplicated recovery.
INTRODUCTION
The interpretation of a raised amylase in the acute surgical patient is crucial yet complicated as it is raised in a large number of conditions but with a low specificity. This report argues that a transient rise in serum amylase not caused by sepsis or pancreatitis can be caused by a splenic infarction. Therefore any cause of a non-diagnostic amylase rise must not be over- looked as it may be of diagnostic value in a life threatening surgical condition. This may aid in understanding the cause of non-pancreatic serum amylasaemia.
CASE REPORT
A 49-year-old previously well male, presented with a 24 hour history of vomiting, abdominal pain and fever. His abdominal pain was of rapid onset and localised to the epigastrium and left upper quadrant. There was no history of trauma but he did admit to a recent history of alcohol excess. Clinical examination revealed diffuse upper abdominal tenderness, a mild tachycardia and a low grade pyrexia. Blood work up revealed an amylase of 270 U/L and CRP of 125mg/L. Liver function tests, arterial blood gases and a serum lactate were all normal.

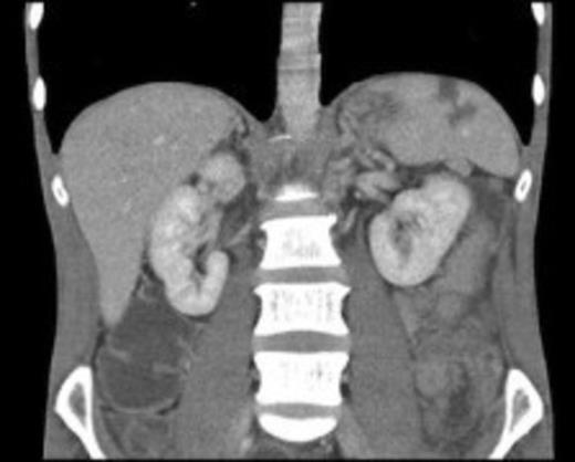
CT showing evidence of splenic infarction secondary to infective endocarditis
A provisional diagnosis of alcohol-induced pancreatitis was made. He received standard management as mild pancreatitis (Glasgow score 0) with ward level care. An ultrasound showed no abnormality. Due to diagnostic uncertainty and failure of symptoms and signs to rapidly resolve, a CT abdomen was performed. This demonstrated a normal looking pancreas but evidence of splenic infarction (Figure). Subsequent echocardiogram for a source of emboli showed multiple valvular vegetations, aortic regurgitation and a 16mm pericardial effusion. Blood cultures yielded Group-A streptococcus. Poor dentition was deemed to be the bacterial source. Treatment with intravenous Flucloxacillin and Gentamicin was undertaken and transfer to the regional cardio-thoracic unit was arranged. There he underwent urgent aortic valve replacement with a tissue valve following which he made an uncomplicated recovery.
DISCUSSION
A number of causes of hyperamylasaemia have been reported. These can be broadly grouped into 3 subdivisions:
Pancreatic (eg. pancreatitis, pancreatic tumour or trauma)
Extra-pancreatic intra-abdominal disease (eg. cholecystitis, perforated duodenal ulcer, bowel ischaemia)
Extra-abdominal processes (eg. macro-amylasaemia)
Interpretation of a raised amylase in the surgical patient is crucial, potentially avoiding dangerous misdiagnosis. Many conditions cause hyperamylasaemia making the specificity of elevated serum amylase level less than 70%. Its low specificity drops further after the first 24 hours of hospital admission (1,2).
There have been no previous reports of splenic infarction as a cause of hyperamylasaemia. Elevated serum amylase activity in pancreatitis is attributed to pancreatic auto-digestion, but its pathophysiology is unknown in many other causes. Endocarditis is a well known cause of splenic thrombosis and consequent infarction and first described in Germany in 1869 (3). However how this relates to hyperamylasaemia has never been explored. There have been reports of raised amylase in non-pancreatic sepsis, some showing that this could be used as a prognostic marker in the septic patient (4). However, in this patient the transient amylase rise dropped despite worsening sepsis, suggesting an alternative cause for the disturbance.
The presenting symptom of left upper quadrant pain was a clue to splenic pathology. Recent studies by Antopolsky et al examined clinical presentations in 49 episodes of acute splenic infarction. The most common symptom was abdominal or left flank pain (80% of episodes) with the most common sign being upper left quadrant tenderness (35% of episodes) (5).
Clinicians should be aware of splenic infarction as a clinical entity, and consider it in cases of upper abdominal pain, particularly if there is a non-diagnostic amylase rise.