-
PDF
- Split View
-
Views
-
Cite
Cite
D Campbell, NK Amponsah, R Mott, T Ellis, Carcinoid tumor of the lung metastatic to a previously identified pituitary adenoma, Journal of Surgical Case Reports, Volume 2012, Issue 10, October 2012, Page 12, https://doi.org/10.1093/jscr/2012.10.12
Close - Share Icon Share
Abstract
The authors present the case of a 58-year-old gentleman presenting with atypical carcinoid tumor of primary lung origin metastasizing to a previously identified pituitary macroadenoma. The patient presented with symptoms of headache and visual disturbance. Imaging revealed enlargement of a known sellar mass as well as three separate enhancing lesions in the brain parenchyma. Resection was accomplished via a transnasal transshpenoidal approach without complication. Immunoreactivity was demonstrated to synaptophysin, chromogranin, CD56, epithelial membrane antigen, and thyroid transcription factor-1. The specimen was also marked by negative staining for pituitary hormones. This case demonstrates a rare occurrence of metastastic spread of tumor to a previously identified pituitary macroadenoma.
INTRODUCTION
Metastatic disease to the pituitary is uncommon (1,2) with breast and lung tumors being most likely (3,4). Patients with metastasis to the pituitary present similarly to those with other pituitary masses. Prognosis following metastatic spread to the pituitary is poor, with patients most often succumbing to progression of the primary disease or other distant metastases. A small number of cases in the literature detail metastatic disease to a preexisting pituitary mass. We present the case of an atypical carcinoid tumor of lung origin metastasizing to a known pituitary adenoma.
CASE REPORT
A 58-year-old gentleman was diagnosed with small cell lung cancer in 1995. He received local radiation and chemotherapy but was found to have recurrent disease confirmed by bronchoscopy in 2000. He was treated with additional chemotherapy and lobectomy. At recurrence MRI of the brain revealed a pituitary adenoma (Fig 1a,b) for which he elected observation.

MRI performed in 2000 revealing incidentally discovered pituitary tumor seen on coronal (a) and sagittal (b) views. MRI performed in 2008 revealing enlarging mass within the sella with suprasellar extension on coronal (c) and sagittal (d) views. Axial views reveal metastases in the cerebellum (e) and the parietal lobe (f)
In 2008, he presented with headaches and visual disturbance. Visual acuity was 20/25 in the right eye with complete temporal field defect, and 20/30 in the left eye with a shallow temporal field defect. Repeat MRI revealed enlargement of the sellar mass with extension into the cavernous sinus bilaterally and significant chiasmal compression. Also noted were three enhancing lesions within the brain suggestive of metastatic disease (Fig. 1c-f). CT of the chest, abdomen and pelvis demonstrated a mass involving the posterior aspect of the pancreatic neck. Laboratory evaluation revealed a prolactin level of 15.5ng/mL, growth hormone level of 0.3ng/mL, normal thyroid panel, and morning cortisol level of 1μg/dL.
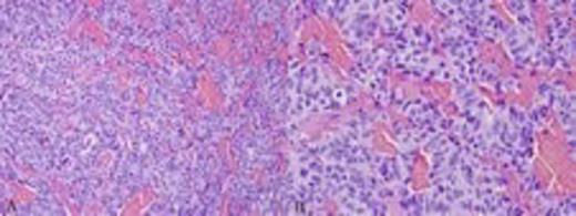
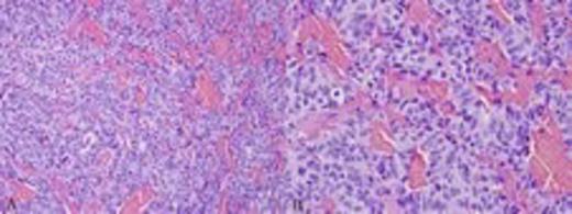
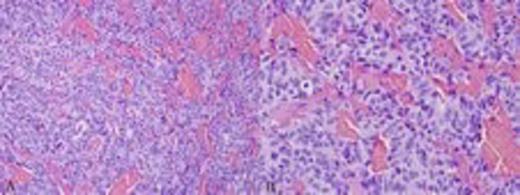
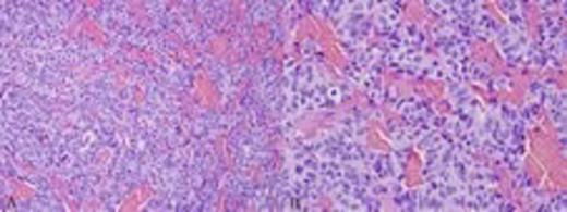
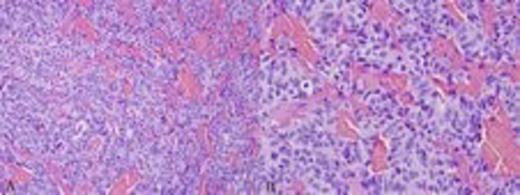
The patient underwent transsphenoidal resection of the pituitary mass to decompress his chiasm and obtain pathology. H&E staining demonstrated a neuroendocrine neoplasm (Fig. 2) with 4 mitotic figures per 10 high-power fields and no necrosis. The tumor appeared to be growing in the vicinity of the pituitary as evidenced by a small portion of Rathke’s cleft epithelium. Based on the morphologic appearance, the main differential included pituitary adenoma versus metastatic carcinoid tumor. Immunohistochemical stains (Fig. 3) showed tumor cells negative for prolactin, adrenocorticotropic hormone, human growth hormone, luteinizing hormone, follicle-stimulating hormone, and thyroid-stimulating hormone. Based on these results, the tumor was diagnosed as a metastatic carcinoid tumor originating from lung primary.

The tumor was growing in a trabecular pattern (a, 200X), including mildly pleomorphic neuroendocrine cells with abundant cytoplasm (b, 400X)

Fig. 3: Immunohistochemical stains confirmed the neuroendocrine nature of the tumor, with positive staining for synaptophysin (a) and CD56 (b). The tumor demonstrated TTF-1 nuclear expression (c) and S100-positive sustentacular cells (d), which are typical features of a pulmonary carcinoid tumor. All images are at 200X magnification
DISCUSSION
Metastatic spread to the pituitary occurs in ~3.5% of all cancer patients, and ~1% of patients undergoing transsphenoidal surgery (2). Additionally, metastatic spread to the pituitary is found in 1-5% of patients at autopsy following death from known malignancy at a remote site.(1) The most common primary tumors metastasizing to the pituitary are breast (38.7%) and lung (23.7%)(1,3,4), but metastases from almost every organ system have been reported. In 3% of cases, the primary tumor remains unknown (5).
The routes by which metastatic disease may reach the pituitary include meningeal spread, direct extension, and hematogenous proliferation (1,6). Involvement of the anterior lobe alone occurs in only 15% of cases with the remaining cases involving either the posterior lobe alone or posterior and anterior lobe combined. This may be due to the fact that the blood supply of the posterior lobe originates from the hypophyseal artery, whereas the anterior lobe is supplied by the portal vessels resulting in a less direct pathway for hematogenous spread. If the anterior lobe has metastatic involvement, it is thought to have spread from the posterior lobe (1,5).
Symptoms due to metastatic disease to the pituitary are protean. The most common presenting symptom is diabetes insipidus, occurring in up to 70% of symptomatic cases (2,5,7). The most common visual field disturbance is bitemporal hemianopsia, and contiguous spread of the tumor to the adjacent cavernous sinus most commonly produces cranial nerve III and IV dysfunction (1).
Metastases to the brain and dura occurs in ~6% of all carcinoid patients, but metastatic spread to a previously identified pituitary mass is exceedingly rare (8,9). The most common primary tumors metastasizing to a preexisting pituitary adenoma are breast and lung (10). Noga et al (10) report that in cases representing metastatic spread to hormonally functional pituitary adenomas, 60% secrete prolactin, 20% growth hormone, and 20% adrenocorticotrophic hormone. Our patient presented with visual field deficits and no evidence of a hormonally active tumor.
Prognosis following metastasis to the pituitary is poor. This has most to do with widespread metastatic disease at the time of diagnosis rather than pituitary involvement. Median survival is 6-7 months, with 10% of patients surviving at one year. Poorer outcome is related to short time period (<1 year) between initial cancer diagnosis and pituitary metastases, age >65 at diagnosis, and small-cell lung primary (6,7). Transsphenoidal resection with radiation is reported to result in greater symptom relief, but overall survival is not affected (1,6).
The key diagnostic features in this case include a trabecular growth pattern, sustentacular cells surrounding nests of tumor cells, neuroendocrine features with copious cytoplasm, and nuclear expression of TTF-1. Although pituitary adenomas can have somewhat similar morphologic features, the presence of strong and diffuse TTF-1 nuclear expression with negative staining for pituitary hormones excludes the diagnosis of a pituitary adenoma. Given the patient’s history of primary small cell carcinoma of the lung, metastatic small cell carcinoma was also considered. The distinction between carcinoid tumor and small cell carcinoma is based exclusively on the morphologic features of the tumor. In contrast to carcinoid tumors, small cell carcinomas have high-grade features, including tumor cells with scant cytoplasm, nuclear molding, brisk mitotic activity, apoptotic cell death, and extensive necrosis, none of which were seen here.
We present the case of an atypical carcinoid tumor of lung primary metastasizing to a previously identified pituitary macroadenoma. We believe that the patient's initial diagnosis of pituitary adenoma was correct due to the fact that the lesion was stable during routine follow-up and only showed progression at the time of discovery of multiple enhancing intracranial masses. While this is a rare occurrence, the case presented here as well as the previously mentioned literature highlight the fact that metastatic disease must be included in the differential when deciding on treatment options for any sellar mass.