-
PDF
- Split View
-
Views
-
Cite
Cite
MD Kipling, C Rangaiah, O Nugud, Naso-pharyngeal entrapment. An unusual complication of naso-jejunal feeding tube insertion using a guidewire, Journal of Surgical Case Reports, Volume 2011, Issue 3, March 2011, Page 8, https://doi.org/10.1093/jscr/2011.3.8
Close - Share Icon Share
Abstract
We present the case of an unusual complication of insertion of a naso-jejunal feeding tube (NJT) using a guidewire, where the guidewire formed an alpha-loop in the naso-pharynx, becoming entrapped after cutting into the soft palate. This required ENT input and a general anaesthetic to rectify the situation.
INTRODUCTION
Naso-jejunal feeding tubes (NJT) insertion carries out risks of certain complications. We report an unusual complication of naso-pharyngeal entrapment in a 21 year old male patient.
CASE REPORT
A 21 year old, previously fit and well male soldier presented as an emergency with gallstone pancreatitis of moderate severity on Glasgow scoring. This was shortly complicated by pancreatic necrosis of two thirds of the organ. After discussion with a tertiary pancreatic unit, naso-jejunal feeding was planned to optimise the patient’s nutrition prior to interval necrosectomy and cholecystectomy.
A consultant gastroenterologist experienced in NJT insertion performed the procedure, but due to recent change in purchasing policy he was unfamiliar with a new guidewire provided for NJT insertion (the new wire being stiffer than those normally used). Standard upper GI endoscopy was performed with 2mg of Midazolam sedation.
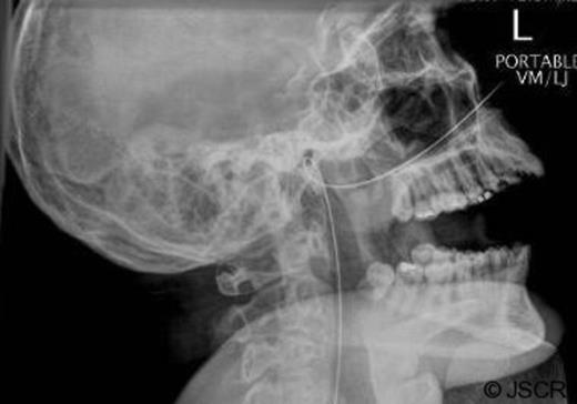
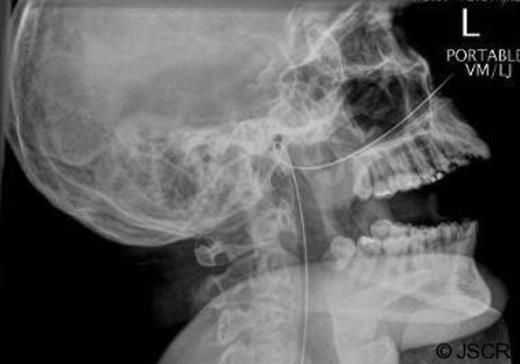
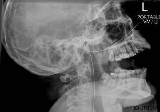
After passing the guidewire into the proximal jejunum without any problems and withdrawing the scope, an attempt was made to pass the plastic feeding tube over the guidewire. The tube would not advance past the naso-pharynx despite lubrication and gentle pressure. An attempt was made to advance the guidewire further but resistance was encountered. On attempting to withdraw the wire resistance was again encountered, and the patient reported severe discomfort on swallowing, which persisted (Figure 1).

Plain radiograph of the head and neck was performed, showing an alpha-loop having formed in the naso-pharynx
ENT at a tertiary centre was consulted, with urgent transfer of the patient for nasal endoscopy and attempted removal of the guidewire. Nasoscopic manipulation of the loop failed to resolve it, and a general anaesthetic was required for repeat nasoscopy, grasping of the guidewire and gentle traction towards the oro-pharynx. Subsequently, long-nosed wire-cutters were used via the mouth to divide the wire, with removal of first the oesophageal and then nasal guidewire fragments.
No complications were encountered, and the patient was returned to the district general hospital for continuing care. As he was unwilling to undergo repeat NJT or nasogastric tube insertion he was commenced on short-term parenteral nutrition until adequate oral feeding could be established. He remains well.
DISCUSSION
Known complications of NJT insertion include bleeding, upper respiratory tract infections, oesophageal reflux and strictures, intracranial insertion, and accidental bronchial insertion (1,2). Other reports have included perforation of pharyngeal or oesophageal pouches, as well as of the trachea. One of the authors (MK) has already highlighted the problems of guidewires in clinical practice, particularly suggesting that familiarity with equipment is crucial (3). This case only reinforces that message.
Other learning issues for this case include the early involvement of specialty assistance. The particular point made by ENT was that there should not be repeated or vigorous attempts to dislodge an entrapped guidewire as potential airway compromise from haemorrhage can occur. All clinicians should be experienced in using stocked equipment, and clinicians should not allow departmental purchasing policy to dictate the equipment they are provided with if it compromises patient safety.