-
PDF
- Split View
-
Views
-
Cite
Cite
NK Selvakumari, A Simons, G Ahmad, A rare cause of pneumoperitoneum, Journal of Surgical Case Reports, Volume 2011, Issue 11, November 2011, Page 8, https://doi.org/10.1093/jscr/2011.11.8
Close - Share Icon Share
Abstract
Gas under the diaphragm can be due to like perforation in stomach, duodenum due to peptic ulcer disease, in jejunum or illeum by inflammatory bowel disease or cancer can lead to pneumoperitoneum. We present a rare cause of pneumoperitoneum following abdominal hysterectomy.
INTRODUCTION
Clinical presentation of gas under the diaphragm and acute abdomen can be due to rupture of viscus, perforated peptic ulcer disease and rarely spontaneous. We present a case with a different cause.
CASE REPORT
A 38 year old woman presented in Accident and Emergency ward with a history of acute abdominal pain. The pain was associated with vomiting and has been for three hours. Pain did not subside with simple analgesics. She gave a history of dyspepsia, symptoms of gastritis in the past and was treated with Omeperazole.
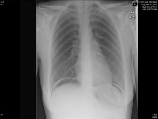
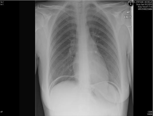
She was seen by Surgeons who advised for an erect chest x-ray which showed gas under the diaphragm implying the diagnosis of perforated peptic ulcer disease. Her past medical history was unremarkable. She had undergone abdominal hysterectomy three months before for menorragia. Her post operative review was uneventful and vault has healed well.

She was seen b they Gynaecology team in view of history and acute abdomen. A detailed history was elicited and patient reported having had sexual intercourse earlier on the same day and denied the pain following it. Her vital signs were stable and abdominal examination revealed diffuse vague tenderness, no sign of distension or guarding and vaginal examination was difficult and no abnormalities detected.
In view of the clinical symptoms and radiological findings patient was taken for emergency laparatomy. There was no perforation of viscus but there was a defect noted in the vaginal vault. The Gynaecology team was called in and the vault was sutured with interrupted sutures.
DISCUSSION
Gas under the diaphragm can be due to like perforation in stomach, duodenum due to peptic ulcer disease, in jejunum or illeum by inflammatory bowel disease or cancer can lead to pneumoperitoneum. This can present as an acute symptom.(1)
10% of cases diagnosed on pneumoperitoneum are not due to perforation of an air containing viscus but due to sexual activity, peritonitis, gas forming bacteria and some rare causes like IUCD. First case of pneumoperitoneum due to post coital perforation after abdominal hysterectomy has been reported in 1980.Acute abdomen may or may not be the symptom (2,3). Vaginal Evisceration may or may not be a presenting symptom.(3,4)
In our patient the acute symptoms and X-Ray findings lead for an early laparatomy. This condition could have been managed conservatively if the pain has not been severe. The vault repair can be corrected laparoscopic or vaginally and a major laparatomy could be avoided
Embarrassment and modesty often prevent patients form talking about sexual activity. It is important to elicit a detailed history prior to conclusion of diagnosis. Clinical examination during acute pain, particularly vaginal examination, is more painful for patients.
Team involvement and examination under anaesthesia could have prevented a laparatomy in this situation. The condition is rare but gynaecologist and surgeons should be aware of the situation and appropriate team work is essential to deal with the rare situations.