-
PDF
- Split View
-
Views
-
Cite
Cite
Vincent S W Koo, Naing N K Lynn, Mark F Saxby, Radical exenteration surgery is curative in locally advance mucinous prostatic adenocarcinoma involving bladder and rectum, Journal of Surgical Case Reports, Volume 2010, Issue 4, June 2010, Page 6, https://doi.org/10.1093/jscr/2010.4.6
Close - Share Icon Share
Abstract
The management of mucinous prostatic adenocarcinoma include hormonal treatment, radiotherapy and radical prostatectomy with variable long-term outcome. We report a 59 year old man with advanced mucinous prostatic adenocarcinoma involving almost the entire bladder and had failed treatment with hormonal and radiotherapy, but subsequently underwent radical pelvic exenteration surgery that resulted in long-term cure. He remains alive, his PSA remains undetectable and his surveillance CT scans did not show any evidence of recurrence after 11 years post-surgery. The favourable outcome of radical surgery suggests that radical surgery should be considered, especially in cases with failed initial treatments.
INTRODUCTION
Mucinous adenocarcinoma is an uncommon variant of prostatic carcinoma. The management includes hormonal treatment, radiotherapy and radical prostatectomy with variable outcome. We report a case of advanced mucinous adenocarcinoma of the prostate involving almost the entire bladder, who had failed treatment with hormonal and radiotherapy. He proceeded to have radical pelvic exenteration surgery that resulted in long-term cure.
CASE REPORT
A 59 year old man presented in 1995 with haematuria and bladder outlet obstructive symptoms. Clinical examination revealed a large benign prostate greater than 100 grams and a PSA of 28ng/ml. He refused further investigations such as cystoscopy or prostate biopsies. A year later, he re-presented with clot retention. Due to the size of the prostate gland and the fact that it was thought to be benign, open transvesical prostatectomy was performed.
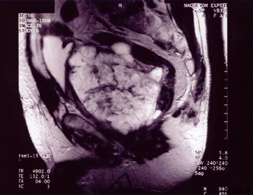
Histology showed mucinous cystadenocarcinoma of the prostate with extracellular mucin involving more than 50% of the specimen which was also PSA positive. Repeat PSA was 56ng/ml and hormonal therapy was initiated. MRI scan showed an enormous multicystic tumour arising from the prostate gland infiltrating the posterior wall of the bladder and also involving the rectum (Figure 1).

MRI scan showing an enormous multicystic tumour arising from the prostate gland infiltrating the posterior wall of the bladder and also involving the rectum
The patient was offered pelvic exenteration but elected to have radical radiotherapy. After radical radiotherapy, PSA levels fell to 35ng/ml but post-radiotherapy CT scan showed no response to treatment and no distant metastasis. Meanwhile, he continued to have haematuria and a debulking transurethral resection of the prostate was needed to control the haematuria. During the procedure, examination under anaesthesia revealed a mobile pelvic mass.
Three years after his first presentation, the patient became cachetic and he finally agreed to have pelvic exenteration after counselling. He made a slow but steady recovery post-operatively. Histology revealed mucinous adenocarcinoma of prostate invading the whole thickness of the bladder only leaving a small area at the dome un-involved and also invading the rectal wall. The resection margins were clear of any tumour. Fourteen years later his PSA has remained undetectable and there was still no evidence of recurrence on surveillance CT scans.
DISCUSSION
Mucinous adenocarcinoma of the prostate is a rare morphological variant of prostatic adenocarcinoma, accounting for an incidence of about 0.2-0.4% (1,2). This diagnosis is established on tumours with more than 25% of the gland containing extracellular mucin (3). Otherwise tumours with a smaller volume of mucin should be termed as “prostatic adenocarcinoma with mucinous features”. Clinically prior to prostatectomy, it can be difficult to diagnose mucinous adenocarcinoma using transrectal needle biopsies since the biopsy samples may not be entirely representative.
Microscopically it displays features of single round and cribriform glands floating within mucinous lakes, staining positive for PSA and prostate-specific acid phosphatase and staining negative for CDX2 (marker for intestinal tumours). Very rarely, it can be associated with intracellular mucin positive signet-ring cells (4). Our case displayed the usual features of mucinous adenocarcinoma without any evidence of signet-ring cells. The first interesting finding in our case is the infiltration of bladder with prostatic tumour sparing only a small area at dome. This feature resembles the linitis plastica type effect due to the mucinous tumour.
Due to its rarity and lack of studies with high volume of cases, the natural history and prognosis remains controversial. Traditionally, it was believed to be associated with an aggressive behaviour and poorer prognosis, but a subsequent case series distinguished that it was the associated signet-ring cell component that resulted a very poor prognosis (5). Others have generally reported a poor response to either hormonal or radiation therapy.
In contrast, a match-paired comparison of 14 patients with mucinous adenocarcinoma who underwent radical prostatectomy suggested a favourable prognosis (2). Another study also demonstrated that mucinous adenocarcinoma of the prostate treated by radical prostatectomy is not more aggressive than non-mucinous adenocarcinoma (4), although long-term data was not available. Our case supports a long-term favourable outcome after radical surgical treatment. In spite of failure of response to initial therapies and the locally advanced stage of the disease, the patient remained reccurence free 14 years after first presentation and 11 years after surgery.
In the context of this rare variant of prostatic carcinoma, we have highlighted a successful curative outcome from radical surgery, despite failed initial hormonal and radiotherapy treatment even in a locally advance disease. The favourable outcome of radical surgery suggests that radical surgery should be considered, especially in cases with failed initial treatments.