-
PDF
- Split View
-
Views
-
Cite
Cite
Kelechi Eseonu, Fawzia Imtiaz, Katy Hogben, A rare case of breast carcinoma presenting with paraneoplastic cerebellar degeneration, Journal of Surgical Case Reports, Volume 2010, Issue 10, December 2010, Page 6, https://doi.org/10.1093/jscr/2010.10.6
Close - Share Icon Share
Abstract
This case report highlights the importance of a high index of suspicion for breast cancer in a young patient with rapidly progressive neurological dysfunction, a family history of breast cancer and an asymptomatic breast lump.
INTRODUCTION
Paraneoplastic syndromes (PNS) are a group of rare disorders that result from the non-metastatic, but remote neurological effects of cancer. These syndromes can affect 1-3% of all patients with a malignancy. (1) The main clinical features include encephalomyelitis, cerebellar cortical degeneration, peripheral neuropathy, retinopathy and opsoclonus-myoclonus. (2) In a clinical presentation consistent with a PNS, the likelihood of occult malignancy is high. We report the case of a 42 year old female with paraneoplastic cerebellar degeneration and an initially occult breast cancer with a final diagnosis of Grade 3 intraductal carcinoma.
CASE REPORT
A 42 year old lady presented with a 2 week history of bilateral tinnitus and reduced co-ordination when writing, typing and eating. In her family history, her mother had post-menopausal breast cancer and died aged 72 years. She developed increased difficulty walking and a bilateral lower limb weakness of sufficient severity to impair independent movement and prevent her working and driving resulting in referral to the neurology team.
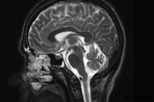
Laboratory finding, (including tumour markers AFP, Ca 19-9, CA125 and CEA) and autoimmune screening tests (ANCA and ANA) were normal. Autoimmune anti-yo antibodies were positive. CT chest/abdomen/pelvis and ultrasound of pelvis were normal. MRI of the brain (Figure 1) and lumbar puncture were normal.

As a result of her symptoms of cerebellar dysfunction, family history of breast cancer, and presence of anti-yo antibodies, a breast surgical consult was requested. Examination revealed a discrete lump at the 2 o’ clock position and 1cm from the nipple areola complex of the left breast with mild axillary lymphadenopathy. A whole body PET scan revealed an area of increased metabolic activity in the left breast.
A mammogram was reported as normal (M2) (Figure 2). An ultrasound scan performed showed a lesion at the 2,2 site, with appearances suggestive of a fibroadenoma (U2) (Figure 3). Core biopsy showed fibrocystic change.


An MRI breast confirmed the existence of the known lesion in the left breast and no other areas of concern for occult disease. The patient underwent a wide local excision. Histology revealed a Grade 3 Intraductal carcinoma with medullary features measuring 23mm at it’s point of maximal diameter reaching the excision margins (Oestrogen receptor positive, Her2 +++, Pgr -).
The patient underwent further surgery in the form of re-excision of margins and sentinel lymph node biopsy. High grade Ductal carcinoma in situ was found at the excision margins on histology necessitating mastectomy. This was followed by Plasma exchange transfusion and 6 cycles of CMF chemotherapy.
Despite the removal of the breast cancer, and a decrease in her anti-yo autoantibiodies, her neurological symptoms deteriorated and resulted in the patient becoming wheelchair bound.
DISCUSSION
An association between paraneoplastic cerebellar degeneration (PCD) and occult breast or gynaecological malignancies was first identified in 1938 and the syndrome first fully described by Brain in 1951. (3) They are triggered by an abnormal immune system response to an occult tumour. Specific autoantibodies are targeted against onconeural antigens shared by tumour cells and nervous tissue. Cerebellar degeneration is associated with the detection of anti-Yo autoantibodies that are targeted against Purkinje cells. (4)
Paraneoplastic cerebellar degeneration is a syndrome that occurs predominantly in patients with gynaecological cancers, Hodgkins Lymphoma, small cell carcinoma of the lung and breast cancer. (5) These patients present with rapidly progressive cerebellar dysfunction. Subtle cognitive and motor impairment may also be involved. In contrast to the patient, where an lumbar puncture (LP) on presentation was clear, cerebrospinal fluid (CSF) analysis usually shows lymphocytic pleocytosis (6) and mildly elevated protein concentration with oligoclonal bands.
The prominent clinical features in this case were ataxia and lower limb weakness. These preceded the identification of breast carcinoma by over 6 months. The onset of neurological symptoms is thought to precede the identification of the tumour in 60% of cases. (7) This case history highlights the challenges in making a diagnosis of PCD in such patients. Specific clinical signs differentiating paraneoplastic syndrome from other neurological pathology are lacking and this leads to delay in requesting antibody titres.
The association between PCD and anti Yo antibodies is strongest in middle aged women with occult breast cancer. (7) Interestingly, the absence of titres does not exclude the possibility of occult malignancy. Indeed, no antibodies are found in approximately 40% of patients. (8) Clinical progression is variable. One study stated median survival duration of 100 months for breast cancer patients and 22 months for those with gynaecological cancers. (9)
A study on a number of antibody specific paraneoplastic syndromes highlights the poor prognosis of anti-Yo PCD, as well as the benefits of chemotherapy treatment. Only four out of 19 anti-Yo patients remained ambulatory. Also, survival from time of diagnosis is poor in anti-yo patients. Patients receiving antitumour treatment (with or without immunosuppressive therapy) lived significantly longer. (10)
This patient is more in line with the subjects in the majority of literature. She remains unable to ambulate independently and treatment has not thus far led to a long term symptomatic resolution. This case highlights the challenges surrounding the diagnosis of paraneoplastic syndrome in breast cancer patients. Effective treatment is limited and quality of life years markedly affected. Imaging is poor at diagnosing paraneoplastic syndrome and cerebellar changes are variably noticeable on MRI.
The evidence suggests that early tumour excision and early immunoglobulin, plasmapheresis and corticosteroid treatment are key. Even with optimal management with our current knowledge base however, prognosis is still disappointingly poor and treatment efficacy uncertain.