-
PDF
- Split View
-
Views
-
Cite
Cite
M Upadhyaya, T Rogers, MS Thyagrajan, Infected mesenteric ileocaecal dermoid cyst in a child, Journal of Surgical Case Reports, Volume 2010, Issue 10, December 2010, Page 5, https://doi.org/10.1093/jscr/2010.10.5
Close - Share Icon Share
Abstract
Mesenteric dermoid cysts are a rare cause of abdominal pain. Although dermoid cysts occur in many parts of the body there have been only a few case reports involving the bowel mesentery. We present a case of a symptomatic mesenteric dermoid cyst involving the ileocaecal junction in a child.
INTRODUCTION
Dermoid cysts can occur in different region of the body. Abdominal dermoid cysts are very rare in paediatric population. (1,2,3,4) They can present in the acute setting by causing complications such as cyst rupture or intestinal volvulus. (5,6) We are presenting a rare case of and infected dermoid cyst that presented with an acute abdomen.
CASE REPORT
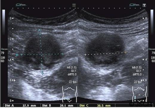
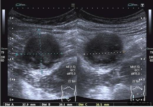
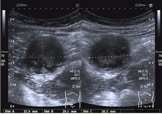
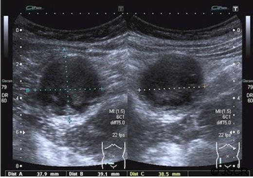
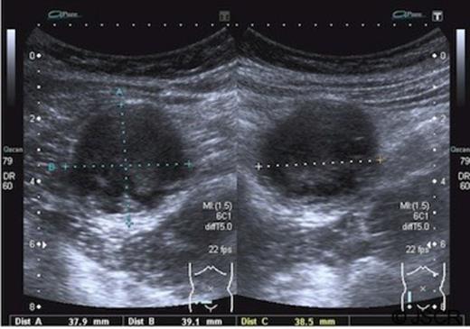
An eleven year old boy presented to the accident and emergency department complaining of pain in the lower abdomen. Initially his signs and symptoms were felt to be consistent with a non-specific cause. He re-presented a week later with persistent localised pain in the right iliac fossa and was noted to have a tender palpable mass, suggestive of appendicular pathology. A full blood count and C-reactive protein were normal. An ultrasound revealed a cystic lesion measuring 38mm by 39mm by 38mm in the right iliac fossa containing complex debris. The wall of the cyst appeared to be multilayered, possibly consistent with a duplication cyst. The appendix was not visualised.(Figure 1)

Ultrasound images showing a spherical cystic lesion with layering within
Diagnostic laparoscopy was performed expecting to find a duplication cyst. A mesenteric lesion inseparable from the ileocaecal junction was visualised. No other abnormality was found. A right lower quadrant incision was used to mobilize the caecum and deliver the cyst out of the abdomen. The lesion appeared inflamed and inseparable from the caecum and terminal ileum.
A limited right hemicolectomy with ileocolic anastomosis was performed.(Figure 2)

Intraoperative picture showing a spherical lesion at the ileocaecal junction
Histopathology of the specimen demonstrated an unilocular cyst lined by keratinising squamous epithelium with inflammatory changes. There were no dermal adnexal structures, nor any mesodermal or endodermal components. The adjacent bowel was normal. These appearances were in keeping with an inflamed dermoid cyst.
DISCUSSION
Mesenteric cysts are a rare group of lesions that have been classified into six subtypes based on their histopathology.(1) These include (a) cysts of lymphatic origin (lymphangioma); (b) cysts of mesothelial origin (benign cystic mesothelioma, malignant cystic mesothelioma); (c) cysts of enteric origin (duplication cyst); (d) cysts of urogenital origin; (e) mature cystic teratoma (dermoid cysts), and (f) pseudocysts (infectious and traumatic cysts).
Dermoid cysts are commonly described in the head, neck, gonads, mediastinum, retroperitoneal and sacrococcygeal regions. There are four case reports in English literature of dermoid cysts occurring in the mesentery of children. (1,2,3,4)
Occurrence at the ileocaecal junction has not been described.
Dermoid cysts are postulated to occur as a result of abnormal migration of primordial germ cells. (7) This is a complex and poorly understood process, reliant on a host of migratory and homing factors (8), making it difficult to explain why our patient’s cyst occurred at the ileocaecal region. We can only postulate that these cells may have migrated from the dorsal mesogastrium, in the midline, and then traversed in the mesentery to the ileocaecal region.
Patients with mesenteric dermoid cysts present in various ways. They may be identified incidentally. (1,2) They can present as a slow growing intraabdominal mass. (3) They may cause vague gastrointestinal symptoms or present with acute pain due to cyst rupture or intestinal volvulus. (5,6) It has also been reported in a patient with autoimmune haemolytic anaemia. (4)
Ultrasound imaging identified a cystic lesion, but was not able to differentiate it from the more commonly presenting lymphangiomas and duplication cysts.
It became clear intraoperatively that this was a very unusual lesion. In our patient, the histology showed keratinising epithelium lining the cyst. This was in keeping with the more commonly occurring dermoid cyst in the head and neck regions e.g. external angular dermoid. The histopathological diagnosis was unexpected.
Our report is unique in that our patient presented in a way that mimicked appendicitis. To our knowledge this has not been reported before.