-
PDF
- Split View
-
Views
-
Cite
Cite
Weibin Du, Xiaojun Zhai, Yong Li, Bleeding control in severe spinal deformity correction surgery: the use of tranexamic acid combined with desmopressin, Journal of Surgical Case Reports, Volume 2025, Issue 4, April 2025, rjaf245, https://doi.org/10.1093/jscr/rjaf245
Close - Share Icon Share
Abstract
To investigate the efficacy of tranexamic acid combined with desmopressin in reducing intraoperative and postoperative bleeding during severe spinal deformity correction surgery. Around 30 cases of orthopedic surgery for severe spinal deformity were included in this study. They were divided into study group and control group. The surgical duration, intraoperative blood loss, postoperative 24-h drainage volume, hemoglobin levels, and coagulation function indicators at 24 h postoperatively were recorded and compared between the two groups. The intraoperative blood loss and 24-h postoperative drainage volume of the study group were significantly lower than those of the control group (P < 0.05). The decrease in hemoglobin levels was less pronounced in the study group, and the coagulation function indicators remained more stable within 24 h postoperatively. Compared with the control group, both P < 0.05. The combination of tranexamic acid and desmopressin effectively reduces intraoperative and postoperative bleeding in severe spinal deformity correction surgery, and demonstrates a favorable safety profile.
Introduction
Spinal deformity surgery involving corpectomy is traumatic and has a lot of bleeding. After major trauma hemorrhage, the incidence of multiple organ dysfunction will increase [1, 2]. During the perioperative period of severe spinal deformity correction surgery, tranexamic acid has gradually become a primary hemostatic agent for controlling bleeding. However, tranexamic acid can cross through the blood–brain barrier to trigger tranexamic acid-associated epilepsy [3, 4]. Additionally, some studies have found that the extensive local application of tranexamic acid may pose a risk of soft tissue damage, highlighting the importance of careful consideration regarding its dosage [5]. Desmopressin is a structural analog of the natural hormone arginine vasopressin and possesses unique advantages in balanced hemostasis. It promotes platelet activity while simultaneously releasing tissue plasminogen activator, thereby achieving effective hemostasis without increasing the risk of thrombosis [6, 7].
However, there are currently few reports on the combined use of tranexamic acid and desmopressin in severe spinal deformity correction surgery. In summary, this study utilized the aforementioned bleeding control management techniques to comprehensively analyze their efficacy and safety based on factors such as surgical duration, intraoperative blood loss, postoperative 24-h drainage volume, hemoglobin levels, and coagulation function indicators at 24 h postoperatively. The results demonstrated favorable clinical outcomes.
Case series
Patients and data
This case series retrospectively reviewed 30 patients who underwent severe spinal deformity correction surgery at our hospital from January 2020 to January 2024. Among the patients, 10 were male and 20 were female, with ages ranging from 18 to 72 years, average age: 39.37 ± 18.20 years. Among the patients, 15 received a combination of tranexamic acid and desmopressin (study group), while the remaining 15 underwent conventional perioperative management (control group). The general clinical data of the two groups of patients were not statistically significant (all P > 0.05) and were comparable. In the study group, patients were given desmopressin (0.3 μg/kg) intravenously 30 min before surgery. A loading dose of tranexamic acid (20 mg/kg) was given immediately after induction of anesthesia. Tranexamic acid was subsequently maintained at 1 mg/kg/h until the end of surgery.
Surgical technique
In the study, we ensured that all surgeries were performed by the same group of experienced doctors and followed the same surgical procedures. All the procedures were performed under the navigation guidance, ensuring the standardization of the operation. After successful general anesthesia, the patient was placed in a prone position, followed by routine disinfection and draping. An incision was made along the spinous process line of the target vertebrae, and the paraspinal muscles were dissected to expose the facet joints. Under navigation guidance, screws were inserted into the target pedicles. A pedicle subtraction osteotomy was performed at the appropriate level, with careful intraoperative protection of the dura mater, nerve roots, and critical blood vessels. Short rods were used for fixation and reduction. After completing the osteotomy, long rods were fixed, with distraction on the concave side and compression on the convex side. Partial laminectomy and thoracoplasty were performed to complete the corrective surgery.
Findings
There was no statistically significant difference in surgical duration between the two groups (335.33 ± 14.74 vs. 337.33 ± 16.92 min, P > 0.05). However, significant differences were observed in intraoperative blood loss (623.33 ± 187.91 vs. 1013.33 ± 159.76 ml) and postoperative 24-h drainage volume (151.33 vs. 237.67 ml), with both showing statistical significance (P < 0.05). Table 1 presents the data.
Comparison of perioperative related indexes between the two groups of patients (mean ± SD).
| . | Operation time (min) . | Intraoperative blood loss (ml) . | 24-h postoperative drainage volume (ml) . |
|---|---|---|---|
| Study group | 335.33 ± 14.74 | 623.33 ± 187.91 | 151.33 |
| Control group | 337.33 ± 16.92 | 1013.33 ± 159.76 | 237.67 |
| T-value | 0.345 | 6.124 | 12.439 |
| P-value | 0.733 | 0.000 | 0.000 |
| . | Operation time (min) . | Intraoperative blood loss (ml) . | 24-h postoperative drainage volume (ml) . |
|---|---|---|---|
| Study group | 335.33 ± 14.74 | 623.33 ± 187.91 | 151.33 |
| Control group | 337.33 ± 16.92 | 1013.33 ± 159.76 | 237.67 |
| T-value | 0.345 | 6.124 | 12.439 |
| P-value | 0.733 | 0.000 | 0.000 |
Comparison of perioperative related indexes between the two groups of patients (mean ± SD).
| . | Operation time (min) . | Intraoperative blood loss (ml) . | 24-h postoperative drainage volume (ml) . |
|---|---|---|---|
| Study group | 335.33 ± 14.74 | 623.33 ± 187.91 | 151.33 |
| Control group | 337.33 ± 16.92 | 1013.33 ± 159.76 | 237.67 |
| T-value | 0.345 | 6.124 | 12.439 |
| P-value | 0.733 | 0.000 | 0.000 |
| . | Operation time (min) . | Intraoperative blood loss (ml) . | 24-h postoperative drainage volume (ml) . |
|---|---|---|---|
| Study group | 335.33 ± 14.74 | 623.33 ± 187.91 | 151.33 |
| Control group | 337.33 ± 16.92 | 1013.33 ± 159.76 | 237.67 |
| T-value | 0.345 | 6.124 | 12.439 |
| P-value | 0.733 | 0.000 | 0.000 |
Significant differences were observed between the two groups in terms of hemoglobin levels at 24 h postoperatively (11.32 ± 1.46 vs. 10.06 ± 1.18 g/dL), prothrombintime values at 24 h postoperatively (11.45 ± 0.99 vs. 13.27 ± 1.38 s), and partial thromboplastin time (APTT) values at 24 h postoperatively (30.79 ± 4.51 vs. 35.69 ± 7.33 s), all showing statistical significance (P < 0.05). See Table 2 for details. A typical case of severe spinal deformity correction surgery is illustrated in Fig. 1.
Comparison of hemoglobin changes and coagulation function indexes between the two groups (mean ± SD).
| . | Preoperative levels hemoglobin(g/dL) . | Hemoglobin levels at 24 h postoperatively (g/dL) . | PT values at 24 h postoperatively (s) . | APTT values at 24 h postoperatively (s) . |
|---|---|---|---|---|
| Study group | 12.07 ± 1.58 | 11.32 ± 1.46 | 11.45 ± 0.99 | 30.79 ± 4.51 |
| Control group | 12.13 ± 1.71 | 10.06 ± 1.18 | 13.27 ± 1.38 | 35.69 ± 7.33 |
| T-value | 0.100 | −2.596 | 4.179 | 2.206 |
| P-value | 0.921 | 0.000 | 0.000 | 0.036 |
| . | Preoperative levels hemoglobin(g/dL) . | Hemoglobin levels at 24 h postoperatively (g/dL) . | PT values at 24 h postoperatively (s) . | APTT values at 24 h postoperatively (s) . |
|---|---|---|---|---|
| Study group | 12.07 ± 1.58 | 11.32 ± 1.46 | 11.45 ± 0.99 | 30.79 ± 4.51 |
| Control group | 12.13 ± 1.71 | 10.06 ± 1.18 | 13.27 ± 1.38 | 35.69 ± 7.33 |
| T-value | 0.100 | −2.596 | 4.179 | 2.206 |
| P-value | 0.921 | 0.000 | 0.000 | 0.036 |
Comparison of hemoglobin changes and coagulation function indexes between the two groups (mean ± SD).
| . | Preoperative levels hemoglobin(g/dL) . | Hemoglobin levels at 24 h postoperatively (g/dL) . | PT values at 24 h postoperatively (s) . | APTT values at 24 h postoperatively (s) . |
|---|---|---|---|---|
| Study group | 12.07 ± 1.58 | 11.32 ± 1.46 | 11.45 ± 0.99 | 30.79 ± 4.51 |
| Control group | 12.13 ± 1.71 | 10.06 ± 1.18 | 13.27 ± 1.38 | 35.69 ± 7.33 |
| T-value | 0.100 | −2.596 | 4.179 | 2.206 |
| P-value | 0.921 | 0.000 | 0.000 | 0.036 |
| . | Preoperative levels hemoglobin(g/dL) . | Hemoglobin levels at 24 h postoperatively (g/dL) . | PT values at 24 h postoperatively (s) . | APTT values at 24 h postoperatively (s) . |
|---|---|---|---|---|
| Study group | 12.07 ± 1.58 | 11.32 ± 1.46 | 11.45 ± 0.99 | 30.79 ± 4.51 |
| Control group | 12.13 ± 1.71 | 10.06 ± 1.18 | 13.27 ± 1.38 | 35.69 ± 7.33 |
| T-value | 0.100 | −2.596 | 4.179 | 2.206 |
| P-value | 0.921 | 0.000 | 0.000 | 0.036 |

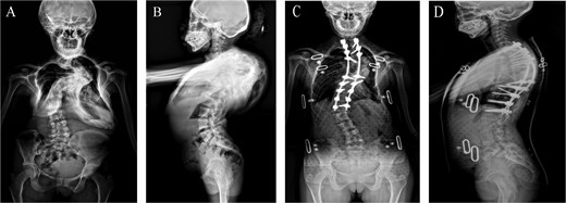
A patient with severe spinal deformity undergoes corrective spinal surgery. (A, B) Preoperative anteroposterior and lateral X-rays showing severe spinal deformity (cobb angle ≥60°). (C, D) Postoperative anteroposterior and lateral X-rays at 1 month showing stable internal fixation with satisfactory positioning.
There was no significant increase in thromboembolic events was observed in the study group, with an incidence rate of 0% (0/15), compared to 6.67% (1/15) in the control group. There was no significant difference between the two groups (P > 0.05).
Discussions
Orthopedic surgery for severe spinal deformities has been a major clinical concern due to the complexity of the procedure, trauma, and high risk of bleeding. Tranexamic acid, as an antifibrinolytic agent, inhibits the degradation of fibrin, thereby reducing intraoperative and postoperative bleeding. Desmopressin, on the other hand, enhances platelet adhesion and aggregation by increasing the release of von Willebrand factor (vWF) and factor VIII from vascular endothelial cells, thereby improving coagulation function [8, 9]. Theoretically, the combined use of these two agents can have a synergistic effect, further reducing bleeding. Our present study shows that tranexamic acid combined with desmopressin significantly reduces operative time, intraoperative and postoperative bleeding, and is effective in the maintenance of coagulation in orthopedic surgery for severe spinal deformities. The study group had a smaller decrease in hemoglobin and more stable coagulation indices in the 24 h after surgery, suggesting that this combination regimen helps to maintain the patients' coagulation balance and reduce the risk of bleeding. Furthermore, the research group did not observe any thromboembolic events or other serious adverse reactions, indicating that the safety profile of this combination therapy is favorable. This may be related to the controlled dosage of desmopressin, with a relatively low dose of 0.3 μg/kg that does not excessively activate the coagulation system, thereby avoiding the risk of thrombosis.
Spinal deformity surgery is a procedure used to correct severe cases of scoliosis. This type of surgery is typically considered when conservative treatments have proven ineffective, especially when the curvature of the spine reaches a certain degree (usually exceeding 45°). The primary objectives of the surgery are to rectify the spinal deformity, enhance the physical appearance, and mitigate potential health issues arising from scoliosis, such as cardiopulmonary dysfunction [10, 11]. Some precautions also need to be attended to during the surgical operations in our study: (i) Overcorrection should be avoided as it may result in excessive stretching of the spinal cord, thereby increasing the risk of spinal cord injury. (ii) Intraoperative monitoring of spinal cord function is imperative. Monitoring of motor and sensory evoked potentials is essential. Close surveillance of spinal cord blood supply is necessary to prevent reduced perfusion due to hypotension. (iii) During the control of surgical positioning, care must be taken to avoid abdominal compression to prevent increased intra-abdominal pressure, which can impede the return of blood flow through the inferior vena cava. Ensure that the head and neck are in a natural neutral position, protect the eyes, and avoid prolonged pressure that could cause injury. Of course, this study also has some limitations: (i) This study is retrospective in nature and currently has a small sample size, which we aim to expand in future research. (ii) The efficacy of different dosage combinations of tranexamic acid and desmopressin requires further investigation.
In summary, the combination of tranexamic acid and desmopressin has demonstrated significant hemostatic efficacy and a favorable safety profile in the context of severe spinal deformity correction surgery, meriting its promotion in clinical practice. Future research will focus on expanding the sample size, exploring the effects of different dosage combinations, and investigating the potential applications in other types of spinal surgeries.
Conflict of interest statement
None declared.
Funding
None declared.