-
PDF
- Split View
-
Views
-
Cite
Cite
Catherine L A Chang, Kenley R Unruh, Chad E Cragle, Ravi Moonka, A case report of a colouterine fistula due to sigmoid diverticulitis, Journal of Surgical Case Reports, Volume 2024, Issue 9, September 2024, rjae596, https://doi.org/10.1093/jscr/rjae596
Close - Share Icon Share
Abstract
Colouterine fistulas are generally seen in post-menopausal patients and present with abdominal pain and non-physiologic vaginal drainage. A history of uterine pathology or diverticulitis is generally lacking. Visualization of the passage of contrast from the gastrointestinal tract to the uterus is not necessary to make the diagnosis. We present the case of a 44-year-old woman successfully treated for a colouterine fistula due to sigmoid diverticulitis. A variety of surgical approaches have been described to correct this fistula, and a minimally invasive colectomy without ileostomy or colostomy appears to be a safe approach.
Introduction
Sigmoid diverticulitis can result in fistula formation in any organ in the pelvis. Colouterine fistulas constitute only 3% of such connections and are rare compared to colovesicular (65%), colovaginal (25%), and coloenteric (7%) disease [1]. The relatively thick myometrium is presumed to protect the uterus from an eroding infection. This infrequent occurrence can complicate standard diagnostic and therapeutic maneuvers. We describe the management of a younger patient found to have a colouterine fistula and compare her presentation and management to that of previously reported cases.
Case report
A 44-year-old woman presented to our emergency department with severe abdominal pain and malodorous, feculent-appearing vaginal drainage. The patient had a 3-year history of intermittent abdominal pain, but never as intractable as this presentation. She had undergone global thermal endometrial ablation for dysfunctional uterine bleeding 3 years prior. She had long-standing type II diabetes treated with glipizide and metformin. On exam, the patient’s body mass index was 41.6 kg/m2. Her temperature was 39.4°C. Her abdomen was diffusely tender on palpation.
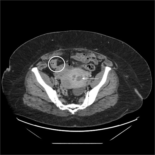
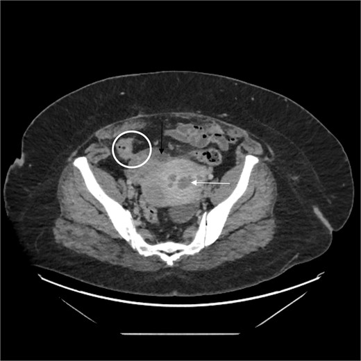
A complete blood count was normal. CT imaging demonstrated fluid and air in the uterus, associated with a phlegmon that communicated with the sigmoid colon (Fig. 1). An ovarian cyst was incidentally noted posterior to the uterus.

White arrow shows fluid in the uterus, black arrow shows phlegmon, and circle demonstrates colon and fistula.
On colonoscopy, diverticula were seen within the descending and sigmoid colon, but no malignancy nor inflammation. An endometrial biopsy demonstrated a fragmented endometrial polyp and fecal material but no malignancy.
The patient’s fevers and pain resolved with a course of intravenous and oral antibiotics. She was placed on a very low carbohydrate diet, resulting in a 55-pound weight loss and a drop in her hemoglobin A1c from 6.9% to 5.6%.
Three months following her initial presentation, the patient underwent a robotic-assisted laparoscopic sigmoid colectomy, hysterectomy, bilateral salpingectomy, and right oophorectomy. Bilateral retrograde indocyanine green ureteral injection facilitated intraoperative ureteral visualization. Cystoscopy demonstrated that the bladder was not injured during the hysterectomy. Feculent cervical discharge was seen during placement of the uterine manipulator. The sigmoid colon was inflamed and densely adherent to the body of the uterus; the uterus was bulky and mildly hyperemic. The sigmoid colon and the uterus were extracted through the vagina, obviating the need for a Pfannenstiel incision. The coloproctostomy was constructed in an end-to-end fashion using a 29 mm EEA stapler.
Final pathology results showed a grossly evident fistula tract measuring 1.7 cm in length in the lower anterior uterine segment extending through the myometrium and into the endometrial cavity (Fig. 2). This was accompanied by a benign leiomyoma with inflammation and a proliferative-type endometrium. Her cervix and bilateral fallopian tubes were normal. The sigmoid colon showed gross areas of perforation and diverticulosis (Fig. 3). Two areas of perforation were identified, 3.0 and 12.0 cm from the proximal surgical margin.

Uterus, cervix, and fallopian tube. The arrow marks the area of fistula formation.

Sigmoid colon with arrow marking the area of fistula formation.
She recovered uneventfully and was discharged 3 days after surgery.
Discussion
We performed a literature review using PubMed with the search terms ‘diverticulitis’ and ‘colouterine fistula’. We evaluated all 37 previously reported cases since 1957, described either in abstract or full manuscript form (Table 1). Abdominal pain and vaginal drainage were the most frequent symptoms noted in 21 and 23 of the 37 patients. Vaginal drainage was generally malodorous or clearly feculent. Three patients described vaginal flatulence. Nine patients were febrile. Our patient’s age of 44 was atypical, since only 2 of the 37 previous patients were under 60. The average age at presentation was 71 years.
Characteristics and management of patients with colouterine fistula secondary to diverticulosis.
| Author . | Year . | Age . | Symptoms . | Diagnostic studies . | Operation . | Complication . | Other . |
|---|---|---|---|---|---|---|---|
| Silva C, et al. | 2024 | 71 | None of common symptoms | CT, colonoscopy, TVUS, hysteroscopy, and biopsy | Open sigmoidectomy, total hysterectomy and bilateral salpingo-oophorectomy | ||
| Aslam A, et al. | 2024 | 74 | Abdominal pain | CT | Open Hartmann w/ total hysterectomy and bilateral salpingo-oophorectomy | Post op ileus | Abscess noted |
| Anthony P, et al. | 2023 | 68 | None of common symptoms | CT | Open sigmoidectomy and subtotal hysterectomy | Abscess noted | |
| Ismail I B, et al. | 2021 | 67 | Abdominal pain, vaginal discharge | CT | Laparoscopic sigmoidectomy w/ primary anastamosis | ||
| Jha P, et al. | 2021 | 28 | Abdominal pain, vaginal discharge, fecaloid flow, gas passage through introitus | Total hysterectomy | Gossypiboma. Abscess noted | ||
| Valverde F, et al. | 2020 | 82 | Abdominal pain | CT | Abscess drainage (×2) | Spontaneous resoluation w/ IV abx | |
| Pontone S, et al. | 2021 | 62 | Vaginal discharge, fecaloid flow, gas passage through introitus | Colonoscopy, gastrografin seen in uterus | Endoscopic self-exapandable metallic stent | ||
| Galanis I, et al. | 2021 | 74 | Vaginal discharge | CT | Open total hysterectomy with partial jejunojejunostomy and partial sigmoidectomy bilateral salpingoophorectomy w/ primary anastamosis | Post op UTI | |
| Perez A, et al. | 2021 | 70 | Abdominal pain, vaginal discharge | CT, TVUS | Open Hartmann w/ total hysterectomy and bilateral salpingo-oophorectomy | ||
| Bowker B | 2020 | 80 | Abdominal pain, fever | CT | Hartmann w/ unilateral oophorectomy | ||
| Guevara Morales, G.R. | 2018 | 67 | Abdominal pain, fever | CT | Sigmoidectomy, total hysterectomy with bilateral salpingo-oophorectomy | ||
| Aggarwal R, et al | 2018 | 77 | abdominal pain, vaginal discharge,fever | CT | sigmoidectomy, total hysterectomy and abscess drainage | Abscess noted w/ drain attempt | |
| Aggarwal R, et al. | 2018 | 73 | Abdominal pain,vaginal discharge | CT | Sigmoidectomy, total hysterectomy | ||
| Arakawa S, et al. | 2017 | 74 | Abdominal pain, malodorous vaginal discharge, fecaloid flow | CT, gastrografin seen in uterus | Laparoscopic sigmoidectomy, total hysterectomy | Vaginal stump dehiscence | Abscess noted |
| Banky B, et al. | 2016 | 70 | Vaginal discharge, fecaloid flow, gas passage through introitus | CT, colonoscopy | Laparoscopic sigmoidectomy w/ primary anastamosis | Colon adenocarcinoma Abscess noted w/ drain attempt | |
| Tracy L, et al. | 2016 | 66 | Vaginal discharge | Unspecified | Unspecified | ||
| Bermello Meza C, et al. | 2015 | 77 | Abdominal pain | Gastrografin seen in uterus | |||
| Uzan J, et al. | 2014 | 34 | Abdominal pain, vaginal discharge, fecaloid flow, fever | CT | Open Hartmann partial sigmoidectomy and abscess drainage | Abscess noted w/ drain attempt | |
| Pankaja S, et al. | 2014 | 74 | Abdominal pain, vaginal discharge | CT, colonoscopy, hysteroscopy and biopsy | Open Hartmann w/ total hysterectomy and bilateral salpingo-oophorectomy | ||
| Maamer AB, et al. | 2013 | 65 | Abdominal pain, vaginal discharge, fecaloid flow, fever | CT, gastrografin | Open total hysterectomy w/ bilateral salpingo-oophorectomy | ||
| Choi PW | 2012 | 81 | Abdominal pain, vaginal discharge | CT, colonoscopy | Sigmoidectomy | Abscess noted w/ drain attempt | |
| Mandato VD, et al. | 2012 | 62 | Vaginal discharge, fecaloid flow | CT, colonoscopy, TVUS, gastrografin seen in uterus, hysteroscopy, and biopsy | Open sigmoidectomy, total hysterectomy w/ bilateral salpingo-oophorectomy | Abscess noted w/ drain attempt | |
| Vilallonga R, et al. | 2008 | 76 | Abdominal pain, vaginal discharge | CT | Open Hartmann | ||
| Kassab A, et al. | 2008 | 78 | None of common symptoms | Colonoscopy, TVUS, hysteroscopy and biopsy | Open total hysterectomy w/ bilateral salpingo-oophorectomy | Abscess noted w/ drain attempt | |
| Trastour C, et al. | 2006 | 70 | Vaginal discharge | CT | Open left hemicolectomy | ||
| Vijayaraghavan S | 2006 | 70 | Vaginal discharge | TVUS | Open sigmoidectomy | ||
| Hoekstra A, et al. | 2005 | 92 | Abdominal pain | Unspecified | Sigmoidectomy and total hysterectomy | ||
| Hoekstra A, et al. | 2005 | 87 | abdominal pain | Unspecified | sigmoidectomy and total hysterectomy | ||
| Petignat P, et al. | 2004 | 88 | Vaginal discharge | CT, TAUS, gastrografin | Open sigmoidectomy, total hysterectomy w/ bilateral salpingo-oophorectomy | ||
| Takada T, et al. | 2004 | 69 | None of common symptoms | Colonoscopy, gastrografin seen in uterus | Open partial sigmoidectomy, total hysterectomy w/ bilateral salpingo-oophorectomy | ||
| Sentilhes L, et al. | 2003 | 76 | Abdominal pain, vaginal discharge w/ fecaloid flow and fever | CT, TVUS, gastrografin | Open sigmoidectomy, total hysterectomy w/ bilateral salpingo-oophorectomy | ||
| Lal S, et al. | 2002 | 67 | Abdominal pain, fever | CT | Hartmann w/ sigmoidectomy, total hysterectomy and bilateral salpingo-oophorectomy | ||
| Huettner PC | 1992 | 69 | Vaginal discharge | Gastrografin seen in uterus | Total hysterectomy | ||
| Chaikof E, et al. | 1984 | 70 | Vaginal discharge, fecaloid flow | Barium enema | Sigmoidectomy | ||
| Chaikof E, et al. | 1984 | 66 | Fever | CT | Hartmann, sigmoidectomy and hysterectomy | Abscess noted | |
| McGregor RA, et al. | 1960 | 62 | Abdominal pain, vaginal discharge, fever | barium enema, X-ray | Sigmoidectomy, hysterectomy, bilateral salpingo-oophorectomy | Abscess noted w/ drain attempt | |
| Smalley MA, et al. | 1957 | 76 | Fecaloid flow | Barium enema, hysterosalpingogram | Fistula resection w/ closure of openings on sigmoid colon and uterus |
| Author . | Year . | Age . | Symptoms . | Diagnostic studies . | Operation . | Complication . | Other . |
|---|---|---|---|---|---|---|---|
| Silva C, et al. | 2024 | 71 | None of common symptoms | CT, colonoscopy, TVUS, hysteroscopy, and biopsy | Open sigmoidectomy, total hysterectomy and bilateral salpingo-oophorectomy | ||
| Aslam A, et al. | 2024 | 74 | Abdominal pain | CT | Open Hartmann w/ total hysterectomy and bilateral salpingo-oophorectomy | Post op ileus | Abscess noted |
| Anthony P, et al. | 2023 | 68 | None of common symptoms | CT | Open sigmoidectomy and subtotal hysterectomy | Abscess noted | |
| Ismail I B, et al. | 2021 | 67 | Abdominal pain, vaginal discharge | CT | Laparoscopic sigmoidectomy w/ primary anastamosis | ||
| Jha P, et al. | 2021 | 28 | Abdominal pain, vaginal discharge, fecaloid flow, gas passage through introitus | Total hysterectomy | Gossypiboma. Abscess noted | ||
| Valverde F, et al. | 2020 | 82 | Abdominal pain | CT | Abscess drainage (×2) | Spontaneous resoluation w/ IV abx | |
| Pontone S, et al. | 2021 | 62 | Vaginal discharge, fecaloid flow, gas passage through introitus | Colonoscopy, gastrografin seen in uterus | Endoscopic self-exapandable metallic stent | ||
| Galanis I, et al. | 2021 | 74 | Vaginal discharge | CT | Open total hysterectomy with partial jejunojejunostomy and partial sigmoidectomy bilateral salpingoophorectomy w/ primary anastamosis | Post op UTI | |
| Perez A, et al. | 2021 | 70 | Abdominal pain, vaginal discharge | CT, TVUS | Open Hartmann w/ total hysterectomy and bilateral salpingo-oophorectomy | ||
| Bowker B | 2020 | 80 | Abdominal pain, fever | CT | Hartmann w/ unilateral oophorectomy | ||
| Guevara Morales, G.R. | 2018 | 67 | Abdominal pain, fever | CT | Sigmoidectomy, total hysterectomy with bilateral salpingo-oophorectomy | ||
| Aggarwal R, et al | 2018 | 77 | abdominal pain, vaginal discharge,fever | CT | sigmoidectomy, total hysterectomy and abscess drainage | Abscess noted w/ drain attempt | |
| Aggarwal R, et al. | 2018 | 73 | Abdominal pain,vaginal discharge | CT | Sigmoidectomy, total hysterectomy | ||
| Arakawa S, et al. | 2017 | 74 | Abdominal pain, malodorous vaginal discharge, fecaloid flow | CT, gastrografin seen in uterus | Laparoscopic sigmoidectomy, total hysterectomy | Vaginal stump dehiscence | Abscess noted |
| Banky B, et al. | 2016 | 70 | Vaginal discharge, fecaloid flow, gas passage through introitus | CT, colonoscopy | Laparoscopic sigmoidectomy w/ primary anastamosis | Colon adenocarcinoma Abscess noted w/ drain attempt | |
| Tracy L, et al. | 2016 | 66 | Vaginal discharge | Unspecified | Unspecified | ||
| Bermello Meza C, et al. | 2015 | 77 | Abdominal pain | Gastrografin seen in uterus | |||
| Uzan J, et al. | 2014 | 34 | Abdominal pain, vaginal discharge, fecaloid flow, fever | CT | Open Hartmann partial sigmoidectomy and abscess drainage | Abscess noted w/ drain attempt | |
| Pankaja S, et al. | 2014 | 74 | Abdominal pain, vaginal discharge | CT, colonoscopy, hysteroscopy and biopsy | Open Hartmann w/ total hysterectomy and bilateral salpingo-oophorectomy | ||
| Maamer AB, et al. | 2013 | 65 | Abdominal pain, vaginal discharge, fecaloid flow, fever | CT, gastrografin | Open total hysterectomy w/ bilateral salpingo-oophorectomy | ||
| Choi PW | 2012 | 81 | Abdominal pain, vaginal discharge | CT, colonoscopy | Sigmoidectomy | Abscess noted w/ drain attempt | |
| Mandato VD, et al. | 2012 | 62 | Vaginal discharge, fecaloid flow | CT, colonoscopy, TVUS, gastrografin seen in uterus, hysteroscopy, and biopsy | Open sigmoidectomy, total hysterectomy w/ bilateral salpingo-oophorectomy | Abscess noted w/ drain attempt | |
| Vilallonga R, et al. | 2008 | 76 | Abdominal pain, vaginal discharge | CT | Open Hartmann | ||
| Kassab A, et al. | 2008 | 78 | None of common symptoms | Colonoscopy, TVUS, hysteroscopy and biopsy | Open total hysterectomy w/ bilateral salpingo-oophorectomy | Abscess noted w/ drain attempt | |
| Trastour C, et al. | 2006 | 70 | Vaginal discharge | CT | Open left hemicolectomy | ||
| Vijayaraghavan S | 2006 | 70 | Vaginal discharge | TVUS | Open sigmoidectomy | ||
| Hoekstra A, et al. | 2005 | 92 | Abdominal pain | Unspecified | Sigmoidectomy and total hysterectomy | ||
| Hoekstra A, et al. | 2005 | 87 | abdominal pain | Unspecified | sigmoidectomy and total hysterectomy | ||
| Petignat P, et al. | 2004 | 88 | Vaginal discharge | CT, TAUS, gastrografin | Open sigmoidectomy, total hysterectomy w/ bilateral salpingo-oophorectomy | ||
| Takada T, et al. | 2004 | 69 | None of common symptoms | Colonoscopy, gastrografin seen in uterus | Open partial sigmoidectomy, total hysterectomy w/ bilateral salpingo-oophorectomy | ||
| Sentilhes L, et al. | 2003 | 76 | Abdominal pain, vaginal discharge w/ fecaloid flow and fever | CT, TVUS, gastrografin | Open sigmoidectomy, total hysterectomy w/ bilateral salpingo-oophorectomy | ||
| Lal S, et al. | 2002 | 67 | Abdominal pain, fever | CT | Hartmann w/ sigmoidectomy, total hysterectomy and bilateral salpingo-oophorectomy | ||
| Huettner PC | 1992 | 69 | Vaginal discharge | Gastrografin seen in uterus | Total hysterectomy | ||
| Chaikof E, et al. | 1984 | 70 | Vaginal discharge, fecaloid flow | Barium enema | Sigmoidectomy | ||
| Chaikof E, et al. | 1984 | 66 | Fever | CT | Hartmann, sigmoidectomy and hysterectomy | Abscess noted | |
| McGregor RA, et al. | 1960 | 62 | Abdominal pain, vaginal discharge, fever | barium enema, X-ray | Sigmoidectomy, hysterectomy, bilateral salpingo-oophorectomy | Abscess noted w/ drain attempt | |
| Smalley MA, et al. | 1957 | 76 | Fecaloid flow | Barium enema, hysterosalpingogram | Fistula resection w/ closure of openings on sigmoid colon and uterus |
Characteristics and management of patients with colouterine fistula secondary to diverticulosis.
| Author . | Year . | Age . | Symptoms . | Diagnostic studies . | Operation . | Complication . | Other . |
|---|---|---|---|---|---|---|---|
| Silva C, et al. | 2024 | 71 | None of common symptoms | CT, colonoscopy, TVUS, hysteroscopy, and biopsy | Open sigmoidectomy, total hysterectomy and bilateral salpingo-oophorectomy | ||
| Aslam A, et al. | 2024 | 74 | Abdominal pain | CT | Open Hartmann w/ total hysterectomy and bilateral salpingo-oophorectomy | Post op ileus | Abscess noted |
| Anthony P, et al. | 2023 | 68 | None of common symptoms | CT | Open sigmoidectomy and subtotal hysterectomy | Abscess noted | |
| Ismail I B, et al. | 2021 | 67 | Abdominal pain, vaginal discharge | CT | Laparoscopic sigmoidectomy w/ primary anastamosis | ||
| Jha P, et al. | 2021 | 28 | Abdominal pain, vaginal discharge, fecaloid flow, gas passage through introitus | Total hysterectomy | Gossypiboma. Abscess noted | ||
| Valverde F, et al. | 2020 | 82 | Abdominal pain | CT | Abscess drainage (×2) | Spontaneous resoluation w/ IV abx | |
| Pontone S, et al. | 2021 | 62 | Vaginal discharge, fecaloid flow, gas passage through introitus | Colonoscopy, gastrografin seen in uterus | Endoscopic self-exapandable metallic stent | ||
| Galanis I, et al. | 2021 | 74 | Vaginal discharge | CT | Open total hysterectomy with partial jejunojejunostomy and partial sigmoidectomy bilateral salpingoophorectomy w/ primary anastamosis | Post op UTI | |
| Perez A, et al. | 2021 | 70 | Abdominal pain, vaginal discharge | CT, TVUS | Open Hartmann w/ total hysterectomy and bilateral salpingo-oophorectomy | ||
| Bowker B | 2020 | 80 | Abdominal pain, fever | CT | Hartmann w/ unilateral oophorectomy | ||
| Guevara Morales, G.R. | 2018 | 67 | Abdominal pain, fever | CT | Sigmoidectomy, total hysterectomy with bilateral salpingo-oophorectomy | ||
| Aggarwal R, et al | 2018 | 77 | abdominal pain, vaginal discharge,fever | CT | sigmoidectomy, total hysterectomy and abscess drainage | Abscess noted w/ drain attempt | |
| Aggarwal R, et al. | 2018 | 73 | Abdominal pain,vaginal discharge | CT | Sigmoidectomy, total hysterectomy | ||
| Arakawa S, et al. | 2017 | 74 | Abdominal pain, malodorous vaginal discharge, fecaloid flow | CT, gastrografin seen in uterus | Laparoscopic sigmoidectomy, total hysterectomy | Vaginal stump dehiscence | Abscess noted |
| Banky B, et al. | 2016 | 70 | Vaginal discharge, fecaloid flow, gas passage through introitus | CT, colonoscopy | Laparoscopic sigmoidectomy w/ primary anastamosis | Colon adenocarcinoma Abscess noted w/ drain attempt | |
| Tracy L, et al. | 2016 | 66 | Vaginal discharge | Unspecified | Unspecified | ||
| Bermello Meza C, et al. | 2015 | 77 | Abdominal pain | Gastrografin seen in uterus | |||
| Uzan J, et al. | 2014 | 34 | Abdominal pain, vaginal discharge, fecaloid flow, fever | CT | Open Hartmann partial sigmoidectomy and abscess drainage | Abscess noted w/ drain attempt | |
| Pankaja S, et al. | 2014 | 74 | Abdominal pain, vaginal discharge | CT, colonoscopy, hysteroscopy and biopsy | Open Hartmann w/ total hysterectomy and bilateral salpingo-oophorectomy | ||
| Maamer AB, et al. | 2013 | 65 | Abdominal pain, vaginal discharge, fecaloid flow, fever | CT, gastrografin | Open total hysterectomy w/ bilateral salpingo-oophorectomy | ||
| Choi PW | 2012 | 81 | Abdominal pain, vaginal discharge | CT, colonoscopy | Sigmoidectomy | Abscess noted w/ drain attempt | |
| Mandato VD, et al. | 2012 | 62 | Vaginal discharge, fecaloid flow | CT, colonoscopy, TVUS, gastrografin seen in uterus, hysteroscopy, and biopsy | Open sigmoidectomy, total hysterectomy w/ bilateral salpingo-oophorectomy | Abscess noted w/ drain attempt | |
| Vilallonga R, et al. | 2008 | 76 | Abdominal pain, vaginal discharge | CT | Open Hartmann | ||
| Kassab A, et al. | 2008 | 78 | None of common symptoms | Colonoscopy, TVUS, hysteroscopy and biopsy | Open total hysterectomy w/ bilateral salpingo-oophorectomy | Abscess noted w/ drain attempt | |
| Trastour C, et al. | 2006 | 70 | Vaginal discharge | CT | Open left hemicolectomy | ||
| Vijayaraghavan S | 2006 | 70 | Vaginal discharge | TVUS | Open sigmoidectomy | ||
| Hoekstra A, et al. | 2005 | 92 | Abdominal pain | Unspecified | Sigmoidectomy and total hysterectomy | ||
| Hoekstra A, et al. | 2005 | 87 | abdominal pain | Unspecified | sigmoidectomy and total hysterectomy | ||
| Petignat P, et al. | 2004 | 88 | Vaginal discharge | CT, TAUS, gastrografin | Open sigmoidectomy, total hysterectomy w/ bilateral salpingo-oophorectomy | ||
| Takada T, et al. | 2004 | 69 | None of common symptoms | Colonoscopy, gastrografin seen in uterus | Open partial sigmoidectomy, total hysterectomy w/ bilateral salpingo-oophorectomy | ||
| Sentilhes L, et al. | 2003 | 76 | Abdominal pain, vaginal discharge w/ fecaloid flow and fever | CT, TVUS, gastrografin | Open sigmoidectomy, total hysterectomy w/ bilateral salpingo-oophorectomy | ||
| Lal S, et al. | 2002 | 67 | Abdominal pain, fever | CT | Hartmann w/ sigmoidectomy, total hysterectomy and bilateral salpingo-oophorectomy | ||
| Huettner PC | 1992 | 69 | Vaginal discharge | Gastrografin seen in uterus | Total hysterectomy | ||
| Chaikof E, et al. | 1984 | 70 | Vaginal discharge, fecaloid flow | Barium enema | Sigmoidectomy | ||
| Chaikof E, et al. | 1984 | 66 | Fever | CT | Hartmann, sigmoidectomy and hysterectomy | Abscess noted | |
| McGregor RA, et al. | 1960 | 62 | Abdominal pain, vaginal discharge, fever | barium enema, X-ray | Sigmoidectomy, hysterectomy, bilateral salpingo-oophorectomy | Abscess noted w/ drain attempt | |
| Smalley MA, et al. | 1957 | 76 | Fecaloid flow | Barium enema, hysterosalpingogram | Fistula resection w/ closure of openings on sigmoid colon and uterus |
| Author . | Year . | Age . | Symptoms . | Diagnostic studies . | Operation . | Complication . | Other . |
|---|---|---|---|---|---|---|---|
| Silva C, et al. | 2024 | 71 | None of common symptoms | CT, colonoscopy, TVUS, hysteroscopy, and biopsy | Open sigmoidectomy, total hysterectomy and bilateral salpingo-oophorectomy | ||
| Aslam A, et al. | 2024 | 74 | Abdominal pain | CT | Open Hartmann w/ total hysterectomy and bilateral salpingo-oophorectomy | Post op ileus | Abscess noted |
| Anthony P, et al. | 2023 | 68 | None of common symptoms | CT | Open sigmoidectomy and subtotal hysterectomy | Abscess noted | |
| Ismail I B, et al. | 2021 | 67 | Abdominal pain, vaginal discharge | CT | Laparoscopic sigmoidectomy w/ primary anastamosis | ||
| Jha P, et al. | 2021 | 28 | Abdominal pain, vaginal discharge, fecaloid flow, gas passage through introitus | Total hysterectomy | Gossypiboma. Abscess noted | ||
| Valverde F, et al. | 2020 | 82 | Abdominal pain | CT | Abscess drainage (×2) | Spontaneous resoluation w/ IV abx | |
| Pontone S, et al. | 2021 | 62 | Vaginal discharge, fecaloid flow, gas passage through introitus | Colonoscopy, gastrografin seen in uterus | Endoscopic self-exapandable metallic stent | ||
| Galanis I, et al. | 2021 | 74 | Vaginal discharge | CT | Open total hysterectomy with partial jejunojejunostomy and partial sigmoidectomy bilateral salpingoophorectomy w/ primary anastamosis | Post op UTI | |
| Perez A, et al. | 2021 | 70 | Abdominal pain, vaginal discharge | CT, TVUS | Open Hartmann w/ total hysterectomy and bilateral salpingo-oophorectomy | ||
| Bowker B | 2020 | 80 | Abdominal pain, fever | CT | Hartmann w/ unilateral oophorectomy | ||
| Guevara Morales, G.R. | 2018 | 67 | Abdominal pain, fever | CT | Sigmoidectomy, total hysterectomy with bilateral salpingo-oophorectomy | ||
| Aggarwal R, et al | 2018 | 77 | abdominal pain, vaginal discharge,fever | CT | sigmoidectomy, total hysterectomy and abscess drainage | Abscess noted w/ drain attempt | |
| Aggarwal R, et al. | 2018 | 73 | Abdominal pain,vaginal discharge | CT | Sigmoidectomy, total hysterectomy | ||
| Arakawa S, et al. | 2017 | 74 | Abdominal pain, malodorous vaginal discharge, fecaloid flow | CT, gastrografin seen in uterus | Laparoscopic sigmoidectomy, total hysterectomy | Vaginal stump dehiscence | Abscess noted |
| Banky B, et al. | 2016 | 70 | Vaginal discharge, fecaloid flow, gas passage through introitus | CT, colonoscopy | Laparoscopic sigmoidectomy w/ primary anastamosis | Colon adenocarcinoma Abscess noted w/ drain attempt | |
| Tracy L, et al. | 2016 | 66 | Vaginal discharge | Unspecified | Unspecified | ||
| Bermello Meza C, et al. | 2015 | 77 | Abdominal pain | Gastrografin seen in uterus | |||
| Uzan J, et al. | 2014 | 34 | Abdominal pain, vaginal discharge, fecaloid flow, fever | CT | Open Hartmann partial sigmoidectomy and abscess drainage | Abscess noted w/ drain attempt | |
| Pankaja S, et al. | 2014 | 74 | Abdominal pain, vaginal discharge | CT, colonoscopy, hysteroscopy and biopsy | Open Hartmann w/ total hysterectomy and bilateral salpingo-oophorectomy | ||
| Maamer AB, et al. | 2013 | 65 | Abdominal pain, vaginal discharge, fecaloid flow, fever | CT, gastrografin | Open total hysterectomy w/ bilateral salpingo-oophorectomy | ||
| Choi PW | 2012 | 81 | Abdominal pain, vaginal discharge | CT, colonoscopy | Sigmoidectomy | Abscess noted w/ drain attempt | |
| Mandato VD, et al. | 2012 | 62 | Vaginal discharge, fecaloid flow | CT, colonoscopy, TVUS, gastrografin seen in uterus, hysteroscopy, and biopsy | Open sigmoidectomy, total hysterectomy w/ bilateral salpingo-oophorectomy | Abscess noted w/ drain attempt | |
| Vilallonga R, et al. | 2008 | 76 | Abdominal pain, vaginal discharge | CT | Open Hartmann | ||
| Kassab A, et al. | 2008 | 78 | None of common symptoms | Colonoscopy, TVUS, hysteroscopy and biopsy | Open total hysterectomy w/ bilateral salpingo-oophorectomy | Abscess noted w/ drain attempt | |
| Trastour C, et al. | 2006 | 70 | Vaginal discharge | CT | Open left hemicolectomy | ||
| Vijayaraghavan S | 2006 | 70 | Vaginal discharge | TVUS | Open sigmoidectomy | ||
| Hoekstra A, et al. | 2005 | 92 | Abdominal pain | Unspecified | Sigmoidectomy and total hysterectomy | ||
| Hoekstra A, et al. | 2005 | 87 | abdominal pain | Unspecified | sigmoidectomy and total hysterectomy | ||
| Petignat P, et al. | 2004 | 88 | Vaginal discharge | CT, TAUS, gastrografin | Open sigmoidectomy, total hysterectomy w/ bilateral salpingo-oophorectomy | ||
| Takada T, et al. | 2004 | 69 | None of common symptoms | Colonoscopy, gastrografin seen in uterus | Open partial sigmoidectomy, total hysterectomy w/ bilateral salpingo-oophorectomy | ||
| Sentilhes L, et al. | 2003 | 76 | Abdominal pain, vaginal discharge w/ fecaloid flow and fever | CT, TVUS, gastrografin | Open sigmoidectomy, total hysterectomy w/ bilateral salpingo-oophorectomy | ||
| Lal S, et al. | 2002 | 67 | Abdominal pain, fever | CT | Hartmann w/ sigmoidectomy, total hysterectomy and bilateral salpingo-oophorectomy | ||
| Huettner PC | 1992 | 69 | Vaginal discharge | Gastrografin seen in uterus | Total hysterectomy | ||
| Chaikof E, et al. | 1984 | 70 | Vaginal discharge, fecaloid flow | Barium enema | Sigmoidectomy | ||
| Chaikof E, et al. | 1984 | 66 | Fever | CT | Hartmann, sigmoidectomy and hysterectomy | Abscess noted | |
| McGregor RA, et al. | 1960 | 62 | Abdominal pain, vaginal discharge, fever | barium enema, X-ray | Sigmoidectomy, hysterectomy, bilateral salpingo-oophorectomy | Abscess noted w/ drain attempt | |
| Smalley MA, et al. | 1957 | 76 | Fecaloid flow | Barium enema, hysterosalpingogram | Fistula resection w/ closure of openings on sigmoid colon and uterus |
One patient had adenocarcinoma of the colon, and another had a retained sponge from a prior operation, which played a role in the fistula formation. In most reports, diverticulitis was the presumed etiology. Fistula formation <6 months after ablation is rare [2, 3], so our patient’s endometrial ablation 3 years prior is not likely to have directly caused fistula formation but may have increased susceptibility. Our concern for malignancy led to a preoperative colonoscopy and endometrial biopsy, but these maneuvers were performed in only eight and four of the previous cases. CT imaging was performed in 24 of 37 patients. Seven patients had sonography (six transvaginal, one transabdominal). Of the nine patients who received gastrografin either per os or by enema, contrast was seen in the uterus of six.
Surgery need not be emergent. Despite our patient’s abdominal pain and fever, we were able to perform elective surgery after a 3-month period of prehabilitation, during which she lost weight and decreased her hemoglobin A1c. Of the 13 prior cases in which an abscess was noted, eight patients underwent an image-guided drainage procedure, and in one, the drain and antibiotics led to resolution of the fistula.
Three patients had laparoscopic surgery, and the remainder had open surgery. Eight patients underwent a Hartmann’s procedure with an end colostomy and closure of the rectum, and the remainder had a primary anastomosis. Only 23 patients had a hysterectomy, suggesting removal of the uterus is not mandatory when the colon is the culprit organ. Fourteen patients had a bilateral oophorectomy and one had a unilateral oophorectomy. In our patient, one ovary was removed due to a large cyst and involvement in the inflammation around the fistula, and the other ovary was left in situ to prevent systemic symptoms of menopause. Our patient was the first published case report of a colouterine fistula to be treated with a robotic sigmoid colectomy and hysterectomy with vaginal extraction and an intracorporeal anastomosis without the need of an extraction incision, but prior reports have established the safety of a minimally invasive approach and of a primary anastomosis. Complications in the literature were minimal and included a postoperative UTI, a postoperative ileus, and one vaginal cuff dehiscence.
Colouterine fistulas are uncommon, generally nonmalignant, and can usually be diagnosed by CT imaging. Not all patients undergo colonoscopy or endometrial biopsy. Surgical approaches vary, but almost always include a sigmoid colectomy. Our patient is the first to be treated with robot-assisted laparoscopic sigmoid colectomy and hysterectomy with vaginal extraction and an intracorporeal anastomosis, showing the feasibility of this advantageous approach.
Conflict of interest statement
None declared.
Funding
None declared.