-
PDF
- Split View
-
Views
-
Cite
Cite
Dean Spencer, Josh T Gysbers, Ravi Raghavan, Krizzette M Tanwangco-Barker, Chris J Cullom, Danish Siddiqui, Antoine Sakr, Alec G Kherlopian, Josh S Chung, David G Rabkin, Calcified amorphous tumor attached to the membranous septum: a rare clinical entity, Journal of Surgical Case Reports, Volume 2024, Issue 6, June 2024, rjae430, https://doi.org/10.1093/jscr/rjae430
Close - Share Icon Share
Abstract
We report a rare case of a pedunculated calcified amorphous tumor (CAT) of the left ventricle attached by a stalk to the membranous septum in a 74-year-old woman who presented with a cerebrovascular accident. We believe this is the first report of a CAT attached to the membranous septum.
Introduction
First reported in a series of eleven cases by Reynolds in 1997, calcified amorphous tumors (CAT) of the heart are rare non-neoplastic cardiac masses composed histologically by nodular calcium deposits within amorphous hyalinized material [1, 2]. Since then, although few cases have been reported, CAT have been found in all chambers of the heart with a female predominance (64%) and are commonly associated with mitral annular calcification and end-stage renal disease [3]. Embolization has been reported in 31% of cases, while dyspnea and syncope are other common presentations [3]. The pathophysiology is unknown but putative etiologies include calcification of organized thrombus [1] or abnormalities of calcium-phosphorous metabolism [4].
Case report
A 74-year-old woman with a past medical history significant for essential hypertension, type II diabetes mellitus, bilateral knee replacements and deep vein thrombosis of the right leg for which she was on Clopidogrel complained of vision loss in her left eye consistent with hemianopsia. Fundoscopic exam was consistent with branch retinal artery occlusion. Magnetic resonance imaging and computed tomography of the head and neck were unremarkable, and an outpatient echocardiogram was ordered as part of an embolic workup. The trans-thoracic echocardiogram demonstrated a large left ventricular mass by report, and she was referred to our Emergency Department and admitted for further workup.
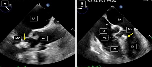
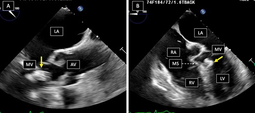
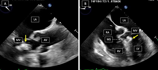
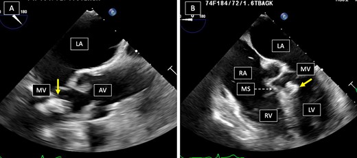
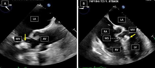
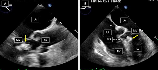
Her physical exam was unremarkable. Laboratory values were notable for a hemoglobin A1c of 6.3%, normal coagulation parameters and negative blood cultures. Chest Röntgenogram and computed tomography scans of her chest were unremarkable. Coronary angiogram demonstrated normal coronary anatomy. A trans-esophageal echocardiogram demonstrated a 10 × 11 mm pedunculated mass with central echolucency in the left ventricle attached by a stalk to the membranous septum near the posteromedial commissure of the mitral valve (Fig. 1) that protruded into the left ventricular outflow tract during systole (Video 1). It also showed severe mitral annular calcification, a normal left ventricular ejection fraction without other valvular pathology and a right-to-left shunt across a patent foramen ovale. We waited several days for the clopidogrel to wear off and, after obtaining consent, brought her to the operating room.

Panel A. Mid-esophageal aortic valve long-axis view, tumor’s relation to the aortic valve is demonstrated. Panel B. Mid-esophageal four-chamber view, tumor’s relation to the mitral valve and the interventricular septum is demonstrated. Arrows point to tumor, LA = left atrium, MV = mitral valve, AV = aortic valve, RA = right atrium, MS = membranous septum, RV = right ventricle, LV = left ventricle.
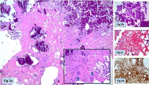
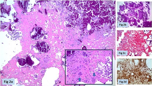
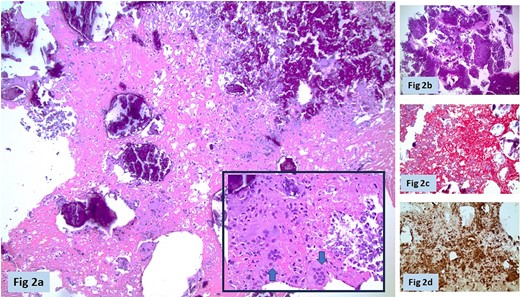
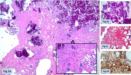
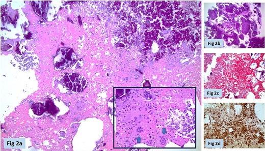
Through a midline incision, a longitudinal pericardiectomy was performed and the pericardium suspended. The patient was systemically heparinized and cannulas were placed in the superior and inferior vena cava and the underside of the aortic arch. Cardiopulmonary bypass was instituted, and the heart was arrested with antegrade, cold, blood-based cardioplegia after a cross-clamp was applied to the aorta. An oblique incision was made in the aorta 2 cm above the right coronary ostium and a retractor placed through the aortic valve and held against the commissure between the right and left coronary cusps. We were able to easily expose the mass, which was oval and yellowish in color, and we could clearly see the stalk attached to the membranous septum. It was resected at its base and passed off the field for both frozen and permanent section. The aorta was repaired and the foramen ovale closed through an incision in the right atrium. The frozen section showed fibrinous tissue with calcification, mild chronic inflammation with giant cells and no definite neoplastic process. She separated from bypass without difficulty in a normal sinus rhythm and the post-bypass echocardiogram was void of further masses, had no further shunt at the atrial level or Gerbode defect of the membranous septum. She recovered uneventfully and was discharged two days later. Histopathologic examination demonstrated extensively calcified organizing fibrinoid material with granulomatous reaction (including giant cells), consistent with old, calcified thrombus (Fig. 2a and b). Masson Trichrome stain confirmed the fibrinous nature of the material (Fig. 2c) and immunostain for CD68 supported the histiocyte–macrophage response (Fig. 2d). The gross pathology of the four fragmented tan-white calcified tissue (0.2–0.5 cm in greatest dimension) and one white cystic structure is shown in Fig. 3. She was doing well at last follow-up one month after operative intervention.

Histopathology. (a) Organizing eosinophilic fibrinoid material with calcific deposits (dark hematoxyphilic debris) × 100 magnification hematoxylin and eosin (H&E) stain. Inset shows granulomatous reaction with multinucleate giant cells (arrows), and histiocytes (highlighted by CD68 immunostain in Fig. 2d). (b) Dense calcific debris in other fragments obscuring underlying tissue (×40 H&E). (c) Masson trichrome stain supporting brick red fibrinous background (×200). (d) CD68 immunostain highlighting histiocyte-macrophage infiltrates (×200).

Discussion
This case represents what we believe to be the first report of a CAT attached to the membranous septum and the third report of a CAT resulting in central retinal artery occlusion [4, 5]. Differential diagnosis includes calcified myxomas, marantic vegetation, fibromas, cardiac tuberculoma, tophaceous pseudogout and tumoral calcinosis [4]. In the described case, the CAT was found on workup for a cerebrovascular accident. Although in this case the CAT was seen on a trans-thoracic echocardiogram, had it not been it might have been tempting to attribute her systemic embolization to the patent foramen ovale, and therefore stop the workup prematurely. This case confirms the importance of a thorough evaluation for cardiac sources of emboli.
Given the patient’s recent stroke and the highly mobile nature of the mass, we felt removal was indicated in addition to closure of the patent foramen ovale since a paradoxical embolus could also explain her symptoms particularly in the context of a history of deep vein thrombosis. Another explanation for her presentation includes the presence of mitral annular calcification, which has been shown in an elderly subset of the Framingham study to double the risk of stroke although whether the mitral annular calcification is a marker of risk, or the cause of the embolic event was unclear [6]. Even if discovered incidentally, however, excision is recommended in patients without significant contraindications to operative intervention for definitive diagnosis and to prevent the complications of embolization or obstruction. Recurrence after resection is rare but has been reported [7] and is likely to be related to incomplete resection. This represented a conundrum in the reported case given the location of the attachment. We did not take a portion of healthy tissue with the specimen, due to the risk of injury to the conduction system, and the need for permanent pacemaker. However, under different circumstances, this is a good practice. Echocardiographic surveillance is recommended in all patients.
Conflict of interest statement
None of the authors have conflicts of interest or disclosures.
Funding
There was no funding for this project.
Ethics statement
Written informed consent for publication of the case details and clinical images were obtained from the patient.