-
PDF
- Split View
-
Views
-
Cite
Cite
Michael Davrayev, Teng Teng, Armand Asarian, Romulo Genato, Philip Xiao, Intraductal papilloma arising in ectopic breast tissue within the axillary region, Journal of Surgical Case Reports, Volume 2023, Issue 6, June 2023, rjad302, https://doi.org/10.1093/jscr/rjad302
Close - Share Icon Share
Abstract
Intraductal papilloma arising within breast tissue is relatively a common pathology. However, it is rare to find a papilloma within ectopic breast tissue. To our understanding there have been only a few reports of this. Here, we present a rare case of extranodal Intraductal papilloma within axillary ectopic breast tissue.
INTRODUCTION
This report examines the unusual case of a patient with extranodal intraductal papilloma (IDP) within the axilla. Very few cases of ectopic mammary tissue in the axilla are found to have IDP.
Mammary Intraductal papilloma is a benign tumor of the lactiferous ducts. It is an abnormal outgrowth of the duct that occurs mainly in females 30–50 years of age. [1]. Histopathologically, it is described as a fibrovascular stalk lined by epithelial and myoepithelial cells [2]. During female development, the mammary milk lines develop vertically along the side of the axilla to the groin. Ectopic breast tissue (EBT) can develop anywhere along this embryological milk line. Most commonly, breast tissue can develop at the axillary region. However, breast pathology along the milk line is infrequent [3]. Intraductal papilloma (IDP) is a well-understood benign tumor that commonly occurs within the luminal duct. However, the development of extranodal IDP within axillary breast tissue is an extremely rare occurrence. This pathology is usually found incidentally. Only a few cases have been reported in the world [4].
CASE PRESENTATION
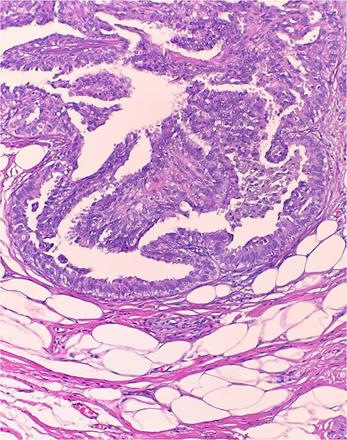
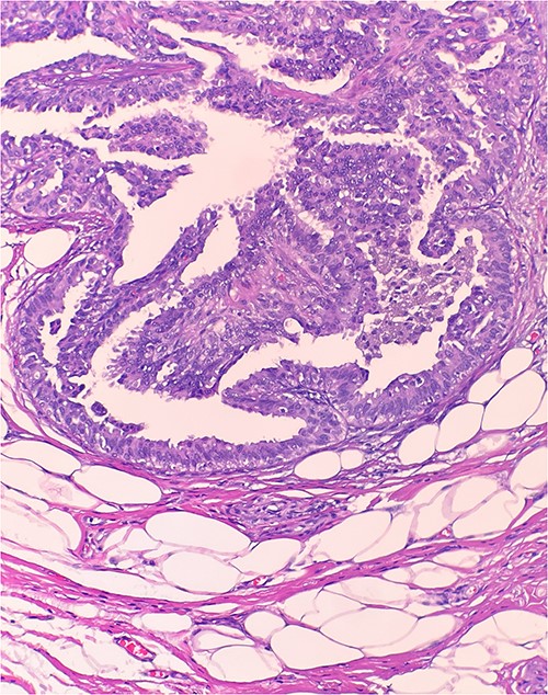
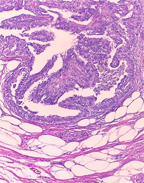
This is a 50-year-old female with a history of bilateral lumpectomy who presented for a left axillary mass evaluation. The patient underwent a bilateral lumpectomy in 2010 for bilateral IDP. Patient’s maternal cousin passed away from breast cancer. During the axillary mass work up, a 3 cm non-tender and mobile mass was noted. Mammogram showed a 2.6 cm micro-lobulated mass with solid and cystic components in the left axillary region. Ultrasound guided core needle biopsy was subsequently performed. Microscopic examination revealed arborizing fibrovascular cores lined by outer layer of luminal cells and an inner layer of myoepithelial cells (Fig. 1). Other area also showed focal atypical ductal hyperplasia. Patient underwent excision of the left axillary mass. Specimen received in lab was a relatively well-defined nodular tissue measuring 2.6 cm (Fig. 2). Further evaluation revealed intraductal papilloma with usual ductal hyperplasia and focal minimal ductal epithelial atypia.

Microscopic examination reveals arborizing fibrovascular cores lined by outer layer of luminal cells and an inner layer of myoepithelial cells (H&E 20×).

Specimen received in lab was a relatively well-defined nodular tissue (gross photo).
DISCUSSION
During the early stages of embryonic development, the mammary ridges (milk lines) develop vertically from the axillary region to the groin area. Typically, the mammary ridges obliterate at the pectoral region, which later develop into the breasts. Failure of the mammary ridges to regress can lead to ectopic breast tissue along the path. Extramammary glandular tissue most commonly arises in the axillary region. The structure of the mammary glandular tissue can vary from benign ducts to squamous lined cysts, apocrine lined cysts or fibrocystic changes such as sclerosing adenosis or florid duct hyperplasia [5]. Presentation of IDP, a common disease in breast, in axillary region is rarely reported in the literature [6]. There have been a few cases reported of IDP within axillary lymph nodes presenting as an axillary mass [7]. However Intraductal papilloma within axillary ectopic breast tissue (EBT) is still rarely reported worldwide.
Typically, Intraductal papilloma (IDP) workup starts with ultrasound or mammogram imaging depending on the age of patient. For intraductal papilloma, an image could show presence of a solid nodule or mass within a dilated lactiferous duct. A core needle biopsy would then be performed for confirmation of diagnosis. Biopsy would show a fibrovascular stalk lined by myoepithelial and epithelial cells [8]. Treatment for IDP depends on the presence of atypia such as enlarged nucleoli, atypical cell size and structure. IDP without atypia is typically followed with surveillance. Intraductal papilloma with atypia is treated with surgical excision.
In our patient, mammogram showed a superficial 2.6 cm mass in the left axillary region, which corresponds with the area of palpable concern. Core biopsy confirmed the presence of IDP in the axilla. To our knowledge, only a few cases of axillary EBT containing an intraductal papilloma have been reported. In the other reports, radiological and pathological findings were similar to the ones in our patient [4].
CONCLUSION
In conclusion, Intraductal papilloma (IDP) is a common breast pathology, but rare in the axillary region. Lesions or abnormal findings in the axillary region should be further investigated with radiological imaging and core needle biopsy for diagnosis, as the differential diagnosis for axillary masses is broad. It could be reactive lymphadenopathy, a common entity or benign tumors such as axillary intraductal papilloma or malignancies such as metastatic carcinomas. Here we are reporting a patient who underwent excision of a left axillary papilloma that arose from ectopic breast tissue. Extranodal papilloma within axillary ectopic breast tissue is a rare entity.
CONFLICT OF INTEREST STATEMENT
None declared.
FUNDING
None.
DATA AVAILABILITY
The data that support the findings of this study are available from the corresponding author, upon reasonable request.