-
PDF
- Split View
-
Views
-
Cite
Cite
Toby Hulf, Matan Ben-David, Small bowel obstruction caused by a mango phytobezoar within a Meckel’s diverticulum, Journal of Surgical Case Reports, Volume 2023, Issue 11, November 2023, rjad613, https://doi.org/10.1093/jscr/rjad613
Close - Share Icon Share
Abstract
A fit and well gentleman in his 40s presented with vomiting and obstipation. His only relevant history being recent ingestion of a large quantity of mangoes. A computer tomography demonstrated a small bowel obstruction with a transition point in the right iliac fossa, but no other pathological findings. After a short period of non-operative management he proceeded to surgery, where a phytobezoar was identified at a Meckel’s diverticulum causing a pantaloon shaped intra-luminal obstruction. A small bowel resection and primary anastomosis was performed and the patient had an uncomplicated post-operative course. Meckel’s diverticuli are a relatively common phenomenon and may pre-dispose to bowel obstructions through a number of different mechanisms. This unusual case highlights the importance of considering this as a differential, and one that will likely require timely operative intervention.
Case report
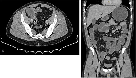
A gentleman in his forties presented to the emergency department with obstipation, nausea, and vomiting. He was previously fit and well, with no significant past medical or surgical history. He admitted consumption of a large quantity of mangoes in the lead up to his presentation; the number of which he was unable to quantify. Physical examination revealed a well looking patient, with normal dentition, mild dehydration, and abdominal distention without peritonism. Computer tomography (CT) demonstrated a small bowel obstruction (SBO) with a transition point (TP) in the right lower quadrant, with no evidence of perforation or closed loop formation (Fig. 1).

CT images demonstrating small bowel obstruction with TP in the right iliac fossa. (A) representative axial imaging slice, and (B) representative coronal slice.
The patient underwent a short period of non-operative management with nasogastric decompression, fluid resuscitation, and observation; however, he failed to demonstrate signs of resolution and proceeded to surgery. Laparoscopy demonstrated a firm intra-luminal obstruction at the point of a distended Meckel’s diverticulum. The obstructed small bowel was extracorporalized through a limited Pfannenstiel incision. A wedge small bowel resection and a stapled side to side anastomosis were performed. The resected small bowel segment was opened on a side table—revealing a bezoar of fibrous vegetable matter consistent with undigested mango (Fig. 2).

Gross examination of the resected small bowel and content demonstrating the (A) Meckel’s diverticulum and (B) obstructing fibrous phytobezoar.
Post-operatively the patient recovered rapidly, his diet was advanced sequentially, and he was discharged home day five. Histopathological examination of the resected bowel revealed Meckel’s diverticulitis and focal erosion of mucosa, but without evidence of heterotopic tissue. The resected small bowel showed mild active inflammation consistent with stercoral ulceration.
Discussion
Foreign bodies and bezoars are estimated to account for 5% of virgin abdomen SBOs [1]. Bezoar induced obstruction typically occurs 50–70 cm from the ileocaecal valve due to the decreasing luminal diameter and increased content viscosity associated with intestinal absorption [2]. Importantly, multiple bezoars may be present and should be actively sought [3]. Risk factors for bezoar formation include previous surgery, high fibre diets, and other factors including dysmotility, diabetes, hypothyroidism, dental problems, and frailty. Mango is a seasonal tropical fruit that is high in fibre content and widely available across the wet tropics, such as northern Australia. Anecdotal communication suggests mango bezoars induced SBOs are not unheard of across the, however published reports related obstructions are limited to inadvertent ingestion of mango seed [4, 5].
Meckel’s diverticuli are a relatively common, occurring in ~0.3–2.9% of the population. Intestinal obstruction is the most common cause of a symptomatic Meckel’s, followed by bleeding then inflammation [6].
This case highlights early consideration of Meckel’s, as a relatively common embryologic variant, as a aetiology in SBO. A Meckel’s is classically associated with SBO secondary to intussusception, stricture, or volvulus. SBO secondary to a Meckel’s phytobezoar is rare but has been previously reported [7]. A Meckel’s may pre-dispose to phytobezoar formation due to localized peristaltic deficiency, and collection of undigested food in Y shaped ‘pantaloon’ shaped pattern [8]. Given the difficulty in pre-operative diagnosis of a Meckel’s in an acute setting, we advocate actively considering this as a differential, particularly in the virgin abdomen. This in turn allows timely operative intervention to treat the acute presentation, prevent recurrence, and remove any associated Meckel’s heterotopic tissue.
Conflict of interest statement
Neither author has any competing interests to disclose.
Funding
None declared.