- 
        
            PDF 
- Split View
- 
                            
                                
                                Views
- 
    CiteCiteRika Satoyoshi, Kei Kotanagi, Takuya Kichiraku, Kei Yoshino, Kazuhiro Kudoh, Toshiya Sawada, Hideaki Miyazawa, Hitoshi Kotanagi, A case of intussusception caused by cecal duplication after COVID-19, Journal of Surgical Case Reports, Volume 2022, Issue 3, March 2022, rjac068, https://doi.org/10.1093/jscr/rjac068 Close
- Share Icon Share
Abstract
Coronavirus disease 2019 (COVID-19) was thought to have respiratory symptoms as the main manifestation, but it has become clear that extrapulmonary symptoms such as gastrointestinal disorders also occur. There are several reports of intussusception associated with COVID-19 in children, but these are rare in adults. In this report, we present a case of cystic intestinal duplication that enlarged during the course of COVID-19 treatment and resulted in intussusception. Right hemicolectomy was performed for intussusception due to the cystic lesion. To the best of our knowledge, this is the first resected case of intussusception due to alimentary tract duplication after COVID-19 infection.
INTRODUCTION
The outbreak of severe acute respiratory syndrome-coronavirus-2 (SARS-CoV-2) that causes coronavirus disease 2019 (COVID-19) has a significant impact in the entire world. Although COVID-19 is first defined by its respiratory symptoms, it is now recognized that the virus can also affect the digestive system causing gastrointestinal symptoms like diarrhea, loss of appetite, nausea/vomiting and abdominal pain as a major complaint [1]. Intussusception is rare as a symptom of COVID-19, and most of the reports are pediatric cases. We report an adult, surgical case of intussusception caused by cystic alimentary tract duplication that enlarged right after the process of respiratory failure due to COVID-19.
CASE PRESENTATION
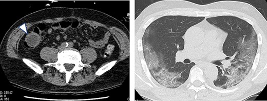
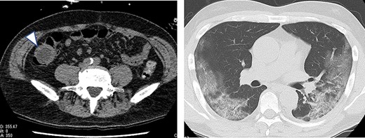
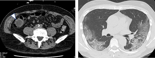
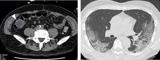
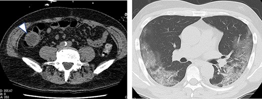
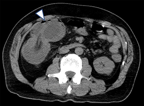
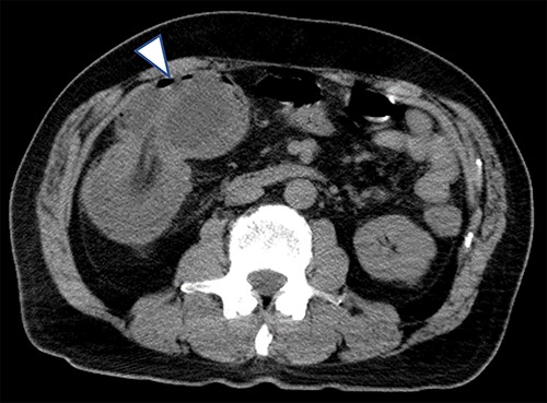
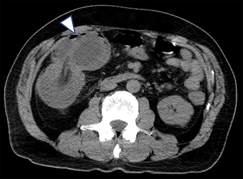
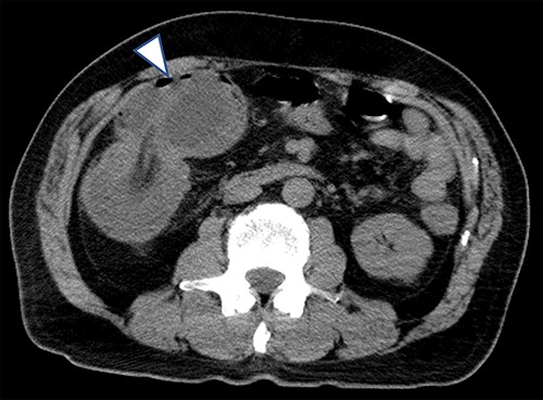
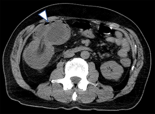
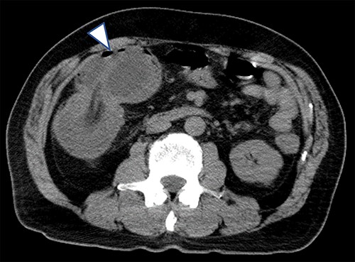
A 63-year-old male who had fever and dyspnea visited a medical institution. Both antigen and polymerase chain reaction (PCR) tests for SARS-CoV-2 were positive and he was hospitalized for treatment. Nine days after admission, he was transferred to our hospital due to deteriorating respiratory condition. After admission to our hospital, ventilator management and steroid administration were performed. After 3 days, his respiratory condition improved and he was able to withdraw from the ventilator. Computed tomography (CT) taken for observation of lung disease coincidentally showed cystic lesions in the right abdomen (Fig. 1). He had no abdominal symptoms at this time. The patient was discharged on the 18th day of hospitalization. He had diarrhea from the 15th day after discharge and abdominal pain from the next day. He consulted his family doctor on the 17th day because the abdominal pain persisted. CT examination revealed enlargement of cystic lesion and intussusception of the right colon (Fig. 2). The patient was transferred to our hospital as an emergency case. Physical findings showed fever with a body temperature of 38°C and tenderness in the right lower abdomen. Blood test showed an inflammatory reaction with a white blood cell count of 13 000/μl and C-reactive protein of 2 mg/dl. The SARS-CoV-2 PCR testing was negative. We performed emergency surgery on the same day.

Plain CT on the 13th day after COVID-19 onset (the day after withdrawal from the ventilator); a cystic lesion was found in the right lower abdomen (arrowhead).

Plain CT taken when the patient was transferred to our hospital for abdominal pain; the cystic lesion had increased in size (arrowhead) and showed intussusception.
Intraoperative findings
A round mass existed in proximal colon that caused invagination. We performed right hemicolectomy.
Gross findings of excised specimens
A cystic lesion originated from cecum, with a necrotic discoloration of the cyst wall. When the cyst was incised, it contained a brown malodorous liquid inside, and the inner surface of the cyst was also necrotic (Fig. 3).

Excised specimen; there was a cystic lesion in the cecum, and the inner lumen of the cyst was necrotic.
Pathological findings
Both the inside and outside of the wall were covered with colonic mucosa, and there was a muscularis mucosae in the submucosa, but no muscularis propria. Erosion was prominent on the mucosa inside the cyst, and diffusely severe inflammatory cell infiltration and edema were observed under the mucosa. There was no malignancy. From these findings, the lesion was diagnosed as intussusception of colon due to cecum cystic duplication.
After the operation, there were no problems, including respiratory complications, and the patient was discharged 11 days after surgery.
DISCUSSION
Initially, the aspect of COVID-19 as a severe respiratory tract infection was emphasized, but now it is known as a disease that also causes systemic symptoms such as the central nervous, cardiovascular and digestive systems. The prevalence of gastrointestinal disease in COVID-19 has been reported to be as high as 40%, the most common of which were nausea or vomiting, diarrhea and anorexia [2]. The pathophysiological mechanisms relating these gastrointestinal symptoms to COVID-19 are not yet elucidated. Angiotensin-converting enzyme 2 (ACE2) receptor is the functional receptor for SARS-CoV-2. ACE2 is not exclusive to lung cells and is also present in cells of the gastrointestinal tract, specifically in the epithelial tissue of the esophagus, ileum and colon, which is considered to be one of the causes of injuring the gastrointestinal epithelium and causing gastrointestinal symptoms [3].
There have been several reported cases of intussusception associated with COVID-19 worldwide, but most are pediatric cases [2–9], and as far as we know, there is only one report of adult case [10]. In some of these reports, lymphoid hyperplasia secondary to acute viral infection is one of the causes of intussusception. In general, intussusception in adults is account for ~5% of all intussusceptions and the underlying cause of only 1% of bowel obstruction [11]. In adult cases, intussusception often has an organic disease such as a tumor. There are reports of cases of intussusception caused by intestinal duplication, but most are reported in young adults aged 19–32 [11–15]. Gastrointestinal tract duplications are uncommon congenital abnormalities that manifest before the age of 2 years in 80% of cases [15]. By definition, they are located in or adjacent to the wall of part of the gastrointestinal tract and have smooth muscle in their walls and are lined by alimentary tract mucosa. Both events are unusual especially in adults, and the combination of both is even more uncommon [15]. In our case, the cystic lesion in cecum gradually increased in size in the process of COVID-19. This case had diarrhea early after discharge, and it is possible that COVID-19 caused inflammation of the intestinal tract. Inflammation of the intestinal tract may secondarily occlude an opening of the duplication cyst, causing an increase in cystic lesions and resulting in intussusception.
CONCLUSION
As COVID-19 continues around the world, there is a possibility that the number of cases with abdominal diseases requiring surgery will increase, and it is necessary to pay attention to gastrointestinal complications as well as respiratory disorders.
CONFLICT OF INTEREST STATEMENT
None declared.
FUNDING
None.
