-
PDF
- Split View
-
Views
-
Cite
Cite
Niamh Grayson, Hiba Shanti, Ameet G Patel, Liver abscess secondary to fishbone ingestion: case report and review of the literature, Journal of Surgical Case Reports, Volume 2022, Issue 2, February 2022, rjac026, https://doi.org/10.1093/jscr/rjac026
Close - Share Icon Share
Abstract
We report a rare silent migration of a fishbone into the liver and review the relevant literature. A 56-year-old man presented with a 2-day history of dull epigastric pain and raised inflammatory markers. Computerized tomography scan revealed a 4-cm abscess in the left lobe of the liver, with a linear radio-dense foreign body within the collection. At laparoscopy the hepatogastric fistula was disconnected. The fishbone was retrieved from the liver. Gastrostomy was closed with an omental patch. The patient had an uneventful recovery. Fifty-two cases of liver abscess secondary to enterohepatic fishbone migration were reported with over two-thirds presenting with a left-lobe abscess. There was marked variability in the management of liver abscess in the setting of fishbone migration-summarized in table. We believe that laparoscopic drainage of the abscess and extraction of the foreign body offer control of the source of sepsis and diminishes recurrence, whilst having a low-risk profile.
INTRODUCTION
Foreign body ingestion is a common occurrence, majority of these pass without complications [1]. An estimated 1% of ingested foreign bodies result in gastrointestinal perforation, these are often sharp objects, such as accidentally ingested fishbones [2]. The sites of perforation vary, with the rectosigmoid or ileocolic being the most common [3].
We report a rare case of fishbone migration resulting in liver abscess and review of the literature. This was originally described in 1898 by Lambert [4].
CASE PRESENTATION
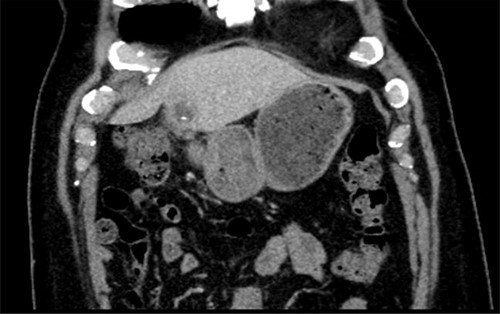
A 56-year-old man presented with a 2-day history of epigastric pain, leucocytosis and raised C Reactive Protein (CRP). A computed tomography (CT) scan revealed evidence of a 4.2 × 2.5 cm abscess in the left lobe of the liver (Segment III), with a linear radio-dense foreign body seen within the collection (Fig. 1). There was fat stranding around the pylorus. The patient was treated with antibiotics in his local hospital and a trial of aspiration revealed purulent fluid. An oesphagoduodenoscopy (OGD) was normal with no evidence of foreign body or inflammation in the stomach.

| Author . | Patient details . | Symptoms . | Duration (d) . | Fishbone location . | Fishbone size (mm) . | Site of perforation . | Management . |
|---|---|---|---|---|---|---|---|
| Hernández-Villafranca, Spain, 2021 [26] | 73 F | NA | 14 | Left lobe | 30 | Duodenum | Laparoscopic fishbone removal |
| Allam, UK, 2020 [9] | 53 F | Pain, fever | 7 | Right lobe | NA | Pylorus | Antibiotics. Fishbone left in situ |
| Barkai, 2020, Israel [11] | 66 F | Pain | NA | Right lobe | NA | NA | Laparoscopic fishbone removal |
| Burkholder, USA, 2019 [14] | 64 F | NA | 8 | Left lobe | 21 | NA | Percutaneous abscess drainage. Fishbone left in situ |
| Bandeira-de-Mello, Brazil 2018 [10] | 44 F | NA | 14 | Left lobe | 25 | Antrum | Laparoscopic fishbone removal |
| Bekki T, Japan, 2019 [13] | 51 M | Fever | NA | Left lobe | 24 | Antrum | Laparoscopic fishbone removal |
| Beckers, Belgium, 2021 [12] | 74 F | Pain, fever | 3 | Right lobe | 35 | NA | Laparoscopic fishbone removal |
| Goyal, USA, 2019 [25] | 68 M | Pain, fever, WL | 30 | Left lobe | NA | Pylorus | Percutaneous abscess drainage. Fishbone left in situ |
| 56 M | Pain, fever | 14 | Right lobe | NA | Duodenum | Robotic fishbone removal | |
| Li, China, 2019 [32] | 58 M | Fever | 9 | Left lobe | 40 | NA | Laparoscopic left hepatectomy |
| Sim, Singapore, 2019 [42] | 56 F | Fever, vomiting | 2 | Right lobe | NA | Stomach | Laparotomy and abscess drainage. Fishbone left in situ |
| Queiroz, Brazil, 2019 [40] | 50 M | Pain, fever | 10 | Left lobe | NA | Antrum | Surgical removal |
| Yu, China, 2018 [49] | 34 F | Pain, fever, vomiting | 8 | Left lobe | 30 | NA | Laparotomy and fishbone removal |
| Peixoto, Portugal, 2016 [38] | 78 M | Fever, vomiting | 2 | Right lobe | 35 | NA | Laparotomy and fishbone removal |
| Venkatesan, Australia, 2019 [44] | 88 F | Pain | 60 | Left lobe | NA | Antrum | Laparoscopic fishbone removal |
| Gómez Portilla, Spain, 2019 [24] | 50 F | Pain, fever | 28 | Left lobe | 25 | NA | Left hepatectomy with bone removal |
| 69 F | NA | NA | Left lobe | NA | NA | Surgical removal | |
| Chen, 2019, China [15] | 37 M | Pain | 60 | Left lobe | 17 | NA | Liver resection |
| Mateus, Portugal, 2018 [34] | 76 M | Pain | 3 | Left lobe | 50 | NA | Laparotomy and fishbone removal |
| 45 M | Weakness, chills | 2 | Right lobe | NA | NA | Percutaneous abscess drainage Fishbone left in situ | |
| Fujiwara, Japan, 2017 [21] | 69 M | Pain, fever | 14 | Right lobe | 35 | NA | Laparotomy with Fishbone removal |
| Dias, Brazil, 2018 [18] | 35 M | Pain, fever | NA | Left lobe | 25 | NA | Laparotomy with fishbone removal |
| Lau, Singapore, 2017 [30] | 85 F | Pain, fever | NA | Left lobe | 40 | Pylorus | Percutaneous fishbone removal |
| Tan, Singapore, 2016 [43] | 56 M | Pain, fever | 14 | Left lobe | NA | Antrum | Laparoscopic Fishbone removal |
| 63 M | Fever | 14 | Left lobe | NA | Stomach | Laparoscopic Fishbone removal | |
| Esseghaier, Tunisia, 2015 [20] | 68 M | Pain, fever | 7 | Right lobe | 20 | Duodenum | Laparotomy with fishbone removal |
| Ede, South Africa, 2015 [19] | 61 M | Pain, fever | 21 | Left lobe | 60 | NA | Laparotomy with fishbone removal |
| Panebianco, Italy, 2015 [37] | 57 F | Pain, fever | 14 | Left lobe | 40 | Antrum | Laparoscopic Fishbone removal |
| Dinnoo, France, 2015 | 60 F | Pain, Sepsis | NA | Right lobe | NA | Duodenum | Laparoscopic fishbone removal |
| Xiao, China, 2015 [46] | 47 F | Pain | 365 | Left lobe | 25 | NA | Laparoscopic fishbone removal |
| Venkatesh, Singapore, 2015 [45] | 69 M | Pain, fever | 5 | Left lobe | 14 | Stomach | Left hepatectomy |
| Koşar, Turkey, 2014 [29] | 73 F | Fever | NA | Left lobe | NA | NA | Laparoscopic fishbone removal |
| Dangoisse, Belgium, 2014 [17] | 56 M | Fever, SOB | 3 | Left lobe | 30 | Stomach | Laparotomy with fishbone removal |
| Matrella, France, 2014 [35] | 63 F | Pain, fever | 10 | Right lobe | 40 | NA | Laparotomy with fishbone removal |
| 83 F | Pain, fever | NA | Left lobe | NA | NA | Laparotomy with fishbone removal | |
| Gaba, USA, 2013 [22] | 33 F | Fever | 14 | Left lobe | 30 | NA | Percutaneous removal of fishbone |
| Masoodi, Saudi Arabia, 2012 [5] | 45 M | Pain, fever | 10 | Right lobe | 25 | Duodenum | Laparotomy with fishbone removal |
| Jarry, France, 2011 [27] | 68 F | Pain, fever | 14 | Right lobe | 35 | Duodenum | Laparotomy with fishbone removal |
| Liang, China, 2011 [33] | 60 M | Pain, fever | 30 | Left lobe | 27 | Stomach | Surgical removal |
| Ng, Singapore, 2011 [36] | 59 M | Fever | NA | Right lobe | NA | Pylorus | Antibiotics. Bone left in situ |
| Chen, China, 2011 [15] | 59 F | Pain, fever | 14 | Left lobe | 40 | Duodenum | Liver resection |
| Yen, China, 2010 [48] | 36 M | Pain, fever | 14 | Left lobe | NA | NA | Surgical removal |
| Santos, Portugal, 2007 [41] | 62 F | Pain, fever | 42 | Left lobe | 33 | Antrum | Laparotomy and fishbone removal |
| Kadowaki, Japan, 2007 [28] | 73 F | Pain, fever | 7 | Left lobe | 28 | NA | Laparotomy and fishbone removal |
| Clarençon, France, 2008 [16] | 64 M | Pain, fever | NA | Right lobe | 23 | NA | Failed open surgical removal Percutaneous removal of fishbone |
| Perera, Sri Lanka, 2007 [39] | 59 F | Pain | NA | Left lobe | 45 | NA | Laparotomy and fishbone removal |
| Lee, China, 2005 [31] | 65 F | Pain, vomiting | 7 | Left lobe | 35 | Antrum | Laparotomy and fishbone removal |
| Goh, Singapore, 2005 [23] | 32 M | Fever | 5 | Right lobe | 30 | Duodenum | Laparotomy and fishbone removal |
| Yang, China, 2005 [47] | 40 M | Fever | 7 | Left lobe | 50 | NA | Percutaneous abscess drainage. Fishbone left in situ |
| Theodoropoulou, Greece, 2002 [7] | 46 M | Pain, fever, jaundice | 3 | Left lobe | 50 | NA | Antibiotics. Fishbone left in situ |
| De la Vega, Spain, 2001 [6] | 86 F | Pain, vomiting | NA | Right lobe | 25 | NA | Antibiotics. Fishbone left in situ |
| Horii, Japan, 1999 [2] | 61 M | Fever | 14 | Left lobe | 28 | NA | Percutaneous abscess drainage and removal of fishbone. |
| Author . | Patient details . | Symptoms . | Duration (d) . | Fishbone location . | Fishbone size (mm) . | Site of perforation . | Management . |
|---|---|---|---|---|---|---|---|
| Hernández-Villafranca, Spain, 2021 [26] | 73 F | NA | 14 | Left lobe | 30 | Duodenum | Laparoscopic fishbone removal |
| Allam, UK, 2020 [9] | 53 F | Pain, fever | 7 | Right lobe | NA | Pylorus | Antibiotics. Fishbone left in situ |
| Barkai, 2020, Israel [11] | 66 F | Pain | NA | Right lobe | NA | NA | Laparoscopic fishbone removal |
| Burkholder, USA, 2019 [14] | 64 F | NA | 8 | Left lobe | 21 | NA | Percutaneous abscess drainage. Fishbone left in situ |
| Bandeira-de-Mello, Brazil 2018 [10] | 44 F | NA | 14 | Left lobe | 25 | Antrum | Laparoscopic fishbone removal |
| Bekki T, Japan, 2019 [13] | 51 M | Fever | NA | Left lobe | 24 | Antrum | Laparoscopic fishbone removal |
| Beckers, Belgium, 2021 [12] | 74 F | Pain, fever | 3 | Right lobe | 35 | NA | Laparoscopic fishbone removal |
| Goyal, USA, 2019 [25] | 68 M | Pain, fever, WL | 30 | Left lobe | NA | Pylorus | Percutaneous abscess drainage. Fishbone left in situ |
| 56 M | Pain, fever | 14 | Right lobe | NA | Duodenum | Robotic fishbone removal | |
| Li, China, 2019 [32] | 58 M | Fever | 9 | Left lobe | 40 | NA | Laparoscopic left hepatectomy |
| Sim, Singapore, 2019 [42] | 56 F | Fever, vomiting | 2 | Right lobe | NA | Stomach | Laparotomy and abscess drainage. Fishbone left in situ |
| Queiroz, Brazil, 2019 [40] | 50 M | Pain, fever | 10 | Left lobe | NA | Antrum | Surgical removal |
| Yu, China, 2018 [49] | 34 F | Pain, fever, vomiting | 8 | Left lobe | 30 | NA | Laparotomy and fishbone removal |
| Peixoto, Portugal, 2016 [38] | 78 M | Fever, vomiting | 2 | Right lobe | 35 | NA | Laparotomy and fishbone removal |
| Venkatesan, Australia, 2019 [44] | 88 F | Pain | 60 | Left lobe | NA | Antrum | Laparoscopic fishbone removal |
| Gómez Portilla, Spain, 2019 [24] | 50 F | Pain, fever | 28 | Left lobe | 25 | NA | Left hepatectomy with bone removal |
| 69 F | NA | NA | Left lobe | NA | NA | Surgical removal | |
| Chen, 2019, China [15] | 37 M | Pain | 60 | Left lobe | 17 | NA | Liver resection |
| Mateus, Portugal, 2018 [34] | 76 M | Pain | 3 | Left lobe | 50 | NA | Laparotomy and fishbone removal |
| 45 M | Weakness, chills | 2 | Right lobe | NA | NA | Percutaneous abscess drainage Fishbone left in situ | |
| Fujiwara, Japan, 2017 [21] | 69 M | Pain, fever | 14 | Right lobe | 35 | NA | Laparotomy with Fishbone removal |
| Dias, Brazil, 2018 [18] | 35 M | Pain, fever | NA | Left lobe | 25 | NA | Laparotomy with fishbone removal |
| Lau, Singapore, 2017 [30] | 85 F | Pain, fever | NA | Left lobe | 40 | Pylorus | Percutaneous fishbone removal |
| Tan, Singapore, 2016 [43] | 56 M | Pain, fever | 14 | Left lobe | NA | Antrum | Laparoscopic Fishbone removal |
| 63 M | Fever | 14 | Left lobe | NA | Stomach | Laparoscopic Fishbone removal | |
| Esseghaier, Tunisia, 2015 [20] | 68 M | Pain, fever | 7 | Right lobe | 20 | Duodenum | Laparotomy with fishbone removal |
| Ede, South Africa, 2015 [19] | 61 M | Pain, fever | 21 | Left lobe | 60 | NA | Laparotomy with fishbone removal |
| Panebianco, Italy, 2015 [37] | 57 F | Pain, fever | 14 | Left lobe | 40 | Antrum | Laparoscopic Fishbone removal |
| Dinnoo, France, 2015 | 60 F | Pain, Sepsis | NA | Right lobe | NA | Duodenum | Laparoscopic fishbone removal |
| Xiao, China, 2015 [46] | 47 F | Pain | 365 | Left lobe | 25 | NA | Laparoscopic fishbone removal |
| Venkatesh, Singapore, 2015 [45] | 69 M | Pain, fever | 5 | Left lobe | 14 | Stomach | Left hepatectomy |
| Koşar, Turkey, 2014 [29] | 73 F | Fever | NA | Left lobe | NA | NA | Laparoscopic fishbone removal |
| Dangoisse, Belgium, 2014 [17] | 56 M | Fever, SOB | 3 | Left lobe | 30 | Stomach | Laparotomy with fishbone removal |
| Matrella, France, 2014 [35] | 63 F | Pain, fever | 10 | Right lobe | 40 | NA | Laparotomy with fishbone removal |
| 83 F | Pain, fever | NA | Left lobe | NA | NA | Laparotomy with fishbone removal | |
| Gaba, USA, 2013 [22] | 33 F | Fever | 14 | Left lobe | 30 | NA | Percutaneous removal of fishbone |
| Masoodi, Saudi Arabia, 2012 [5] | 45 M | Pain, fever | 10 | Right lobe | 25 | Duodenum | Laparotomy with fishbone removal |
| Jarry, France, 2011 [27] | 68 F | Pain, fever | 14 | Right lobe | 35 | Duodenum | Laparotomy with fishbone removal |
| Liang, China, 2011 [33] | 60 M | Pain, fever | 30 | Left lobe | 27 | Stomach | Surgical removal |
| Ng, Singapore, 2011 [36] | 59 M | Fever | NA | Right lobe | NA | Pylorus | Antibiotics. Bone left in situ |
| Chen, China, 2011 [15] | 59 F | Pain, fever | 14 | Left lobe | 40 | Duodenum | Liver resection |
| Yen, China, 2010 [48] | 36 M | Pain, fever | 14 | Left lobe | NA | NA | Surgical removal |
| Santos, Portugal, 2007 [41] | 62 F | Pain, fever | 42 | Left lobe | 33 | Antrum | Laparotomy and fishbone removal |
| Kadowaki, Japan, 2007 [28] | 73 F | Pain, fever | 7 | Left lobe | 28 | NA | Laparotomy and fishbone removal |
| Clarençon, France, 2008 [16] | 64 M | Pain, fever | NA | Right lobe | 23 | NA | Failed open surgical removal Percutaneous removal of fishbone |
| Perera, Sri Lanka, 2007 [39] | 59 F | Pain | NA | Left lobe | 45 | NA | Laparotomy and fishbone removal |
| Lee, China, 2005 [31] | 65 F | Pain, vomiting | 7 | Left lobe | 35 | Antrum | Laparotomy and fishbone removal |
| Goh, Singapore, 2005 [23] | 32 M | Fever | 5 | Right lobe | 30 | Duodenum | Laparotomy and fishbone removal |
| Yang, China, 2005 [47] | 40 M | Fever | 7 | Left lobe | 50 | NA | Percutaneous abscess drainage. Fishbone left in situ |
| Theodoropoulou, Greece, 2002 [7] | 46 M | Pain, fever, jaundice | 3 | Left lobe | 50 | NA | Antibiotics. Fishbone left in situ |
| De la Vega, Spain, 2001 [6] | 86 F | Pain, vomiting | NA | Right lobe | 25 | NA | Antibiotics. Fishbone left in situ |
| Horii, Japan, 1999 [2] | 61 M | Fever | 14 | Left lobe | 28 | NA | Percutaneous abscess drainage and removal of fishbone. |
| Author . | Patient details . | Symptoms . | Duration (d) . | Fishbone location . | Fishbone size (mm) . | Site of perforation . | Management . |
|---|---|---|---|---|---|---|---|
| Hernández-Villafranca, Spain, 2021 [26] | 73 F | NA | 14 | Left lobe | 30 | Duodenum | Laparoscopic fishbone removal |
| Allam, UK, 2020 [9] | 53 F | Pain, fever | 7 | Right lobe | NA | Pylorus | Antibiotics. Fishbone left in situ |
| Barkai, 2020, Israel [11] | 66 F | Pain | NA | Right lobe | NA | NA | Laparoscopic fishbone removal |
| Burkholder, USA, 2019 [14] | 64 F | NA | 8 | Left lobe | 21 | NA | Percutaneous abscess drainage. Fishbone left in situ |
| Bandeira-de-Mello, Brazil 2018 [10] | 44 F | NA | 14 | Left lobe | 25 | Antrum | Laparoscopic fishbone removal |
| Bekki T, Japan, 2019 [13] | 51 M | Fever | NA | Left lobe | 24 | Antrum | Laparoscopic fishbone removal |
| Beckers, Belgium, 2021 [12] | 74 F | Pain, fever | 3 | Right lobe | 35 | NA | Laparoscopic fishbone removal |
| Goyal, USA, 2019 [25] | 68 M | Pain, fever, WL | 30 | Left lobe | NA | Pylorus | Percutaneous abscess drainage. Fishbone left in situ |
| 56 M | Pain, fever | 14 | Right lobe | NA | Duodenum | Robotic fishbone removal | |
| Li, China, 2019 [32] | 58 M | Fever | 9 | Left lobe | 40 | NA | Laparoscopic left hepatectomy |
| Sim, Singapore, 2019 [42] | 56 F | Fever, vomiting | 2 | Right lobe | NA | Stomach | Laparotomy and abscess drainage. Fishbone left in situ |
| Queiroz, Brazil, 2019 [40] | 50 M | Pain, fever | 10 | Left lobe | NA | Antrum | Surgical removal |
| Yu, China, 2018 [49] | 34 F | Pain, fever, vomiting | 8 | Left lobe | 30 | NA | Laparotomy and fishbone removal |
| Peixoto, Portugal, 2016 [38] | 78 M | Fever, vomiting | 2 | Right lobe | 35 | NA | Laparotomy and fishbone removal |
| Venkatesan, Australia, 2019 [44] | 88 F | Pain | 60 | Left lobe | NA | Antrum | Laparoscopic fishbone removal |
| Gómez Portilla, Spain, 2019 [24] | 50 F | Pain, fever | 28 | Left lobe | 25 | NA | Left hepatectomy with bone removal |
| 69 F | NA | NA | Left lobe | NA | NA | Surgical removal | |
| Chen, 2019, China [15] | 37 M | Pain | 60 | Left lobe | 17 | NA | Liver resection |
| Mateus, Portugal, 2018 [34] | 76 M | Pain | 3 | Left lobe | 50 | NA | Laparotomy and fishbone removal |
| 45 M | Weakness, chills | 2 | Right lobe | NA | NA | Percutaneous abscess drainage Fishbone left in situ | |
| Fujiwara, Japan, 2017 [21] | 69 M | Pain, fever | 14 | Right lobe | 35 | NA | Laparotomy with Fishbone removal |
| Dias, Brazil, 2018 [18] | 35 M | Pain, fever | NA | Left lobe | 25 | NA | Laparotomy with fishbone removal |
| Lau, Singapore, 2017 [30] | 85 F | Pain, fever | NA | Left lobe | 40 | Pylorus | Percutaneous fishbone removal |
| Tan, Singapore, 2016 [43] | 56 M | Pain, fever | 14 | Left lobe | NA | Antrum | Laparoscopic Fishbone removal |
| 63 M | Fever | 14 | Left lobe | NA | Stomach | Laparoscopic Fishbone removal | |
| Esseghaier, Tunisia, 2015 [20] | 68 M | Pain, fever | 7 | Right lobe | 20 | Duodenum | Laparotomy with fishbone removal |
| Ede, South Africa, 2015 [19] | 61 M | Pain, fever | 21 | Left lobe | 60 | NA | Laparotomy with fishbone removal |
| Panebianco, Italy, 2015 [37] | 57 F | Pain, fever | 14 | Left lobe | 40 | Antrum | Laparoscopic Fishbone removal |
| Dinnoo, France, 2015 | 60 F | Pain, Sepsis | NA | Right lobe | NA | Duodenum | Laparoscopic fishbone removal |
| Xiao, China, 2015 [46] | 47 F | Pain | 365 | Left lobe | 25 | NA | Laparoscopic fishbone removal |
| Venkatesh, Singapore, 2015 [45] | 69 M | Pain, fever | 5 | Left lobe | 14 | Stomach | Left hepatectomy |
| Koşar, Turkey, 2014 [29] | 73 F | Fever | NA | Left lobe | NA | NA | Laparoscopic fishbone removal |
| Dangoisse, Belgium, 2014 [17] | 56 M | Fever, SOB | 3 | Left lobe | 30 | Stomach | Laparotomy with fishbone removal |
| Matrella, France, 2014 [35] | 63 F | Pain, fever | 10 | Right lobe | 40 | NA | Laparotomy with fishbone removal |
| 83 F | Pain, fever | NA | Left lobe | NA | NA | Laparotomy with fishbone removal | |
| Gaba, USA, 2013 [22] | 33 F | Fever | 14 | Left lobe | 30 | NA | Percutaneous removal of fishbone |
| Masoodi, Saudi Arabia, 2012 [5] | 45 M | Pain, fever | 10 | Right lobe | 25 | Duodenum | Laparotomy with fishbone removal |
| Jarry, France, 2011 [27] | 68 F | Pain, fever | 14 | Right lobe | 35 | Duodenum | Laparotomy with fishbone removal |
| Liang, China, 2011 [33] | 60 M | Pain, fever | 30 | Left lobe | 27 | Stomach | Surgical removal |
| Ng, Singapore, 2011 [36] | 59 M | Fever | NA | Right lobe | NA | Pylorus | Antibiotics. Bone left in situ |
| Chen, China, 2011 [15] | 59 F | Pain, fever | 14 | Left lobe | 40 | Duodenum | Liver resection |
| Yen, China, 2010 [48] | 36 M | Pain, fever | 14 | Left lobe | NA | NA | Surgical removal |
| Santos, Portugal, 2007 [41] | 62 F | Pain, fever | 42 | Left lobe | 33 | Antrum | Laparotomy and fishbone removal |
| Kadowaki, Japan, 2007 [28] | 73 F | Pain, fever | 7 | Left lobe | 28 | NA | Laparotomy and fishbone removal |
| Clarençon, France, 2008 [16] | 64 M | Pain, fever | NA | Right lobe | 23 | NA | Failed open surgical removal Percutaneous removal of fishbone |
| Perera, Sri Lanka, 2007 [39] | 59 F | Pain | NA | Left lobe | 45 | NA | Laparotomy and fishbone removal |
| Lee, China, 2005 [31] | 65 F | Pain, vomiting | 7 | Left lobe | 35 | Antrum | Laparotomy and fishbone removal |
| Goh, Singapore, 2005 [23] | 32 M | Fever | 5 | Right lobe | 30 | Duodenum | Laparotomy and fishbone removal |
| Yang, China, 2005 [47] | 40 M | Fever | 7 | Left lobe | 50 | NA | Percutaneous abscess drainage. Fishbone left in situ |
| Theodoropoulou, Greece, 2002 [7] | 46 M | Pain, fever, jaundice | 3 | Left lobe | 50 | NA | Antibiotics. Fishbone left in situ |
| De la Vega, Spain, 2001 [6] | 86 F | Pain, vomiting | NA | Right lobe | 25 | NA | Antibiotics. Fishbone left in situ |
| Horii, Japan, 1999 [2] | 61 M | Fever | 14 | Left lobe | 28 | NA | Percutaneous abscess drainage and removal of fishbone. |
| Author . | Patient details . | Symptoms . | Duration (d) . | Fishbone location . | Fishbone size (mm) . | Site of perforation . | Management . |
|---|---|---|---|---|---|---|---|
| Hernández-Villafranca, Spain, 2021 [26] | 73 F | NA | 14 | Left lobe | 30 | Duodenum | Laparoscopic fishbone removal |
| Allam, UK, 2020 [9] | 53 F | Pain, fever | 7 | Right lobe | NA | Pylorus | Antibiotics. Fishbone left in situ |
| Barkai, 2020, Israel [11] | 66 F | Pain | NA | Right lobe | NA | NA | Laparoscopic fishbone removal |
| Burkholder, USA, 2019 [14] | 64 F | NA | 8 | Left lobe | 21 | NA | Percutaneous abscess drainage. Fishbone left in situ |
| Bandeira-de-Mello, Brazil 2018 [10] | 44 F | NA | 14 | Left lobe | 25 | Antrum | Laparoscopic fishbone removal |
| Bekki T, Japan, 2019 [13] | 51 M | Fever | NA | Left lobe | 24 | Antrum | Laparoscopic fishbone removal |
| Beckers, Belgium, 2021 [12] | 74 F | Pain, fever | 3 | Right lobe | 35 | NA | Laparoscopic fishbone removal |
| Goyal, USA, 2019 [25] | 68 M | Pain, fever, WL | 30 | Left lobe | NA | Pylorus | Percutaneous abscess drainage. Fishbone left in situ |
| 56 M | Pain, fever | 14 | Right lobe | NA | Duodenum | Robotic fishbone removal | |
| Li, China, 2019 [32] | 58 M | Fever | 9 | Left lobe | 40 | NA | Laparoscopic left hepatectomy |
| Sim, Singapore, 2019 [42] | 56 F | Fever, vomiting | 2 | Right lobe | NA | Stomach | Laparotomy and abscess drainage. Fishbone left in situ |
| Queiroz, Brazil, 2019 [40] | 50 M | Pain, fever | 10 | Left lobe | NA | Antrum | Surgical removal |
| Yu, China, 2018 [49] | 34 F | Pain, fever, vomiting | 8 | Left lobe | 30 | NA | Laparotomy and fishbone removal |
| Peixoto, Portugal, 2016 [38] | 78 M | Fever, vomiting | 2 | Right lobe | 35 | NA | Laparotomy and fishbone removal |
| Venkatesan, Australia, 2019 [44] | 88 F | Pain | 60 | Left lobe | NA | Antrum | Laparoscopic fishbone removal |
| Gómez Portilla, Spain, 2019 [24] | 50 F | Pain, fever | 28 | Left lobe | 25 | NA | Left hepatectomy with bone removal |
| 69 F | NA | NA | Left lobe | NA | NA | Surgical removal | |
| Chen, 2019, China [15] | 37 M | Pain | 60 | Left lobe | 17 | NA | Liver resection |
| Mateus, Portugal, 2018 [34] | 76 M | Pain | 3 | Left lobe | 50 | NA | Laparotomy and fishbone removal |
| 45 M | Weakness, chills | 2 | Right lobe | NA | NA | Percutaneous abscess drainage Fishbone left in situ | |
| Fujiwara, Japan, 2017 [21] | 69 M | Pain, fever | 14 | Right lobe | 35 | NA | Laparotomy with Fishbone removal |
| Dias, Brazil, 2018 [18] | 35 M | Pain, fever | NA | Left lobe | 25 | NA | Laparotomy with fishbone removal |
| Lau, Singapore, 2017 [30] | 85 F | Pain, fever | NA | Left lobe | 40 | Pylorus | Percutaneous fishbone removal |
| Tan, Singapore, 2016 [43] | 56 M | Pain, fever | 14 | Left lobe | NA | Antrum | Laparoscopic Fishbone removal |
| 63 M | Fever | 14 | Left lobe | NA | Stomach | Laparoscopic Fishbone removal | |
| Esseghaier, Tunisia, 2015 [20] | 68 M | Pain, fever | 7 | Right lobe | 20 | Duodenum | Laparotomy with fishbone removal |
| Ede, South Africa, 2015 [19] | 61 M | Pain, fever | 21 | Left lobe | 60 | NA | Laparotomy with fishbone removal |
| Panebianco, Italy, 2015 [37] | 57 F | Pain, fever | 14 | Left lobe | 40 | Antrum | Laparoscopic Fishbone removal |
| Dinnoo, France, 2015 | 60 F | Pain, Sepsis | NA | Right lobe | NA | Duodenum | Laparoscopic fishbone removal |
| Xiao, China, 2015 [46] | 47 F | Pain | 365 | Left lobe | 25 | NA | Laparoscopic fishbone removal |
| Venkatesh, Singapore, 2015 [45] | 69 M | Pain, fever | 5 | Left lobe | 14 | Stomach | Left hepatectomy |
| Koşar, Turkey, 2014 [29] | 73 F | Fever | NA | Left lobe | NA | NA | Laparoscopic fishbone removal |
| Dangoisse, Belgium, 2014 [17] | 56 M | Fever, SOB | 3 | Left lobe | 30 | Stomach | Laparotomy with fishbone removal |
| Matrella, France, 2014 [35] | 63 F | Pain, fever | 10 | Right lobe | 40 | NA | Laparotomy with fishbone removal |
| 83 F | Pain, fever | NA | Left lobe | NA | NA | Laparotomy with fishbone removal | |
| Gaba, USA, 2013 [22] | 33 F | Fever | 14 | Left lobe | 30 | NA | Percutaneous removal of fishbone |
| Masoodi, Saudi Arabia, 2012 [5] | 45 M | Pain, fever | 10 | Right lobe | 25 | Duodenum | Laparotomy with fishbone removal |
| Jarry, France, 2011 [27] | 68 F | Pain, fever | 14 | Right lobe | 35 | Duodenum | Laparotomy with fishbone removal |
| Liang, China, 2011 [33] | 60 M | Pain, fever | 30 | Left lobe | 27 | Stomach | Surgical removal |
| Ng, Singapore, 2011 [36] | 59 M | Fever | NA | Right lobe | NA | Pylorus | Antibiotics. Bone left in situ |
| Chen, China, 2011 [15] | 59 F | Pain, fever | 14 | Left lobe | 40 | Duodenum | Liver resection |
| Yen, China, 2010 [48] | 36 M | Pain, fever | 14 | Left lobe | NA | NA | Surgical removal |
| Santos, Portugal, 2007 [41] | 62 F | Pain, fever | 42 | Left lobe | 33 | Antrum | Laparotomy and fishbone removal |
| Kadowaki, Japan, 2007 [28] | 73 F | Pain, fever | 7 | Left lobe | 28 | NA | Laparotomy and fishbone removal |
| Clarençon, France, 2008 [16] | 64 M | Pain, fever | NA | Right lobe | 23 | NA | Failed open surgical removal Percutaneous removal of fishbone |
| Perera, Sri Lanka, 2007 [39] | 59 F | Pain | NA | Left lobe | 45 | NA | Laparotomy and fishbone removal |
| Lee, China, 2005 [31] | 65 F | Pain, vomiting | 7 | Left lobe | 35 | Antrum | Laparotomy and fishbone removal |
| Goh, Singapore, 2005 [23] | 32 M | Fever | 5 | Right lobe | 30 | Duodenum | Laparotomy and fishbone removal |
| Yang, China, 2005 [47] | 40 M | Fever | 7 | Left lobe | 50 | NA | Percutaneous abscess drainage. Fishbone left in situ |
| Theodoropoulou, Greece, 2002 [7] | 46 M | Pain, fever, jaundice | 3 | Left lobe | 50 | NA | Antibiotics. Fishbone left in situ |
| De la Vega, Spain, 2001 [6] | 86 F | Pain, vomiting | NA | Right lobe | 25 | NA | Antibiotics. Fishbone left in situ |
| Horii, Japan, 1999 [2] | 61 M | Fever | 14 | Left lobe | 28 | NA | Percutaneous abscess drainage and removal of fishbone. |
The patient was transferred to our Hepatopancreaticobiliary (HPB) unit. On arrival, he was clinically well and asymptomatic. A repeat CT scan showed a persistent collection in the liver. On further enquiry, the patient revealed that a few weeks earlier as he had a transient episode of choking and discomfort whilst eating fish.
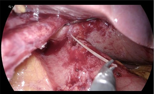
On laparoscopy, the left lateral segment of the liver was adherent to the gastric antrum (Fig. 2). Adhesions between the liver and stomach were divided with blunt and sharp dissection. The fishbone was pulled out of the liver intact and extracted through the port. The abscess was opened, drained and washed. A sealed fistulous tract was identified at the antrum; this was repaired with an omental patch. The patient had an uneventful recovery and was discharged the following day.

DISCUSSION
Fifty-two cases of liver abscess secondary to enterohepatic fishbone migration have been reported in the English literature (Table 1). Most common symptoms included: anorexia, epigastric pain and fever. The lack of history of ingestion of a fishbone often leads to a diagnostic dilemma. CT scan was diagnostic in 47 that had axial imaging, three fishbones were found intra-operatively and two on autopsy. Over two-thirds of reported cases presented with a left lobe abscess, this is attributable to the anatomical proximity of the stomach.
There was marked variability in the management of liver abscess in the setting of fishbone migration. A variety of approaches including laparotomy, laparoscopy, CT guidance and liver resection were utilized to remove the fishbones. Percutaneous drainage usually results in the resolution of liver abscess, but recurrence is likely. Nine patients had the fishbone left in situ, one patient ultimately required a laparotomy for fishbone removal [5]. There were two mortalities in these patients with the fishbone left in situ (2/7, 29%), these were secondary to overwhelming sepsis, and the fishbones were discovered at autopsy [6, 7].
LEARNING POINTS/TAKE-HOME MESSAGES
Left lobe liver abscess should raise the suspicion of a foreign body. Antibiotic treatment and drainage are effective in the short term. The retained foreign body acts as a nidus for recurrent infection and requires removal to prevent recurrence and mortality.
Previous presentation: Poster presentation in UGI conference 2021.
CONFLICT OF INTEREST STATEMENT
None declared.
FUNDING
Kings College London (JISC affiliated).