-
PDF
- Split View
-
Views
-
Cite
Cite
Nael Al-Sarraf, Coronary artery bypass graft for stent occlusion in a patient with essential thrombocythemia, Journal of Surgical Case Reports, Volume 2021, Issue 12, December 2021, rjab583, https://doi.org/10.1093/jscr/rjab583
Close - Share Icon Share
Abstract
Essential thrombocythemia (ET) is a rare myeloproliferative disorder characterized by pathologic expansion of the megakaryocytic elements in the bone marrow leading to persistent thrombocytosis and platelet dysfunction. The incidence of coronary artery disease can reach 9.4% and this is accompanied by high incidence of acute myocardial infractions. There are no clear guidelines for best management approach to these patients when cardiac surgery is planned. A case of ET required coronary artery bypass graft surgery for stent occlusion is presented with careful preoperative planning leading to full recovery with no complications.
INTRODUCTION
Essential thrombocythemia (ET) is a rare myeloproliferative disorder characterized by persistent thrombocytosis. This disorder is associated with high incidence of coronary artery disease and can lead to both thrombosis and hemorrhage. Careful planning of such cases when undergoing cardiac surgery is of paramount importance to avoid the risk of thrombosis and adverse outcomes post-surgery.
CASE REPORT
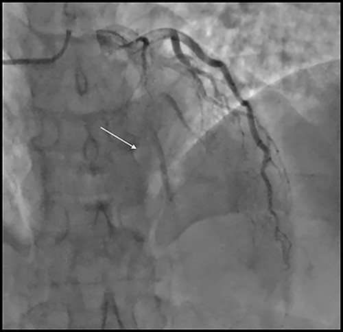
A 38-year-old man known case of hyperlipidemia, hypertension and ET diagnosed 5 years previously by bone marrow biopsy with JAK2 mutation (Janus Kinase 2) presented with angina. He was on hydroxy urea therapy since that time. He underwent multiple percutaneous coronary interventions to left anterior descending artery (LAD) and first diagonal artery (D1) for past 5 years. He presented with unstable angina. He had no past surgical history and no family history of ischemic heart disease. He was non-smoker. Coronary angiography showed total occlusion of LAD and D1 arteries with normal right coronary and circumflex arteries (Fig. 1). Echocardiography showed ejection fraction of 50% with no significant valve disease. Hemoglobin was 16 g/l and platelet count was 495 * 109 per litter with normal renal and liver function tests. His hydroxyurea medication was continued at a dose of 500 mg orally daily until day of surgery.

Coronary angiography showing subtotal occlusion of the LAD stent and severe in stent re stenosis of diagonal artery stent.
He underwent total arterial coronary artery bypass graft surgery with left internal mammary artery anastomosed to LAD and radial artery anastomosed to D1. The procedure was performed on cardiopulmonary bypass with cardioplegic arrest. The operation was uneventful and he was extubated 9 hours post-operatively. His total drainage from mediastinal and pleural drains were 500 cc over 24 hours. He required no blood or blood product transfusion. He was commenced on dual antiplatelet treatment (DAPT) using aspirin and clopidegrol Day 1 post-operative. Immediate post-op platelet count was 295 * 109 per litter and Day 1 platelet was 464 * 109 per litter. Hydroxyurea was increased Day 1 post-operatively to a dose of 500 mg orally twice daily. His platelet counts on Day 2 until Day 6 were 489 * 109, 365 * 109, 395 * 109, 650 * 109 and 780 * 109 per litter, respectively. He was discharged home Day 6 post-op with no complication. At 3 weeks post-operatively, his platelet count was 750 * 109 per litter on same treatment and dose. Patient was then seen at 4 months post-operatively with platelet count is 467 * 109 per litter and hemoglobin was 147 g/l. He was back to all daily activities and walking daily for one and half hour with no symptoms. He remained on the same dose of hydroxyl urea (500 mg orally twice daily) and DAPT.
DISCUSSION
ET is a rare myeloproliferative disorder characterized by pathologic expansion of the megakaryocytic elements in the bone marrow leading to persistent thrombocytosis and platelet dysfunction. This disorder is commonly associated with somatically acquired mutations in the JAK2, CALR (Calreticulin) or MPL (MPL proto-oncogene, thrombopoietin receptor) genes. Patients are often asymptomatic but hemorrhagic or thrombotic events or both can develop with cerebral, myocardial and peripheral arterial thrombosis being the most frequent reported complications [1, 2]. The incidence of ET is 9.6 new cases per million people with higher incidence in females and African American [1]. The incidence of coronary artery disease can reach 9.4% and this is accompanied by high incidence of acute myocardial infractions [3].
Treatment goals for patients with ET aim at preventing thrombotic, hemorrhagic and vasomotor sequelae. Cytoreductive and/or anti-platelet therapy is used based on the risk stratification that takes into account age, cardiovascular risk factors, history of thrombosis and presence of JAK2 mutation. Cytoreductive therapy includes hydroxyurea, anagrelide or α interferon. Platelet pheresis can be used in acute clinical situations as in urgent surgery in ET patients with high platelet counts [1, 3]. Hydroxyurea has emerged as the treatment of choice for high-risk patients with ET because of its efficacy and rarity of acute toxicities [4].
There is no available literature in the best treatment approach for such cases when undergoing cardiac surgery. Some cases reported previously have shown adverse outcomes in ET patients undergoing cardiac surgery with high thrombotic risk pre-disposing patients to pulmonary embolism [5], myocardial infarctions from graft thrombosis, strokes and subsequent death [1]. Various modalities for platelet control were employed in previous papers including platelet pheresis [6, 7], cytoreductive medications and the use of anti-platelet with or without anticoagulant [3]. In our case, careful planning was undertaken with pre-operative treatment of hydroxyurea and maintaining platelets counts <800 * 109 per litter in addition to continuing aspirin until day of surgery. We used two arterial grafts for better long-term patency and started dual anti-platelets therapy immediately post-op and continued them long-term.
The ideal platelet count required prior to cardiac surgery remains unknown. Literature review showed that adverse outcomes are more frequent in cases with platelet count >800 * 109per litter as cases with higher numbers suffered worse outcomes [1–3, 5]. The lack of using cytoreductive medications was also reported in cases with poor outcomes [1]. As such, efforts to maintain platelet count pre-operatively to less than 800 * 109 per litter should be emphasized regardless of the method used for platelet control in addition to the use of DAPT.
CONCLUSION
Careful planning of the pre-operative approach of ET patients undergoing cardiac surgery is important with the aim to reduce both the platelet count and the thrombotic risk that can occur post-operatively. Various options are available and best approach should be tailored to each case individually.
CONFLICT OF INTEREST STATEMENT
None declared.
FUNDING
None.