-
PDF
- Split View
-
Views
-
Cite
Cite
Kudzayi Kutywayo, Metesh N Acharya, Sridhar Rathinam, Uniportal VATS retrieval of an endobronchial coil migrated through pericardium, Journal of Surgical Case Reports, Volume 2020, Issue 10, October 2020, rjaa108, https://doi.org/10.1093/jscr/rjaa108
Close - Share Icon Share
Abstract
Endobronchial insertion of nitinol coils is a minimally invasive treatment strategy for selected patients with advanced emphysema. Although coil migration into the pleural space has been described by Marchetti et al. (Endobronchial coil penetration into the pleural space. Thorax 2018;73:890–1) [ 1], breach through the pericardium has not been reported to date.
CASE REPORT
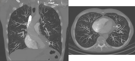
A 61-year-old man presented with 2 weeks of pleuritic chest pain and small-volume haemoptysis. He had undergone left lower lobe endobronchial coil insertion 6 months prior. Computed tomography scanning revealed perforation of the lung parenchyma and mediastinal pleura by an endobronchial coil (Fig. 1), with its tip penetrating the pericardium and abutting myocardium. Trans-thoracic echocardiography demonstrated a sub-centimetre pericardial collection along the inferior cardiac wall without cardiac tamponade.


Via a single 4 cm incision for video-assisted thoracoscopic surgery (VATS) (Fig. 2), the embedded endobronchial coil was carefully manipulated out of the superficial lung parenchyma and epicardial fat, and wedge resection of the damaged lung performed. There was no penetrating cardiac injury. The patient made an uneventful recovery.
DISCUSSION
Uniportal VATS management of endobronchial coil migration through the pericardium has not been reported before. Haemorrhage, coil migration, pneumomediastinum, respiratory failure and the erosion of coils into major vessels were identified as theoretical adverse events [2]. Delayed coil migration should be considered within the differential diagnosis for patients presenting with chest pain and haemoptysis months following endobronchial coil implantation.
CONFLICT OF INTEREST
The authors have no conflicts of interest to declare.
References
Insertion of endobronchial nitinol coils to improve lung function in emphysema: Interventional procedures guidance [IPG517]. https://www.nice.org.uk/guidance/ipg517/chapter/5-safety (