-
PDF
- Split View
-
Views
-
Cite
Cite
Victoria Rizzo, Haralambos Parissis, A rare case of benign metastasizing leiomyoma, Journal of Surgical Case Reports, Volume 2017, Issue 9, September 2017, rjx190, https://doi.org/10.1093/jscr/rjx190
Close - Share Icon Share
Abstract
Benign metastasizing leiomyoma is a rare disorder involving distant metastases secondary to a smooth muscle tumour of the myometrium. This case report describes a 48-year-old woman with multiple pulmonary nodules noted on post-operative chest x-ray. Further investigation revealed a history of total abdominal hysterectomy for benign fibroids of the uterus, 6 years prior to the scan. CT-guided fine needle aspirate of the pulmonary nodules showed smooth muscle proliferation within lung parenchyma, suggesting smooth muscle tumour confirmed with immunohistochemistry. Management is still controversial in view of low case numbers; however, treatment with hormone therapy and castration has been attempted.
INTRODUCTION
Benign metastasizing leiomyoma (BML) is a rare disorder involving distant metastases, usually pulmonary, from a primary smooth muscle tumour of the myometrium. It is usually an incidental finding and seldom causes symptoms. This is a case report of a 48-year-old woman who was found to have multiple pulmonary nodules on a post-operative chest x-ray. She had a total abdominal hysterectomy 6 years prior to the scan, the histopathology of which had shown multiple benign fibroids of the uterus.
CASE REPORT
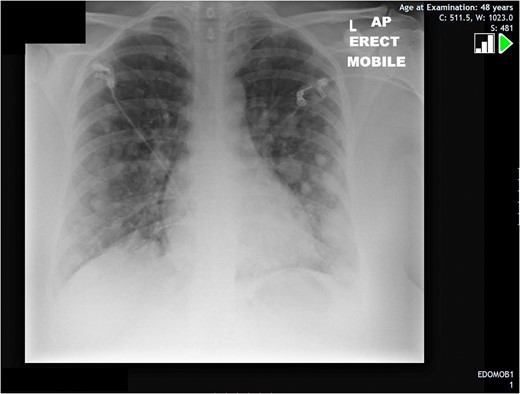
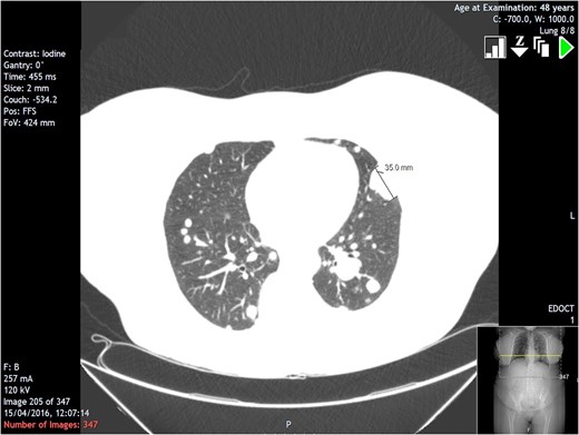
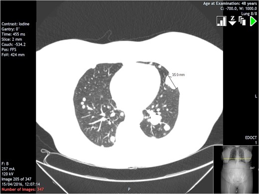
A 48-year-old lady was discovered to have multiple pulmonary nodules on chest x-ray (Fig. 1) which was taken in view of desaturating levels of oxygen post-operatively. The patient had undergone elective left leg varicose vein surgery. An urgent CT scan was subsequently booked and showed innumerable soft tissue lesions throughout both lung fields including a sub-pleural individual lesion measuring 3.5 cm in the lingula (Fig. 2). One lesion in the right upper lobe contained a small amount of air due to possible local erosion into an adjacent airway. Furthermore, a para-tracheal mass was seen on the right side measuring 5.6 cm with appearances suggestive of pleural metastases. Mediastinal nodes were reported as slightly prominent on the scan with nodes at the right hilum up to 12 mm in size.


Section from CT scan showing largest individual lung lesion in the lingula measuring 3.5 cm.
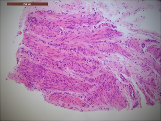
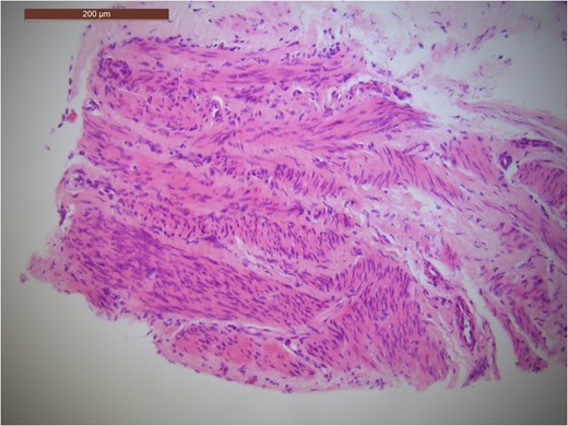
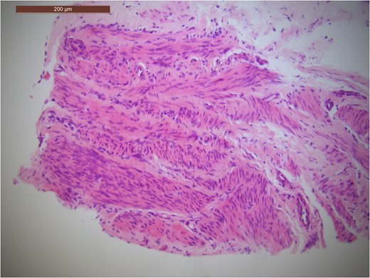
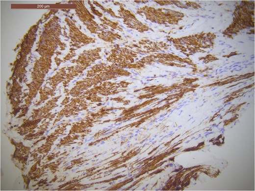
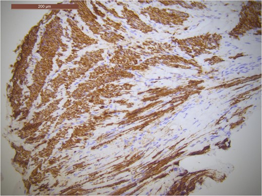
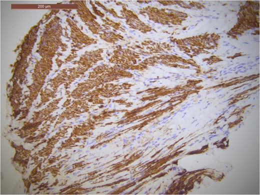
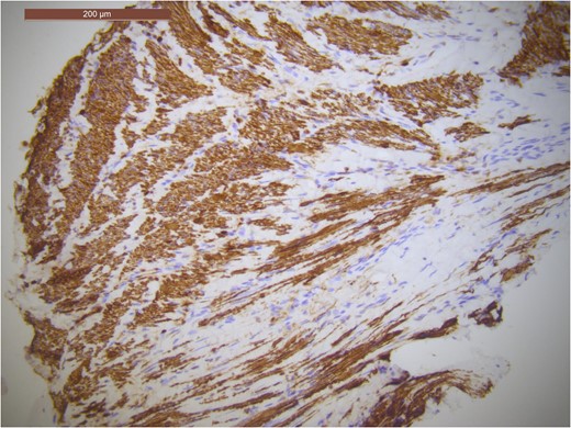
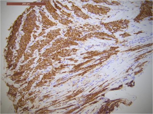
A CT guided fine needle aspirate (FNA) was carried out ~1 month after her initial surgery. Histopathology showed abnormal smooth muscle proliferation within lung parenchyma (Fig. 3). The smooth muscle cells were positive for smooth muscle Actin, Vimentin and Desmin protein (Fig. 4). This is suggestive of a smooth muscle tumour (which in the lung is most likely to be metastatic) or lymphangioleiomyomatosis. The immunohistochemistry favoured the diagnosis of a smooth muscle tumour.


Immuno-stain with brown staining indicating expression of desmin protein as seen in smooth muscle cells.
The patient has a history of a total abdominal hysterectomy carried out at the age of 42 for polymenorrhagia and a large multiple fibroid uterus. Histopathology on this occasion confirmed multiple benign fibroids with no sinister features. This was in keeping with a diagnosis of BMLs of the lung.
The patient’s symptoms improved with the assistance of chest physiotherapy after the varicose vein stripping. This case is different in view of the large number of widespread metastases present in the lung making metastasectomy a non-viable option. On discussion with the patient a decision was made to adopt a conservative approach in her management and she is currently being followed up as an outpatient.
DISCUSSION
BML is a rare condition mostly recorded in the form of case reports. It occurs in persons who have a history of uterine leiomyoma. The patient later presents with a number of metastases positive for leiomyoma on histopathology [1]. The most common metastases are found in the lung and the condition is known as pulmonary BML (PBML). The youngest documented case of PBML was reported in a 23-year-old girl [2].
BML is often discovered incidentally on imaging as the metastases are generally asymptomatic [1]. Occasionally there may be significant morbidity associated with PBML, such as worsening dyspnoea and pain [3]. BML may also metastasize to para-aortic and abdominal lymph nodes, oesophagus and trachea, striated muscle, nervous system, heart and breast among others [4]. Metastatic spread is thought to be haematogenous in nature [4].
Uterine leiomyomata are known to exhibit hormone-dependent growth with an additional role for local growth factors. The benign smooth muscle tumour is seen to regress after menopause with the height of tumour growth occurring during reproductive years [5]. Growth of pulmonary metastases are also affected by oestrogen and progesterone levels with a large number of pulmonary metastases found to be positive for oestrogen and progesterone receptors [5].
In view of low case numbers, management is still controversial with no set guidelines in place. Medical management with hormone therapies such as tamoxifen (selective oestrogen-receptor modulator) and aromatase inhibitors has been shown to help decrease tumour size [3, 4]. Chemical and surgical castration have also been used in the management of BML [5].
Gonadotropin releasing hormone analogues are used for chemical castration, while surgical castration is carried out by oophorectomy. Shrinkage of the tumour with chemical castration has been described. Surgical induction of menopause does not necessarily cause tumour shrinkage; however, lung lesions have been shown to remain stable with no further growth after this procedure [5, 6].
Spontaneous regression of pulmonary metastases after the onset of menopause has also been documented [7]. This may indicate that no active management may be warranted in asymptomatic patients [8].
Surgical resection of metastases is also advocated when and where possible. Management using a combination of the above may be beneficial and treatment should ultimately be tailored to the individual [1, 3].
CONCLUSION
In conclusion, BML is a rare entity found in women with a history of uterine leiomyoma and commonly presenting as incidental pulmonary nodules on imaging. It is thought to exhibit vascular dissemination. The presence of oestrogen and progesterone receptors in most cases make it amenable to hormonal therapy; however, management may involve metastasectomy, chemical or surgical castration or watchful waiting. This is a case report concerning a 48-year-old lady who was discovered to have pulmonary nodules 6 years after hysterectomy with uterine leiomyoma evident on pathology.
CONFLICT OF INTEREST STATEMENT
There are no conflicts of interest to declare.
FUNDING
There is no financial or non-financial support to declare.
DECLARATIONS
This is an original article and has not been published or submitted elsewhere.
REFERENCES
Author notes
Poster presentation at the Research for Trainees at the Postgraduate Medical Centre in Belfast on 20 October 2016 organized by Queen’s University Belfast, Ulster Medical Society and Northern Ireland Medical & Dental Training Agency (NIMDTA).