-
PDF
- Split View
-
Views
-
Cite
Cite
Olusegun M Ayeko, Jonathan Barrow, Michael O Ayeko, Raised serum lactate in a cirrhotic patient presenting after a trivial fall, Journal of Surgical Case Reports, Volume 2017, Issue 9, September 2017, rjx155, https://doi.org/10.1093/jscr/rjx155
Close - Share Icon Share
Abstract
We present the case of a pelvic fracture in a 69-year-old man with Child–Pugh class C cirrhosis who presented to the Accident and Emergency department after a slip on wet grass. After initially being systemically well, he became haemodynamically unstable in the Emergency department requiring resuscitation via the massive transfusion pathway. He was admitted to intensive care unit for resuscitation following a CT angiogram which showed no arterial bleed, but significant retroperitoneal haematoma. He received a prophylactic embolization of the internal iliac artery 2 days later and his acetabular fracture was managed with skeletal traction. He died 7 weeks later as a result of his liver failure. We propose that a high index of suspicion would have led to an earlier diagnosis of his venous bleed and earlier transfusion.
INTRODUCTION
Trauma may cause occult haemorrhage which, if not recognized, may cause multiorgan failure and death. Although patients with cirrhosis who have suffered traumatic injuries may appear initially clinically stable, an elevated serum lactate level should raise the suspicion of occult bleeding.
CASE REPORT
A 69-year-old man with Child–Pugh class C cirrhosis presented to the Emergency department after slipping on wet grass and falling on his left side. His glasgow coma score was 15/15 and vital signs were within normal limits: pulse rate 78/min, RR 13/min, BP 113/54 mm Hg, SpO2-100% in air. He had left hip tenderness with no ecchymosis to the abdomen, flank or thigh. A radiograph of his pelvis revealed an undisplaced fracture of his left acetabulum of both the anterior and posterior columns (Fig. 1).

His initial blood tests confirmed his liver dysfunction, with a pH 7.271, base excess minus 7.3, PT 18.2, INR-1.5, APTT ratio 1.42, platelets 73, bilirubin 63 mmol/l. Hb was unremarkable at 124 g/l. An 18 g intravenous cannula was inserted and warmed Hartmanns one litre infusion was commenced.
He was referred to the Orthopaedic on call team after an initial delay due to pressure in the Emergency department. Shortly afterwards his blood pressure dropped to 75/51 mm Hg. He was tachycardic and his serum lactate was 9 mmol/l. A FAST examination revealed intraabdominal fluid in keeping with his known decompensated liver disease. Due to the fact that he had a low energy fall, haemorrhagic shock had not been considered and he was treated for sepsis in the Emergency department.
The intensive care, orthopaedic and general registrar attended the patient when he became unwell. His pH was 7.227, base excess of −17.9 and a serum lactate of 16.3 mmol/l. His Hb was now 75 g/l and his arterial blood pressure was 90/60 mm Hg with a pulse rate 90/min. His left lower abdominal quadrant and upper thigh were now swollen with ecchymosis. A diagnosis of haemorrhagic shock was made and the massive transfusion pathway was activated. Four units of Blood, 4 units of FFP, 2 adult therapeutic doses of platelets and 10 units of cryoprecipitate were rapidly transfused. He required noradrenaline infusion to maintain MAP > 65 mm Hg. A pelvic binder was in place but not tightened as this was a lateral compression injury. A CT scan was deemed necessary for diagnosis and management planning. The on call radiology team and vascular surgeons were contacted to attend.
Once stable, the CT abdomen confirmed the fracture of the left acetabulum, with significant haematoma on left pelvic sidewall adjacent to the fracture. There was a 8 mm enhancing nodule suggestive of an internal iliac artery pseudoaneurysm as well as ill-defined blush of contrast within the haematoma. It also showed extra-peritoneal haematoma inseparable from the bladder, a cirrhotic liver as well as an incidental 6.7 cm infra-renal aortic aneurysm. He was transferred to the intensive care unit for further stabilization and invasive cardiovascular monitoring (Fig. 2).

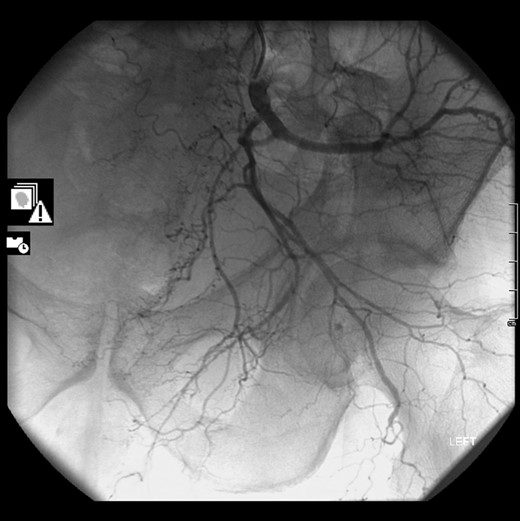
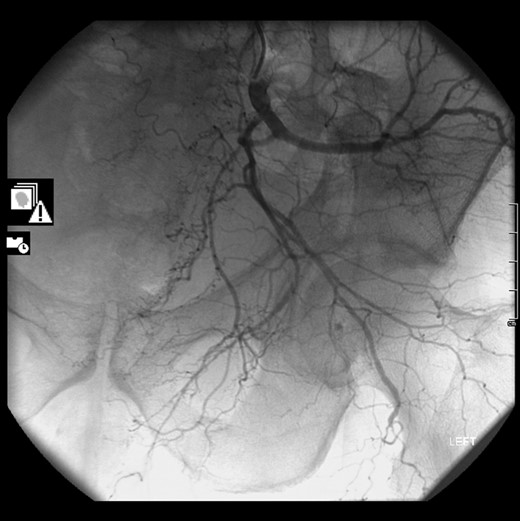
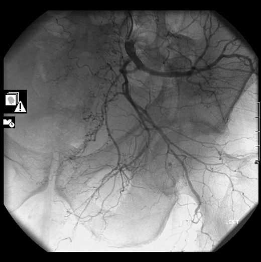
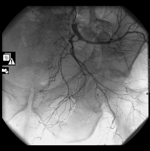
The following morning, he was taken to the radiology suite where he underwent CT Angiogram which demonstrated no arterial bleed. After discussion with the vascular team and further review of his images, the patient was recommended for prophylactic embolization. Almost 48 h after admission, he had gelfoam embolization of anterior and posterior division segmental branches of the left internal iliac artery. After consultation with the regional pelvic surgeon, a 10 lb skeletal traction was applied to take pressure off the acetabulum. Following 5 days in the intensive care unit, he was discharged to the orthopaedic ward. Further complications arose due to his coagulopathic state. He developed uncontrollable bleeding from his pin site while in skeletal traction, which needed removal and continuous pressure applied to the wound. He died on 30 January 2017, 51 days after admission, as a result of his chronic liver disease.
DISCUSSION
This case is reported to highlight the importance of a high index of suspicion for occult bleeding in patients with alcoholic liver disease. Such patients may need further investigations at an earlier stage. Haemorrhage is a major cause of death in trauma and thus its presence requires prompt recognition and management to avert the sequelae of multiorgan failure and death [1]. Régnier et al. identified the main principles of trauma patient care as follows:
‘To recognize and treat haemorrhage early, limit the consequences of shock, and diagnose traumatic lesions’ [2].
Acetabular fractures of a similar nature have frequently been shown to be the most common type of pelvic injury, usually occurring as a result of high energy trauma, unlike this case. Studies have shown that patients presenting with this are significantly more likely to have a serious injury and present with resuscitative challenges [3].
Pelvic trauma is associated with several injuries, including urogenital lesions, nerve damage and vascular lesions [4]. Due to the high energy nature in which these injuries are usually sustained, patients typically present with multiple injuries. Studies have suggested that the majority of deaths are due to haemorrhagic shock, being followed by central nervous system damage [5, 6].
During tissue hypoxia, glucose metabolism leads to the production of lactate, ATP and water [7]. A raised lactate at presentation has been identified as a diagnostic and prognostic marker in patients with trauma [8] even in patients with cirrhosis [9]. Elevated lactate levels should raise a strong suspicion of circulatory insufficiency in cirrhotic patients with low impact pelvic trauma as these patients often have increased bleeding tendency and abnormal clotting [10].
Given the background of alcoholic liver disease, this patient had a high risk of bleeding even though the mechanism was trivial. Appropriate management after identifying the fracture would involve early admission to a higher level of care and further imaging. These took place 4 h after the pelvic fracture was diagnosed. Due to the slow nature of his bleed, it was difficult to identify haemorrhage early. However, acidaemia and elevated lactate levels were present from admission. The patient was transferred to gastroenterology after orthopaedic management due to the severity of his liver disease. He soon developed end stage liver failure, hepatic encephalopathy and passed away on the ward.
CONFLICT OF INTEREST STATEMENT
None declared.
REFERENCES
- hemorrhage
- liver cirrhosis
- embolization
- accidents
- emergency service, hospital
- intensive care unit
- lactates
- liver failure
- poaceae
- resuscitation
- diagnosis
- massive transfusion
- transfusion
- child-turcotte-pugh classification
- pelvis fractures
- acetabulum fractures
- hemodynamic instability
- computed tomographic angiography
- internal iliac artery
- skeletal traction
- retroperitoneal hematoma