-
PDF
- Split View
-
Views
-
Cite
Cite
Akihiko Ikeda, Toru Tsukada, Taisuke Konishi, Kanji Matsuzaki, Tomoaki Jikuya, Yuji Hiramatsu, Right atrial myxoma with a large tumor embolus in the left pulmonary artery, Journal of Surgical Case Reports, Volume 2014, Issue 10, October 2014, rju115, https://doi.org/10.1093/jscr/rju115
Close - Share Icon Share
Abstract
Cardiac myxoma, the most common primary cardiac tumor, usually develops in the left atrium. Right atrial myxomas are rare, especially those accompanied by pulmonary tumor embolism. We describe a case of a right atrial myxoma with a large tumor embolus in the left pulmonary artery. A 74-year-old man was referred to our hospital for the treatment of a right atrial tumor. Upon echocardiography, the right atrial tumor was revealed to have a mobile and tail-like surface projection. In addition, computed tomography showed that an embolus was wedged into the left pulmonary artery. We performed an emergency surgery to remove both the right atrial tumor and the pulmonary embolus. Histopathological examination revealed them both to be myxoma. Right atrial myxoma with a large pulmonary tumor embolus is a serious condition and emergency surgery to remove both cardiac tumors and pulmonary emboli should be performed to avoid the risk of sudden death.
INTRODUCTION
Cardiac myxoma most often arises in the left atrium (85%), and rarely in the right atrium (10%) or the ventricles (5%) [1]. Although cardiac myxoma is histologically benign, it must be classified as a potentially fatal tumor because of possible embolic complications. We here report a case of a right atrial myxoma with a large tumor embolus in the left pulmonary artery.
CASE REPORT
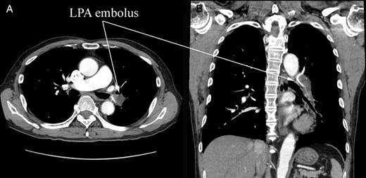
A 74-year-old male patient was referred to our hospital for the treatment of a right atrial tumor. He had experienced the sudden onset of dyspnea and had gone to another hospital. There, transthoracic echocardiography revealed the right atrial tumor. After his transfer to our hospital, transthoracic echocardiography was performed again. The right atrial tumor, which adhered to the interatrial septum, had a tail-like surface projection. The tumor projection was mobile and prolapsed into the right ventricle during diastole (Fig. 1). In addition, the right cardiac cavities were dilated and the estimated right ventricle pressure was 63 mmHg, which suggested the presence of moderate pulmonary hypertension. Subsequently, computed tomography (CT) showed that the left pulmonary artery was occluded by a large embolus (Fig. 2). Because the embolus formed acute angles with the vessel wall, acute pulmonary embolism was highly suspected. We performed an emergency surgery for the removal of both the right atrial tumor and the embolus in the left pulmonary artery.

Preoperative transthoracic echocardiography. The right atrial tumor (40 × 20 mm) originated from the interatrial septum. The tumor had a tail-like surface projection, which prolapsed into the right ventricle during diastole. RV, right ventricle; RA, right atrium.

Preoperative CT. (A) Cross section and (B) coronary section. A large embolus stuck into the left pulmonary artery (LPA). The embolus formed acute angles with the vessel wall, which suggested an acute pulmonary embolism.
In the supine position, a median sternotomy was made. Cardiopulmonary bypass was established by ascending aortic and bicaval cannulation without inducing hypothermic circulatory arrest. When the right atrium was opened, we observed a gelatinous and irregular shaped tumor with a multipapillary surface (Fig. 3). Because the tumor was fragile and its attachment could not be confirmed as it was, the majority of the tumor was crushed and the remaining part, which adhered to the fossa ovalis, was resected with the interatrial septum. The defect of the interatrial septum was closed by an autologous pericardial patch. Finally, the main pulmonary artery was opened and the embolus, which was wedged into the left pulmonary artery, was removed (Fig. 4). Histopathological examination showed that both the right atrial tumor and the pulmonary embolus were myxoma. Postoperative course was uneventful and recurrence of the tumor was not observed at 2 years postoperatively.

Gross appearance of the right atiral tumor. The right atrial tumor was gelatinous and irregular shaped with a multipapillary surface (arrow). asc. Ao, ascending aorta; RA, right atrium; RV, right ventricle; SVC, superior vena cava; IVC, inferior vena cava.

Gross appearance of the pulmonary tumor embolus. The size of the embolus was 64 × 20 mm. Although most of the embolus was soft and gelatinous, it was partly organized and solid.
DISCUSSION
Cardiac myxoma mostly arises in the left atrium, and rarely in the right atrium [1]. Embolic complications occur in 30–40% of patients with cardiac myxoma [2]. In cases of left atrial myxoma, systemic embolism is frequent. Brain infarction, occlusion of the peripheral arteries and visceral arteries, such as renal and coronary arteries, can occur [3]. Meanwhile, in cases of right atrial myxoma, pulmonary embolism is a serious complication [2]. If patients with a right atrial myxoma present with symptoms of breathlessness, chest CT should always be performed to identify pulmonary embolism. Conversely, in patients with pulmonary embolism, it is important to consider a right atrial myxoma as one of the possible causes.
The morphology of cardiac myxoma is the most predictive factor of embolic events. Villous or papillary myxomas, which are less common, are more fragile and easily embolized than round-shaped myxomas with a smooth surface [4]. The villous or papillary myxomas are defined as having a surface that consists of multiple fine surface extensions. These surface extensions are so fragile that they can easily break into fragments [5]. Although the morphologic features of the cardiac myxoma in our case were compatible with papillary myxoma, there was the complication of a large tumor embolus. We considered this to be related to the size and fragility of the tumor. It has been previously reported that tumor size is inversely related to embolic event rates and friable myxomas cannot grow large because of their tendency toward fragmentation [6]. However, large fragments generate large tumors at a certain size, while the total detachment of cardiac myxomas is extremely rare [7]. Indeed, tumor size is inversely related to the embolic event rate, but related to the size of emboli.
The standard treatment for cardiac myxoma is surgical removal. Surgery for cardiac myxoma should be performed immediately after the diagnosis is established, due to possible embolic or obstructive complications [4]. Our patient underwent an emergency surgery, because the left pulmonary artery had already been occluded. If further embolism had occurred in the right pulmonary artery, the patient's condition could have become fatal. Furthermore, in cases with large pulmonary tumor embolism, pulmonary embolectomy is also necessary to prevent right ventricular dysfunction due to chronic pulmonary hypertension. Although cases of pulmonary embolectomy under hypothermic circulatory arrest have been reported [8], we think that hypothermic circulatory arrest is not necessary for pulmonary embolectomy in the cases with cardiac myxoma. Because large tumor pulmonary embolism is an acute and symptomatic condition, the period from onset to treatment is short, which suggests little possibility of adhesion between the tumor embolus and the endothelium of pulmonary arteries. This pathological condition is similar to acute pulmonary thromboembolism. When embolectomy for acute pulmonary thromboembolism is performed, hypothermic circulatory arrest or cardiac arrest is not mandatory [9]. In our case, the findings of preoperative chest CT and echocardiography suggested the occurrence of acute pulmonary embolism [10]. Indeed, we could easily remove the tumor embolus using forceps without pulmonary endarterectomy, which required deep hypothermic circulatory arrest.
In conclusion, right atrial myxoma with a large pulmonary embolus is a rare, yet fatal condition, if appropriate treatment is not given. After diagnosis of cardiac myxoma is confirmed, prompt surgery should be performed to remove both the cardiac tumor and the pulmonary embolus.
CONFLICT OF INTEREST STATEMENT
None declared.