-
PDF
- Split View
-
Views
-
Cite
Cite
Michael R. Boland, Gary A. Bass, Ian Robertson, Thomas N. Walsh, Cholecystogastric fistula: a brief report and review of the literature, Journal of Surgical Case Reports, Volume 2013, Issue 4, April 2013, rjt028, https://doi.org/10.1093/jscr/rjt028
Close - Share Icon Share
Abstract
Cholecystogastric fistula is a rare, life-threatening complication of cholelithiasis that presents a difficult challenge to the surgeon when it occurs in elderly and co-morbid patients. Following a case of a 68-year-old female who presented with a short history of epigastric pain and vomiting, and in whom a cholecystogastric fistula was identified on abdominal computed tomography and confirmed on upper gastrointestinal endoscopy, we performed a systematic review of the literature on the management of cholecystogastric fistula. Our patient underwent laparotomy without excision of the fistula nor cholecystectomy and had an uncomplicated post-operative course. Surgical management using an open approach remains the mainstay of treatment of cholecystogastric fistula although laparoscopic techniques are used with increasing success. Surgical closure of the fistula is not always necessary. Improved surgical techniques including the use of laparoscopic surgery have led to improved outcomes in the management of cholecystogastric fistula.
INTRODUCTION
Cholecystogastric fistulas are an uncommon but dramatic complication of cholelithiasis [1]. Although well described in the literature, there remains some debate as to the optimal surgical management of these complex problems [1–3].
CASE REPORT
We present the case of a 68-year-old Caucasian female who presented to our institution, having been referred by her GP, with a 6 week history of epigastric pain, nausea and multiple episodes of vomiting. Her medical history was significant for a left breast wide local excision for ductal carcinoma in situ as well as sero-negative rheumatoid arthritis. Her regular medications included methotrexate, folic acid and a proton pump inhibitor. Notably she had no history of foreign body ingestion, malignancy, radiotherapy or inflammatory bowel disease. She also had no history of previous gastrointestinal tract obstruction.
On examination she was haemodynamically stable and apyrexial. Her abdomen was soft except for some tenderness on superficial palpation of her right upper quadrant and she had a positive Murphy's sign. There was no organomegaly, scars, herniae or masses. On haematological testing she was found to have a normocytic anemia with a haemoglobin level of 10.9 g/dl with a mean corpuscular volume of 88.6 fl. Her white cell count was 4.4 and her platelet count was 409. Her renal function was normal and inflammatory markers were as follows: C-reactive protein = 33.4 mg/l, erythrocyte sedimentation rate = 52 mm/h. More importantly, results of her liver function tests, amylase and lactate dehydrogenase are as follows: bilirubin 5 μmol/l, alanine transferase 13 U/l, alkaline phosphatase 117 U/l, gamma glutamyltranspeptidase 68 U/l, albumin 37 g/dl, amylase 14 U/l and lactate dehyrogenase 167 U/l.
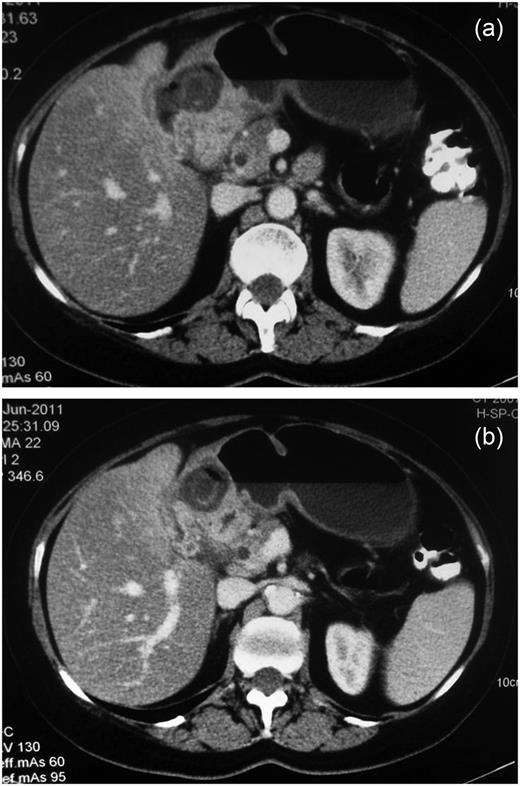
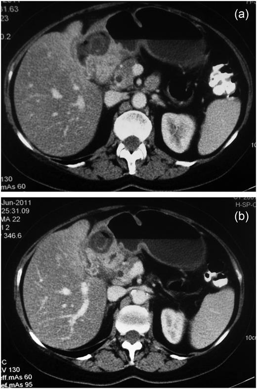
Radiological examinations performed included a chest/abdominal radiograph which were normal. The patient proceeded to have a computed tomography scan of the abdomen and pelvis with oral and intravenous contrast as shown in Fig. 1a and b. The CT scan shows a large gallstone as well as air within the gallbladder. The gallbladder is adherent to the distal gastric antrum and there is a slight deficiency of the wall of the gallbladder that appears to communicate with the antrum indicating a cholecystogastric fistula. There are some mild associated inflammatory changes around the gallbladder.

Ultrasound and gastroscopy was then recommended. The ultrasound of the biliary tree performed showed the gallbladder indenting on the gastric antrum with a fistula present between the two. There was also extensive thickening of the gallbladder wall. Air was seen to pass from the stomach around the gallstones in the gallbladder. The patient then proceeded to upper gastrointestinal tract endoscopy as shown in Fig. 2a and b.

The image shows a large visible gallstone and cholecystogastric fistula in the antrum of the stomach. Endoscopic retrieval of the stone failed and the patient proceeded to urgent open gastrostomy with removal of the stone. Intra-operative images are shown in Fig. 3a–c.

(a–c) Intraoperative visualization of fistula and gall stone, specimen removed.
Once removed, the stone measured just <3 cm. Of note, the fistula was not repaired and the patient had an uneventful post-operative course. She was discharged home in the following week and has been seen since in the outpatient department and is very well. As the only visible stone was removed, the patient did not require interval cholecystectomy.
DISCUSSION
Biliary fistulas occur in 3–5% of patients with gallstones [1], with the duodenum being the most common site of fistulation followed by the stomach [2]. The risk with fistulation is subsequent obstruction of the gastrointestinal tract which, interestingly, is reported to occur most commonly in the terminal ileum and ileocecal valve [3]. In our case, the patient displayed signs of gastric obstruction, which when due to a fistulating gallstone, is termed Bouveret's syndrome. This most commonly occurs in females in the seventh and eighth decades of life [4]. Previous reports of Bouveret's syndrome have also described an insidious clinical course [3] and whilst this syndrome remains a rare clinical entity it is worth considering when evaluating elderly patients with chronic abdominal pain. With regards to imaging, CT remains the modality of choice when investigating a patient with suspected gallstone ileus and will also indicate the presence, or not, of Rigler's Triad—intestinal obstruction, pneumobilia and ectopic stone [5].
Cholecystogastric fistulas have been reported as far back as 1968 [6] and whilst once associated with high mortality the majority are now managed successfully due to improved radiological and endoscopic modalities and subsequent surgical intervention, as demonstrated in this case. Many still argue that ‘one-stage’ surgery involving stone removal, fistula repair and cholecystectomy remains the only effective means of treatment [7]. However, whilst our patient also underwent ‘one-stage’ surgery she did not have the fistula repaired and her gallbladder was left intact. There is also increasing evidence for the use of interval cholecystectomy in patients where the removal of the gallbladder at the time of first operation is deemed inappropriate [8, 9]. Some may argue that the patient should have undergone ‘two-stage’ surgery and return for cholecystectomy and fistula repair given the risk of disease recurrence. However, our patient experienced minimal morbidity and has no necessity for further surgery with the fistula closing spontaneously. Interestingly, Chowbey et al. investigated the role of laparoscopic cholecystoenteric fistula transection using an endostapler with good results [2], avoiding contamination of the peritoneal cavity. Intracorporeal suturing of the fistulous defect is another laparoscopic option [1, 2].
Endoscopic treatment of cholecystogastric fistulas often offers a safer and more prudent solution to the problem given the patient group and likely associated co-morbidities. The patient in this case had failed endoscopic retrieval of the gallstone. The presence of large gallstones (>3 cm), GIT haemorrhage, stone impaction and improper or partial stone manipulation are often the mitigating factors for such failure [10] and so surgical intervention is warranted. However, endoscopic lithotomy or lithotripsy should always be considered before surgery [10].
In conclusion, this case demonstrates that ‘one-stage’ surgery involving stone excision, without fistula repair and cholecystectomy, is a viable treatment option for patients presenting with cholecystogastric fistulas. Endoscopic treatment should always be considered. Finally, CT remains the modality of choice when assessing patients who present with the symptoms/signs of intestinal obstruction secondary to an ectopic gallstone.