-
PDF
- Split View
-
Views
-
Cite
Cite
P Andrejevic, D Gatt, The bubbling neck: A rare complication from colonoscopy, Journal of Surgical Case Reports, Volume 2012, Issue 4, April 2012, Page 3, https://doi.org/10.1093/jscr/2012.4.3
Close - Share Icon Share
Abstract
A 70 year old lady presented to the emergency department complaining of “bubbling neck’’ and abdominal discomfort. She underwent diagnostic colonoscopy six hours before admission. Clinical examination showed a haemodynamically stable patient and imaging revealed free air in all body compartments. We report a rare case of micro perforation during diagnostic colonoscopy with massive distribution of air in all body compartments, which was successfully treated conservatively.
INTRODUCTION
Fiberoptic endoscopes are the most commonly used instruments to evaluate colonic pathology in modern day practice. The procedure is considered to be safe but complications such as bleeding and perforation, although rare may occur and may even be lethal especially in cases of late detection. Intraperitoneal perforations are relatively common and their incidence may be quoted anywhere between 0.1% and 3% of therapeutic colonoscopies (1-4). Extraperitoneal manifestation of perforation is however very rare.
We present the case of combined pneumoperitoneum, pneumoretroperitoneum, pneumomediastinum, pneumopericardium and subcutaneous emphysema after sub mucosal tear of the ascending colon, without evidence of intraperitoneal sepsis.
CASE REPORT
A 70 year old female patient, who underwent routine colonoscopy for high grade dysplastic colonic polyps, presented to our emergency department six hours after the procedure, complaining of “bubbling neck” and general abdominal discomfort.
Clinical examination revealed a haemodynamically stable patient with normal pulse rate and blood pressure. Subcutaneous emphysema was detected in the neck and thorax. There was no respiratory compromise and abdominal examination showed only minimal tenderness in the lower abdomen.
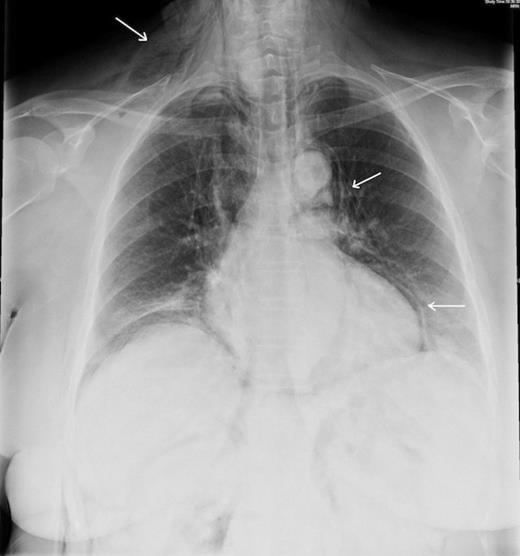
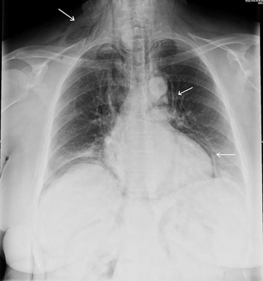
Full blood count was normal and a chest radiograph on admission showed subcutaneous emphysema, pneumo-mediastinum and pneumopericardium but no other abnormality (fig. 1). Computerised Tomography of the abdomen showed in addition, pneumoperitoneum and pneumoretroperitoneum (fig. 2). A water-soluble contrast examination of the colon failed to reveal evidence of a colonic perforation.

CXR showing subcutaneous emphysema, pneumomediastinum and pneumopericardium

The patient was treated conservatively and on the fifth post admission day she was discharged home.
DISCUSSION
The rate of colonic perforation with regards to colonoscopy ranges from 0.1% to 3.0% (1-4). Previous studies reported that perforation is more common with therapeutic colonoscopies compared to the diagnostic colonoscopy 0.44% vs. 0.16% (1). The commonest sites of colonic perforation are sigmoid and hepatic flexure, these being the most difficult areas to negotiate with the scope. The cause of perforation is described by three different mechanisms (5):
Pneumatic
Mechanical
Associated with therapeutic colonoscopy
Immediate perforation is caused by direct trauma from excessive pressure or electrocautery; delayed perforation is usually due to necrosis. Brayko et al. investigated eleven sigmoid colons insufflated with air via colonoscope in human cadavers. Serosal tears occurred at mean pressure of 202 + 15mmHg, and mucosal rupture occurred at mean pressure of 226 + 14mmHg. They concluded that sigmoid perforations occurred more commonly as a result of instrument trauma rather than excessive insufflation (6). In our case minor subserosal tear was noticed after difficult hepatic flexure negotiation and the procedure was abandoned. Forcible herniation of the colonic mucosa becomes permeable to air without visible perforation and then the air may pass into the peritoneal cavity (complete perforation) or may lead to retroperitoneal gas collection and extension to the mediastinum and neck (incomplete perforation) (7). The reason is anatomical spread through the retroperitoneal fascial compartment, which extends through the posterior mediastinum to the neck. The air may enter the retroperitoneum via a mesenteric route, via direct perforation or even via pneumatosis cystoides coli; then it may dissect along structures passing into the periphery including the great vessels and psoas muscle as in our case. Mansfield and colleagues histologically demonstrated the existence of potential communication between the mediastinum and the pericardium at the ostia of the pulmonary veins (8) and this may explain the pneumopericardium in our patient.
Although CXR may diagnose intraperitoneal perforation it is not sensitive enough. Contrast studies are also unreliable. The investigation of choice is computerized tomography with which the exact type of perforation can be identified.
In conclusion, we have presented a rare case of extra peritoneal micro perforation during diagnostic colonoscopy, with subsequent air distribution into all body compartments. To our knowledge this is the first such case report.
The traditional treatment of colonic perforation consists of laparotomy and over suturing if the colon is clean, or exteriorization of the colonic ends if soiled; however non- operative management may be appropriate in patients with no evidence of peritonitis. It is important to be aware that impressive radiological findings without the signs of general peritonitis should not preclude a conservative approach to management.
Any deterioration in general condition or clinical signs will naturally warrant surgical intervention by open or minimal access approach.