-
PDF
- Split View
-
Views
-
Cite
Cite
E Iacovou, M Nayar, J Fleming, S Lew-Gor, A pain in the neck: a rare case of isolated hyoid bone trauma, Journal of Surgical Case Reports, Volume 2011, Issue 7, July 2011, Page 3, https://doi.org/10.1093/jscr/2011.7.3
Close - Share Icon Share
Abstract
We report the first case of dislocation of the symphysis between the great cornu and the body of the hyoid bone following strangulation in survivors. The present paper presents a rare case of injury to the hyoid bone and reviews the current knowledge on hyoid bone injuries in survivors.
INTRODUCTION
Injuries to the hyoid bone are rare. The most commonly reported injury is fracture, yet this is often a post-mortem finding, with an incidence of between 17-76% (1) in victims of strangulation and hanging. In survivors it is more often associated with a trauma other than manual strangulation. We describe the first case of delayed presentation of an isolated traumatic dislocation of the greater cornu of the hyoid bone, with a review of the literature of hyoid bone injuries in surviving patients.
CASE REPORT
A 35 year old man presented to Accident and Emergency with a history of strangulation twelve days previously. His symptoms on presentation were a constant and severe neck pain, localized on the left side, with marked odynophagia. He did not complain of any voice changes and had no signs of airway compromise. On examination there was tenderness on palpation of the left hyoid bone. Flexible nasal endoscopy showed a patent airway and revealed a small haematoma of the right vocal cord.
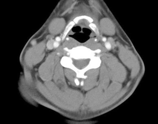
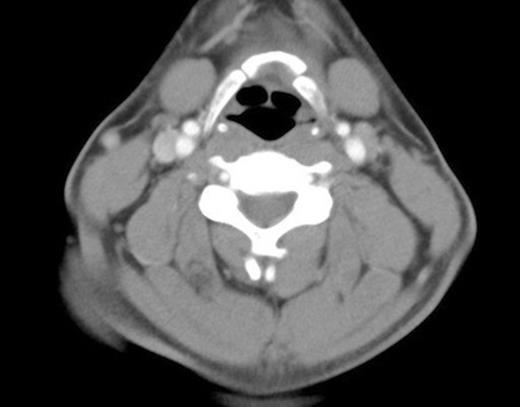
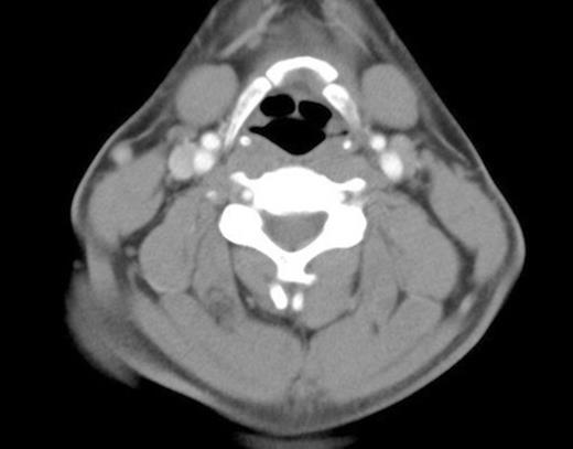
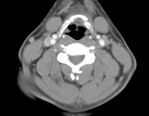
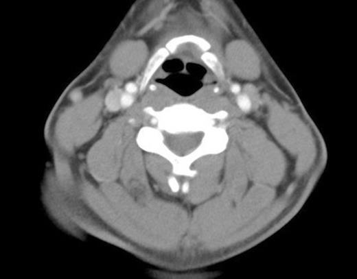
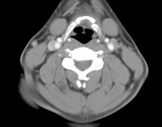
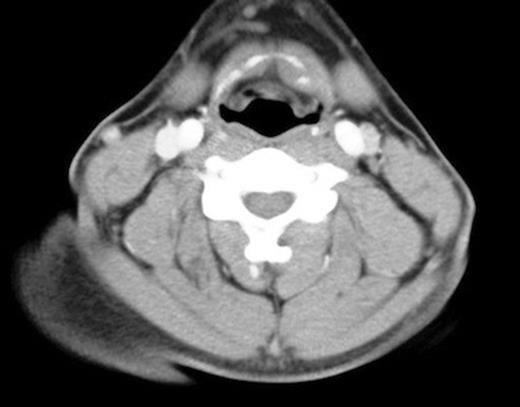
The mechanism of injury and examination findings raised a clinical suspicion of a severe traumatic insult, and he was admitted on the ENT ward to undergo an urgent CT scan of the neck. This demonstrated dislocation of the symphysis between the left medial greater cornu and left body of the hyoid (figure 1).

Dislocation of the symphysis between the left greater cornu and the body of the hyoid bone
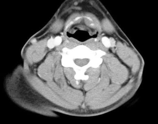
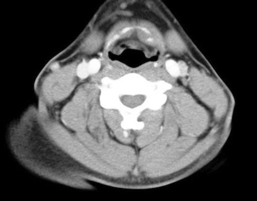
There was minor asymmetry of the valeculla and the left vocal cord (figure 2), but otherwise no significant airway compression. Management involved conservative treatment only with appropriate analgesia. On examination two weeks later, all his symptoms had settled. Repeat flexible nasal endoscopy showed only soft tissue swelling and minor asymmetry of the left valeculla.

DISCUSSION
Derived from the Greek word hyoeides meaning “shaped like the letter upsilon” (2), the hyoid bone is a horseshoe-shaped bone situated at the anterior midline of the neck. It’s the only bone in the body not articulated to any other bone. This allows a wider range of tongue, pharyngeal and laryngeal movements. The hyoid bone of the neck is very rarely susceptible to trauma due to its position. It is a very mobile structure and is well protected by the mandible and the cervical spine. Therefore a severe neck injury results in damage of the structures that protect the hyoid bone, and multiple bone fractures rather than causing isolated hyoid bone fracture. (3)
Whilst this case concerns an isolated dislocation within the hyoid bone, hyoid bone fractures are a much more commonly reported injury. However, they only account for 0.002% of all fractures (4). Most of reported isolated hyoid bone fractures are usually the result of direct trauma to the neck through manual strangulation or hanging, blunt trauma or from projectiles. In the world literature fracture of the hyoid bone is reported with a frequency of 17-71% (1) as a post-mortem finding in strangulation and hanging.
Although it is well recognised in autopsy series, fracture or other trauma of the hyoid bone is extremely rare as an isolated finding in survivors from manual strangulation. The English literature reports 2 cases that involve fractures of the greater cornu of the hyoid bone (1). Our case is the first case of dislocation of the symphysis of the hyoid bone following strangulation in survivors.
Vanezis states that hyoid bone fractures are more common with increasing age due to increased calcification. In his series of twenty-six cases all victims >50 years showed fracture of the hyoid bone, whilst of those <50 years only 50% had fractures (5). Harm and Rajs in their series of cases also showed that incidence of hyoid bone fracture reflects changes with increasing age (6). The importance of recognising hyoid bone injury is crucial due to fatal potential complications if the diagnosis is missed. Patients can present with neck ecchymosis, odynophagia, tenderness on palpation of the neck, haemoptysis, pharyngeal lacerations, crepitus, pain on neck rotation, dysphagia, dysphonia and stridor. Stridor is the result of compressive haematoma formation and soft tissue swelling that may compromise airway patency.
If there is clinical suspicion of hyoid bone injury, clinical examination and imaging are essential. Due to the rarity of this clinical condition diagnosis is difficult. The patient should be assessed with flexible nasoendoscopy that can reveal pharyngeal lacerations, vocal cord haematoma or oedema and obstruction of the airway. In our case the only sign of trauma was a haematoma of the right vocal cord but focal findings such as this should lead the clinician to suspect a significant trauma force to cause associated injuries.
Radiological evidence of hyoid bone fracture provides the correct diagnosis and appropriate modalities are a lateral neck X ray and CT scan of the neck.
Clinical manifestation of the fracture might be variable and leads to variable management strategies. Patients with mild symptoms, without airway compromise should be managed conservatively, with analgesics and close observation. Patients with respiratory distress might require endotracheal intubation or emergency surgical airway in the form of tracheostomy.
From the clinical point of view observation is important. One patient in the world literature developed acute airway obstruction fifty-one hours after the initial injury. Szeremeta et al (2) recommend that the patient should be observed for at least 48 to 72 hours in case of airway obstruction as late complication.
Hyoid bone injuries are rare in survivors from manual strangulation. Strong clinical suspicion based on the mechanism of the injury is the key to diagnosis. Due to their low incidence, hyoid bone fractures/dislocations can be easily missed. Symptoms vary from mild neck pain to severe, acute airway compromise, which may prove fatal. Physical examination of the neck, flexible nasoendoscopy and imaging are essential. Management is symptomatic. Late airway obstruction has been reported in one case. In case of airway compromise, emergency tracheostomy is mandated.