-
PDF
- Split View
-
Views
-
Cite
Cite
M Kapan, A Önder, M Gümüş, H Gümüş, S Girgin, Retroperitoneal schwannoma, Journal of Surgical Case Reports, Volume 2011, Issue 10, October 2011, Page 1, https://doi.org/10.1093/jscr/2011.10.1
Close - Share Icon Share
Abstract
Retroperitoneal schwannomas are rare tumors and a correct pre-operative diagnosis is often not possible. They are usually identified incidentally via cross-sectional imaging. Diagnosis is based on histopathologic examination and immunohistochemistry. A 57-year-old man with a retroperitoneal schwannoma, as an unusual localisation, is presented.
INTRODUCTION
Schwannomas are usually present in cranial and peripheral nerves in the head and neck or in the upper extremites (1,2). However schwannomas may appear in the posterior mediastinum, and more rarely in the retroperitoneum, accounting for approximately 3% of all schwannomas. Retroperitoneal schwannomas (RSs) are usually found in the paravertebral space or presacral region (1,3). Schwannomas are usually benign, but infrequently undergo malignant transformation (1). In the present study, we report a 57-year-old man with a benign RS, as an unusual localisation.
CASE REPORT
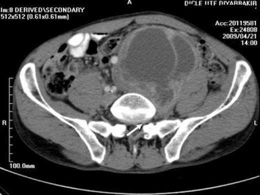
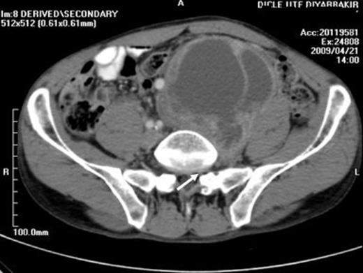
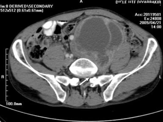
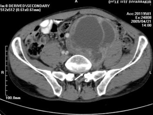
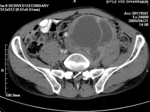
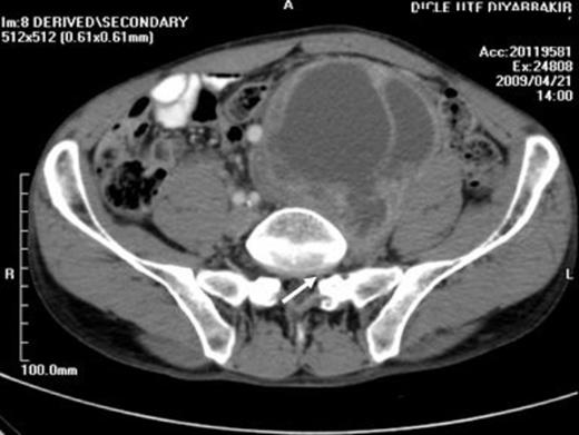
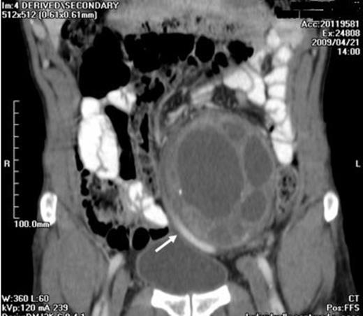
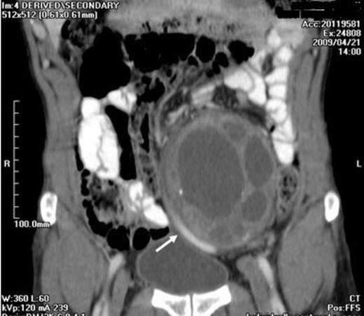
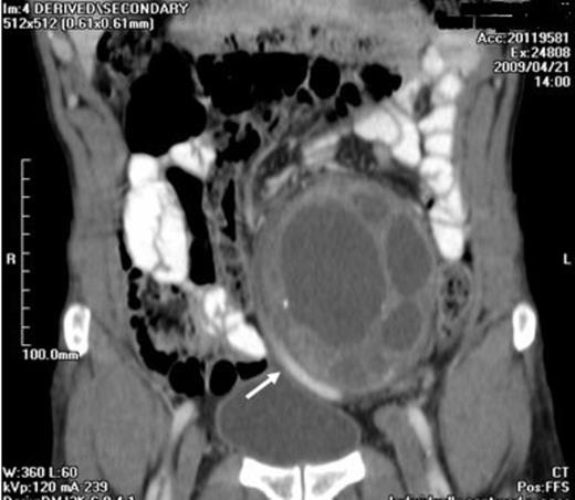
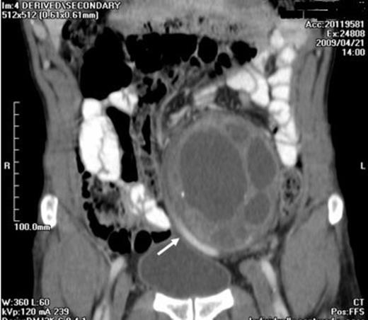
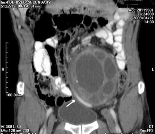
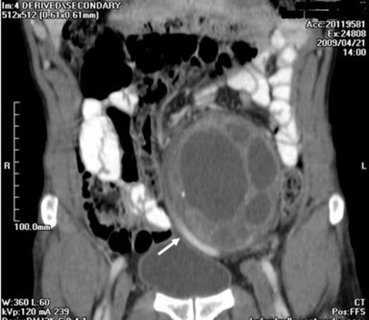
A 57-year-old man presented with a 3-month history of vague abdominal pain. There was no family history of RSs. The bowel and bladder habits were normal. On physical examination, there was a large, firm, non-tender palpable abdominal mass behind the umbilicus. There was no palpable lymphadenopathy. All vital signs, the chest X-ray, haemogram, biochemical analysis and tumor markers were normal. Computed tomography (CT) confirmed a 9×9x12 cm large, heterogeneous, multilocular, cystic mass with a thick wall and irregular septum in the left retroperitoneal area (Figure 1).

A CT image showing a heterogeneous, multilocular, cystic mass which is localized to the anteromedial aspect of the psoas muscle begining from the left L5 - S1 intervertebral foramina
It was localised to the anteromedial aspect of the psoas muscle extending from L4 to S1. The left common iliac, external and internal iliac arteries were displaced medially and both the external and internal iliac veins were dilated. The common iliac vein was not separated from the mass. (Figure 2)

Based on these, the patient underwent surgery. Intra-operatively, the lobulated cystic encapsulated mass was found to be retroperitoneal in location. The mass was densely adherent to the adjacent tissues and the left common iliac vein. The mass was dissected from all adjacent tissues and completely excised from the paravertebral region. Macroscopically, the mass was cystic and well-circumscribed, with a diameter of 10×11x4 cm and weight of 255 g. (Figure 3)

The tumor was positive for S-100 protein. Histopathology was consistent with a RSs. The post-operative course was uneventful. During the follow-up, there was no evidence of recurrence.
DISCUSSION
Schwannomas are usually encountered in young to middle-aged adults, and women are affected twice as often as men (2,4). Neurologic symptoms are rare in such cases (1). A few cases also present with abdominal complaints or lower back pain (5). Abdominal complaints with some digestive disturbances are mainly vague and poorly localised (1).
Macroscopically, RSs are encapsulated, solitary, and well-circumscribed tumors (1). On microscopy, schwannomas are composed of schwann cells with regions of high and low cellularity (Antoni A and B areas, respectively) with intense staining of S100 protein (1,2). The positive expression of S-100 protein is valuable for diagnosis (6).
The masses are usually determined via pre-operative cross-sectional imaging. But none of the modalities detect any specific characteristics for this tumor (1). The presence of a cystic mass with semisolid areas in the retroperitoneum may suggest the diagnosis (1). Ultrasound and CT are helpful in differentiating retroperitoneal tumors (5). Magnetic resonance imaging is an alternative and allows better visualization of the tumor origin, vascular architecture, and involvement of other organs (1). Sometimes, a CT-guided biopsy may be helpful in the determination (1,2). The risks of percutaneous biopsy are haemorrhage, infection, and tumor seeding; therefore, this modality is not recommended as a diagnostic tool (1).
Complete surgical excision is the only valid treatment for schwannomas; since, schwannomas are not sensitive to radiotherapy and chemotherapy (6). However, the necessity for negative soft tissue margins is controversial especially when adjacent tissue or viscera need to be sacrificed. Although some advocate complete excision if necessary, others believe that simple enucleation or partial excision is sufficient (1). The prognosis of benign schwannomas is good and the most frequent complication is recurrence, probably due to incomplete excision, which is reported in 5-10% cases (3).
In conclusion, retroperitoneal Schwannomas are usually identified incidentally via cross-sectional imaging. Diagnosis is based on post-operative histopathologic examination and immunohistochemistry. Total excision has a therapeutic effect and a good prognosis (4).