-
PDF
- Split View
-
Views
-
Cite
Cite
Choon K. Gan, William Wong, Fung J. Foo, David Hodgson, Rachel Archibald, Srinivasan. Ravi, Ruptured internal iliac artery aneurysm presenting as Cullen’s sign, Journal of Surgical Case Reports, Volume 2010, Issue 9, November 2010, Page 9, https://doi.org/10.1093/jscr/2010.9.9
Close - Share Icon Share
Abstract
Cullen’s sign or periumbilical ecchymosis, is classically considered as an indicator of acute hemorrhagic pancreatitis or ruptured ectopic pregnancy. Internal iliac artery aneurysms are rare and are usually asymptomatic. We present a case of a contained rupture of the internal iliac artery aneurysm presenting with Cullen’s sign.
INTRODUCTION
Thomas S. Cullen, Canadian Gynaecologist in John Hopkins University first described periumbilical ecchymosis as a result of ruptured ectopic pregnancy in 1918.(1,2) It is also a sign associated with acute haemorrhagic pancreatitis and has been reported previously with a ruptured abdominal aortic aneurysm(3). We describe a case of a contained rupture of the internal iliac artery aneurysm presenting as Cullen’s sign.
CASE REPORT
A 66 year old man presented with a three day history of abdominal pain and one day history of umbilical discolouration. The pain started in the right lower abdomen, radiating to the back and the right groin. There was associated vomiting. He had a past medical history of chronic obstructive pulmonary disease, ischaemic heart disease, hypertension, hyperlipidaemia and previous coronary artery bypass graft. He was an ex-smoker and was overweight. He was on aspirin but not on anticoagulants.
Observations were stable. His abdomen was soft, with tenderness across the lower abdomen and periumbilical bruising. (Figure 1)

He had C-reactive protein of 38 mg/L and lactate of 4.42 mmol/L. Haemoglobin was 10.8 g/dL and amylase was normal. An urgent computerised tomography (CT) scan was done.
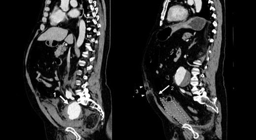
This showed an infrarenal aneurysm of the abdominal aorta measuring 6.5cm and a 6.7cm aneurysm of the right internal iliac artery. Additionally, a mass was also noted arising superiorly from the bladder towards the umbilicus and was reported to be arising from the urachus. (Figure 2)

Sagittal views of CT Abdomen-pelvis showing internal iliac artery aneurysm (Arrow 1) and haematoma formation anterior to the bladder (Enclosed dotted lines) with blood tracking up the lateral umbilical ligament (Arrow 2) towards the umbilicus causing Cullen’s sign (Arrow heads 3).
There was a clear plane between this mass and the rectus muscle. No free fluid was noted in the abdominal cavity.
The patient underwent an immediate laparotomy as he became unstable. Intra-operative findings confirmed extensive haematoma within the lateral umbilical fold, tracking retroperitoneally to the contained rupture of the right internal iliac artery aneurysm. Proximal control was gained above the infrarenal abdominal aortic aneurysm and repair of both was undertaken with bifurcated Dacron graft, anastomosed onto the left common iliac artery and the right external iliac artery, as the origin of the right common iliac artery was also aneurysmal. The internal iliac artery aneurysm was ligated proximally and distal portion of the sac was oversewn to prevent back-bleeding.
DISCUSSION
Periumbilical ecchymosis, or Cullen’s sign, is the discolouration of the skin around the umbilicus. This periumbilical discolouration may vary in colour in relation to the stage of haemolysis. Traditionally this is associated with acute haemorrhagic pancreatitis as blood tracks via the falciform ligament. Periumbilical ecchymosis may also occur in a myriad of conditions where haemoperitoneum is present as blood tracks from the fascia towards the tissues surrounding the umbilicus. This has been reported in ruptured intra-abdominal viscera (spleen, aortic aneurysm, common bile duct), ruptured ectopic pregnancy, perforated duodenal ulcer, percutaneous liver biopsy and malignancy (hepatocellular carcinoma, hepatic lymphoma and metastatic thyroid cancer).(4)
Internal iliac artery aneurysms (IIAA) are rare and account for approximately 0.3% of all intra-abdominal aneurysms(5), with a 10-20% coexistence with aortic aneurysms. Due to its location and the fact that it is usually asymptomatic, it often presents late with signs and symptoms of an acute abdomen or local compressive symptoms and has a high incidence of rupture. Unsurprisingly, the mortality rate is rather high at 58%. About 38% of IIAAs rupture at presentation.(5)
In this particular instance, the internal iliac aneurysm on the right had ruptured into the retroperitoneum. The blood appears to have tracked up along the obliterated umbilical artery, which is one of the branches of the internal iliac artery. This artery courses as the lateral umbilical ligament in the posterior abdominal wall from the pelvis to the umbilicus. It runs alongside the median umbilical ligament (urachus). Clearly, as shown by the accompanying CT image, the contained rupture had tracked along the lateral umbilical ligament and revealed itself in the form of ecchymosis around the umbilicus.
This case shows that when Cullen’s sign is encountered, it signifies bleeding and the source need to be determined with urgency.