-
PDF
- Split View
-
Views
-
Cite
Cite
IA Thangasamy, RA Silcock, Caecal bascule: a rare complication following emergency caesarean section, Journal of Surgical Case Reports, Volume 2010, Issue 7, September 2010, Page 8, https://doi.org/10.1093/jscr/2010.7.8
Close - Share Icon Share
Abstract
Caecal bascule is an unusual type of volvulus that presents a challenging diagnosis for clinicians. We present a case of a forty-two year old female who developed a perforated caecal bascule five days post emergency caesarean section. The diagnosis of caecal bascule was made intraoperatively during a hemicolectomy. Greater awareness of this phenomenon and its clinical and radiological findings is important to avert the development of bowel perforation or gangrene.
INTRODUCTION
Although caecal volvulus is a well described entity, it is relatively uncommon.(1,2) Of these, approximately ten percent are caecal bascules.(3) The occurrence of intestinal volvulus in pregnancy is rare.(4) We report a case of a forty-two year old female who developed a caecal bascule post emergency caesarean section. To our knowledge this is the first reported case of this kind.
CASE REPORT
A forty-two year old multiparous Caucasian female presented at 36 weeks gestation feeling acutely unwell and vomiting. Her membranes had spontaneously ruptured the previous day. The pregnancy had otherwise been uneventful with no history of infections or bleeding. Routine ultrasound scans at twenty weeks gestation had shown a live foetus of normal size with no dysmorphic features.
Her past obstetric and medical history was unremarkable. The patient had had two previous normal vaginal deliveries over seventeen years ago. She had not undergone any previous abdominal surgery.
On initial assessment, the patient was febrile (38.0OC) with a tender uterus. She was not in labour and her cervix was not dilated. Cardiotocography was abnormal with baseline tachycardia and broad decelerations. An emergency caesarean section was performed. A small (2304g) male infant was born with Apgar scores of four, six and nine at one, five and ten minutes respectively. Liquor was clear but offensive. Inspection of the fallopian tubes and pelvic peritoneum was normal. Chorioamnionitis from pre-term ruptured membranes was diagnosed. The patient received intravenous antibiotics, and her inflammatory markers and white cell count settled.
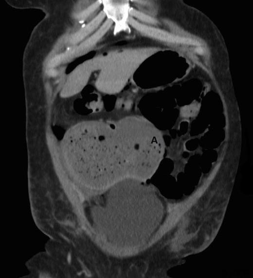
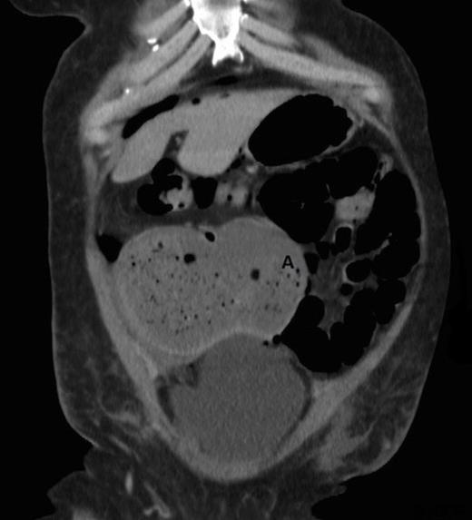
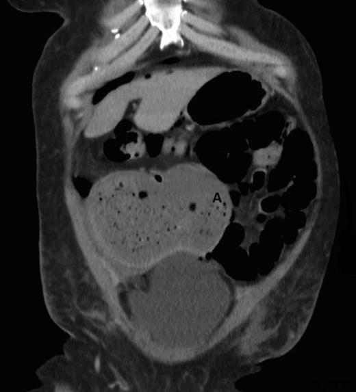
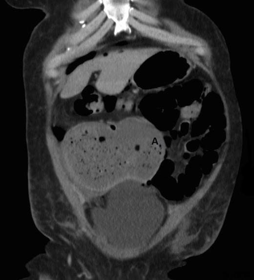
On the first post-operative day, the patient developed a grossly distended abdomen. Paralytic ileus was presumed and the patient was maintained nil by mouth for several hours until she passed flatus. Her abdomen remained distended over the next five days and she continued to complain of intermittent abdominal discomfort. During this time, however, she was tolerating a normal diet and passed loose stools on two occasions. On the fifth post-operative day she complained of a sudden increase in pain and a “popping” sensation in her lower abdomen. Laboratory results after this event, showed a marked inflammatory picture, with a white cell count of 12.5×109/L and C-reactive protein of 203.8mg/L. Abdominal x-ray showed free intraperitoneal gas but no evidence for overt bowel obstruction. A computerised tomography (CT) scan of the abdomen and pelvis with oral and IV contrast showed the caecum lying horizontally with the caecal pole extending towards the left (Figure 1). No air-fluid levels were seen to suggest ileus or mechanical obstruction.

CT scan showing abnormally positioned caecum with caecal pole extending to the left side (A = caecal pole)
As the bowel had perforated, surgical exploration was undertaken through the Pfannenstiel scar. The caecum was pathologically dilated, with band-like stretch marks noted. A small perforation in the caecum was also identified. Subsequently, a midline laparotomy and right hemi-colectomy were performed. A side-to-side anastomosis was created between the terminal ileum and the transverse colon. The patient’s post-operative period was further complicated by a wound infection. She was discharged fifteen days after the original caesarean section.
DISCUSSION
Although the caecal bascule was first described in 1899, it was characterised as a type of caecal volvulus only in 1938. Bascule is a French term meaning ‘seesaw’, or counterbalanced bridge. Caecal bascule describes anteromedial folding of the caecum allowing the anterior surface to fold back on itself. The pole of the caecum can either become uppermost or be directed medially (figure 2). The crease formed in the proximal colon forms a ‘flap valve’, occluding the lumen and causing massive caecal dilation.(1) Caecal bascule differs to the classical volvulus as it is not an axial torsion. During embryogenesis, abnormal fusion of right colonic mesentery to the lateral wall causes malfixation of the caecum.(2) This predisposes the caecum to move freely especially in the presence of a gravid uterus or during operative manipulation. An association has been shown between caecal volvulus and pregnancy or postpartum abdomen. It is hypothesised to be due to mass effect.(5)

Diagram illustrating folding of caecum in an anterior, medial and superior direction
Intestinal contents from the ileum are passed normally into the caecum. They accumulate in the caecum due to the ‘flap valve’ occlusion of ascending colon. Retrograde decompression is not possible if the patient has a competent ileocaecal valve. Gas from bacterial metabolism and digestive products causes further distention.(1) Clinical signs and symptoms include abdominal pain and distention. Constriction of blood supply, and subsequent ischaemic change, leads to gangrene and perforation resulting in shock.
Early diagnosis of caecal bascule is important as it permits the more conservative caecopexy procedure to be performed. Later diagnosis post perforation, or gangrene development, requires emergency laparotomy and hemicolectomy. The diagnosis of caecal bascule, however, is difficult because it mimics other conditions such as volvulus, obstruction and acute colonic pseudo-obstruction (Ogilvie’s syndrome).(6)
Abdominal x-ray is the mainstay of diagnosis. It reveals a dilated and abnormally positioned caecum ranging from transverse to vertical lie.(3,7) Barium enema demonstrates projection of the gas-dilated caecum anterior to the barium filled ascending colon. CT scan often demonstrates an abnormally positioned caecum. Figure 1 shows the caecal pole extending to the left. Only moderate dilatation was present in the CT as perforation had already occurred.
In the case we present, it is most likely that the caecal bascule developed as a complication of the post-caesarean section ileus, given its temporal concordance. Although there is an association between caecal volvulus and pregnancy (incidence 1 in 100 000) (4,5), such an association between the caecal bascule type and pregnancy has not been documented. It remains unclear whether pregnancy is an aetiological factor in the development of caecal bascule. Such a scenario would present even greater diagnostic difficulties as the benefits to be gained from radiological investigations would need to be balanced against potential harms to the foetus. Although the case we present occurred post-partum, lack of awareness of the caecal bascule phenomenon and its appearance on x-ray and CT scans delayed its diagnosis. Indeed, the diagnosis of caecal bascule was only made intraoperatively once bowel perforation had already occurred. In retrospect, closer examination of imaging studies and improved knowledge of this condition may have led to an earlier diagnosis and avoided hemicolectomy.