-
PDF
- Split View
-
Views
-
Cite
Cite
Sarah Farrell, Stewart Craig, Howard McAlpine, Spontaneous Thrombosis of a Bicuspid Aortic valve due to Primary Antiphospholipid Syndrome, Journal of Surgical Case Reports, Volume 2010, Issue 6, August 2010, Page 1, https://doi.org/10.1093/jscr/2010.6.1
Close - Share Icon Share
Abstract
We present the case of a 51-year-old man who was admitted as an emergency with spontaneous thrombosis of the aortic valve and ascending aorta. At operation he was found to have a congenitally bicuspid aortic valve and subsequent investigation revealed primary antiphospholipid syndrome. He underwent successful removal of the thrombus combined with mechanical replacement of the aortic valve.
INTRODUCTION
Bicuspid aortic valve (BAV) is the most frequent congenital cardiac lesion and is found in 0.9 to 2.0% of the general population (1). The congenitally bicuspid aortic valve may have normal function throughout life, or may develop stenosis or regurgitation with or without infection (2). Case reports of spontaneous aortic thrombosis in the neonate or adult in association with a bicuspid aortic valve are rare, but reported, most of uncertain origin (3). The commonest clinical manifestation of antiphospholipid syndrome is with thrombosis. Thrombosis in the venous circulation is the most common, but may also occur in the arterial and microvascular compartments. The risk of thrombosis is high and the consequences often devastating.
CASE REPORT
A 51 year old gentleman was referred from coronary care to our unit as an emergency with thrombosis of the aortic valve and ascending aorta. He had been unwell for a two week period prior to admission complaining of generalised malaise and an episode of temporary visual loss in his right eye. His past medical history revealed a mixed picture of arterial and venous thrombosis including a right femoropopliteal bypass for thrombus at the age of 15, a deep vein thrombosis (DVT) in his left leg at the age of 49 and a further embolic event in his left hand. No family history of venous thromboembolism (VTE) was identified. He was known to a have a congenital bicuspid aortic valve. He had been commenced on warfarin at the time of his DVT however this had been stopped 8 weeks before his admission so that he could be investigated at a local haematology clinic.
On transfer he was haemodynamically stable in sinus rhythm and clinical examination was essentially normal except for the presence of a soft systolic ejection murmur. Transthoracic echocardiography undertaken in coronary care revealed a mobile thrombus, 4.4 x 1.8cm, attached to the right coronary cusp of the aortic valve, which appeared thickened and calcified. The thrombus extended up into the ascending aorta almost to the innominate artery. The thrombus appeared to be compromising his aortic valve. Ventricular function remained well preserved. It was not possible to obtain an accurate gradient across the valve.
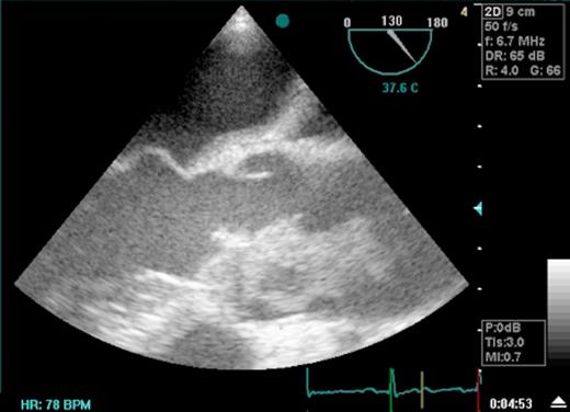
He was taken to theatre as an emergency. A pre-operative Transoesophageal Echocardiogram (TOE) confirmed the presence of thrombus on the aortic valve extending into the ascending aorta (Fig 1). After median sternotomy and initiation of cardiopulmonary bypass the ascending aorta was clamped at the level of the innominate artery. TOE confirmed that the clamp site was above the top level of the thrombus. The thrombus was all removed and submitted for bacteriological culture. Once the coronary ostia were identified the heart was arrested with cold blood cardioplegia. A calcified bicuspid aortic valve was excised and replaced with a 27-mm ATS open pivot heart valve. No organisms were seen on gram staining of the thrombus however following advice from the microbiological team empirical therapy with vancomycin and gentamicin was initiated. He made an uneventful postoperative recovery and was commenced on intravenous heparin after surgery until he was adequately anticoagulated with warfarin and aspirin. All cultures were negative. He was discharged from hospital on his eighth post-operative day.

Transoesophageal Echocardiogram depicting thrombus in the ascending aorta
He was subsequently readmitted with pyrexia, general malaise, lethargy, anorexia, dizziness and flushing. Repeated culture results were negative and echocardiography of the prosthetic valve showed good function and no evidence of vegetations. Despite this it was decided to treat Mr X as a culture negative endocarditis, with a six week course of intravenous vancomycin and gentamicin.
Since discharge he has remained well. Haematological investigations taken prior to admission, whilst he was off warfarin, revealed a normal activated partial thromboplastin time and antithrombin concentration. The Cardiolipin Antibody (IgG and IgM) were within normal range, however lupus anticoagulant antibodies were positive and considered significant particularly in view of the correlation with his clinical picture. All other tests undertaken for thrombophillia screening were negative.
DISCUSSION
Spontaneous thrombosis of the ascending aorta is a rare and usually fatal event. In most cases no predisposing cause can be found. In this case our patient was found to have both a congenital bicuspid aortic valve and elevated lupus anticoagulant antibodies.
Antiphospholipid antibodies are a heterogeneous family of immunoglobulins. Antiphospholipid syndrome is diagnosed by the presence of antiphospholipid antibody, typically identification of lupus anticoagulant singly or in combination with anticardiolipin antibody (4). In this case lupus anticoagulant antibodies were identified during investigations for recurrent thrombosis. Thrombosis of the bicuspid aortic valve occurred when his warfarin was discontinued for haematological investigations despite 3 previous thrombo-embolic events. Lupus anticoagulant comprises a subgroup of antiphospholipid antibodies that disrupt the actions of the prothrombinase complex (factors Xa, Va and prothrombin in combination on phospholipid membranes). Antiphospholipid antibodies behave as acquired inhibitors of anticoagulation, prolonging phospholipid-dependant coagulation tests (5). The activated partial thromboplastin time (APTT) is thus prolonged.
This report illustrates the significance of testing for prothrombotic disorders in at risk individuals, to prevent similar scenarios perhaps with the early institution of anticoagulant therapy.