-
PDF
- Split View
-
Views
-
Cite
Cite
Olaleye Oladejo, Bertram Fu, Henry Sharp, C Hendy, Oroantral fistula from bisphosphonate induced osteonecrosis of the jaw, Journal of Surgical Case Reports, Volume 2010, Issue 5, July 2010, Page 2, https://doi.org/10.1093/jscr/2010.5.2
Close - Share Icon Share
Abstract
Bisphosphonates like alendronic acid, disodium etidronate, and risedronate are effective for preventing postmenopausal and corticosteroid induced osteoporosis. They are also useful in the treatment of Paget's disease, hypercalcaemia of malignancy and in bony metastases. However osteonecrosis of the jaw has been reported following intravenous bisphosphonate use and rarely in those taking them orally.
Increasingly, oroantral fistulae have been shown to occur as sequelae of bisphosphonate-induced osteonecrosis of the jaw and this case report highlights a patient that presented to our ENT department and required sinus surgery in collaboration with maxillofacial surgeons.
This case report aims to raise awareness among ENT surgeons to these patients on bisphosphonates that could present to them with sinus disease from oroantral fistulae. There is an on-going audit in the maxillofacial community on this emerging trend.
INTRODUCTION
Bisphosphonates have an important role in the prophylaxis and treatment of postmenopausal and corticosteroid osteoporosis. A complication of their use is osteonecrosis of the jaw. This case report presents a patient who presented to the ENT department with sinus symptoms from oroantral fistulae following bisphosphonate use requiring surgery.
This case report aims to raise awareness among ENT surgeons to these patients on bisphosphonates that could present to them with sinus disease from oroantral fistulae.
CASE REPORT
A 66 year old lady presented with facial pain, chronic purulent discharge into the mouth and signs of an oroantral communication. She had undergone extraction of her upper left fifth tooth 6 months prior.
Her medical history included type 2 diabetes, rheumatoid arthritis on prednisolone, hypertension and chronic pain syndrome. She had been on oral alendronic acid (one of the bisphosphonates) weekly for at least 9 months. She was a non-smoker.
On examination, there was purulent material discharging from a sinus in the upper left fifth area in the oral cavity with a tender left maxilla. Orthopantogram was non-diagnostic.
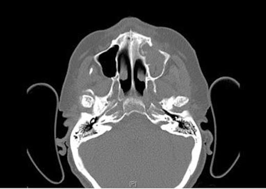
CT Scans (Fig. 1& 2) showed opacity and thickening of the left maxillary antrum with dehiscence of the medio-inferior and anterior walls of the sinus and a maxillo-oral fistula. There was destruction of bone in the floor of the left maxillary sinus consistent with an area of osteonecrosis secondary to bisphosphonate.

Coronal CT Scan of the head showing osseo-sclerotic changes / oroantral fistula floor of left maxillary sinus

Axial CT Scan of the head showing osseo-sclerotic changes and defect in left maxillary sinus
She underwent exploration of her left maxilla with debridement of large necrotic sequestrum from the left maxillary alveolus. The upper sixth tooth lying in dead bone was extracted. There was a large fistula into the maxillary sinus which was repaired with an advancement of buccal flap. Post operative antibiotics and nasal decongestants were administered. She has since made a satisfactory post-operative recovery.
DISCUSSION
Bisphosphonates like alendronic acid, disodium etidronate, and risedronate are effective for preventing postmenopausal and corticosteroid induced osteoporosis. They are also useful in the treatment of Paget's disease, hypercalcaemia of malignancy and in bony metastases. They inhibit osteoclastic activity leading to a reduction in bone turnover.
Osteonecrosis of the jaw (ONJ) has been increasingly reported following intravenous bisphosphonate use and rarely in those taking them orally. The vast majority of ONJ reported in the English language literature were seen following administration of intravenous pamidronate and zoledronate. Of the only 28 reported cases following oral bisphosphonate use, 25 were with alendronate and 3 with risedronate (1).
ONJ frequently affects the mandible followed by the maxilla and in a number of cases, is preceded by a tooth extraction. Patients can present with non-healing ulcers of the mandible or maxilla and can progress to pan-sinusitis with presentation to otolaryngologists (2).
In a series of 15 patients with ONJ, some had background breast cancer, osteoporosis, multiple myeloma and prostate cancer (3). Osteonecrosis of the jaw has also been shown in association with cancer chemotherapy in 10 patients who received bisphosphonates as treatment for their malignant bone disease (4).
The most common radiologic finding in bisphosphonate-associated osteonecrosis has been shown to be osseous sclerosis (3). The spectrum varied from thickening of the lamina dura and alveolar crest (subtle) to attenuated osteopetrosis-like sclerosis.
Management will include the use of antibiotics, chlorhexidine mouthrinses and in cases of oroantral fistula, sequestrectomy, and surgical debridement. The aim of surgery is to try and remove all evidence of necrotic bone and to obtain mucosal coverage. However, the osteonecrosis process can continue once it has started. Adequate oral hygiene should be maintained by patients during and after treatment with bisphosphonates.
There is an on-going 2 year audit by oral and maxillofacial surgeons in the UK in conjunction with the faculty of general dental practice, documenting the emerging trend of oroantral fistulae from bisphosphonate use (BRONJ) (5). Preventive dental treatment should be considered before initiating bisphosphonates.
This case report highlights the need for awareness among ENT surgeons to these patients on bisphosphonates who could present to them with sinus disease. With the millions of patients receiving various oral bisphosphonates for osteopenia and osteoporosis, health care practitioners should be aware of the potential for the onset of osteonecrosis and familiar with its management (1). The optimal and safe duration of treatment with bisphosphonates needs to be determined.