-
PDF
- Split View
-
Views
-
Cite
Cite
G Ghaly, A Espeso, B Fish, Idiopathic cervical osteomyelitis presenting as dysphagia, Journal of Surgical Case Reports, Volume 2010, Issue 3, May 2010, Page 6, https://doi.org/10.1093/jscr/2010.3.6
Close - Share Icon Share
Abstract
We discuss a case of idiopathic cervical epidural abscess, complicated by osteomyelitis, presenting with dysphagia as the main complaint. No predisposing factors were identified and blood cultures were negative. Case was treated conservatively by long course of IV antibiotics. We present a review of presentation of spinal epidural abscesses and indications for surgical intervention.
INTRODUCTION
Spinal epidural abscesses are known to present with symptoms like fever and progressive neurological symptoms. There is usually a history of predisposing factors like diabetes, immune deficiency conditions, recent spinal surgery or IV drug abuse. In this case, the patient presented with dysphagia as the main symptom, but none of the above risk factors making its diagnostic outcome impossible to predict.
CASE REPORT
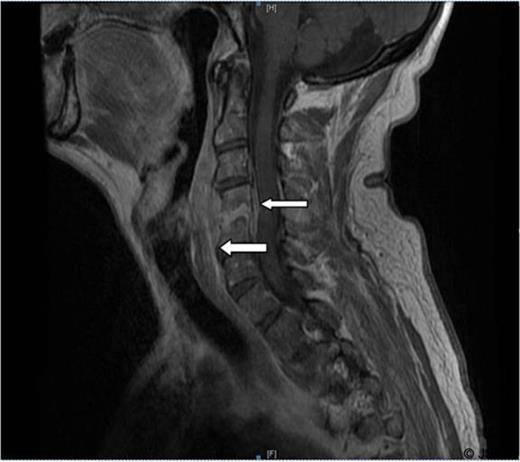
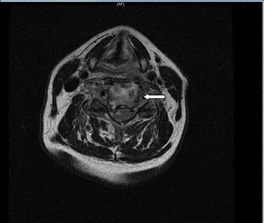
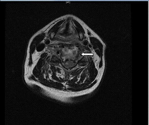
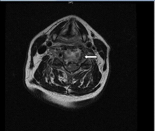
A 68 years old retired tennis coach was urgently admitted under the care of the ENT team following an alarming outpatient MRI scan result. The patient was referred with a six weeks history of progressive difficulty swallowing solids. Initially the patient was seen by his GP due to neck pain after riding his bicycle. It was clinically diagnosed as whiplash and treated successfully with analgesia and physiotherapy for 5 weeks. No history of URTI or trauma was reported. However, progressively the patient developed difficulties swallowing solids and described an uncomfortable “lump in his throat” sensation. The patient was, at all times apyrexial and his ENT examination was unremarkable except for limited extension of his neck and raised inflammatory markers. Due to these clinical findings, an urgent MRI neck scan with contrast was requested showing an extensive retro-pharyngeal enhancing collection associated to an epidural collection extending from C2 to C5/6. This collection indented the cord, particularly on the right. In addition, there was enhancement of the C4 and C5 vertebral bodies consistent with osteomyelitis (Figure 1 & 2).

Sagittal T1 image. There is an extensive retro-pharyngeal enhancing collection. In addition there is an epidural collection extending from C2 to C5/6.

Axial T2 FSE cervical image. There is enhancement of the C4 and C5 vertebral bodies consistent with osteomyelitis
After discussion with the Orthopaedic team, the patient was commenced on a six weeks course of broad spectrum antibiotic intravenously. Complete recovery was achieved, without any neurological, motor deficit or long term problems.
DISCUSSION
Dysphagia can be a complication post-spinal surgery due to iatrogenic oesophageal injury or spinal abscess formation. However, it is very rare that can be the primary symptom at presentation of a spontaneous spinal abscess formation as proven by only one case report found after extensive literature review.(1) The prevalence rate of spinal epidural abscess varies from 0.18 to 2 per 10.000 admissions in general hospitals (2). A primary source of infection is not identified in 20% to 40% of patients.(3) The cervical spine is the least commonly affected vertebral region. Some authors have reported an incidence of 19% and 21% of epidural abscesses occurred in the cervical spine.(4) The pathognomonic features include fever, progressive neurological symptoms, meningitis, neck / back pain or sepsis.(5,6) Cervical epidural abscess without predisposing factors have been reported before (7), however, previous case series (4) have shown that the development of spinal abscess is predisposed by risk factors such as intravenous drug abuse, nonspinal infection (cellulitis, furuncles, retropharyngeal or psoas abscess and endocarditis); diabetes mellitus, chronic alcoholism, recent spinal or epidural procedures, recent spinal trauma, HIV infection, and chronic steroid use. This clinical case did not present any of the above risk factors making its diagnostic outcome impossible to predict. MRI typically demonstrates heterogeneously enhancing epidural collections. Spinal epidural abscesses are isointense/hypointense on T1-weighed images and hyperintense on T2-weighed images. As mentioned above, this patient's MRI scan results showed a clear cervical spine abscess as the cause of this patient's unique symptom: dysphagia. Management of spinal epidural abscesses is either conservatively with antibiotics alone or urgent surgical decompression (8), followed by long course of intravenous and/or oral antibiotics (5,9). Our case was treated conservatively with abroad spectrum antibiotic. It seems that urgent surgery would be the treatment of choice in those patients presenting with neurological symptoms. (7) Even though, this case fully recovered after being treated with IV antibiotics for 6 weeks; it is important to note that generally surgical intervention provides a better outcome. (7)