-
PDF
- Split View
-
Views
-
Cite
Cite
Amal Elsawy, Aleshba Saba Khan, Management of malaligned teeth in young patients with overlay removable partial denture: series of two case reports, Journal of Surgical Case Reports, Volume 2026, Issue 1, January 2026, rjag021, https://doi.org/10.1093/jscr/rjag021
Close - Share Icon Share
Abstract
Delay in replacement of missing teeth might lead to pathological movement of teeth resulting in malocclusion. Such cases require extensive management option to rehabilitate the patient. Overlay denture provides a relatively quick and simple management option for patients not willing to go for proposed treatment options and having economical barriers. This case report series elaborates the management of the cases of partially dentate arch with misaligned teeth in young women. It was a combination of overlay removable cast partial denture in maxillary arch and conventional removable cast partial denture in mandibular arch. Porcelain veneers were bonded to metal framework to improve esthetics in one case. The end result successfully met patient’s demand of better retention of dentures, improved esthetics, and masticatory ability.
Introduction
Delay in replacement of missing teeth disturbs the equilibrium of stomatognathic system [1, 2]. It can lead to malpositioning of teeth, loss of occlusal vertical dimension, disruption in inter arch, and intra arch space for tooth placement and excessive stress on remaining teeth [3]. Dento alveolar compensation can further complicate the management of the case [2, 3]. All these sequels will affect the function and esthetics [3].
Treatment options available for malaligned and multiple missing teeth requires a combined approach of orthodontists to straighten the malposed teeth, endodontists, in case if the teeth require elective root canal therapy and prosthodontists for replacement of missing teeth.
Different options available for replacement of missing teeth include dental implants, fixed partial dentures, removable dentures, over dentures, or overlay dentures [4]. A removable partial overlay denture is a conservative prosthetic option that would overlap and/or rest on two or more natural teeth or implants [5, 6]. Overlay denture provides a time efficient, non-invasive, and an economic treatment option for patients. It can be used as an interim or transitional denture or even as a definitive option [6].
The following case series presents the use of overlay removable partial denture for rehabilitation of a complex case of malocclusion with some missing teeth in both arches along with anterior class III occlusion and deep bite. The cases are of two female patients who reported to the Clinic of prosthodontics at the institute during year 2023 and 2024.
Case 1
A 27 years old female patient wanted to get her unretentive upper and lower partial dentures replaced. She was wearing those dentures since one year. The main concern of the patient was difficulty in chewing food and poor esthetics.
Her medical history was clear. In dental history, she lost teeth almost 10 years ago and did not know the reason. She had been wearing different dentures since then.
On extra oral examination, she had well symmetric, square face form. She had concave facial profile (prognathic appearance). Occlusal vertical dimension was maintained as patient was already wearing dentures. Upper lip was not well supported. Mouth opening was within normal range. She had low lip line.
On intraoral examination, she had multiple missing teeth in both arches (#16,17, 21, 22, 24, 25, 26, 27, 36, 37, 42, 45, 46, 47) She had class III incisal relationship with traumatic deep bite anteriorly and no occlusal stops (Fig. 1A, B, and C). Oral hygiene was satisfactory. Mandibular central incisors had grade 1 mobility (Miller Index of Mobility). Remaining teeth were severely malposed. Tongue was of normal size due to wearing of dentures and she had U-shaped ridges. She had Kennedy class 1 modification 1 in maxilla and Kennedy class I in mandible.

(A) Right lateral view of bite; (B) Front view of bite; (C) Left lateral view of bite; (D) Orthopentomogram after removal of six unit bridge on maxillary anterior teeth; (E) Jaw relation record with raised bite; (F and G) Front and side view after fixed and removable denture insertion.
On examination of previous dentures, both the partial dentures lacked retention, stability, and support specifically during mastication and speech. Denture were made of acrylic with clasps on teeth#15, 23, 35, and 44. There were no mouth preparations done for previous dentures and she had a six-unit bridge on maxillary anterior teeth.
Orthopentomogram showed adequate bone available, but recession was seen around cervical regions of the teeth (Fig. 1D).
Various available treatment options were discussed with the patient and consent was obtained before starting the planned and mutually agreed on treatment option. Orthognathic surgery followed by fixed comprehensive orthodontic treatment and later the replacements with hybrid of dental implants and/or fixed restorations was told to the patient as definitive and long term treatment plan but due to time constraint and socioeconomic status of the patient, the treatment option considered was within the scope of prosthodontics, i.e. overlay removable partial denture. This option was finalized as transitional phase, till the patient is ready for the definitive treatment, to help the patient achieve better mastication, esthetics, and phonetics in less time.
Dentures were constructed using the conventional method after surveying the casts and occlusal vertical dimension was raised by 6 mm which helped in reducing the Class III appearance.
A diagnostic wax up was done for adjustment of occlusal plane and index was made. Tooth set up was done after indexing. The porcelain was added on framework covering the labial side of maxillary anterior teeth using the index made after wax up. This improved the facial profile, esthetics as well as the function and patient was satisfied.
After approval from patient, the dentures were processed, polished, occlusion was adjusted and dentures were delivered (Fig. 1F and G). Oral hygiene and denture hygiene instructions were given to the patient. Other post insertion instructions about insertion or removal of denture and need for removal at night were also given. Post insertion follow up was done after a week and then one month. The patient was explained about the transitional nature of the dentures and the need for regular follow-ups.
Case 2
A 34-year-old female patient presented with complaint of inability to eat adequately due to missing teeth, and she was shy about her appearance.
Medical history was insignificant. In dental history, extractions were done at different times over a period of years. The extraoral examination included TMD screening, maxillofacial defects, skeletal evaluation, soft tissue, and esthetics. She had ovoid face form and low smile line. The intraoral examination included periodontal screening, maxillofacial defects, occlusion, residual ridge qualities and dimensions, and edentulous space location and extent. Radiographs, diagnostic casts, jaw relation, and photographic imaging were recorded.
The patient presented in partially edentulous state; maxillary Kennedy Class I, modification 3 and mandibular Class I, with severe loss of occlusal vertical dimension (OVD) (Fig. 2B). The patient had severe skeletal class III malocclusion (Fig. 2B) and oral hygiene was satisfactory.

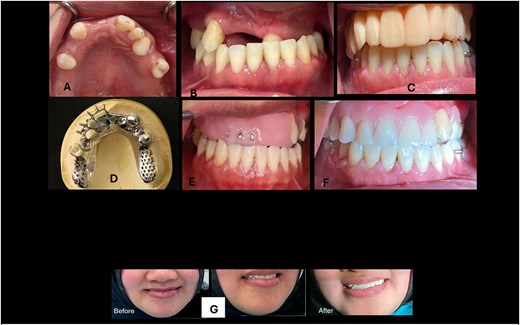
(A) Maxillary arch occlusal view; (B) Frontal view showing class III and loss of occlusal vertical dimension; (C) Prototype of overlay removable partial denture; (D) Cast partial denture framework; (E) Jaw relation record; (F) Definitive overlay removable partial denture; (G) Before and after photographs of the patient.
The treatment options were explained to the patient. Permanent overdenture removable partial dentures were the best treatment option for the patient, where the patient refused any orthodontic and surgical intervention.
Informed consent was obtained after the patient was informed of the procedure, goals of treatment, known benefits and risks, treatment options, and the need for active maintenance by the patient.
A Maxillary ORPD prototype was designed and printed, then evaluated by a patient to verify its esthetic and functional quality (Fig. 2C).
After evaluation and patient satisfaction, the patient received a permanent maxillary overlay removable partial denture after constructed with conventional clinical steps and laser print for laboratory steps (Fig. 2D, E, and F). The TMJ position was also evaluated using CBCT before and after vertical dimension adjustment with the proposed vertical dimension.
The patient's occlusal vertical dimension was reestablished, esthetics and function was restored using an overlay removable prosthesis, which was provided to the patient as a conservative and economical treatment (Fig. 2G). Post insertion follow ups were done after 1 week and then after 3 months.
Discussion
The plan for management of any case should aim at addressing the chief complaint of the patient, prevention of further deterioration and improving mastication, esthetics and phonetics [5]. Prosthodontic treatments should also be focused on being conservative, economic, and time efficient [5]. An overlay removable partial denture is type of an overdenture that overlaps natural teeth, roots, or implants to meet the patient’s needs in less time and conservative manner [6]. The indications of overlay denture include skeletal and dental malocclusion, loss of occlusal vertical dimension, tooth wear, hereditary disorders, patients with time constraint or low socioeconomic status [6, 7].
The benefits of cast partial removable overlay denture include simplicity of procedure, less time for treatment, economical, non-invasive and reversible option, preservation of bone, psychological benefit in terms of better function and esthetics and increased proprioception [7–9]. These dentures also help with increased support, stability and retention [9]. Despite multiple advantages, there are a few drawbacks of overlay denture as well [7]. The data on longevity of these dentures is limited [7]. The failure can result due to de-bonding of material from framework, fracture around thin acrylic areas, wear of opposing teeth in case of added porcelain and plaque control can be difficult due to complicated design of overlay denture [7, 10].
Cast partial overlay denture can be used as an interim, transitional or even permanent prosthesis [11]. Teeth can be replaced with acrylic teeth in thin sections or even porcelain veneers can be attached to the metal framework as done in this case [12]. The outcome of these cases was improved mastication and enhanced esthetics that helped the patients feel confident in smiling and good retention helping in better phonetics. Similar results have been seen in many other cases managed with overlay denture approach [1, 2, 5, 6, 9].
Maintenance of good oral and denture hygiene and regular follow up visits are the paramount for long term success of the treatment [11]. Follow-up visits can be more regular in start and later six monthly visits should be planned to cater for any periodontal issues, caries or any signs of deterioration in denture and occlusion [11]. In future, more clinical reports should be assessed to determine the longevity of these dentures as well as the frequent reasons for failures should be observed so that the techniques can be upgraded accordingly to minimize the common causes of failure.
Conclusion
This case series reports a successful result of overlay removable cast partial denture. Rehabilitation helped in meeting the proposed treatment objectives and improved function, esthetics, support, stability and retention of the dentures as well as its use to restore occlusal vertical dimension. Hence, overlay denture can be considered as interim, transitional or even definitive replacement option in patients with less time available for treatment and financial constraints. This is a non-invasive and reversible option which can function as a quick fix for partially dentate arch cases of tooth wear, reduced occlusal vertical dimension, misaligned teeth or genetic disorders affecting teeth. It provides a cost-effective option for rehabilitating function and esthetics.
Acknowledgements
We would like to extend our gratitude to Princess Noura bint Abdulrahman University researchers supporting unit for support in project number: PNURSP2025R823, Princess Nourah bint Abdulrahman University, Riyadh, Saudi Arabia.
Conflicts of interest
No conflicts of interest.
Funding
This work was supported by Princess Noura bint Abdulrahman University researchers supporting unit for support in project number: PNURSP2025R823; Princess Nourah bint Abdulrahman University, Riyadh, Saudi Arabia.
Data availability
Available upon request from corresponding author.
Ethical approval
IRB Registration Number with KACST, KSA: HAP-01-R-059.
Informed consent statement
Informed written consent was obtained from the patients for the publication purpose along with images.
Guarantor
Professor Amal Elsawy.
References
Yee A, Ling GC. Aesthetic and occlusal rehabilitation using a telescopic denture.
Eshwar A, Manoharan PS, Abinayam V. Restoring dental rubbles using an overlay removable partial denture fabricated with digital technology - a case report.