-
PDF
- Split View
-
Views
-
Cite
Cite
Benson Lagusis, Santana S Solomon, Stacy Ruther, Loyd B Olson, When pica takes a step too far: small bowel obstruction due to ingested shoe insoles, a case report and review of literature, Journal of Surgical Case Reports, Volume 2025, Issue 4, April 2025, rjaf243, https://doi.org/10.1093/jscr/rjaf243
Close - Share Icon Share
Abstract
Pica, the compulsive ingestion of nonfood items, is a condition that can lead to life-threatening complications, including small bowel obstruction (SBO). This condition is particularly challenging to diagnose in individuals with cognitive impairments and limited verbal communication. We present a case of SBO secondary to shoe insole ingestion in a patient with autism and pica, highlighting the diagnostic and therapeutic challenges encountered. This case underscores the importance of a high index of suspicion for SBO in patients with pica and cognitive impairments. Radiologic imaging and endoscopic evaluation can be critical in the diagnosis, and surgical intervention may be necessary for definitive management. A literature review of similar cases emphasizes the need for early recognition and intervention to reduce morbidity and mortality in this population. SBO secondary to pica remains a diagnostic challenge in nonverbal patients. Timely imaging, multidisciplinary management, and individualized therapeutic approaches are essential for optimal patient outcomes.
Introduction
Pica, the compulsory ingestion of nonfood items, can be life-threatening [1]. Complications of pica can depend on the substance consumed and is often described as self-injurious behavior. Pica often occurs comorbidly with neurodevelopmental and behavioral disorders, with obsessive-compulsive disorder and attention-deficit/hyperactivity disorder commonly seen [2]. In individuals with impaired communication, bowel obstruction may suggest the diagnosis. In cases of pica, small bowel obstruction (SBO) is often diagnosed radiologically, though radiolucent objects can complicate detection [3].
Case presentation
A 52-year-old male with a past medical history of autism spectrum disorder, pica, obsessive-compulsive disorder, psychogenic polydipsia, and epilepsy presented to the emergency room of a critical access hospital with postprandial emesis for two days, as reported by his caregiver. Pain, history, and progression are unclear due to limited verbal communication. He has a remote history of SBO with prior laparotomy after ingestion of nitrile gloves.
The patient was afebrile on presentation with stable vital signs. Physical exam was benign and showed an alert, nontoxic-appearing male without distress. Abdominal exam showed mild distension without signs of rigidity or tenderness to palpation.
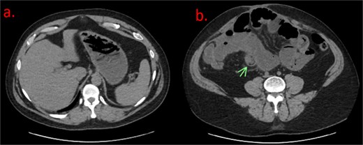
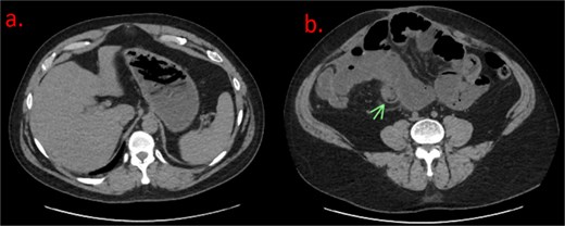
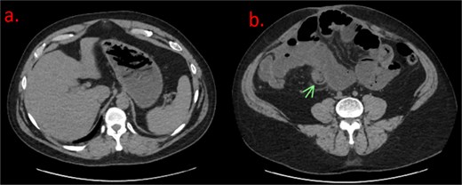
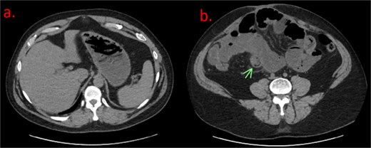
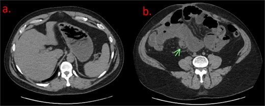
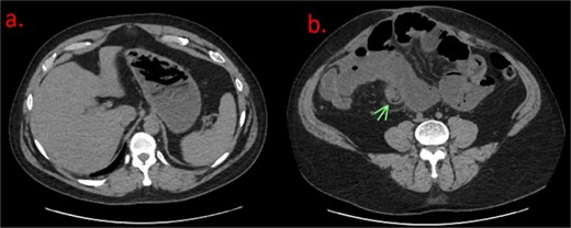
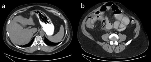
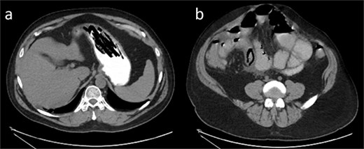
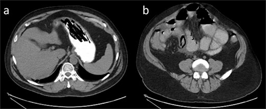
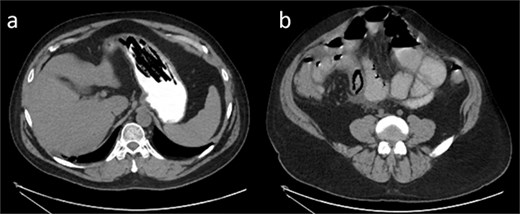
Labs were significant for leukocytosis to 13.4 and an isolated elevated alkaline phosphatase of 142. All other chemistries were stable. Initial read of non-contrast computed tomography (CT) abdomen/pelvis showed likely SBO with dilated loops of small bowel (Fig. 1). Image A shows a fluid-filled stomach. In image B, there is a “bowel-within-bowel” appearance concerning for intussusception as a lead point for SBO.

(a) Axial noncontrast CT of the abdomen demonstrating a nondescript, fluid-filled stomach. (b) Axial noncontrast CT reveals dilated loops of small bowel with classic “bowel within bowel” appearance of the small intestine, labeled with an arrow. This was thought to be the lead point for the suspected SBO.
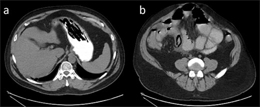
Due to the patient’s history, the surgeon ordered another CT scan with oral contrast to further examine the fluid-filled stomach (Fig. 2). Image C shows greater visualization of filling defects within the stomach consistent with foreign body ingestion. In image D, the previously suspected intussusception now appears as a foreign body measuring 3.6 cm.

(a) Axial CT of the abdomen with oral contrast shows filling defects with stacked, linear objects in the stomach, consistent with possible foreign body ingestion. (b) Axial CT with oral contrast shows dilated loops of small bowel, with a triangular intraluminal filling defect. The previously noted “bowel-within-bowel” appearance is no longer seen. Possible foreign body defect that measured ~3.5 cm in length.
The patient was admitted, and general surgery was consulted. Further evaluation revealed no significant pain or obstructive symptoms, and no immediate surgical intervention was indicated. Nonsurgical management included bowel rest, nausea management, and gastrointestinal prophylaxis. The patient was unable to tolerate nasogastric tube insertion.
A repeat CT scan on hospital day 4 showed no movement of foreign objects. The surgery team proceeded with an upper endoscopy with gastric foreign body removal. Upon visualization of the stomach contents, the ingested foreign bodies were large pieces of shoe insole. After 2 hours, over 10 pieces of shoe insole were removed (Fig. 3). Following the procedure, the stomach and proximal duodenum showed no signs of retained foreign body.

Post endoscopy specimen photo showing over ten pieces of removed shoe insole from the patient’s stomach.
Following endoscopy, the patient did not tolerate diet advancement. Mineral oil was given to facilitate foreign body passage beyond the stomach, but due to a lack of clinical improvement, an exploratory laparotomy was performed on hospital day 7 for suspected obstruction.
Severe intra-abdominal adhesions and near frozen abdomen were found upon entry. The 3.5-hour surgery involved adhesiolysis, enterotomy, and removal of a shoe insole from the small intestine. The patient was transferred to the ICU postoperatively. Given his history, he was sedated and fitted with an abdominal binder to protect the drains.
Postoperatively, his kidney function declined, with creatinine rising to 5.56 with an estimated glomerular filtration rate of 20 by day 2. He was transferred to a higher level of care, where a multidisciplinary team, including nephrology, infectious disease, and psychiatry, managed his treatment. He required debridement and a wound vac for postoperative complications and was discharged on day 36.
Outpatient follow-up one month later showed a laparotomy incision healing by secondary intention without evidence of further bowel obstruction. Family and caregivers attended follow-ups and were educated on preventing foreign body ingestion.
Discussion
In conclusion, we report a case of SBO secondary to consumption of shoe insoles in an adult patient with limited verbal communication and concomitant mental health diagnoses. This case highlights that close observation of non-verbal indicators of distress is imperative for patients who cannot qualify their pain due to strained verbal capacity. We found that radiologic studies were paramount in diagnosis and the decision to proceed with endoscopy, and ultimately, high-risk surgery. Due to this, we performed a brief literature review on PubMed to identify different diagnostic methods and management of patients with SBOs resulting from pica.
The search terms, [“pica” AND “small bowel obstruction”], yielded eight studies, with seven studies being included for review. One study was excluded because the paper’s scope focused on the formation of umbilical hernias secondary to pica without definitive mention of resultant SBO. Table 1 outlines the patient characteristics, imaging modalities, clinical findings, and interventions of the patients from these studies.
Patient characteristics and imaging findings of case reports on management of SBOs secondary to pica
| Study . | Age, sex . | Past medical history . | Imaging modality . | Imaging findings . | Ingested items . | Intervention . | Mortality . |
|---|---|---|---|---|---|---|---|
| Busch et al. 2022 [4] | 41, F | Severe cognitive deficiency | Postmortem CT prior to autopsy | Foreign body lodged in the small intestine, air-filled and distended stomach, and proximal intestines | Latex gloves | N/A | Deceased, cause of death: suffocation due to inhalation of gastric contents |
| Greer et al. 2013 [5] | 36, M | Schizophrenia | Abdominal X-ray, noncontrast CT, gastroscopy, EGD | X-ray: SBO and gastric bezoar; CT scan: prominent debris in stomach, SBO to the mid ileum with a transition point at an area of impacted debris with luminal collapse distal to the obstruction, no free intra-abdominal gas | Vinyl gloves, Chelsea Football Club badge, large clothing label | Exploratory laparotomy | Living |
| Itagaki et al. 2005 [6] | 4, M | None | Upright abdominal X-ray, upper GI endoscopy | X-ray: multiple intraluminal air-fluid levels and distended loops of bowel. Numerous, <1 cm radiopaque objects in the abdomen, including a metal screw; Endoscopy: integrity of the esophageal and gastric mucosa and retrieved several small bits of chewed soft plastic toys | Plastic action figures | Exploratory laparoscopy | Living |
| Kim et al. 2007 [7] | 1.5, F | None | Abdominal X-ray | Partial small-bowel obstruction due to sand in the bowel lumen | Beach sand | Serial tap water enemas | Living |
| Serour et al. 2008 [8] | 14, M | Autism | Abdominal x-ray, CT, gastroscopy | Distended small-bowel loops, with intraluminal heterogeneous mass, and a dilated stomach with mixed content | Twigs, foliage | Exploratory laparoscopy | Living |
| Turner et al. 2023 [9] | 2, F | Autism, trichotillomania, pica | Abdominal ultrasound, abdominal X-ray, CT, fluoroscopic gastrografin enema | US: intussusception; CT: ileo-colonic and colon-colonic intussusception; Contrast enema: successful reduction | Kinetic sand | Fluoroscopic gastrografin enema | Living |
| Yoshida et al. 2019 [10] | 26, M | Hypertrophic pyloric stenosis, intestinal malrotation requiring resection, cognitive disability | Noncontrast CT | Dilated and fluid-filled small-bowel loops. Small-bowel feces sign was evident, distal sponge-like formation | Kitchen sponge | Exploratory laparotomy | Living |
| Study . | Age, sex . | Past medical history . | Imaging modality . | Imaging findings . | Ingested items . | Intervention . | Mortality . |
|---|---|---|---|---|---|---|---|
| Busch et al. 2022 [4] | 41, F | Severe cognitive deficiency | Postmortem CT prior to autopsy | Foreign body lodged in the small intestine, air-filled and distended stomach, and proximal intestines | Latex gloves | N/A | Deceased, cause of death: suffocation due to inhalation of gastric contents |
| Greer et al. 2013 [5] | 36, M | Schizophrenia | Abdominal X-ray, noncontrast CT, gastroscopy, EGD | X-ray: SBO and gastric bezoar; CT scan: prominent debris in stomach, SBO to the mid ileum with a transition point at an area of impacted debris with luminal collapse distal to the obstruction, no free intra-abdominal gas | Vinyl gloves, Chelsea Football Club badge, large clothing label | Exploratory laparotomy | Living |
| Itagaki et al. 2005 [6] | 4, M | None | Upright abdominal X-ray, upper GI endoscopy | X-ray: multiple intraluminal air-fluid levels and distended loops of bowel. Numerous, <1 cm radiopaque objects in the abdomen, including a metal screw; Endoscopy: integrity of the esophageal and gastric mucosa and retrieved several small bits of chewed soft plastic toys | Plastic action figures | Exploratory laparoscopy | Living |
| Kim et al. 2007 [7] | 1.5, F | None | Abdominal X-ray | Partial small-bowel obstruction due to sand in the bowel lumen | Beach sand | Serial tap water enemas | Living |
| Serour et al. 2008 [8] | 14, M | Autism | Abdominal x-ray, CT, gastroscopy | Distended small-bowel loops, with intraluminal heterogeneous mass, and a dilated stomach with mixed content | Twigs, foliage | Exploratory laparoscopy | Living |
| Turner et al. 2023 [9] | 2, F | Autism, trichotillomania, pica | Abdominal ultrasound, abdominal X-ray, CT, fluoroscopic gastrografin enema | US: intussusception; CT: ileo-colonic and colon-colonic intussusception; Contrast enema: successful reduction | Kinetic sand | Fluoroscopic gastrografin enema | Living |
| Yoshida et al. 2019 [10] | 26, M | Hypertrophic pyloric stenosis, intestinal malrotation requiring resection, cognitive disability | Noncontrast CT | Dilated and fluid-filled small-bowel loops. Small-bowel feces sign was evident, distal sponge-like formation | Kitchen sponge | Exploratory laparotomy | Living |
Patient characteristics and imaging findings of case reports on management of SBOs secondary to pica
| Study . | Age, sex . | Past medical history . | Imaging modality . | Imaging findings . | Ingested items . | Intervention . | Mortality . |
|---|---|---|---|---|---|---|---|
| Busch et al. 2022 [4] | 41, F | Severe cognitive deficiency | Postmortem CT prior to autopsy | Foreign body lodged in the small intestine, air-filled and distended stomach, and proximal intestines | Latex gloves | N/A | Deceased, cause of death: suffocation due to inhalation of gastric contents |
| Greer et al. 2013 [5] | 36, M | Schizophrenia | Abdominal X-ray, noncontrast CT, gastroscopy, EGD | X-ray: SBO and gastric bezoar; CT scan: prominent debris in stomach, SBO to the mid ileum with a transition point at an area of impacted debris with luminal collapse distal to the obstruction, no free intra-abdominal gas | Vinyl gloves, Chelsea Football Club badge, large clothing label | Exploratory laparotomy | Living |
| Itagaki et al. 2005 [6] | 4, M | None | Upright abdominal X-ray, upper GI endoscopy | X-ray: multiple intraluminal air-fluid levels and distended loops of bowel. Numerous, <1 cm radiopaque objects in the abdomen, including a metal screw; Endoscopy: integrity of the esophageal and gastric mucosa and retrieved several small bits of chewed soft plastic toys | Plastic action figures | Exploratory laparoscopy | Living |
| Kim et al. 2007 [7] | 1.5, F | None | Abdominal X-ray | Partial small-bowel obstruction due to sand in the bowel lumen | Beach sand | Serial tap water enemas | Living |
| Serour et al. 2008 [8] | 14, M | Autism | Abdominal x-ray, CT, gastroscopy | Distended small-bowel loops, with intraluminal heterogeneous mass, and a dilated stomach with mixed content | Twigs, foliage | Exploratory laparoscopy | Living |
| Turner et al. 2023 [9] | 2, F | Autism, trichotillomania, pica | Abdominal ultrasound, abdominal X-ray, CT, fluoroscopic gastrografin enema | US: intussusception; CT: ileo-colonic and colon-colonic intussusception; Contrast enema: successful reduction | Kinetic sand | Fluoroscopic gastrografin enema | Living |
| Yoshida et al. 2019 [10] | 26, M | Hypertrophic pyloric stenosis, intestinal malrotation requiring resection, cognitive disability | Noncontrast CT | Dilated and fluid-filled small-bowel loops. Small-bowel feces sign was evident, distal sponge-like formation | Kitchen sponge | Exploratory laparotomy | Living |
| Study . | Age, sex . | Past medical history . | Imaging modality . | Imaging findings . | Ingested items . | Intervention . | Mortality . |
|---|---|---|---|---|---|---|---|
| Busch et al. 2022 [4] | 41, F | Severe cognitive deficiency | Postmortem CT prior to autopsy | Foreign body lodged in the small intestine, air-filled and distended stomach, and proximal intestines | Latex gloves | N/A | Deceased, cause of death: suffocation due to inhalation of gastric contents |
| Greer et al. 2013 [5] | 36, M | Schizophrenia | Abdominal X-ray, noncontrast CT, gastroscopy, EGD | X-ray: SBO and gastric bezoar; CT scan: prominent debris in stomach, SBO to the mid ileum with a transition point at an area of impacted debris with luminal collapse distal to the obstruction, no free intra-abdominal gas | Vinyl gloves, Chelsea Football Club badge, large clothing label | Exploratory laparotomy | Living |
| Itagaki et al. 2005 [6] | 4, M | None | Upright abdominal X-ray, upper GI endoscopy | X-ray: multiple intraluminal air-fluid levels and distended loops of bowel. Numerous, <1 cm radiopaque objects in the abdomen, including a metal screw; Endoscopy: integrity of the esophageal and gastric mucosa and retrieved several small bits of chewed soft plastic toys | Plastic action figures | Exploratory laparoscopy | Living |
| Kim et al. 2007 [7] | 1.5, F | None | Abdominal X-ray | Partial small-bowel obstruction due to sand in the bowel lumen | Beach sand | Serial tap water enemas | Living |
| Serour et al. 2008 [8] | 14, M | Autism | Abdominal x-ray, CT, gastroscopy | Distended small-bowel loops, with intraluminal heterogeneous mass, and a dilated stomach with mixed content | Twigs, foliage | Exploratory laparoscopy | Living |
| Turner et al. 2023 [9] | 2, F | Autism, trichotillomania, pica | Abdominal ultrasound, abdominal X-ray, CT, fluoroscopic gastrografin enema | US: intussusception; CT: ileo-colonic and colon-colonic intussusception; Contrast enema: successful reduction | Kinetic sand | Fluoroscopic gastrografin enema | Living |
| Yoshida et al. 2019 [10] | 26, M | Hypertrophic pyloric stenosis, intestinal malrotation requiring resection, cognitive disability | Noncontrast CT | Dilated and fluid-filled small-bowel loops. Small-bowel feces sign was evident, distal sponge-like formation | Kitchen sponge | Exploratory laparotomy | Living |
Seven case reports resulted from the search. Average patient age was 17.7 years. Four patients had a previous diagnosis of a cognitive disability (57.1%), two patients were children with no past medical history (28.6%), and the final patient had schizophrenia (14.3%). The patients underwent an average of 2.3 imaging modalities during diagnosis and treatment. The most common imaging modalities utilized were abdominal X-rays and noncontrast CT scans, each performed in five patients (71.4%), and followed by upper gastrointestinal endoscopy in three patients (42.9%). The mainstays of SBO treatment in this review were surgical intervention and enemas. Two patients underwent exploratory laparotomy (28.6%) and two patients underwent laparoscopy (28.6%). Definitive treatment with enemas was achieved in two patients (28.6%), using tap water and gastrografin. Both of these patients had similar foreign body ingestions (sand) and were under the age of 2 years, making nonsurgical management preferable. Six patients received successful treatment of their SBOs, however, one patient passed away before the SBO was identified.
The similarities between our case and the reviewed studies further highlight the diagnostic and therapeutic challenges of SBO secondary to pica in patients with neurodevelopmental disorders. In patients with impaired communication and a known history of foreign body ingestion, clinicians must maintain a high index of suspicion for gastrointestinal complications, even in the absence of typical symptoms. Radiologic imaging played a pivotal role in diagnosis and guided timely interventions in our case. Our accompanying literature review supports our assertion that while rare, pica-induced SBO often requires multimodal imaging and can necessitate interventions that range from noninvasive to surgical. Though there remains a paucity of research or extended clinical analysis on the subject, a high level of clinical suspicion is required to prevent devastating outcomes.
Conflict of interest statement
None declared.
Funding
None declared.