-
PDF
- Split View
-
Views
-
Cite
Cite
Kevin W Chen, Luke Schultz, Matthew Schuler, Neal Ferrin, Robert L Osmer, Massive hiatal hernia through a prior diaphragmatic relaxing incision: case report with a literature review, Journal of Surgical Case Reports, Volume 2025, Issue 4, April 2025, rjae715, https://doi.org/10.1093/jscr/rjae715
Close - Share Icon Share
Abstract
This case report presents a rare complication of a massive Type IV hiatal hernia occurring through a diaphragmatic relaxing incision (DRI) created during a previous Nissen fundoplication. An 82-year-old female presented with abdominal pain, shortness of breath, and small bowel obstruction. Imaging revealed herniation of the small bowel, colon, and spleen through a diaphragmatic defect. Seven years prior, the patient underwent a Nissen fundoplication with mesh repair, during which bilateral DRIs were created to reduce diaphragmatic tension. Despite prior concerns about operative risks, emergent surgery was performed to reduce the hernia and resect infarcted bowel. Postoperative recovery was complicated by hypotension requiring vasopressor support, but the patient ultimately recovered well. This case highlights the potential for catastrophic herniation through DRIs and underscores the need for careful surgical technique and postoperative surveillance. Literature review suggests that more focused research is needed to establish optimal management and prevention strategies for this complication.
Introduction
Hiatal hernia is characterized by the herniation of abdominal organs through the esophageal hiatus into the thoracic cavity. The condition is classified into four types, with type IV being the rarest and involving organs such as the small bowel, colon, or spleen [1]. The pathophysiology includes factors such as the widening of the esophageal hiatus, loosening of the phrenoesophageal ligament, and a positive pressure gradient between the abdomen and thorax [2]. Here, we present a rare case of a massive type IV intrathoracic hernia that developed through an iatrogenic diaphragmatic relaxing incision (DRI) created during a prior Nissen fundoplication. We also review the relevant literature on this complication.
Case report
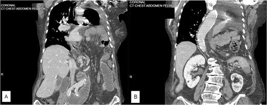
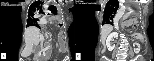
An 82-year-old woman with a prior history of hiatal hernia repair presented to the emergency department with 2 days of worsening abdominal pain and shortness of breath. Her vitals showed hypertension (170/112 mmHg) and oxygen saturation of 90% on room air. On examination, her abdomen was distended and tender to palpation. She exhibited increased work of breathing and decreased breath sounds on the left side. A computed tomography (CT) scan revealed a left diaphragmatic hernia containing small bowel and the splenic flexure of the colon as well as a high-grade small bowel obstruction and hypoenhancement of the spleen (Fig. 1A and B).

(A) Coronal CT scan showing pleural effusion and large left diaphragmatic herniation including a large portion of small bowel as well as splenic flexure of the colon. (B) Coronal CT scan showing herniation into pleural space with an effusion as well as anterior splenic hypoattenuation representing infarction.
Seven years earlier, the patient underwent laparoscopic hiatal hernia repair for a massive sliding hiatal hernia. This repair included mesh reinforcement, a Collis gastroplasty, and Nissen fundoplication. Bilateral diaphragmatic relaxing incisions (DRIs) were made to reduce crural tension. The patient recovered without complications, but in the years following, her hernia recurred on the left side. Despite being evaluated at multiple institutions, she was deemed a high-risk surgical candidate and chose not to undergo further surgery.
Due to the acute nature of her current presentation and the risk of bowel strangulation, an emergent exploratory laparotomy was performed. Intraoperatively, a significantly distended stomach was visualized. Decompression was achieved via a gastrotomy. A large portion of small bowel and colon was found herniated through the diaphragm, and ~7 cm of infarcted small bowel was resected. Notably, the spleen was also visualized within the chest cavity and attempts to reduce it were unsuccessful. At this time, the patient’s temperature was 34°C despite active rewarming measures and she was requiring vasopressor support. Therefore, it was decided to perform damage control surgery (DCS). The first phase was a small bowel resection involving the proximal and distal portion of the nonviable small bowel. She was left in discontinuity and temporary abdominal wall closure was achieved using a negative pressure device. The second phase of DCS included transferring the patient to the intensive care unit (ICU) for further resuscitation.
Phase three of DCS (definitive repair) took place two days later where the abdomen was re-explored. The known large diaphragmatic hernia was identified with incarcerated omentum and mesentery. Interestingly, the spleen was now noted to be intra-abdominal and demonstrated a 3 cm splenic laceration which was controlled with electrocautery. The remaining small bowel was run and found to be viable; the stapled ends were anastomosed, and the diaphragmatic defect, measuring 5 × 5 cm, was repaired with sutures. A gastrostomy tube was placed, and the abdomen was closed. The patient tolerated the procedure well.
The patient was extubated on post-operative day (POD) 1 and started on a clear liquid diet via gastrostomy tube. She was fully transitioned off intravenous narcotics and started on a soft diet by POD 5. The patient’s bowel function returned, and the patient was deemed stable for discharge on POD 6. The patient was seen in follow up 19 days after initial presentation and was reported to be doing well and recovering without complication.
Discussion
This case illustrates a rare complication of Nissen fundoplication involving a massive type IV hiatal hernia that developed through a DRI. The Nissen fundoplication is commonly performed for hiatal hernia repair, often with the use of mesh to reinforce the hiatal closure [3]. Repair of the hiatal defect is an important component of the procedure. Biologic or synthetic mesh is also often used to provide additional reinforcement and is favored over primary crural closure. This is a generally well tolerated procedure with good outcomes; however, recurrence rates range between 2% and 20% [1] with modern technique. Recurrence rates increase with larger presenting hernias [3].
A key tenet of good surgical outcomes for all hiatal hernia repairs include a tension free repair at the site of herniation [4]. DRI are one method of decreasing diaphragmatic and crural tension for a repair, with or without a mesh. The technique was first published in 1968 and has now become commonplace [5]. DRI has previously been touted to be safe and effective at reducing the rate of recurrences [6, 7].
A potentially underappreciated consideration is the risk of subsequent herniation of abdominal organs through the relaxing incision. This is a known but little studied complication of DRI. Literature documenting DRI herniations is sparse, especially as those as severe as that described in this presented case. Review of available research demonstrates rates of herniation through the DRI that vary from 1.3% to 30% (Table 1) [6, 8–11].
Overview of rates of operative-herniations through DRI in previously published studies
| Study . | Years included in study . | Total patients studied . | Number of patients in which a DRI was made . | Number of patients with a right-sided DRI . | Number of patients with a left-sided DRI . | Number of patients with reported post-operative herniation through DRI . | Mesh type used . |
|---|---|---|---|---|---|---|---|
| Alicuben et al. 2014 | 2011–2013 | 82 | 10 | 9 | 2 | 3 | Biologic (AlloMax) |
| Crespin et al. 2016 | 2007–2013 | 368 | 29 | 26 | 7 | 2 | Biologic |
| Tan et al. 2020 | 2013–2015 | 100 | 44 | Not listed | Not listed | 1 | Not listed |
| McKay et al. 2023 | 2016–2021 | 73 | 73 | 69 | 10 | 1 | Not listed |
| Study . | Years included in study . | Total patients studied . | Number of patients in which a DRI was made . | Number of patients with a right-sided DRI . | Number of patients with a left-sided DRI . | Number of patients with reported post-operative herniation through DRI . | Mesh type used . |
|---|---|---|---|---|---|---|---|
| Alicuben et al. 2014 | 2011–2013 | 82 | 10 | 9 | 2 | 3 | Biologic (AlloMax) |
| Crespin et al. 2016 | 2007–2013 | 368 | 29 | 26 | 7 | 2 | Biologic |
| Tan et al. 2020 | 2013–2015 | 100 | 44 | Not listed | Not listed | 1 | Not listed |
| McKay et al. 2023 | 2016–2021 | 73 | 73 | 69 | 10 | 1 | Not listed |
Overview of rates of operative-herniations through DRI in previously published studies
| Study . | Years included in study . | Total patients studied . | Number of patients in which a DRI was made . | Number of patients with a right-sided DRI . | Number of patients with a left-sided DRI . | Number of patients with reported post-operative herniation through DRI . | Mesh type used . |
|---|---|---|---|---|---|---|---|
| Alicuben et al. 2014 | 2011–2013 | 82 | 10 | 9 | 2 | 3 | Biologic (AlloMax) |
| Crespin et al. 2016 | 2007–2013 | 368 | 29 | 26 | 7 | 2 | Biologic |
| Tan et al. 2020 | 2013–2015 | 100 | 44 | Not listed | Not listed | 1 | Not listed |
| McKay et al. 2023 | 2016–2021 | 73 | 73 | 69 | 10 | 1 | Not listed |
| Study . | Years included in study . | Total patients studied . | Number of patients in which a DRI was made . | Number of patients with a right-sided DRI . | Number of patients with a left-sided DRI . | Number of patients with reported post-operative herniation through DRI . | Mesh type used . |
|---|---|---|---|---|---|---|---|
| Alicuben et al. 2014 | 2011–2013 | 82 | 10 | 9 | 2 | 3 | Biologic (AlloMax) |
| Crespin et al. 2016 | 2007–2013 | 368 | 29 | 26 | 7 | 2 | Biologic |
| Tan et al. 2020 | 2013–2015 | 100 | 44 | Not listed | Not listed | 1 | Not listed |
| McKay et al. 2023 | 2016–2021 | 73 | 73 | 69 | 10 | 1 | Not listed |
The optimal technique of creating and closing a DRI is still contested with disagreement between available literature. While some groups advocate for the use of mesh overlaying the DRI [9], others suggest that it increases the risk of developing a hernia [6]. Similarly, the ideal location of a DRI is unclear. Some reported data suggests that a right-sided DRI is advantageous to avoid the phrenic nerve and better approximate the crura [11]. Other research reports that a left-sided DRI is optimal due to the inherent fragility of the right crus as it is phylogenetically only a part of the left crus [12].
Overall, there is a paucity of data on herniation through DRI, as well as a lack of consensus on the optimal technique. Further research is necessary to elucidate the true rates of this catastrophic complication as well as ways to prevent it.
Conflict of interest statement
The authors have no conflicts of interest to disclose.
Funding
The authors have no relevant financial relationships or in-kind support to disclose.