-
PDF
- Split View
-
Views
-
Cite
Cite
Sofia Boligo, Cláudia Santos, Helena Contente, Idiopathic pneumoperitoneum after gynecological surgery: a report of two clinical cases, Journal of Surgical Case Reports, Volume 2024, Issue 11, November 2024, rjae710, https://doi.org/10.1093/jscr/rjae710
Close - Share Icon Share
Abstract
Pneumoperitoneum, characterized by the presence of air in the peritoneal cavity, is usually associated with severe clinical conditions, such as perforations of hollow viscera, often requiring urgent surgical intervention. However, in rare cases, pneumoperitoneum occurs without an identifiable cause, thus classified as idiopathic pneumoperitoneum. We present two clinical cases of women who developed pneumoperitoneum after extensive gynecological surgeries. In the first case, a 63-year-old woman underwent elective hysterectomy and bilateral adnexectomy due to a large adnexal mass. In the second case, a 55-year-old woman had a similar surgical history. Both patients were treated conservatively, with a positive outcome. Idiopathic pneumoperitoneum is a diagnostic and therapeutic challenge, especially in the postoperative context. The cases presented underscore the importance of rigorous diagnostic evaluation and a cautious therapeutic approach, suggesting that idiopathic pneumoperitoneum may represent a benign and self-limiting phenomenon rather than a surgical emergency.
Introduction
Pneumoperitoneum is characterized by the presence of air in the peritoneal cavity and is associated, in 90% of cases, with severe clinical conditions, often involving perforation of a hollow viscus, which require emergency surgical interventions [1, 2]. In the remaining 10% of cases, it is referred to as spontaneous or nonsurgical pneumoperitoneum, with various etiologies, including gynecological, thoracic, or iatrogenic causes. There are also rare cases where pneumoperitoneum occurs in the absence of an identifiable cause and is then classified as idiopathic pneumoperitoneum. Idiopathic pneumoperitoneum is an extremely rare condition, but it should be considered in hemodynamically stable patients without signs of sepsis or peritonitis when other causes have been excluded [1–4].
This diagnosis is particularly challenging because the presence of air in the peritoneum without a clear origin can pose a significant clinical dilemma, where conservative treatment must be carefully weighed against surgical intervention.
This article presents two clinical cases of pneumoperitoneum with no identified cause and aims to discuss their findings, contribute to the understanding of this clinical entity, and reinforce appropriate management strategies for patients with this rare diagnosis.
Clinical case 1
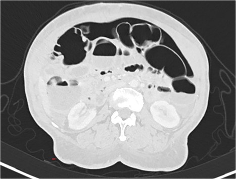
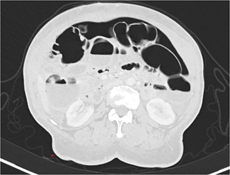
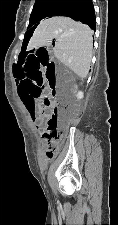
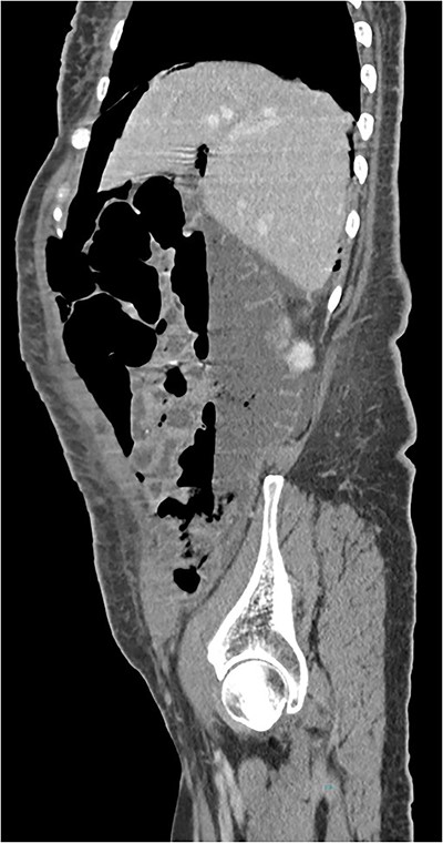
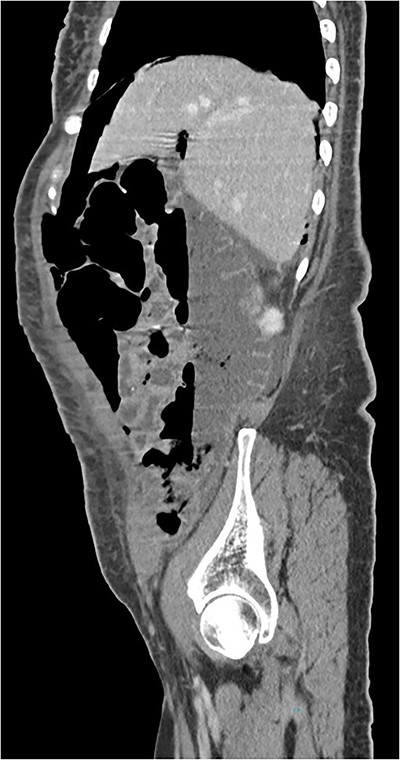
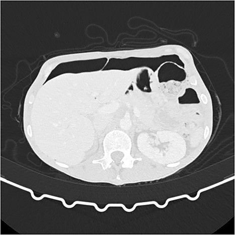
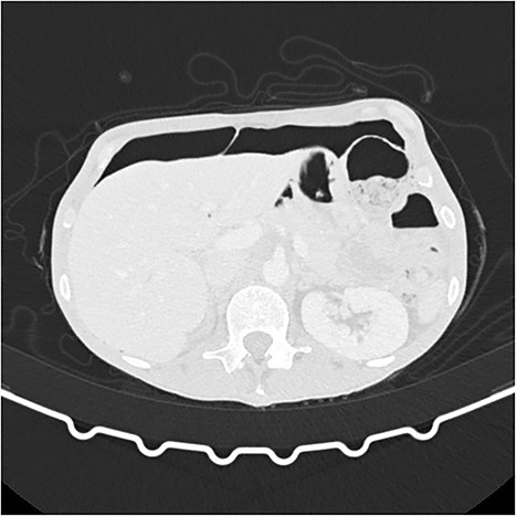
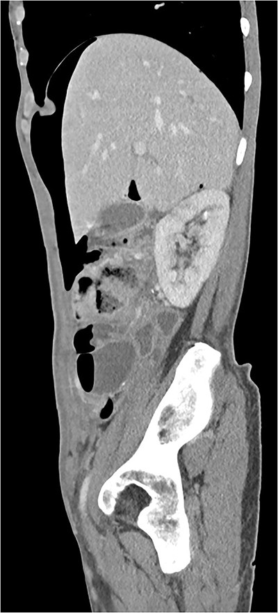
A 63-year-old woman underwent an elective hysterectomy and bilateral adnexectomy due to a large right adnexal mass (290 × 190 mm). On the sixth postoperative day, she developed nausea and vomiting, along with abdominal distension and generalized abdominal pain, without peritoneal signs or guarding. An abdominal X-ray was requested, which showed pneumoperitoneum and multiple air-fluid levels in the small intestine. Blood tests were unremarkable. An abdominal and pelvic computed tomography (CT) scan was also performed, revealing “pneumoperitoneum in a quantity above what would be expected given the postoperative timeline, with no image suggestive of hollow viscus or vaginal cuff dehiscence.” (Figs 1 and 2). Based on the clinical findings, a conservative approach was chosen. A nasogastric tube was placed, and the patient was put on a nil-by-mouth diet. Two days later, she began an oral diet and resumed intestinal transit, maintaining a favorable clinical course for the remainder of her hospital stay.


Clinical case 2
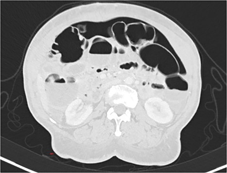
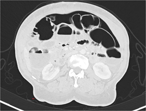
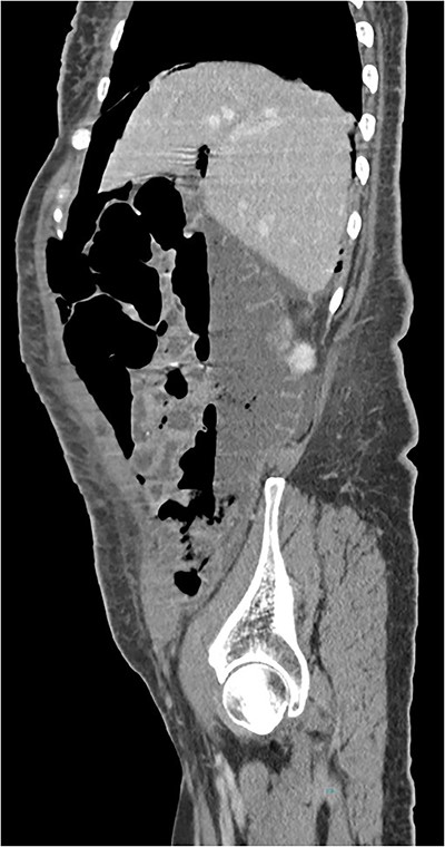
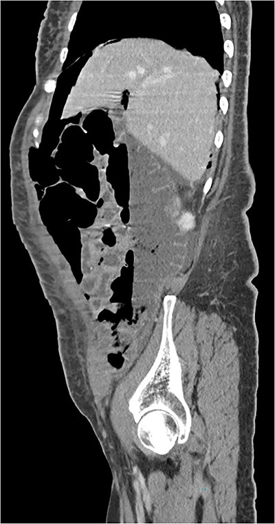
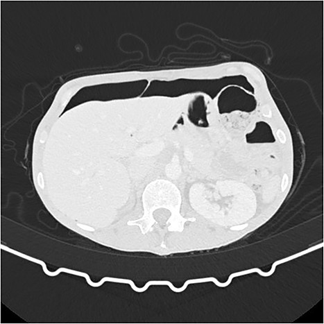
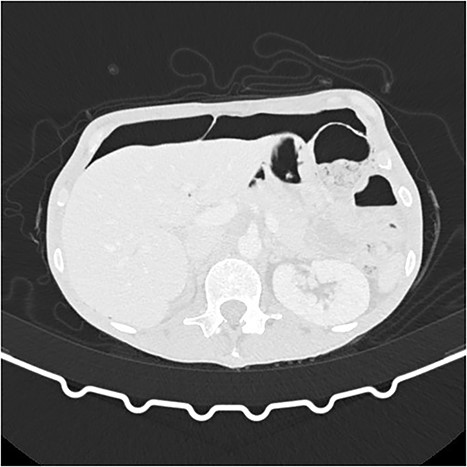
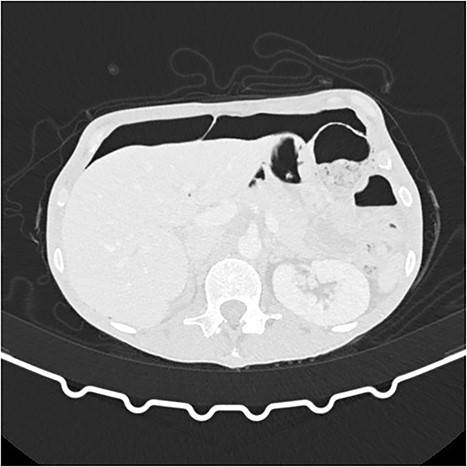
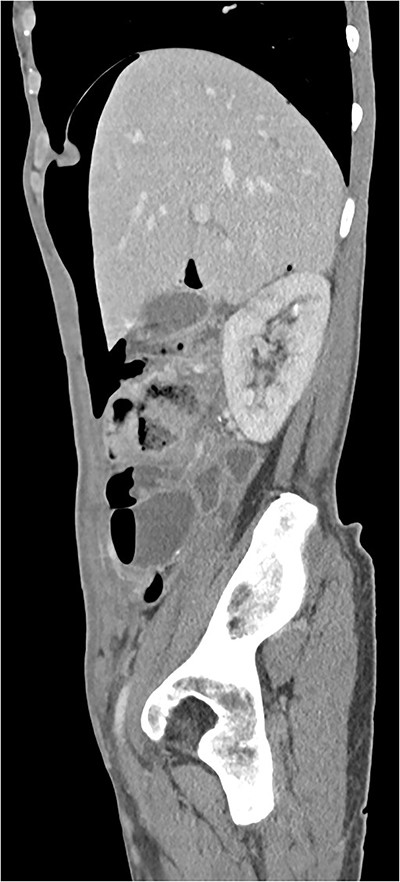
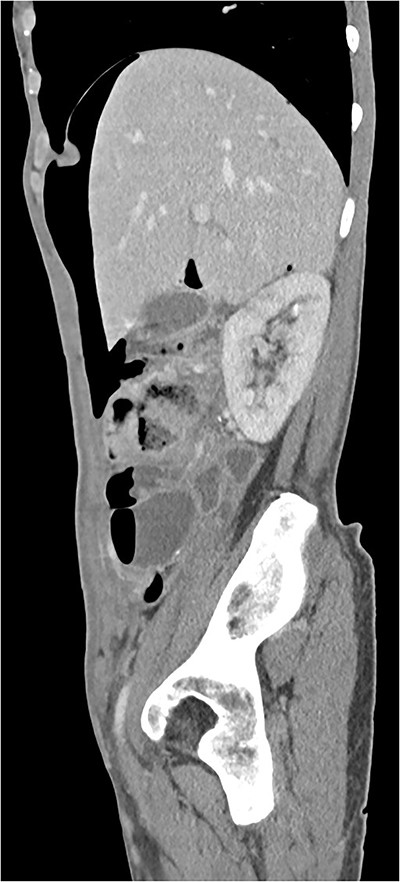
A 55-year-old woman was being followed in a gynecology consultation for a large abdominal mass, likely of adnexal origin (370 mm in its largest dimension). She underwent a hysterectomy, bilateral adnexectomy, and segmental enterectomy due to an iatrogenic perforation of a small bowel loop. On the seventh postoperative day, due to the absence of intestinal transit since surgery, an abdominal X-ray was requested, and general surgery was consulted, suspecting pneumoperitoneum. In this context, the patient underwent a CT scan, which revealed “pneumoperitoneum in the free cavity, significant for one week postoperative, with about 4 cm anteroposterior diameter in the epigastric region. There is also a significant amount of retroperitoneal air in the left pelvic cavity, extending to the presacral space. There are no gas bubbles immediately adjacent to the surgical suture lines.” (Figs 3 and 4). Blood tests showed no significant alterations, and clinically, the patient was hemodynamically stable with only mild tenderness on abdominal palpation, without guarding. Based on the clinical, laboratory, and imaging findings, it was decided to keep the patient on a nil-by-mouth diet with clinical observation. The next day, the patient resumed intestinal transit, allowing for the reintroduction of an oral diet. Blood tests showed no increase in inflammatory markers. The patient continued to progress favorably during the remainder of her hospital stay and was discharged on the tenth postoperative day.


Discussion
Idiopathic pneumoperitoneum is a rare and challenging clinical entity, particularly in the postoperative context. In the reported cases, both patients underwent complex gynecological surgical procedures, subsequently developing pneumoperitoneum without clear evidence of visceral perforation. This scenario raises important questions about the etiology, diagnosis, and management of pneumoperitoneum in asymptomatic or minimally symptomatic patients.
The etiology of idiopathic pneumoperitoneum remains uncertain, especially in postoperative patients. Several theories have been proposed to explain the origin of pneumoperitoneum without perforation, including self-resolving microperforations, the passage of air through the fallopian tubes during gynecological surgeries, or even the introduction of air during laparoscopic procedures. Another hypothesis is the presence of residual air, which is generally absorbed within the first few days but may persist longer after prolonged surgeries involving extensive manipulation of the peritoneal cavity [5].
The diagnosis of idiopathic pneumoperitoneum requires a meticulous approach to exclude other potential causes. CT plays a crucial role in evaluating these patients, allowing for detailed visualization of the air distribution and the exclusion of obvious sources of perforation.
The management of idiopathic pneumoperitoneum is a controversial topic. Traditionally, the presence of pneumoperitoneum is considered an indication for exploratory surgery, given the potential severity of underlying causes. However, recent studies and case reports, such as those presented here, suggest that in clinically stable patients without signs of peritonitis, careful observation may be a safe approach [1, 2].
The presented cases highlight the importance of appropriate diagnostic and therapeutic strategies, where even in the presence of pneumoperitoneum, the absence of clinical signs of peritonitis and imaging findings of visceral injury suggest that this condition may not represent a surgical emergency but rather a benign and self-limiting phenomenon.
Conflict of interest statement
The authors have no conflicts of interest.
Funding
None declared.