-
PDF
- Split View
-
Views
-
Cite
Cite
Zachary Wilson, Jason Diab, Soni Putnis, Migratory biliary stent resulting in colonic perforation: a rare complication and review of literature, Journal of Surgical Case Reports, Volume 2023, Issue 3, March 2023, rjad109, https://doi.org/10.1093/jscr/rjad109
Close - Share Icon Share
Abstract
Biliary stent insertion during endoscopic retrograde cholangiopancreatography is used as a therapeutic intervention allowing flow of bile into the duodenum. In rare circumstances, distal gastrointestinal perforation can be attributed to a migrated biliary stent, with the most common site being the sigmoid colon. In these cases, surgical and/or endoscopic intervention may be required. We report a case of a 98-year-old male presenting with small bowel obstruction secondary to migrated plastic and metal biliary stents placed for acute biliary pancreatitis. Due to advanced age and high-risk multiple comorbidities, conservative management was undertaken. The patient was discharged after 5 days after ongoing pain and obstipation with palliative care services in place.
INTRODUCTION
Biliary stents are used in the management of obstructive jaundice for both benign and malignant pathological processes [1]. There are many biliary stents available differing by size, design and material (plastic, polyethylene, Teflon or metal) [2]. Common complications include stent occlusion, cholangitis, bleeding and pancreatitis. Less common complications for biliary stents include dislocation and migration of biliary stents estimated to occur in 5–10% of patients [3]. Displaced stents may migrate distally to the colon; however, most will spontaneously pass without any complication [4]. In less common circumstances, distal bowel perforation is a rare complication of migrated biliary stents and may warrant surgical or endoscopic intervention [5]. We present a case of a migrated metal and plastic biliary stent causing small bowel obstruction leading to bowel perforation.
CASE REPORT
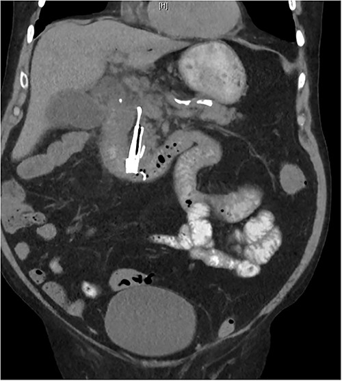
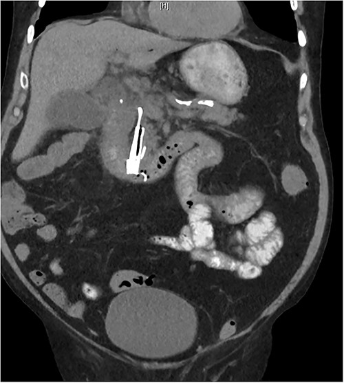
A 98-year-old male from a high-level care nursing home presented to the emergency department with abdominal pain, vomiting and faecal incontinence. His medical history included atrial fibrillation, transient ischaemic attack, chronic kidney disease, peripheral vascular disease, hypertension, gout and osteoarthritis. His surgical history included previous endoscopic retrograde cholangiopancreatography (ERCP) for acute biliary pancreatitis 30 months prior with insertion of a 4 cm × 10 mm metal biliary stent with an internal anchoring 7 Fr × 4 cm double pigtail plastic stent (Fig. 1). His Charlson comorbidity index was 3 with an American Society of Anaesthesiologists’ (ASA) classification of IV.

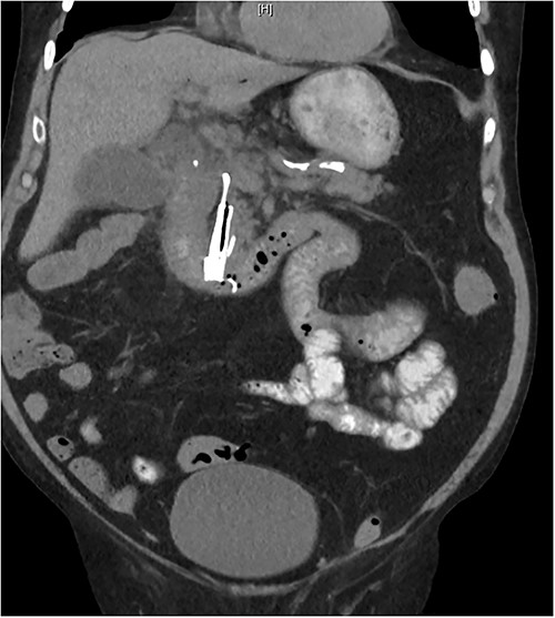
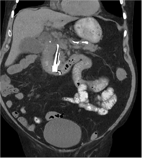
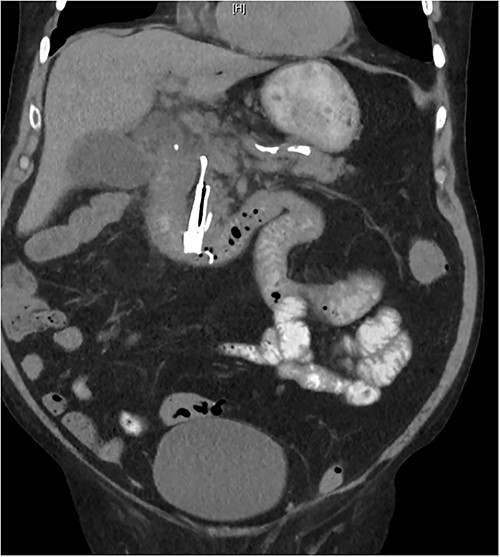
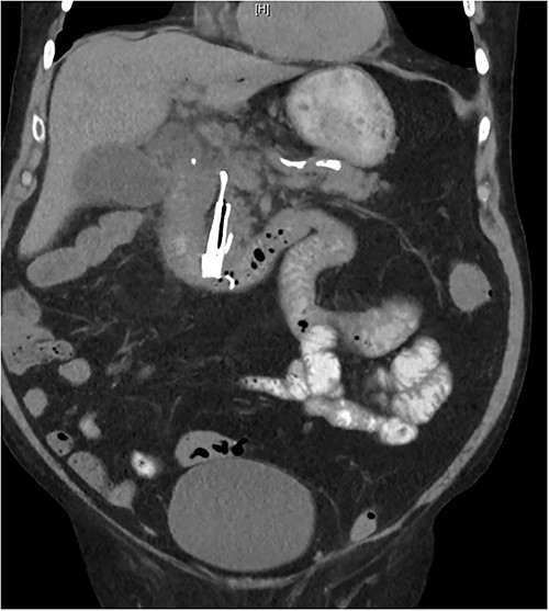
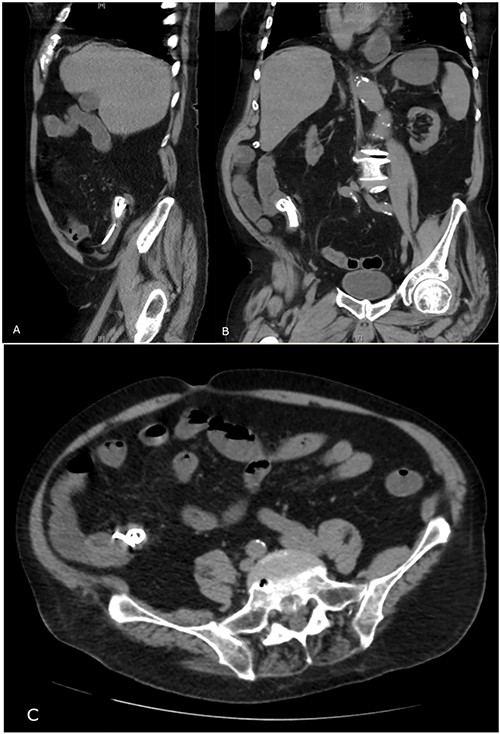
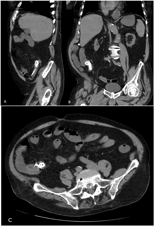
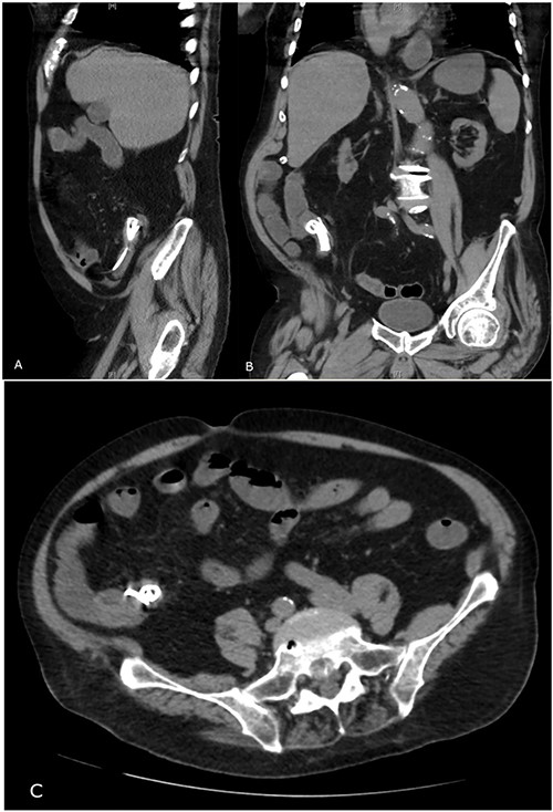
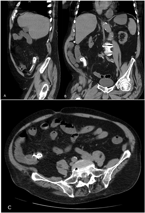
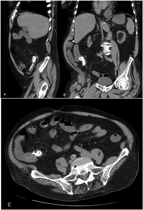
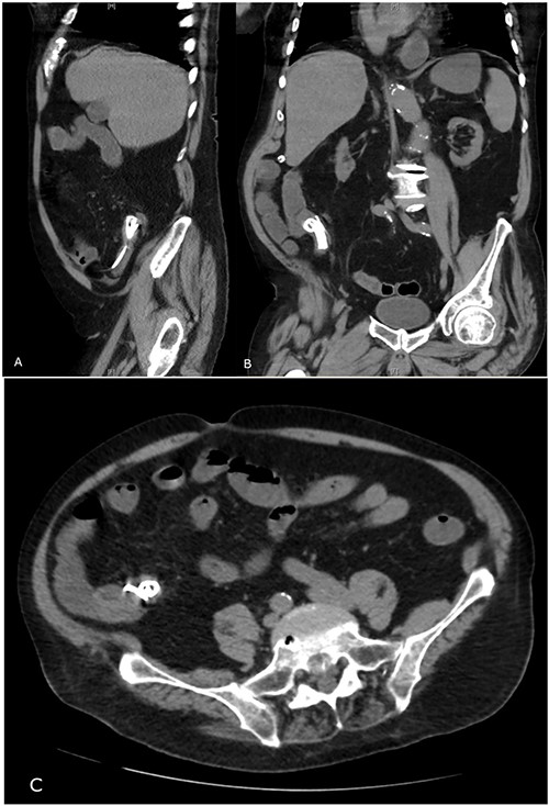
On presentation, there was no signs of shock, with a blood pressure of 152/70, heart rate of 88 and oxygen saturations of 94% on room air. A temperature of 38.1°C, however, was noted and physical examination revealing a distended abdomen with right lower quadrant tenderness. He had no peritonism and digital rectal examination showed an empty rectum. Biochemical investigations showed a white blood cell count of 20.00 × 109/L, C-reactive protein level of 126 mg/L, eGFR of 32 ml/min/1.73 m2, creatinine of 153 umol/L; he had normal liver function tests, coagulation profile and electrolytes. A computed tomography (CT) abdomen and pelvis with intravenous contrast revealed a distally migrated metallic biliary stent located in the terminal ileum with mildly dilated loops of distal small bowel indicating early or incomplete small bowel obstruction (Fig. 2).

Abdominal CT showing migrated biliary stent in sagittal (A), coronal (B) and transverse (C) views.
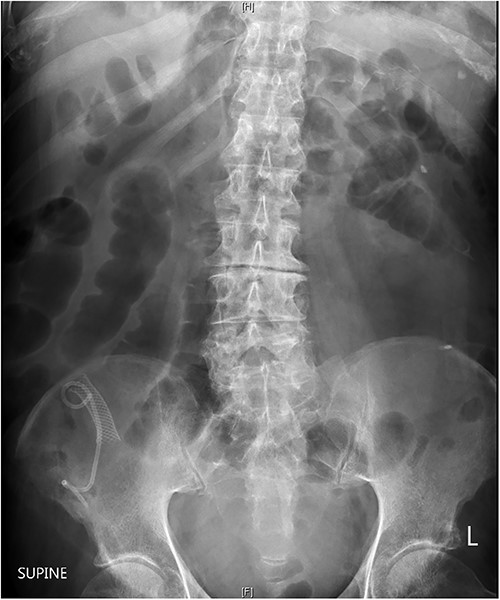
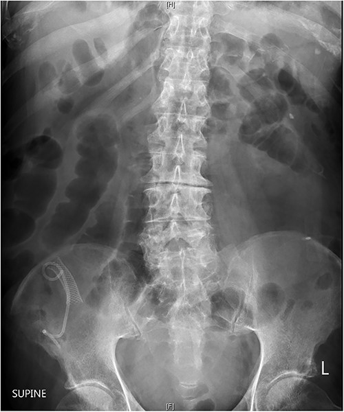
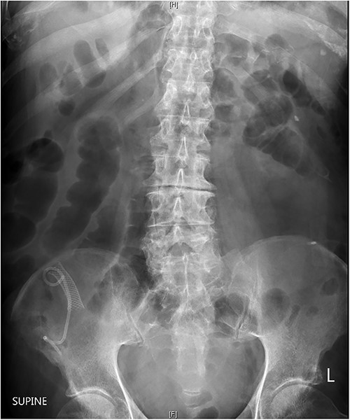
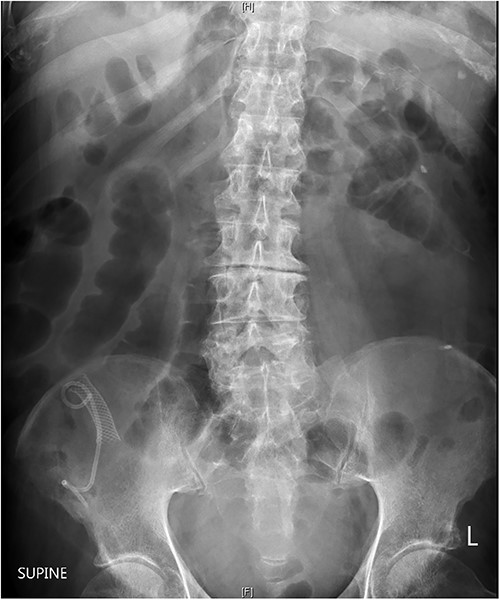
After a multidisciplinary consultation involving medical, geriatrics and surgical teams, the patient and family collectively decided for conservative management given age and high-risk multiple comorbidities. He was managed with intravenous fluids, broad spectrum Gram positive and Gram negative intravenous antibiotics, nasogastric tube and an indwelling catheter for 48 h. He progressed with minimal pain over the next 24 h and passed flatus. Subsequent plain abdominal radiography 2 days after presentation confirmed the presence of migrated metal and plastic biliary stents in the terminal ileum with dilated loops of small bowel suggestive of ongoing bowel obstruction (Fig. 3). After 5 days of not opening bowels and ongoing pain, he was transferred back to a nursing home facility with palliative care services in place. The patient passed away 3 weeks after transferring back to the nursing home facility with a suspected bowel perforation and no documentation of the stents having been passed.

Abdominal radiography showing plastic and metallic biliary stents projected over the right iliac bone and dilated loops of small bowl throughout the abdomen and pelvis.
DISCUSSION
ERCP has evolved as a previously diagnostic to predominantly therapeutic intervention in the management of pancreaticobiliary disorders. It is most commonly utilized for the removal of common bile duct (CBD) stones and relief of obstructive jaundice [7]. As an advanced endoscopic procedure, it allows gastroenterologists and specialized surgeons to pass instruments into the biliary and pancreatic ducts permitting radiographic visualization and permitting flow into the duodenum [8]. A wide range of plastic and metal stents of differing designs are available for a board range of biliary and pancreatic conditions [9]. In a meta-analysis, metal stents in cases of malignant biliary obstruction led to longer stent patency and symptom-free survival at 6 months [6]. The use of plastic stents is common due to easy insertion/removal and lower costs, but have a higher occlusion rate which may lead to complications such as recurrent jaundice, pruritus and cholangitis [10]. The European Society for Gastrointestinal Endoscopy recommends that for benign biliary strictures and removal of CBD stones, placement of temporary plastic biliary stents is recommended with metal stents as an alternative [11].
The most frequent complications associated with stent insertions are occlusion with subsequent cholangitis or tumour over growth in cases of malignant lesions. Migrated biliary stents carry complications including fistula and/or abscess formation, obstruction and perforation of the gastro-intestinal tract in <1% of cases [2, 12]. In a multi-centre retrospective study, Emara et al. concluded that there is increased risk of stent migration associated with dilated CBDs, longer biliary stents and distal benign biliary strictures. Along with strictures that are dilated prior to stent insertion or if sphincterotomies have been performed during the procedure [13]. In cases of a benign biliary strictures, the aforementioned study recommended use of a maximum number of plastic stents may reduce the risk of migration when compared with insertion of a single plastic stent [14].
Perforation of the colon is a rare complication associated with a migrated biliary stent, which may warrant surgical and/or endoscopic intervention. The literature reports the sigmoid colon as the most common large bowel segment involved (Table 1). Endoscopic options for stent retrieval may be indicated in intraluminal cases and aid in facilitating shorter hospital stays. Surgical intervention is indicated in cases of perforations causing peritonitis, abscess or fistulas [1, 6]. The most common reported risk factor includes diverticulosis, followed by adhesions, hernia or strictures. These have been shown to increase the risk of perforation from a migrated biliary stent and patients with such factors should be counselled accordingly [5].
A literature review of case reports on colon perforation due to migrated biliary stent
| Author . | Year . | Age . | Sex . | Stent . | Material . | Indication . | Time to migration . | Risk factors . | Presenting complaint . | Perforation location . | Management . | Length of stay . |
|---|---|---|---|---|---|---|---|---|---|---|---|---|
| D’Costa [16] | 1994 | 73 | M | 10 Fr 10.5 cm | Plastic | CBD malignancy | Unknown | N/A | Abdominal pain | Ascending colon | Surgical | Unknown |
| Baty [17] | 1996 | 86 | F | Unknown | Polyethylene | Pancreas head cancer with CBD invasion | 1 month | Diverticulosis | Abdominal pain | Sigmoid diverticula perforation | Sigmoidectomy | 10 days |
| Schaafsma [18] | 1996 | 77 | F | Straight | Unknown | Acute Cholangitis with CBD stone | 6 months | Diverticulosis | Abdominal pain | Sigmoid diverticula perforation | Surgical | Unknown |
| Lenzo [19] | 1998 | 82 | F | 10 Fr 7.5 cm straight | Polyethylene | Acute Cholangitis with CBD stone | 1 month | Diverticulosis | Abdominal pain | Sigmoid diverticula perforation | Surgical primary closure | 11 days |
| Størkson [20] | 2000 | 86 | M | 7 Fr 5 cm straight | Plastic | Acute Cholangitis with CBD stone | 2 years | Unknown | Unknown | Sigmoid | Surgical primary closure | Unknown |
| Figueiras [21] | 2001 | 47 | M | 10 Fr 10 cm straight | Polyethylene | Cholangitis – Benign stricture | 3 months | N/A | Abdominal pain, PR bleeding | Splenic flexure | Removal through colocutaneous fistula | Unknown |
| Klein [22] | 2001 | 70 | F | 7 Fr 5 cm straight | Teflon | CBD stone | 3 years | Diverticulosis | Abdominal pain | Sigmoid diverticula perforation | Surgical | 10 days |
| Elliot [23] | 2003 | 80 | F | 10 Fr 10 cm straight | Unknown | Acute Cholangitis with CBD stone | 4 months | N/A | Abdominal pain | Sigmoid | Hartmann procedure | Unknown |
| Diller [24] | 2003 | 58 | M | 7 Fr 10 cm straight | Teflon | Post Liver Transplant bile duct stricture | 1 month | Diverticulosis | Unknown | Sigmoid diverticula perforation | Sigmoidectomy | Unknown |
| Wilhelm [4] | 2003 | 85 | F | Straight | Unknown | CBD stone | 18 months | Diverticulosis | Pneumaturia | Sigmoid diverticula perforation with colovesicular fistula | Sigmoidectomy | 10 days |
| Anderson [25] | 2007 | 80 | F | Straight | Unknown | CBD stone | 5 months | Diverticulosis | Leg pain and hip stiffness | Sigmoid diverticula perforation | Endoscopic removal | Unknown |
| Namdar [2] | 2007 | 65 | F | 12 Fr 10 cm straight | Plastic | Post cholecystectomy bile leakage | 3 months | N/A | Abdominal pain | Rectum | Rectal resection | 7 days |
| Bagul [15] | 2010 | 79 | F | 10 Fr 9 cm straight | Plastic | Post cholecystectomy bile duct stricture | 3 months | Diverticulosis | Left groin swelling | Sigmoid diverticula perforation | Endoscopic removal | Unknown |
| Jafferbhoy [12] | 2011 | 82 | F | 7 Fr 7 cm straight | Plastic | Post cholecystectomy bile leakage | 3 months | Diverticulosis | Left iliac fossa pain | Sigmoid diverticula perforation | Endoscopic removal and clip closure | 2 days |
| Lankisch [26] | 2011 | 65 | F | 10 Fr 10 cm straight | Plastic | Pancreas head cancer with CBD invasion | 2 weeks | N/A | Abdominal pain | Sigmoid | Surgery | Unknown |
| Malgras [27] | 2011 | 73 | Unknown | 10 Fr 5 cm straight | Plastic | Pancreas head cancer with CBD invasion | 15 days | Diverticulosis | Unknown | Sigmoid diverticula perforation | Hartmann procedure | Unknown |
| Wagemakers [28] | 2011 | 76 | F | Unknown | Plastic | CBD stone | 1 month | Diverticulosis | Pneumaturia, fecaluria, persistent UTI | Sigmoid diverticula perforation | Sigmoidectomy | 8 days |
| Alcaide [29] | 2012 | 73 | M | 10 Fr 12 cm straight | Plastic | CBD stone with benign biliary stricture | 15 days | Diverticulosis | Left iliac fossa pain | Sigmoid diverticula perforation | Endoscopic removal and clip closure | 14 days |
| Kittappa [30] | 2013 | 58 | F | Unknown | Plastic | Post cholecystectomy bile leakage | 18 months | Diverticulosis | Abdominal pain | Sigmoid diverticula perforation | Hartmann procedure | Unknown |
| Jones [31] | 2013 | 66 | M | Straight | Plastic | Post cholecystectomy bile duct stricture | 3 months | N/A | Right upper quadrant pain | Caecum | Endoscopic removal | 1 day |
| Konstantinidis [32] | 2014 | 69 | F | Straight | Plastic | CBD stone | 2 months | N/A | Abdominal pain | Sigmoid | Surgical primary closure | 7 days |
| Mady [33] | 2015 | Unknown | M | Unknown | Plastic | Pancreas head cancer with CBD invasion | 1 month | Diverticulosis | Peritonitis and Shock | Sigmoid diverticula perforation with pelvic abscess | Hartmann procedure | Unknown |
| Virgilio [34] | 2015 | Unknown | F (Case 1) | Unknown | Plastic | CBD stone | Unknown | Diverticulosis | Abdominal pain | Sigmoid diverticula perforation | Hartmann procedure | Unknown |
| Unknown | F (Case 2) | 12 Fr 12 cm straight | Plastic | CBD stone | Unknown | Diverticulosis | Abdominal pain | Sigmoid diverticula perforation | Endoscopic removal | Unknown | ||
| Chittleborough [35] | 2016 | 73 | M | 10 Fr 5 cm straight | Plastic | Acute Cholangitis with CBD stone | 3 months | Diverticulosis | Abdominal pain | Sigmoid diverticula perforation | Hartmann procedure | 18 days |
| Chou [36] | 2017 | 85 | F | Unknown | Plastic | CBD stone | Unknown | N/A | Asymptomatic | Sigmoid | Endoscopic removal and clip closure | 2 |
| Siaperas [37] | 2017 | 75 | F | Straight | Plastic | Post cholecystectomy bile duct stricture | 1 month | Diverticulosis | Abdominal pain | Sigmoid diverticula perforation | Hartmann procedure | 10 days |
| Hogendorf [38] | 2018 | 76 | F (Case 1) | Unknown | Plastic | CBD stone | 6 months | Diverticulosis | Abdominal pain | Sigmoid diverticula perforation | Sigmoidectomy | 24 days |
| 68 | M (Case 2) | 7 Fr 10 cm straight | Plastic | Pancreas head cancer with CBD invasion | 1 month | N/A | Abdominal pain | Rectum | Transverse colostomy | 11 days | ||
| Riccardi [39] | 2019 | 79 | F | 10 Fr 10 cm straight, Double pigtail 7 Fr | Plastic | CBD stone | 1 month | Diverticulosis | Abdominal pain | Sigmoid diverticula perforation | Hartmann procedure | 9 days |
| Marcos [40] | 2020 | 65 | F | 10 Fr 5 cm straight | Plastic | Post cholecystectomy bile duct stricture | 12 months | Diverticulosis | Asymptomatic | Sigmoid diverticula perforation | Surgical primary closure | Unknown |
| Pengermä [41] | 2021 | 66 | F | 10 Fr 5 cm straight | Plastic | Chronic pancreatitis with distal biliary stricture | 2 months | N/A | Abdominal pain | Appendix | Appendicectomy | Unknown |
| Tao [42] | 2021 | 54 | M | Straight | Plastic | Acute Cholangitis with CBD stone, biliary pancreatitis | 3 months | N/A | Abdominal pain | Sigmoid | Sigmoidectomy + colostomy | 10 days |
| Park [5] | 2021 | 74 | M | 10 Fr 7 cm straight | Plastic | Acute Cholangitis with CBD stone | 1 month | Diverticulosis | Abdominal pain | Ascending colon | Surgical hemicolectomy | Unknown |
| Ong [43] | 2021 | 57 | M | Straight | Plastic | CBD stone | 8 years | N/A | Abdominal pain | Caecum | Surgical primary closure | Unknown |
| Kodia [1] | 2022 | 60 | F | Unknown | Plastic | Gallbladder carcinoma with CBD invasion | 2 months | N/A | Abdominal pain | Ascending colon | Hybrid laparoendoscopic | 4 days |
| Yamaguchi [44] | 2022 | 86 | F | 7 Fr 7 cm straight | Plastic | Acute Cholangitis with CBD stone | 1 month | Diverticulosis | Abdominal pain | Sigmoid diverticula perforation | Endoscopic removal and clip closure | 14 days |
| Author . | Year . | Age . | Sex . | Stent . | Material . | Indication . | Time to migration . | Risk factors . | Presenting complaint . | Perforation location . | Management . | Length of stay . |
|---|---|---|---|---|---|---|---|---|---|---|---|---|
| D’Costa [16] | 1994 | 73 | M | 10 Fr 10.5 cm | Plastic | CBD malignancy | Unknown | N/A | Abdominal pain | Ascending colon | Surgical | Unknown |
| Baty [17] | 1996 | 86 | F | Unknown | Polyethylene | Pancreas head cancer with CBD invasion | 1 month | Diverticulosis | Abdominal pain | Sigmoid diverticula perforation | Sigmoidectomy | 10 days |
| Schaafsma [18] | 1996 | 77 | F | Straight | Unknown | Acute Cholangitis with CBD stone | 6 months | Diverticulosis | Abdominal pain | Sigmoid diverticula perforation | Surgical | Unknown |
| Lenzo [19] | 1998 | 82 | F | 10 Fr 7.5 cm straight | Polyethylene | Acute Cholangitis with CBD stone | 1 month | Diverticulosis | Abdominal pain | Sigmoid diverticula perforation | Surgical primary closure | 11 days |
| Størkson [20] | 2000 | 86 | M | 7 Fr 5 cm straight | Plastic | Acute Cholangitis with CBD stone | 2 years | Unknown | Unknown | Sigmoid | Surgical primary closure | Unknown |
| Figueiras [21] | 2001 | 47 | M | 10 Fr 10 cm straight | Polyethylene | Cholangitis – Benign stricture | 3 months | N/A | Abdominal pain, PR bleeding | Splenic flexure | Removal through colocutaneous fistula | Unknown |
| Klein [22] | 2001 | 70 | F | 7 Fr 5 cm straight | Teflon | CBD stone | 3 years | Diverticulosis | Abdominal pain | Sigmoid diverticula perforation | Surgical | 10 days |
| Elliot [23] | 2003 | 80 | F | 10 Fr 10 cm straight | Unknown | Acute Cholangitis with CBD stone | 4 months | N/A | Abdominal pain | Sigmoid | Hartmann procedure | Unknown |
| Diller [24] | 2003 | 58 | M | 7 Fr 10 cm straight | Teflon | Post Liver Transplant bile duct stricture | 1 month | Diverticulosis | Unknown | Sigmoid diverticula perforation | Sigmoidectomy | Unknown |
| Wilhelm [4] | 2003 | 85 | F | Straight | Unknown | CBD stone | 18 months | Diverticulosis | Pneumaturia | Sigmoid diverticula perforation with colovesicular fistula | Sigmoidectomy | 10 days |
| Anderson [25] | 2007 | 80 | F | Straight | Unknown | CBD stone | 5 months | Diverticulosis | Leg pain and hip stiffness | Sigmoid diverticula perforation | Endoscopic removal | Unknown |
| Namdar [2] | 2007 | 65 | F | 12 Fr 10 cm straight | Plastic | Post cholecystectomy bile leakage | 3 months | N/A | Abdominal pain | Rectum | Rectal resection | 7 days |
| Bagul [15] | 2010 | 79 | F | 10 Fr 9 cm straight | Plastic | Post cholecystectomy bile duct stricture | 3 months | Diverticulosis | Left groin swelling | Sigmoid diverticula perforation | Endoscopic removal | Unknown |
| Jafferbhoy [12] | 2011 | 82 | F | 7 Fr 7 cm straight | Plastic | Post cholecystectomy bile leakage | 3 months | Diverticulosis | Left iliac fossa pain | Sigmoid diverticula perforation | Endoscopic removal and clip closure | 2 days |
| Lankisch [26] | 2011 | 65 | F | 10 Fr 10 cm straight | Plastic | Pancreas head cancer with CBD invasion | 2 weeks | N/A | Abdominal pain | Sigmoid | Surgery | Unknown |
| Malgras [27] | 2011 | 73 | Unknown | 10 Fr 5 cm straight | Plastic | Pancreas head cancer with CBD invasion | 15 days | Diverticulosis | Unknown | Sigmoid diverticula perforation | Hartmann procedure | Unknown |
| Wagemakers [28] | 2011 | 76 | F | Unknown | Plastic | CBD stone | 1 month | Diverticulosis | Pneumaturia, fecaluria, persistent UTI | Sigmoid diverticula perforation | Sigmoidectomy | 8 days |
| Alcaide [29] | 2012 | 73 | M | 10 Fr 12 cm straight | Plastic | CBD stone with benign biliary stricture | 15 days | Diverticulosis | Left iliac fossa pain | Sigmoid diverticula perforation | Endoscopic removal and clip closure | 14 days |
| Kittappa [30] | 2013 | 58 | F | Unknown | Plastic | Post cholecystectomy bile leakage | 18 months | Diverticulosis | Abdominal pain | Sigmoid diverticula perforation | Hartmann procedure | Unknown |
| Jones [31] | 2013 | 66 | M | Straight | Plastic | Post cholecystectomy bile duct stricture | 3 months | N/A | Right upper quadrant pain | Caecum | Endoscopic removal | 1 day |
| Konstantinidis [32] | 2014 | 69 | F | Straight | Plastic | CBD stone | 2 months | N/A | Abdominal pain | Sigmoid | Surgical primary closure | 7 days |
| Mady [33] | 2015 | Unknown | M | Unknown | Plastic | Pancreas head cancer with CBD invasion | 1 month | Diverticulosis | Peritonitis and Shock | Sigmoid diverticula perforation with pelvic abscess | Hartmann procedure | Unknown |
| Virgilio [34] | 2015 | Unknown | F (Case 1) | Unknown | Plastic | CBD stone | Unknown | Diverticulosis | Abdominal pain | Sigmoid diverticula perforation | Hartmann procedure | Unknown |
| Unknown | F (Case 2) | 12 Fr 12 cm straight | Plastic | CBD stone | Unknown | Diverticulosis | Abdominal pain | Sigmoid diverticula perforation | Endoscopic removal | Unknown | ||
| Chittleborough [35] | 2016 | 73 | M | 10 Fr 5 cm straight | Plastic | Acute Cholangitis with CBD stone | 3 months | Diverticulosis | Abdominal pain | Sigmoid diverticula perforation | Hartmann procedure | 18 days |
| Chou [36] | 2017 | 85 | F | Unknown | Plastic | CBD stone | Unknown | N/A | Asymptomatic | Sigmoid | Endoscopic removal and clip closure | 2 |
| Siaperas [37] | 2017 | 75 | F | Straight | Plastic | Post cholecystectomy bile duct stricture | 1 month | Diverticulosis | Abdominal pain | Sigmoid diverticula perforation | Hartmann procedure | 10 days |
| Hogendorf [38] | 2018 | 76 | F (Case 1) | Unknown | Plastic | CBD stone | 6 months | Diverticulosis | Abdominal pain | Sigmoid diverticula perforation | Sigmoidectomy | 24 days |
| 68 | M (Case 2) | 7 Fr 10 cm straight | Plastic | Pancreas head cancer with CBD invasion | 1 month | N/A | Abdominal pain | Rectum | Transverse colostomy | 11 days | ||
| Riccardi [39] | 2019 | 79 | F | 10 Fr 10 cm straight, Double pigtail 7 Fr | Plastic | CBD stone | 1 month | Diverticulosis | Abdominal pain | Sigmoid diverticula perforation | Hartmann procedure | 9 days |
| Marcos [40] | 2020 | 65 | F | 10 Fr 5 cm straight | Plastic | Post cholecystectomy bile duct stricture | 12 months | Diverticulosis | Asymptomatic | Sigmoid diverticula perforation | Surgical primary closure | Unknown |
| Pengermä [41] | 2021 | 66 | F | 10 Fr 5 cm straight | Plastic | Chronic pancreatitis with distal biliary stricture | 2 months | N/A | Abdominal pain | Appendix | Appendicectomy | Unknown |
| Tao [42] | 2021 | 54 | M | Straight | Plastic | Acute Cholangitis with CBD stone, biliary pancreatitis | 3 months | N/A | Abdominal pain | Sigmoid | Sigmoidectomy + colostomy | 10 days |
| Park [5] | 2021 | 74 | M | 10 Fr 7 cm straight | Plastic | Acute Cholangitis with CBD stone | 1 month | Diverticulosis | Abdominal pain | Ascending colon | Surgical hemicolectomy | Unknown |
| Ong [43] | 2021 | 57 | M | Straight | Plastic | CBD stone | 8 years | N/A | Abdominal pain | Caecum | Surgical primary closure | Unknown |
| Kodia [1] | 2022 | 60 | F | Unknown | Plastic | Gallbladder carcinoma with CBD invasion | 2 months | N/A | Abdominal pain | Ascending colon | Hybrid laparoendoscopic | 4 days |
| Yamaguchi [44] | 2022 | 86 | F | 7 Fr 7 cm straight | Plastic | Acute Cholangitis with CBD stone | 1 month | Diverticulosis | Abdominal pain | Sigmoid diverticula perforation | Endoscopic removal and clip closure | 14 days |
A literature review of case reports on colon perforation due to migrated biliary stent
| Author . | Year . | Age . | Sex . | Stent . | Material . | Indication . | Time to migration . | Risk factors . | Presenting complaint . | Perforation location . | Management . | Length of stay . |
|---|---|---|---|---|---|---|---|---|---|---|---|---|
| D’Costa [16] | 1994 | 73 | M | 10 Fr 10.5 cm | Plastic | CBD malignancy | Unknown | N/A | Abdominal pain | Ascending colon | Surgical | Unknown |
| Baty [17] | 1996 | 86 | F | Unknown | Polyethylene | Pancreas head cancer with CBD invasion | 1 month | Diverticulosis | Abdominal pain | Sigmoid diverticula perforation | Sigmoidectomy | 10 days |
| Schaafsma [18] | 1996 | 77 | F | Straight | Unknown | Acute Cholangitis with CBD stone | 6 months | Diverticulosis | Abdominal pain | Sigmoid diverticula perforation | Surgical | Unknown |
| Lenzo [19] | 1998 | 82 | F | 10 Fr 7.5 cm straight | Polyethylene | Acute Cholangitis with CBD stone | 1 month | Diverticulosis | Abdominal pain | Sigmoid diverticula perforation | Surgical primary closure | 11 days |
| Størkson [20] | 2000 | 86 | M | 7 Fr 5 cm straight | Plastic | Acute Cholangitis with CBD stone | 2 years | Unknown | Unknown | Sigmoid | Surgical primary closure | Unknown |
| Figueiras [21] | 2001 | 47 | M | 10 Fr 10 cm straight | Polyethylene | Cholangitis – Benign stricture | 3 months | N/A | Abdominal pain, PR bleeding | Splenic flexure | Removal through colocutaneous fistula | Unknown |
| Klein [22] | 2001 | 70 | F | 7 Fr 5 cm straight | Teflon | CBD stone | 3 years | Diverticulosis | Abdominal pain | Sigmoid diverticula perforation | Surgical | 10 days |
| Elliot [23] | 2003 | 80 | F | 10 Fr 10 cm straight | Unknown | Acute Cholangitis with CBD stone | 4 months | N/A | Abdominal pain | Sigmoid | Hartmann procedure | Unknown |
| Diller [24] | 2003 | 58 | M | 7 Fr 10 cm straight | Teflon | Post Liver Transplant bile duct stricture | 1 month | Diverticulosis | Unknown | Sigmoid diverticula perforation | Sigmoidectomy | Unknown |
| Wilhelm [4] | 2003 | 85 | F | Straight | Unknown | CBD stone | 18 months | Diverticulosis | Pneumaturia | Sigmoid diverticula perforation with colovesicular fistula | Sigmoidectomy | 10 days |
| Anderson [25] | 2007 | 80 | F | Straight | Unknown | CBD stone | 5 months | Diverticulosis | Leg pain and hip stiffness | Sigmoid diverticula perforation | Endoscopic removal | Unknown |
| Namdar [2] | 2007 | 65 | F | 12 Fr 10 cm straight | Plastic | Post cholecystectomy bile leakage | 3 months | N/A | Abdominal pain | Rectum | Rectal resection | 7 days |
| Bagul [15] | 2010 | 79 | F | 10 Fr 9 cm straight | Plastic | Post cholecystectomy bile duct stricture | 3 months | Diverticulosis | Left groin swelling | Sigmoid diverticula perforation | Endoscopic removal | Unknown |
| Jafferbhoy [12] | 2011 | 82 | F | 7 Fr 7 cm straight | Plastic | Post cholecystectomy bile leakage | 3 months | Diverticulosis | Left iliac fossa pain | Sigmoid diverticula perforation | Endoscopic removal and clip closure | 2 days |
| Lankisch [26] | 2011 | 65 | F | 10 Fr 10 cm straight | Plastic | Pancreas head cancer with CBD invasion | 2 weeks | N/A | Abdominal pain | Sigmoid | Surgery | Unknown |
| Malgras [27] | 2011 | 73 | Unknown | 10 Fr 5 cm straight | Plastic | Pancreas head cancer with CBD invasion | 15 days | Diverticulosis | Unknown | Sigmoid diverticula perforation | Hartmann procedure | Unknown |
| Wagemakers [28] | 2011 | 76 | F | Unknown | Plastic | CBD stone | 1 month | Diverticulosis | Pneumaturia, fecaluria, persistent UTI | Sigmoid diverticula perforation | Sigmoidectomy | 8 days |
| Alcaide [29] | 2012 | 73 | M | 10 Fr 12 cm straight | Plastic | CBD stone with benign biliary stricture | 15 days | Diverticulosis | Left iliac fossa pain | Sigmoid diverticula perforation | Endoscopic removal and clip closure | 14 days |
| Kittappa [30] | 2013 | 58 | F | Unknown | Plastic | Post cholecystectomy bile leakage | 18 months | Diverticulosis | Abdominal pain | Sigmoid diverticula perforation | Hartmann procedure | Unknown |
| Jones [31] | 2013 | 66 | M | Straight | Plastic | Post cholecystectomy bile duct stricture | 3 months | N/A | Right upper quadrant pain | Caecum | Endoscopic removal | 1 day |
| Konstantinidis [32] | 2014 | 69 | F | Straight | Plastic | CBD stone | 2 months | N/A | Abdominal pain | Sigmoid | Surgical primary closure | 7 days |
| Mady [33] | 2015 | Unknown | M | Unknown | Plastic | Pancreas head cancer with CBD invasion | 1 month | Diverticulosis | Peritonitis and Shock | Sigmoid diverticula perforation with pelvic abscess | Hartmann procedure | Unknown |
| Virgilio [34] | 2015 | Unknown | F (Case 1) | Unknown | Plastic | CBD stone | Unknown | Diverticulosis | Abdominal pain | Sigmoid diverticula perforation | Hartmann procedure | Unknown |
| Unknown | F (Case 2) | 12 Fr 12 cm straight | Plastic | CBD stone | Unknown | Diverticulosis | Abdominal pain | Sigmoid diverticula perforation | Endoscopic removal | Unknown | ||
| Chittleborough [35] | 2016 | 73 | M | 10 Fr 5 cm straight | Plastic | Acute Cholangitis with CBD stone | 3 months | Diverticulosis | Abdominal pain | Sigmoid diverticula perforation | Hartmann procedure | 18 days |
| Chou [36] | 2017 | 85 | F | Unknown | Plastic | CBD stone | Unknown | N/A | Asymptomatic | Sigmoid | Endoscopic removal and clip closure | 2 |
| Siaperas [37] | 2017 | 75 | F | Straight | Plastic | Post cholecystectomy bile duct stricture | 1 month | Diverticulosis | Abdominal pain | Sigmoid diverticula perforation | Hartmann procedure | 10 days |
| Hogendorf [38] | 2018 | 76 | F (Case 1) | Unknown | Plastic | CBD stone | 6 months | Diverticulosis | Abdominal pain | Sigmoid diverticula perforation | Sigmoidectomy | 24 days |
| 68 | M (Case 2) | 7 Fr 10 cm straight | Plastic | Pancreas head cancer with CBD invasion | 1 month | N/A | Abdominal pain | Rectum | Transverse colostomy | 11 days | ||
| Riccardi [39] | 2019 | 79 | F | 10 Fr 10 cm straight, Double pigtail 7 Fr | Plastic | CBD stone | 1 month | Diverticulosis | Abdominal pain | Sigmoid diverticula perforation | Hartmann procedure | 9 days |
| Marcos [40] | 2020 | 65 | F | 10 Fr 5 cm straight | Plastic | Post cholecystectomy bile duct stricture | 12 months | Diverticulosis | Asymptomatic | Sigmoid diverticula perforation | Surgical primary closure | Unknown |
| Pengermä [41] | 2021 | 66 | F | 10 Fr 5 cm straight | Plastic | Chronic pancreatitis with distal biliary stricture | 2 months | N/A | Abdominal pain | Appendix | Appendicectomy | Unknown |
| Tao [42] | 2021 | 54 | M | Straight | Plastic | Acute Cholangitis with CBD stone, biliary pancreatitis | 3 months | N/A | Abdominal pain | Sigmoid | Sigmoidectomy + colostomy | 10 days |
| Park [5] | 2021 | 74 | M | 10 Fr 7 cm straight | Plastic | Acute Cholangitis with CBD stone | 1 month | Diverticulosis | Abdominal pain | Ascending colon | Surgical hemicolectomy | Unknown |
| Ong [43] | 2021 | 57 | M | Straight | Plastic | CBD stone | 8 years | N/A | Abdominal pain | Caecum | Surgical primary closure | Unknown |
| Kodia [1] | 2022 | 60 | F | Unknown | Plastic | Gallbladder carcinoma with CBD invasion | 2 months | N/A | Abdominal pain | Ascending colon | Hybrid laparoendoscopic | 4 days |
| Yamaguchi [44] | 2022 | 86 | F | 7 Fr 7 cm straight | Plastic | Acute Cholangitis with CBD stone | 1 month | Diverticulosis | Abdominal pain | Sigmoid diverticula perforation | Endoscopic removal and clip closure | 14 days |
| Author . | Year . | Age . | Sex . | Stent . | Material . | Indication . | Time to migration . | Risk factors . | Presenting complaint . | Perforation location . | Management . | Length of stay . |
|---|---|---|---|---|---|---|---|---|---|---|---|---|
| D’Costa [16] | 1994 | 73 | M | 10 Fr 10.5 cm | Plastic | CBD malignancy | Unknown | N/A | Abdominal pain | Ascending colon | Surgical | Unknown |
| Baty [17] | 1996 | 86 | F | Unknown | Polyethylene | Pancreas head cancer with CBD invasion | 1 month | Diverticulosis | Abdominal pain | Sigmoid diverticula perforation | Sigmoidectomy | 10 days |
| Schaafsma [18] | 1996 | 77 | F | Straight | Unknown | Acute Cholangitis with CBD stone | 6 months | Diverticulosis | Abdominal pain | Sigmoid diverticula perforation | Surgical | Unknown |
| Lenzo [19] | 1998 | 82 | F | 10 Fr 7.5 cm straight | Polyethylene | Acute Cholangitis with CBD stone | 1 month | Diverticulosis | Abdominal pain | Sigmoid diverticula perforation | Surgical primary closure | 11 days |
| Størkson [20] | 2000 | 86 | M | 7 Fr 5 cm straight | Plastic | Acute Cholangitis with CBD stone | 2 years | Unknown | Unknown | Sigmoid | Surgical primary closure | Unknown |
| Figueiras [21] | 2001 | 47 | M | 10 Fr 10 cm straight | Polyethylene | Cholangitis – Benign stricture | 3 months | N/A | Abdominal pain, PR bleeding | Splenic flexure | Removal through colocutaneous fistula | Unknown |
| Klein [22] | 2001 | 70 | F | 7 Fr 5 cm straight | Teflon | CBD stone | 3 years | Diverticulosis | Abdominal pain | Sigmoid diverticula perforation | Surgical | 10 days |
| Elliot [23] | 2003 | 80 | F | 10 Fr 10 cm straight | Unknown | Acute Cholangitis with CBD stone | 4 months | N/A | Abdominal pain | Sigmoid | Hartmann procedure | Unknown |
| Diller [24] | 2003 | 58 | M | 7 Fr 10 cm straight | Teflon | Post Liver Transplant bile duct stricture | 1 month | Diverticulosis | Unknown | Sigmoid diverticula perforation | Sigmoidectomy | Unknown |
| Wilhelm [4] | 2003 | 85 | F | Straight | Unknown | CBD stone | 18 months | Diverticulosis | Pneumaturia | Sigmoid diverticula perforation with colovesicular fistula | Sigmoidectomy | 10 days |
| Anderson [25] | 2007 | 80 | F | Straight | Unknown | CBD stone | 5 months | Diverticulosis | Leg pain and hip stiffness | Sigmoid diverticula perforation | Endoscopic removal | Unknown |
| Namdar [2] | 2007 | 65 | F | 12 Fr 10 cm straight | Plastic | Post cholecystectomy bile leakage | 3 months | N/A | Abdominal pain | Rectum | Rectal resection | 7 days |
| Bagul [15] | 2010 | 79 | F | 10 Fr 9 cm straight | Plastic | Post cholecystectomy bile duct stricture | 3 months | Diverticulosis | Left groin swelling | Sigmoid diverticula perforation | Endoscopic removal | Unknown |
| Jafferbhoy [12] | 2011 | 82 | F | 7 Fr 7 cm straight | Plastic | Post cholecystectomy bile leakage | 3 months | Diverticulosis | Left iliac fossa pain | Sigmoid diverticula perforation | Endoscopic removal and clip closure | 2 days |
| Lankisch [26] | 2011 | 65 | F | 10 Fr 10 cm straight | Plastic | Pancreas head cancer with CBD invasion | 2 weeks | N/A | Abdominal pain | Sigmoid | Surgery | Unknown |
| Malgras [27] | 2011 | 73 | Unknown | 10 Fr 5 cm straight | Plastic | Pancreas head cancer with CBD invasion | 15 days | Diverticulosis | Unknown | Sigmoid diverticula perforation | Hartmann procedure | Unknown |
| Wagemakers [28] | 2011 | 76 | F | Unknown | Plastic | CBD stone | 1 month | Diverticulosis | Pneumaturia, fecaluria, persistent UTI | Sigmoid diverticula perforation | Sigmoidectomy | 8 days |
| Alcaide [29] | 2012 | 73 | M | 10 Fr 12 cm straight | Plastic | CBD stone with benign biliary stricture | 15 days | Diverticulosis | Left iliac fossa pain | Sigmoid diverticula perforation | Endoscopic removal and clip closure | 14 days |
| Kittappa [30] | 2013 | 58 | F | Unknown | Plastic | Post cholecystectomy bile leakage | 18 months | Diverticulosis | Abdominal pain | Sigmoid diverticula perforation | Hartmann procedure | Unknown |
| Jones [31] | 2013 | 66 | M | Straight | Plastic | Post cholecystectomy bile duct stricture | 3 months | N/A | Right upper quadrant pain | Caecum | Endoscopic removal | 1 day |
| Konstantinidis [32] | 2014 | 69 | F | Straight | Plastic | CBD stone | 2 months | N/A | Abdominal pain | Sigmoid | Surgical primary closure | 7 days |
| Mady [33] | 2015 | Unknown | M | Unknown | Plastic | Pancreas head cancer with CBD invasion | 1 month | Diverticulosis | Peritonitis and Shock | Sigmoid diverticula perforation with pelvic abscess | Hartmann procedure | Unknown |
| Virgilio [34] | 2015 | Unknown | F (Case 1) | Unknown | Plastic | CBD stone | Unknown | Diverticulosis | Abdominal pain | Sigmoid diverticula perforation | Hartmann procedure | Unknown |
| Unknown | F (Case 2) | 12 Fr 12 cm straight | Plastic | CBD stone | Unknown | Diverticulosis | Abdominal pain | Sigmoid diverticula perforation | Endoscopic removal | Unknown | ||
| Chittleborough [35] | 2016 | 73 | M | 10 Fr 5 cm straight | Plastic | Acute Cholangitis with CBD stone | 3 months | Diverticulosis | Abdominal pain | Sigmoid diverticula perforation | Hartmann procedure | 18 days |
| Chou [36] | 2017 | 85 | F | Unknown | Plastic | CBD stone | Unknown | N/A | Asymptomatic | Sigmoid | Endoscopic removal and clip closure | 2 |
| Siaperas [37] | 2017 | 75 | F | Straight | Plastic | Post cholecystectomy bile duct stricture | 1 month | Diverticulosis | Abdominal pain | Sigmoid diverticula perforation | Hartmann procedure | 10 days |
| Hogendorf [38] | 2018 | 76 | F (Case 1) | Unknown | Plastic | CBD stone | 6 months | Diverticulosis | Abdominal pain | Sigmoid diverticula perforation | Sigmoidectomy | 24 days |
| 68 | M (Case 2) | 7 Fr 10 cm straight | Plastic | Pancreas head cancer with CBD invasion | 1 month | N/A | Abdominal pain | Rectum | Transverse colostomy | 11 days | ||
| Riccardi [39] | 2019 | 79 | F | 10 Fr 10 cm straight, Double pigtail 7 Fr | Plastic | CBD stone | 1 month | Diverticulosis | Abdominal pain | Sigmoid diverticula perforation | Hartmann procedure | 9 days |
| Marcos [40] | 2020 | 65 | F | 10 Fr 5 cm straight | Plastic | Post cholecystectomy bile duct stricture | 12 months | Diverticulosis | Asymptomatic | Sigmoid diverticula perforation | Surgical primary closure | Unknown |
| Pengermä [41] | 2021 | 66 | F | 10 Fr 5 cm straight | Plastic | Chronic pancreatitis with distal biliary stricture | 2 months | N/A | Abdominal pain | Appendix | Appendicectomy | Unknown |
| Tao [42] | 2021 | 54 | M | Straight | Plastic | Acute Cholangitis with CBD stone, biliary pancreatitis | 3 months | N/A | Abdominal pain | Sigmoid | Sigmoidectomy + colostomy | 10 days |
| Park [5] | 2021 | 74 | M | 10 Fr 7 cm straight | Plastic | Acute Cholangitis with CBD stone | 1 month | Diverticulosis | Abdominal pain | Ascending colon | Surgical hemicolectomy | Unknown |
| Ong [43] | 2021 | 57 | M | Straight | Plastic | CBD stone | 8 years | N/A | Abdominal pain | Caecum | Surgical primary closure | Unknown |
| Kodia [1] | 2022 | 60 | F | Unknown | Plastic | Gallbladder carcinoma with CBD invasion | 2 months | N/A | Abdominal pain | Ascending colon | Hybrid laparoendoscopic | 4 days |
| Yamaguchi [44] | 2022 | 86 | F | 7 Fr 7 cm straight | Plastic | Acute Cholangitis with CBD stone | 1 month | Diverticulosis | Abdominal pain | Sigmoid diverticula perforation | Endoscopic removal and clip closure | 14 days |
A search of literature was conducted using the terms ‘biliary stent’, ‘bowel perforation’, ‘migrated biliary stent’, ‘endoscopic retrograde cholangiopancreatography’ and ‘complications’ across multiple databases including PubMed, SCOPUS and Google Scholar. The inclusion criteria specifically focused on articles that reported colonic perforation as a complication attributed to migratory biliary stents. Articles reporting complications other than colonic perforation were excluded. Of the 101 articles found, 35 articles satisfied the criteria with 37 cases of colonic perforation attributed to migratory biliary stents (Table 1).
The most common site of perforation due to a distally migrated stent was the sigmoid colon (28 out of 37 cases). Diverticular disease was reported in 62% of patients with colon perforation (23 cases). The mean age was 72 years (+/−10.1) with a 9-month (+/−17.7) average time of migration. Of the 36 cases reporting sex, 66% were female (24 out of 36). Out of the 37 cases, the vast majority (33 cases) utilized plastic stents. Plastic stents have a reported higher migration risk when compared with metal [15]. To the best of our knowledge, this is the first reported case of multiple biliary stent migration with two stents of differing material (plastic and metal). Placement of multiple biliary stents decreases the frequency of migration; however, the limited evidence is available in the frequency of migration with using different material stents together [3]. Abdominal pain was the most common clinical presentation reported in 34 of the 37 cases (Table 1). Other complaints included groin swelling, leg pain, pneumaturia and only two patients reported no symptoms at the time of confirmational imaging. Diagnostic CT was utilized in 78% of patients (28 out of 36 cases) to confirm perforation of the gastro-intestinal tract.
Of the 37 reported cases, surgical intervention was used in 27 and eight used endoscopic retrieval with or without clip closure. There was one case describing removal of the biliary stent through a colocutaneous fistula and one utilizing a hybrid laparoendoscopic method. Post-operative complications included abscess formation, post-operative ileus, peritonitis and non-ST elevation myocardial infraction (Table 2). The average length of stay in hospital was 9.6 days (+/−5.6). There was no statistically significant difference for length of stay between surgical and endoscopic intervention (11.2 vs. 6.6, P = 0.12). The morbidity rate was ~16.7% (6 out of 36 cases). Of the 34 cases that reported mortality, there was only one fatal outcome attributed to multiorgan failure 5 days post Hartmann’s procedure [12]. There were limitations with the review regarding unknown medical and surgical history of patients along with biochemical results on presentation. Of the 37 cases, approximately only one-quarter stated this information in differing degree in the case report.
| Author . | Intervention . | Complication . |
|---|---|---|
| Alcaide [29] | Endoscopic removal and clip closure | Abscess formation |
| Chittleborough [35] | Hartmann procedure | Post-operative ileus |
| Hogendorf [38] (Case 1) | Sigmoidectomy | Peritonitis |
| Hogendorf [38] (Case 2) | Transverse colostomy | Peritonitis |
| Riccardi [39] | Hartmann procedure | Non-STEMI |
| Pengermä [41] | Appendicectomy | Abscess formation |
| Author . | Intervention . | Complication . |
|---|---|---|
| Alcaide [29] | Endoscopic removal and clip closure | Abscess formation |
| Chittleborough [35] | Hartmann procedure | Post-operative ileus |
| Hogendorf [38] (Case 1) | Sigmoidectomy | Peritonitis |
| Hogendorf [38] (Case 2) | Transverse colostomy | Peritonitis |
| Riccardi [39] | Hartmann procedure | Non-STEMI |
| Pengermä [41] | Appendicectomy | Abscess formation |
| Author . | Intervention . | Complication . |
|---|---|---|
| Alcaide [29] | Endoscopic removal and clip closure | Abscess formation |
| Chittleborough [35] | Hartmann procedure | Post-operative ileus |
| Hogendorf [38] (Case 1) | Sigmoidectomy | Peritonitis |
| Hogendorf [38] (Case 2) | Transverse colostomy | Peritonitis |
| Riccardi [39] | Hartmann procedure | Non-STEMI |
| Pengermä [41] | Appendicectomy | Abscess formation |
| Author . | Intervention . | Complication . |
|---|---|---|
| Alcaide [29] | Endoscopic removal and clip closure | Abscess formation |
| Chittleborough [35] | Hartmann procedure | Post-operative ileus |
| Hogendorf [38] (Case 1) | Sigmoidectomy | Peritonitis |
| Hogendorf [38] (Case 2) | Transverse colostomy | Peritonitis |
| Riccardi [39] | Hartmann procedure | Non-STEMI |
| Pengermä [41] | Appendicectomy | Abscess formation |
In patients presenting for ERCP, we advocate that risks concerning migratory stents are raised in the consent with possible endoscopic, surgical or non-operative measures. The vast majority of these patients are elderly with high comorbidities. In patients with advanced age and significant comorbidities, endoscopic retrieval of migrated biliary stents may avoid associated morbidity of laparoscopic and laparotomy surgical interventions in cases of perforation without peritonitis. In our case, the rate of post-operative complications for ASA IV is ~9.6 in 1000 and increases to 26.5 in 1000 in emergency surgery cases [14]. Given this the increased risk of surgical intervention, he was not deemed a suitable candidate. Minimally invasive interventions in selected elderly patients as an alternative may facilitate decreased length of stay in hospital and decrease increased morbidity associated with surgical interventions. Clinical judgment regarding a patients’ age, comorbidities and prognosis must be taken into account in deciding whether to opt for surgical intervention or consider alternatives such as endoscopic retrieval or conservative management. Further evidence is needed to assess the frequency of migration in cases of two or more biliary stents that differ in material.
CONCLUSION
Patients presenting with abdominal pain on a background history of previous ERCP and biliary stenting should raise the suspicion of stent migration. Endoscopic retrieval with or without clip closure may be indicated in hemodynamically stable patients without evidence of peritonitis, abscess and fistula formation. As endoscopic interventions become more utilized in cases of migrated biliary stents, comparison of complications rates can be made against surgical techniques.
CONFLICT OF INTEREST STATEMENT
None declared. Patient consent has been obtained from patients in line with ethical practice and guidelines. There is no source of financial or other support and no financial or professional relationships, which may pose a competing interest. The data are deemed confidential and under ethics cannot be disseminated openly due to confidentiality and privacy.
CONTRIBUTORS
The authors contributed to the conception and design of the manuscript, revised it critically for important intellectual content, approved the final version to be published and agreed to be accountable for all aspects of the work.