-
PDF
- Split View
-
Views
-
Cite
Cite
Naveed A Rahman, Timothy Shope, Cyclically bleeding trocar-site endometrioma without known history of endometriosis: case report and literature review, Journal of Surgical Case Reports, Volume 2022, Issue 11, November 2022, rjac498, https://doi.org/10.1093/jscr/rjac498
Close - Share Icon Share
Abstract
Endometriosis occurrence at a laparoscopic trocar-site incision is extremely rare with only 30 previous cases published. We present a 43-year-old female with surgical history of two cesarean sections and a laparoscopic Roux-en-Y gastric bypass who presented with history of cyclical bleeding from an umbilical mass coinciding with her menstrual cycle. Ultrasound demonstrated a complex solid and cystic lesion measuring 2.5 x 1.4 x 1.4 cm. This umbilical mass was surgically resected and gross examination perioperatively demonstrated dark-colored cystic implants consistent with endometrioma. Pathology confirmed the suspected diagnosis of endometriosis. There are several noteworthy characteristics in this unique case of laparoscopic trocar-site endometrioma. Umbilical bleeding is an unusual presenting symptom that has not been previously reported. This endometrioma occurred at the umbilical laparoscopic site rather than her Pfannenstiel incision. Laparoscopic Roux-en-Y gastric bypass has not been previously associated with trocar-site endometrioma. Of note, this patient had no known history of endometriosis.
INTRODUCTION
Endometriosis occurs when endometrial glands and stroma are implanted into extrauterine locations, leading to symptoms such as chronic pelvic pain, dysmenorrhea, dyspareunia and infertility [1]. Abdominal wall endometriomas are uncommon phenomena, which have been associated with previous pelvic surgery and cesarean sections. They are thought to occur via direct inoculation of endometrial cells into the abdominal fascia or subcutaneous tissue secondary to surgical intervention [2]. There are only 30 cases of specifically trocar-site endometrioma occurrence previously published in the literature. We report an unusual case of trocar-site endometrioma in a patient with history of laparoscopic Roux-en-Y gastric bypass who presented with umbilical bleeding and no known history of endometriosis.
CASE REPORT
This 43-year-old female initially presented to our Bariatric Surgery office in July 2022 to discuss further weight loss options. She had a past medical history of morbid obesity with body mass index (BMI) of 43, and had previously undergone weight-loss surgery with laparoscopic Roux-en-Y gastric bypass in 2018. She lost 85 pounds initially with reduction in BMI to 30, but then regained weight and plateaued at BMI 38. She was subsequently lost to follow-up and had not seen a surgeon since.
At her clinic visit, she described cyclical bleeding from her umbilicus in direct correspondence with her menstrual cycles. Of note, she denied any previous diagnosis of endometriosis or any other known gynecologic issues, only reporting heavy menses when she was younger. Her only other abdominal surgeries included two caesarian sections in 2003 and 2005. Physical examination demonstrated a small mass deep to the umbilicus without any significant tenderness to palpation.
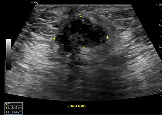
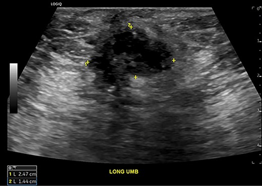
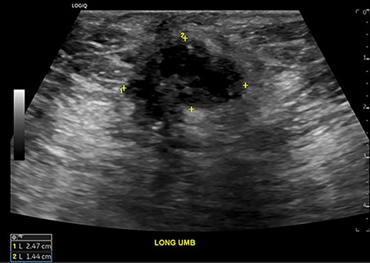
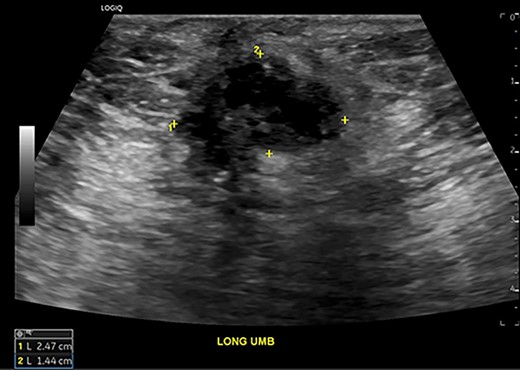
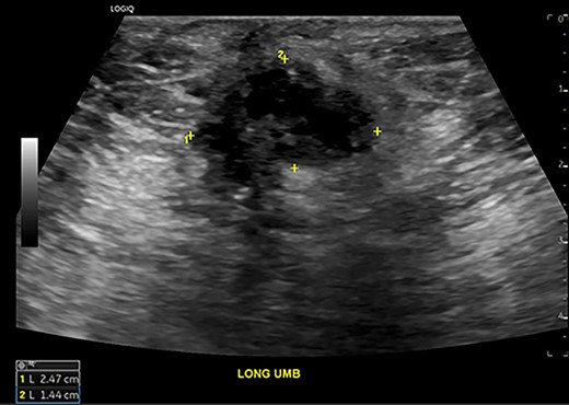
This history was suspicious for undiagnosed endometriosis with abdominal wall implantation after laparoscopic surgery. Ultrasound of the abdomen (Fig. 1) demonstrated a complex solid and cystic mass measuring 2.5 x 1.4 x 1.4 cm beneath the umbilicus without any vascular flow noted.

Abdominal ultrasound demonstrates a 2.5 x 1.4 x 1.4 cm complex solid and cystic mass at the umbilicus suspicious for trocar-site endometrioma.
We therefore proceeded with surgical excision of this umbilical mass. The lesion was palpated posterior to the umbilicus in close association with the umbilical stalk, which had to be transected to remove the mass. There were dark-colored implants noted within the lesion, raising our suspicion for possible endometrioma (Fig. 2). The surgical site was thoroughly irrigated to reduce risk of persistent endometrial cells, which might lead to recurrent endometriosis at this location. Pathology confirmed the diagnosis of endometriosis with greater than 10 mm margins.

Surgical resection of umbilical lesion with visualization of dark-colored cystic implants. Pathology confirmed diagnosis of endometriosis.
DISCUSSION
Trocar-site endometriomas are a specific subset of abdominal wall endometriomas, specifically associated with a prior history of laparoscopic surgery followed by development of a trocar-site lesion. Since the first reported case in 1990 by Denton et al., [3] there have only been a total of 30 published cases of trocar-site endometrioma described within the literature. Differential diagnosis of trocar-site lesions can include suture granuloma, incisional hernia, lipoma, hematoma, abscess, sebaceous cyst, dermoid fibromatosis, soft tissue sarcoma and metastatic lesions [4]. A high index of suspicion should be maintained when treating women who present with cyclic abdominal pain with a trocar-site lesion to prevent misdiagnosis. Computed tomography (CT) and magnetic resonance imaging (MRI) can be deceptive because the appearance of an endometrial lesion can vary depending on the menstrual cycle phase, proportion of stromal and glandular tissue, and degree of inflammatory response. Ultrasound is the imaging gold standard as it is safe, relatively inexpensive, and can provide sufficient detail to provide indication for operative intervention [4]. Wide local excision with a minimum of 5–10 mm margins is the treatment of choice [5].
Table 1 describes a chronological review of all 30 previous cases of trocar-site endometrioma. Of these patients, only six (20%) did not have any previous known history of endometriosis. Patients were all within menstrual age, ranging from 20 to 44 years old. The most common presenting symptoms was a cyclic painful mass associated with menstrual periods. Types of previous laparoscopic surgical interventions included diagnostic laparoscopy, laparoscopic sterilization, endometrial cyst excision, endometrial implant excision, hysterectomy and ovarian cystectomy with bilateral salpingectomy. Trocar-site endometrioma development occurred as quickly as 4 months and as delayed as 48 months after their initial minimally invasive surgery. The most common location of the endometrioma was at the umbilicus (14), followed by right upper quadrant (7), suprapubic (4), left upper quadrant (3) and left lower quadrant (1). Two (2) cases did not clearly state where the trocar site lesion was located. As part of a larger series focused on abdominal wall endometriomas, Benedetto et al. [6] reported six cases of umbilical trocar-site endometrioma and one case of left lower quadrant trocar-site endometrioma. However, further distinguishing patient characteristics were not included.
Chronologic review of all 30 cases of trocar-site endometrioma occurrence in published literature
| Number . | Year . | Reference . | Age . | Primary symptom . | History of endometriosis . | Previous operation . | Months to diagnosis . | Trocar location . |
|---|---|---|---|---|---|---|---|---|
| 1 | 1990 | Denton GW, Schofield JB, Gallagher P. Uncommon complications of laparoscopic sterilization. Ann R Coll Surg Engl. 1990;72(3):210–211. | 37 | Painful swelling | Yes | Laparoscopic sterilization | 12 | Umbilicus |
| 2 | 1995 | Healy JT, Wilkinson NW, Sawyer M. Abdominal wall endometrioma in a laparoscopic trocar tract: a case report. Am Surg. 1995;61(11):962–963. | 23 | Cyclic painful mass | No | Diagnostic laparoscopy | 9 | Umbilicus |
| 3 | 1996 | Wakefield S.E, Hellen E.A. Endometrioma of the trocar site after laparoscopy. Eur J Sur. 1996;162(6):523–524 | 32 | Cyclic painful mass | Yes | Diagnostic laparoscopy | 7 | Umbilicus |
| 4 | 1998 | Martínez-Serna T, Stalter KD, Filipi CJ, Tomonaga T. An unusual case of endometrial trocar site implantation. Surg Endosc. 1998;12(7):992–994. | 35 | Groin masses | Yes | Diagnostic laparoscopy | 11 | Suprapubic |
| 5 | 2004 | Majeski J, Craggie J. Scar endometriosis developing after an umbilical hernia repair with mesh. South Med J. 2004;97(5):532–534. | 44 | Cyclic painful mass | No | Laparoscopic myomectomy | 48 | Umbilicus |
| 6 | 2005 | Farace F, Gallo A, Rubino C, Manca A, Campus GV. Endometriosis in a trocar tract: is it really a rare condition? A case report. Minerva Chir. 2005;60(1):67–69. | 37 | Nodular mass | Yes | Laparoscopic cholecystectomy | 8 | Right upper quadrant |
| 7 | 2005 | Sirito R, Puppo A, Centurioni MG, Gustavino C. Incisional hernia on the 5-mm trocar port site and subsequent wall endometriosis on the same site: a case report. Am J Obstet Gynecol. 2005;193(3 Pt 1):878–880. | 26 | Painless swelling | Yes | Laparoscopic cyst excision | 24 | Suprapubic |
| 8 | 2005 | Barbaros U, Iyibozkurt AC, Gulluoglu M. et al. Endometriotic umbilical port site metastasis after laparoscopy. Am J Obstet Gynecol. 2005;193(5):1761–1763. | 40 | Cyclic painful mass | Yes | Laparoscopic cyst excision | 24 | Umbilicus |
| 9 | 2009 | Strelec M, Dmitrovic R, Matkovic S (2009) Trocar scar endometriosis. Gynaecol Perinatol 2009;188:34–35. | 24 | Cyclic painful mass | Yes | Laparoscopic cyst excision | 24 | Suprapubic |
| 10 | 2010 | Busard MP, Mijatovic V, van Kuijk C, Hompes PG, van Waesberghe JH. Appearance of abdominal wall endometriosis on MR imaging. Eur Radiol. 2010;20(5):1267–1276. | 37 | Cyclic abdominal pain | Yes | Diagnostic laparoscopy | Unknown | Unknown |
| 11 | 2010 | Akbulut S, Sevinc MM, Bakir S, Cakabay B, Sezgin A. Scar endometriosis in the abdominal wall: a predictable condition for experienced surgeons. Acta Chir Belg. 2010;110(3):303–307. | 30 | Cyclic painful mass | No | Laparoscopic appendectomy | 8 | Right upper quadrant |
| 12 | 37 | Painful mass | Yes | Laparoscopic cyst excision | 4 | Right upper quadrant | ||
| 13 | 2011 | Medeiros FD, Cavalcante DI, Medeiros MA, & Eleutério, J. Fine-needle aspiration cytology of scar endometriosis: study of seven cases and literature review. Diagnostic cytopathology 2011;39(1), 18–21. | 34 | Painful swelling | Yes | Diagnostic laparoscopy | 18 | Left upper quadrant |
| 14 | 26 | Painful swelling | Yes | Diagnostic laparoscopy | 6 | Right upper quadrant | ||
| 15 | 21 | Painful swelling | Yes | Diagnostic laparoscopy | 12 | Right upper quadrant | ||
| 16 | 2012 | Emre A, Akbulut S, Yilmaz M, Bozdag Z. Laparoscopic trocar port site endometriosis: a case report and brief literature review. Int Surg. 2012;97(2):135–139. | 20 | Painful swelling | Yes | Laparoscopic cyst excision | 18 | Left upper quadrant |
| 17 | 2012 | Lee H, Lim S, Shin J, Park C. A case of trocar site implantation of endometriosis three years after laparoscopic hysterectomy. Korean J Obstet Gynecol 2012;55:290–292. | 42 | Cyclic painful mass | No | Laparoscopic hysterectomy | 36 | Suprapubic |
| 18 | 2015 | Cozzolino M, Magnolfi S, Corioni S, Moncini D, Mattei A. Abdominal wall endometriosis on the right port site after laparoscopy: case report and literature review. Ochsner J. 2015;15(3):251–255. | 38 | Cyclic painful mass | Yes | Laparoscopic cyst excision | 48 | Right upper quadrant |
| 19 | 2016 | Vukšić T, Rastović P, Dragišić V. Abdominal wall endometrioma after laparoscopic operation of uterine endometriosis. Case Rep Surg. 2016;2016:5843179. | 43 | Painless mass | Yes | Laparoscopic implant excision | 24 | Left upper quadrant |
| 20 | 2017 | Siddiqui ZA, Husain F, Siddiqui Z, Siddiqui M. Port site endometrioma: a rare cause of abdominal wall pain following laparoscopic surgery. BMJ Case Rep. 2017;2017:bcr2017219291. | 37 | Cyclic painful mass | Yes | Laparoscopic implant excision | 6 | Umbilicus |
| 21 | 2018 | Al-Khayat NS, Joda AE. Abdominal wall endometrioma at laparoscopic port site: case report with literature review. J Surg Open Access 2018;4(1). | 34 | Cyclic painful mass | No | Diagnostic laparoscopy | 48 | Right upper quadrant |
| 22 | 2018 | Akbarzadeh-Jahromi M, Motavas M, Fazelzadeh A. Recurrent abdominal wall endometriosis at the trocar site of laparoscopy: a rare case. Int J Reprod Biomed. 2018;16(10):653–656. | 25 | Painful mass | Yes | Diagnostic laparoscopy with ovarian cauterization | 84 | Unknown |
| 23 | 2020 | Ao X, Xiong W, Tan SQ. Laparoscopic umbilical trocar port site endometriosis: a case report. World J Clin Cases. 2020;8(8):1532–1537. | 37 | Cyclic painful mass | Yes | Laparoscopic ovarian cystectomy with bilateral salpingoplasty | 48 | Umbilicus |
| 24-29 | 2022 | Benedetto C, Cacozza D, de Sousa Costa D. et al. Abdominal wall endometriosis: report of 83 cases. Int J Gynaecol Obstet. 2022;10.1002/ijgo.14167. | Unknown | Unknown | Unknown | Diagnostic laparoscopy | Unknown | Umbilicus |
| 30 | Left lower quadrant | |||||||
| 31 | 2022 | Our Case | 43 | Cyclical umbilical bleeding | No | Laparoscopic Roux-en-Y gastric bypass | 48 | Umbilicus |
| Number . | Year . | Reference . | Age . | Primary symptom . | History of endometriosis . | Previous operation . | Months to diagnosis . | Trocar location . |
|---|---|---|---|---|---|---|---|---|
| 1 | 1990 | Denton GW, Schofield JB, Gallagher P. Uncommon complications of laparoscopic sterilization. Ann R Coll Surg Engl. 1990;72(3):210–211. | 37 | Painful swelling | Yes | Laparoscopic sterilization | 12 | Umbilicus |
| 2 | 1995 | Healy JT, Wilkinson NW, Sawyer M. Abdominal wall endometrioma in a laparoscopic trocar tract: a case report. Am Surg. 1995;61(11):962–963. | 23 | Cyclic painful mass | No | Diagnostic laparoscopy | 9 | Umbilicus |
| 3 | 1996 | Wakefield S.E, Hellen E.A. Endometrioma of the trocar site after laparoscopy. Eur J Sur. 1996;162(6):523–524 | 32 | Cyclic painful mass | Yes | Diagnostic laparoscopy | 7 | Umbilicus |
| 4 | 1998 | Martínez-Serna T, Stalter KD, Filipi CJ, Tomonaga T. An unusual case of endometrial trocar site implantation. Surg Endosc. 1998;12(7):992–994. | 35 | Groin masses | Yes | Diagnostic laparoscopy | 11 | Suprapubic |
| 5 | 2004 | Majeski J, Craggie J. Scar endometriosis developing after an umbilical hernia repair with mesh. South Med J. 2004;97(5):532–534. | 44 | Cyclic painful mass | No | Laparoscopic myomectomy | 48 | Umbilicus |
| 6 | 2005 | Farace F, Gallo A, Rubino C, Manca A, Campus GV. Endometriosis in a trocar tract: is it really a rare condition? A case report. Minerva Chir. 2005;60(1):67–69. | 37 | Nodular mass | Yes | Laparoscopic cholecystectomy | 8 | Right upper quadrant |
| 7 | 2005 | Sirito R, Puppo A, Centurioni MG, Gustavino C. Incisional hernia on the 5-mm trocar port site and subsequent wall endometriosis on the same site: a case report. Am J Obstet Gynecol. 2005;193(3 Pt 1):878–880. | 26 | Painless swelling | Yes | Laparoscopic cyst excision | 24 | Suprapubic |
| 8 | 2005 | Barbaros U, Iyibozkurt AC, Gulluoglu M. et al. Endometriotic umbilical port site metastasis after laparoscopy. Am J Obstet Gynecol. 2005;193(5):1761–1763. | 40 | Cyclic painful mass | Yes | Laparoscopic cyst excision | 24 | Umbilicus |
| 9 | 2009 | Strelec M, Dmitrovic R, Matkovic S (2009) Trocar scar endometriosis. Gynaecol Perinatol 2009;188:34–35. | 24 | Cyclic painful mass | Yes | Laparoscopic cyst excision | 24 | Suprapubic |
| 10 | 2010 | Busard MP, Mijatovic V, van Kuijk C, Hompes PG, van Waesberghe JH. Appearance of abdominal wall endometriosis on MR imaging. Eur Radiol. 2010;20(5):1267–1276. | 37 | Cyclic abdominal pain | Yes | Diagnostic laparoscopy | Unknown | Unknown |
| 11 | 2010 | Akbulut S, Sevinc MM, Bakir S, Cakabay B, Sezgin A. Scar endometriosis in the abdominal wall: a predictable condition for experienced surgeons. Acta Chir Belg. 2010;110(3):303–307. | 30 | Cyclic painful mass | No | Laparoscopic appendectomy | 8 | Right upper quadrant |
| 12 | 37 | Painful mass | Yes | Laparoscopic cyst excision | 4 | Right upper quadrant | ||
| 13 | 2011 | Medeiros FD, Cavalcante DI, Medeiros MA, & Eleutério, J. Fine-needle aspiration cytology of scar endometriosis: study of seven cases and literature review. Diagnostic cytopathology 2011;39(1), 18–21. | 34 | Painful swelling | Yes | Diagnostic laparoscopy | 18 | Left upper quadrant |
| 14 | 26 | Painful swelling | Yes | Diagnostic laparoscopy | 6 | Right upper quadrant | ||
| 15 | 21 | Painful swelling | Yes | Diagnostic laparoscopy | 12 | Right upper quadrant | ||
| 16 | 2012 | Emre A, Akbulut S, Yilmaz M, Bozdag Z. Laparoscopic trocar port site endometriosis: a case report and brief literature review. Int Surg. 2012;97(2):135–139. | 20 | Painful swelling | Yes | Laparoscopic cyst excision | 18 | Left upper quadrant |
| 17 | 2012 | Lee H, Lim S, Shin J, Park C. A case of trocar site implantation of endometriosis three years after laparoscopic hysterectomy. Korean J Obstet Gynecol 2012;55:290–292. | 42 | Cyclic painful mass | No | Laparoscopic hysterectomy | 36 | Suprapubic |
| 18 | 2015 | Cozzolino M, Magnolfi S, Corioni S, Moncini D, Mattei A. Abdominal wall endometriosis on the right port site after laparoscopy: case report and literature review. Ochsner J. 2015;15(3):251–255. | 38 | Cyclic painful mass | Yes | Laparoscopic cyst excision | 48 | Right upper quadrant |
| 19 | 2016 | Vukšić T, Rastović P, Dragišić V. Abdominal wall endometrioma after laparoscopic operation of uterine endometriosis. Case Rep Surg. 2016;2016:5843179. | 43 | Painless mass | Yes | Laparoscopic implant excision | 24 | Left upper quadrant |
| 20 | 2017 | Siddiqui ZA, Husain F, Siddiqui Z, Siddiqui M. Port site endometrioma: a rare cause of abdominal wall pain following laparoscopic surgery. BMJ Case Rep. 2017;2017:bcr2017219291. | 37 | Cyclic painful mass | Yes | Laparoscopic implant excision | 6 | Umbilicus |
| 21 | 2018 | Al-Khayat NS, Joda AE. Abdominal wall endometrioma at laparoscopic port site: case report with literature review. J Surg Open Access 2018;4(1). | 34 | Cyclic painful mass | No | Diagnostic laparoscopy | 48 | Right upper quadrant |
| 22 | 2018 | Akbarzadeh-Jahromi M, Motavas M, Fazelzadeh A. Recurrent abdominal wall endometriosis at the trocar site of laparoscopy: a rare case. Int J Reprod Biomed. 2018;16(10):653–656. | 25 | Painful mass | Yes | Diagnostic laparoscopy with ovarian cauterization | 84 | Unknown |
| 23 | 2020 | Ao X, Xiong W, Tan SQ. Laparoscopic umbilical trocar port site endometriosis: a case report. World J Clin Cases. 2020;8(8):1532–1537. | 37 | Cyclic painful mass | Yes | Laparoscopic ovarian cystectomy with bilateral salpingoplasty | 48 | Umbilicus |
| 24-29 | 2022 | Benedetto C, Cacozza D, de Sousa Costa D. et al. Abdominal wall endometriosis: report of 83 cases. Int J Gynaecol Obstet. 2022;10.1002/ijgo.14167. | Unknown | Unknown | Unknown | Diagnostic laparoscopy | Unknown | Umbilicus |
| 30 | Left lower quadrant | |||||||
| 31 | 2022 | Our Case | 43 | Cyclical umbilical bleeding | No | Laparoscopic Roux-en-Y gastric bypass | 48 | Umbilicus |
Chronologic review of all 30 cases of trocar-site endometrioma occurrence in published literature
| Number . | Year . | Reference . | Age . | Primary symptom . | History of endometriosis . | Previous operation . | Months to diagnosis . | Trocar location . |
|---|---|---|---|---|---|---|---|---|
| 1 | 1990 | Denton GW, Schofield JB, Gallagher P. Uncommon complications of laparoscopic sterilization. Ann R Coll Surg Engl. 1990;72(3):210–211. | 37 | Painful swelling | Yes | Laparoscopic sterilization | 12 | Umbilicus |
| 2 | 1995 | Healy JT, Wilkinson NW, Sawyer M. Abdominal wall endometrioma in a laparoscopic trocar tract: a case report. Am Surg. 1995;61(11):962–963. | 23 | Cyclic painful mass | No | Diagnostic laparoscopy | 9 | Umbilicus |
| 3 | 1996 | Wakefield S.E, Hellen E.A. Endometrioma of the trocar site after laparoscopy. Eur J Sur. 1996;162(6):523–524 | 32 | Cyclic painful mass | Yes | Diagnostic laparoscopy | 7 | Umbilicus |
| 4 | 1998 | Martínez-Serna T, Stalter KD, Filipi CJ, Tomonaga T. An unusual case of endometrial trocar site implantation. Surg Endosc. 1998;12(7):992–994. | 35 | Groin masses | Yes | Diagnostic laparoscopy | 11 | Suprapubic |
| 5 | 2004 | Majeski J, Craggie J. Scar endometriosis developing after an umbilical hernia repair with mesh. South Med J. 2004;97(5):532–534. | 44 | Cyclic painful mass | No | Laparoscopic myomectomy | 48 | Umbilicus |
| 6 | 2005 | Farace F, Gallo A, Rubino C, Manca A, Campus GV. Endometriosis in a trocar tract: is it really a rare condition? A case report. Minerva Chir. 2005;60(1):67–69. | 37 | Nodular mass | Yes | Laparoscopic cholecystectomy | 8 | Right upper quadrant |
| 7 | 2005 | Sirito R, Puppo A, Centurioni MG, Gustavino C. Incisional hernia on the 5-mm trocar port site and subsequent wall endometriosis on the same site: a case report. Am J Obstet Gynecol. 2005;193(3 Pt 1):878–880. | 26 | Painless swelling | Yes | Laparoscopic cyst excision | 24 | Suprapubic |
| 8 | 2005 | Barbaros U, Iyibozkurt AC, Gulluoglu M. et al. Endometriotic umbilical port site metastasis after laparoscopy. Am J Obstet Gynecol. 2005;193(5):1761–1763. | 40 | Cyclic painful mass | Yes | Laparoscopic cyst excision | 24 | Umbilicus |
| 9 | 2009 | Strelec M, Dmitrovic R, Matkovic S (2009) Trocar scar endometriosis. Gynaecol Perinatol 2009;188:34–35. | 24 | Cyclic painful mass | Yes | Laparoscopic cyst excision | 24 | Suprapubic |
| 10 | 2010 | Busard MP, Mijatovic V, van Kuijk C, Hompes PG, van Waesberghe JH. Appearance of abdominal wall endometriosis on MR imaging. Eur Radiol. 2010;20(5):1267–1276. | 37 | Cyclic abdominal pain | Yes | Diagnostic laparoscopy | Unknown | Unknown |
| 11 | 2010 | Akbulut S, Sevinc MM, Bakir S, Cakabay B, Sezgin A. Scar endometriosis in the abdominal wall: a predictable condition for experienced surgeons. Acta Chir Belg. 2010;110(3):303–307. | 30 | Cyclic painful mass | No | Laparoscopic appendectomy | 8 | Right upper quadrant |
| 12 | 37 | Painful mass | Yes | Laparoscopic cyst excision | 4 | Right upper quadrant | ||
| 13 | 2011 | Medeiros FD, Cavalcante DI, Medeiros MA, & Eleutério, J. Fine-needle aspiration cytology of scar endometriosis: study of seven cases and literature review. Diagnostic cytopathology 2011;39(1), 18–21. | 34 | Painful swelling | Yes | Diagnostic laparoscopy | 18 | Left upper quadrant |
| 14 | 26 | Painful swelling | Yes | Diagnostic laparoscopy | 6 | Right upper quadrant | ||
| 15 | 21 | Painful swelling | Yes | Diagnostic laparoscopy | 12 | Right upper quadrant | ||
| 16 | 2012 | Emre A, Akbulut S, Yilmaz M, Bozdag Z. Laparoscopic trocar port site endometriosis: a case report and brief literature review. Int Surg. 2012;97(2):135–139. | 20 | Painful swelling | Yes | Laparoscopic cyst excision | 18 | Left upper quadrant |
| 17 | 2012 | Lee H, Lim S, Shin J, Park C. A case of trocar site implantation of endometriosis three years after laparoscopic hysterectomy. Korean J Obstet Gynecol 2012;55:290–292. | 42 | Cyclic painful mass | No | Laparoscopic hysterectomy | 36 | Suprapubic |
| 18 | 2015 | Cozzolino M, Magnolfi S, Corioni S, Moncini D, Mattei A. Abdominal wall endometriosis on the right port site after laparoscopy: case report and literature review. Ochsner J. 2015;15(3):251–255. | 38 | Cyclic painful mass | Yes | Laparoscopic cyst excision | 48 | Right upper quadrant |
| 19 | 2016 | Vukšić T, Rastović P, Dragišić V. Abdominal wall endometrioma after laparoscopic operation of uterine endometriosis. Case Rep Surg. 2016;2016:5843179. | 43 | Painless mass | Yes | Laparoscopic implant excision | 24 | Left upper quadrant |
| 20 | 2017 | Siddiqui ZA, Husain F, Siddiqui Z, Siddiqui M. Port site endometrioma: a rare cause of abdominal wall pain following laparoscopic surgery. BMJ Case Rep. 2017;2017:bcr2017219291. | 37 | Cyclic painful mass | Yes | Laparoscopic implant excision | 6 | Umbilicus |
| 21 | 2018 | Al-Khayat NS, Joda AE. Abdominal wall endometrioma at laparoscopic port site: case report with literature review. J Surg Open Access 2018;4(1). | 34 | Cyclic painful mass | No | Diagnostic laparoscopy | 48 | Right upper quadrant |
| 22 | 2018 | Akbarzadeh-Jahromi M, Motavas M, Fazelzadeh A. Recurrent abdominal wall endometriosis at the trocar site of laparoscopy: a rare case. Int J Reprod Biomed. 2018;16(10):653–656. | 25 | Painful mass | Yes | Diagnostic laparoscopy with ovarian cauterization | 84 | Unknown |
| 23 | 2020 | Ao X, Xiong W, Tan SQ. Laparoscopic umbilical trocar port site endometriosis: a case report. World J Clin Cases. 2020;8(8):1532–1537. | 37 | Cyclic painful mass | Yes | Laparoscopic ovarian cystectomy with bilateral salpingoplasty | 48 | Umbilicus |
| 24-29 | 2022 | Benedetto C, Cacozza D, de Sousa Costa D. et al. Abdominal wall endometriosis: report of 83 cases. Int J Gynaecol Obstet. 2022;10.1002/ijgo.14167. | Unknown | Unknown | Unknown | Diagnostic laparoscopy | Unknown | Umbilicus |
| 30 | Left lower quadrant | |||||||
| 31 | 2022 | Our Case | 43 | Cyclical umbilical bleeding | No | Laparoscopic Roux-en-Y gastric bypass | 48 | Umbilicus |
| Number . | Year . | Reference . | Age . | Primary symptom . | History of endometriosis . | Previous operation . | Months to diagnosis . | Trocar location . |
|---|---|---|---|---|---|---|---|---|
| 1 | 1990 | Denton GW, Schofield JB, Gallagher P. Uncommon complications of laparoscopic sterilization. Ann R Coll Surg Engl. 1990;72(3):210–211. | 37 | Painful swelling | Yes | Laparoscopic sterilization | 12 | Umbilicus |
| 2 | 1995 | Healy JT, Wilkinson NW, Sawyer M. Abdominal wall endometrioma in a laparoscopic trocar tract: a case report. Am Surg. 1995;61(11):962–963. | 23 | Cyclic painful mass | No | Diagnostic laparoscopy | 9 | Umbilicus |
| 3 | 1996 | Wakefield S.E, Hellen E.A. Endometrioma of the trocar site after laparoscopy. Eur J Sur. 1996;162(6):523–524 | 32 | Cyclic painful mass | Yes | Diagnostic laparoscopy | 7 | Umbilicus |
| 4 | 1998 | Martínez-Serna T, Stalter KD, Filipi CJ, Tomonaga T. An unusual case of endometrial trocar site implantation. Surg Endosc. 1998;12(7):992–994. | 35 | Groin masses | Yes | Diagnostic laparoscopy | 11 | Suprapubic |
| 5 | 2004 | Majeski J, Craggie J. Scar endometriosis developing after an umbilical hernia repair with mesh. South Med J. 2004;97(5):532–534. | 44 | Cyclic painful mass | No | Laparoscopic myomectomy | 48 | Umbilicus |
| 6 | 2005 | Farace F, Gallo A, Rubino C, Manca A, Campus GV. Endometriosis in a trocar tract: is it really a rare condition? A case report. Minerva Chir. 2005;60(1):67–69. | 37 | Nodular mass | Yes | Laparoscopic cholecystectomy | 8 | Right upper quadrant |
| 7 | 2005 | Sirito R, Puppo A, Centurioni MG, Gustavino C. Incisional hernia on the 5-mm trocar port site and subsequent wall endometriosis on the same site: a case report. Am J Obstet Gynecol. 2005;193(3 Pt 1):878–880. | 26 | Painless swelling | Yes | Laparoscopic cyst excision | 24 | Suprapubic |
| 8 | 2005 | Barbaros U, Iyibozkurt AC, Gulluoglu M. et al. Endometriotic umbilical port site metastasis after laparoscopy. Am J Obstet Gynecol. 2005;193(5):1761–1763. | 40 | Cyclic painful mass | Yes | Laparoscopic cyst excision | 24 | Umbilicus |
| 9 | 2009 | Strelec M, Dmitrovic R, Matkovic S (2009) Trocar scar endometriosis. Gynaecol Perinatol 2009;188:34–35. | 24 | Cyclic painful mass | Yes | Laparoscopic cyst excision | 24 | Suprapubic |
| 10 | 2010 | Busard MP, Mijatovic V, van Kuijk C, Hompes PG, van Waesberghe JH. Appearance of abdominal wall endometriosis on MR imaging. Eur Radiol. 2010;20(5):1267–1276. | 37 | Cyclic abdominal pain | Yes | Diagnostic laparoscopy | Unknown | Unknown |
| 11 | 2010 | Akbulut S, Sevinc MM, Bakir S, Cakabay B, Sezgin A. Scar endometriosis in the abdominal wall: a predictable condition for experienced surgeons. Acta Chir Belg. 2010;110(3):303–307. | 30 | Cyclic painful mass | No | Laparoscopic appendectomy | 8 | Right upper quadrant |
| 12 | 37 | Painful mass | Yes | Laparoscopic cyst excision | 4 | Right upper quadrant | ||
| 13 | 2011 | Medeiros FD, Cavalcante DI, Medeiros MA, & Eleutério, J. Fine-needle aspiration cytology of scar endometriosis: study of seven cases and literature review. Diagnostic cytopathology 2011;39(1), 18–21. | 34 | Painful swelling | Yes | Diagnostic laparoscopy | 18 | Left upper quadrant |
| 14 | 26 | Painful swelling | Yes | Diagnostic laparoscopy | 6 | Right upper quadrant | ||
| 15 | 21 | Painful swelling | Yes | Diagnostic laparoscopy | 12 | Right upper quadrant | ||
| 16 | 2012 | Emre A, Akbulut S, Yilmaz M, Bozdag Z. Laparoscopic trocar port site endometriosis: a case report and brief literature review. Int Surg. 2012;97(2):135–139. | 20 | Painful swelling | Yes | Laparoscopic cyst excision | 18 | Left upper quadrant |
| 17 | 2012 | Lee H, Lim S, Shin J, Park C. A case of trocar site implantation of endometriosis three years after laparoscopic hysterectomy. Korean J Obstet Gynecol 2012;55:290–292. | 42 | Cyclic painful mass | No | Laparoscopic hysterectomy | 36 | Suprapubic |
| 18 | 2015 | Cozzolino M, Magnolfi S, Corioni S, Moncini D, Mattei A. Abdominal wall endometriosis on the right port site after laparoscopy: case report and literature review. Ochsner J. 2015;15(3):251–255. | 38 | Cyclic painful mass | Yes | Laparoscopic cyst excision | 48 | Right upper quadrant |
| 19 | 2016 | Vukšić T, Rastović P, Dragišić V. Abdominal wall endometrioma after laparoscopic operation of uterine endometriosis. Case Rep Surg. 2016;2016:5843179. | 43 | Painless mass | Yes | Laparoscopic implant excision | 24 | Left upper quadrant |
| 20 | 2017 | Siddiqui ZA, Husain F, Siddiqui Z, Siddiqui M. Port site endometrioma: a rare cause of abdominal wall pain following laparoscopic surgery. BMJ Case Rep. 2017;2017:bcr2017219291. | 37 | Cyclic painful mass | Yes | Laparoscopic implant excision | 6 | Umbilicus |
| 21 | 2018 | Al-Khayat NS, Joda AE. Abdominal wall endometrioma at laparoscopic port site: case report with literature review. J Surg Open Access 2018;4(1). | 34 | Cyclic painful mass | No | Diagnostic laparoscopy | 48 | Right upper quadrant |
| 22 | 2018 | Akbarzadeh-Jahromi M, Motavas M, Fazelzadeh A. Recurrent abdominal wall endometriosis at the trocar site of laparoscopy: a rare case. Int J Reprod Biomed. 2018;16(10):653–656. | 25 | Painful mass | Yes | Diagnostic laparoscopy with ovarian cauterization | 84 | Unknown |
| 23 | 2020 | Ao X, Xiong W, Tan SQ. Laparoscopic umbilical trocar port site endometriosis: a case report. World J Clin Cases. 2020;8(8):1532–1537. | 37 | Cyclic painful mass | Yes | Laparoscopic ovarian cystectomy with bilateral salpingoplasty | 48 | Umbilicus |
| 24-29 | 2022 | Benedetto C, Cacozza D, de Sousa Costa D. et al. Abdominal wall endometriosis: report of 83 cases. Int J Gynaecol Obstet. 2022;10.1002/ijgo.14167. | Unknown | Unknown | Unknown | Diagnostic laparoscopy | Unknown | Umbilicus |
| 30 | Left lower quadrant | |||||||
| 31 | 2022 | Our Case | 43 | Cyclical umbilical bleeding | No | Laparoscopic Roux-en-Y gastric bypass | 48 | Umbilicus |
Previous authors have theorized that the risk of endometrial seeding and trocar-site endometrioma occurrence can be reduced with the utilization of laparoscopic bag extraction, extensive irrigation of the extraction site and careful suturing [7]. However, as our patient underwent laparoscopic Roux-en-Y gastric bypass, there was no extraction performed. This trocar-site endometrioma may therefore have occurred from the ‘chimney effect’ whereby the trocars are removed prematurely and pneumoperitoneum is forcibly evacuated through the incision sites [8]. The risk of endometrial seeding into the trocar site would likely be reduced by evacuating the pneumoperitoneum with the trocars still in situ. We also concur that patients discovered to have trocar-site endometrioma, particularly without an established diagnosis, should be monitored closely by their gynecologist as concomitant pelvic endometriosis may be present [9].
We present this case to add to the growing body of literature regarding trocar-site endometrioma. This is the only reported case within the bariatric surgical population as this patient underwent laparoscopic Roux-en-Y gastric bypass as her index laparoscopic operation. There are no other described instances of a patient presenting with cyclic umbilical bleeding as the primary symptom of her endometrioma. She also did not have a known history of endometriosis, similar to only six other patients with published trocar-site endometrioma. Given the rarity of trocar-site endometriomas, further investigation is required to definitively delineate pathophysiology, patient characteristics, risk factors, optimal treatment regimen, post-operative surveillance and prevention strategies.
CONFLICT OF INTEREST STATEMENT
The authors declare that there are no conflicts of interest.
FUNDING
None.